JavaScript is disabled in your browser. Please enable JavaScript to view this website.
AB191152

Anti-IL-18 antibody

4

(3 Reviews)

|

(25 Publications)

Rabbit Polyclonal IL-18 antibody. Suitable for IHC-P, ICC, WB and reacts with Human samples. Cited in 25 publications. Immunogen corresponding to Recombinant Full Length Protein corresponding to Human IL18.

View Alternative Names

IGIF, IL1F4, IL18, Interleukin-18, IL-18, Iboctadekin, Interferon gamma-inducing factor, Interleukin-1 gamma, IFN-gamma-inducing factor, IL-1 gamma

3 Images
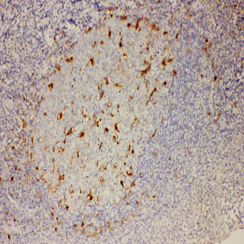
Immunohistochemistry (Formalin/PFA-fixed paraffin-embedded sections) - Anti-IL-18 antibody (AB191152)
  • IHC-P

Supplier Data

Immunohistochemistry (Formalin/PFA-fixed paraffin-embedded sections) - Anti-IL-18 antibody (AB191152)

Immunohistochemical analysis of formalin fixed paraffine embedded human tonsil tissue labeling IL-18 with ab191152 at 1 μg/ml

Immunocytochemistry - Anti-IL-18 antibody (AB191152)
  • ICC

Supplier Data

Immunocytochemistry - Anti-IL-18 antibody (AB191152)

IL-18 was detected in immunocytochemical section of blood cell. Enzyme antigen retrieval was performed using IHC enzyme antigen retrieval reagent for 15 mins. The tissue section was blocked with 10% goat serum. The tissue section was then incubated with 1μg/ml ab191152 overnight at 4°C. Biotinylated goat anti-rabbit IgG was used as secondary antibody and incubated for 30 minutes at 37°C. The tissue section was developed using Strepavidin-Biotin-Complex with DAB as the chromogen

Western blot - Anti-IL-18 antibody (AB191152)
  • WB

Supplier Data

Western blot - Anti-IL-18 antibody (AB191152)

All lanes:

Western blot - Anti-IL-18 antibody (ab191152) at 0.5 µg/mL

All lanes:

Recombinant Human IL-18 Protein at 0.0005 µg

Predicted band size: 22 kDa

false

Key facts

Host species

Rabbit

Clonality

Polyclonal

Isotype

IgG

Carrier free

No

Reacts with

Human

Applications

IHC-P, ICC, WB

applications

Immunogen

Recombinant Full Length Protein corresponding to Human IL18.

Q14116

Reactivity data

{ "title": "Reactivity Data", "filters": { "stats": ["", "Species", "Dilution Info", "Notes"], "tabs": { "all-applications": {"fullname" : "All Applications", "shortname": "All Applications"}, "IHCP" : {"fullname" : "Immunohistochemistry (Formalin/PFA-fixed paraffin-embedded sections)", "shortname":"IHC-P"}, "ICC" : {"fullname" : "Immunocytochemistry", "shortname":"ICC"}, "WB" : {"fullname" : "Western blot", "shortname":"WB"} }, "product-promise": { "all": "all", "testedAndGuaranteed": "tested", "guaranteed": "expected", "predicted": "predicted", "notRecommended": "not-recommended" } }, "values": { "Human": { "IHCP-species-checked": "testedAndGuaranteed", "IHCP-species-dilution-info": "0.5-1 µg/mL", "IHCP-species-notes": "<p></p> Perform heat-mediated antigen retrieval with citrate buffer pH 6 before commencing with IHC staining protocol.", "ICC-species-checked": "testedAndGuaranteed", "ICC-species-dilution-info": "", "ICC-species-notes": "<p></p>", "WB-species-checked": "testedAndGuaranteed", "WB-species-dilution-info": "0.1-0.5 µg/mL", "WB-species-notes": "<p>The detection limit for IL18 is approximately 1ng/lane under reducing conditions</p>" } } }

Properties and storage information

Form
Liquid
Purification technique
Affinity purification Immunogen
Storage buffer
Preservative: 0.025% Sodium azide Constituents: 2.5% BSA, 0.45% Sodium chloride, 0.1% Disodium hydrogenorthophosphate
Shipped at conditions
Blue Ice
Appropriate short-term storage duration
1-2 weeks
Appropriate short-term storage conditions
+4°C
Appropriate long-term storage conditions
-20°C
Aliquoting information
Upon delivery aliquot
Storage information
Avoid freeze / thaw cycle

Product protocols

For this product, it's our understanding that no specific protocols are required. You can visit:

Target data

Pro-inflammatory cytokine primarily involved in epithelial barrier repair, polarized T-helper 1 (Th1) cell and natural killer (NK) cell immune responses (PubMed : 10653850). Upon binding to IL18R1 and IL18RAP, forms a signaling ternary complex which activates NF-kappa-B, triggering synthesis of inflammatory mediators (PubMed : 14528293, PubMed : 25500532, PubMed : 37993714). Synergizes with IL12/interleukin-12 to induce IFNG synthesis from T-helper 1 (Th1) cells and natural killer (NK) cells (PubMed : 10653850). Involved in transduction of inflammation downstream of pyroptosis : its mature form is specifically released in the extracellular milieu by passing through the gasdermin-D (GSDMD) pore (PubMed : 33883744).
See full target information IL18

Publications (25)

Recent publications for all applications. Explore the full list and refine your search

International journal of medical sciences 22:4049-4062 PubMed41049444

2025

Tetrahydrocurcumin Protects Microglial Cells Against Lipopolysaccharide-Induced Reactive Oxygen Species Production and Cathepsin B to Activate NLRP3 Inflammasome-Mediated Pyroptosis Via the HO-1 and p38/JNK Pathway.

Applications

Unspecified application

Species

Unspecified reactive species

Hui-Wen Lin,Tzu-Chun Chen,Inga Wang,Jui-Hsuan Yeh,Shang-Chun Tsou,Lee Sun,Shih-Chi Chung,Chen-Ju Chuang,Yuan-Yen Chang

Frontiers in endocrinology 16:1620230 PubMed41030847

2025

SGLT2 inhibition attenuates diabetic tubulopathy by suppressing SGK1-mediated pyroptosis.

Applications

Unspecified application

Species

Unspecified reactive species

Xu Shi,Wei Zou,Xuehong Li,Sirui Liu,Tiantian Hu,Qiong Li,Ting Zhang,Lei Chen,Sumin Wu,Cheng Wang,Yongjie Jin

Cell reports 43:114833 PubMed39383041

2024

SIV-specific antibodies protect against inflammasome-driven encephalitis in untreated macaques.

Applications

Unspecified application

Species

Unspecified reactive species

Natalie J Castell,Celina M Abreu,Erin N Shirk,Suzanne E Queen,Joseph L Mankowski,Janice E Clements,Rebecca T Veenhuis

Redox biology 68:102960 PubMed37979447

2023

CXCR4-BTK axis mediate pyroptosis and lipid peroxidation in early brain injury after subarachnoid hemorrhage via NLRP3 inflammasome and NF-κB pathway.

Applications

Unspecified application

Species

Unspecified reactive species

Chengli Liu,Kun Yao,Qi Tian,Yujia Guo,Guijun Wang,Peibang He,Jianfeng Wang,Jian Wang,Zhan Zhang,Mingchang Li

iScience 26:107762 PubMed37692286

2023

CHIP protects against septic acute kidney injury by inhibiting NLRP3-mediated pyroptosis.

Applications

Unspecified application

Species

Unspecified reactive species

Hao Zhang,Zebin Deng,Yilong Wang,Xiaoping Zheng,Lizhi Zhou,Shu Yan,Yinhuai Wang,Yingbo Dai,Yashpal S Kanwar,Fei Deng

Inflammation research : official journal of the European Histamine Research Society ... [et al.] 72:553-576 PubMed36640195

2023

Human bone marrow mesenchymal stem cell-derived extracellular vesicles reduce inflammation and pyroptosis in acute kidney injury via miR-223-3p/HDAC2/SNRK.

Applications

Unspecified application

Species

Unspecified reactive species

Zhijuan Xie,Jun Tang,Zhong Chen,Lanji Wei,Jianying Chen,Qin Liu

Allergologia et immunopathologia 50:96-103 PubMed35257552

2022

Ubiquitin-specific protease 8 inhibits lipopolysaccharide-triggered pyroptosis of human bronchial epithelial cells by regulating PI3K/AKT and NF-κB pathways.

Applications

Unspecified application

Species

Unspecified reactive species

Lu Liu,Liting Huan,Yu Zhang,Wei Wei,Zhihai Chen,Di Xu,Xiufeng Huang,Yaoxi Tan,Hongxing Li

Annals of translational medicine 9:1558 PubMed34790764

2021

Anti-inflammatory effects of artesunate on atherosclerosis via miR-16-5p and TXNIP regulation of the NLRP3 inflammasome.

Applications

Unspecified application

Species

Unspecified reactive species

Bo Li,Zheqi Zhang,Yili Fu

International journal of molecular sciences 22: PubMed34830289

2021

Empagliflozin Ameliorates Free Fatty Acid Induced-Lipotoxicity in Renal Proximal Tubular Cells via the PPARγ/CD36 Pathway in Obese Mice.

Applications

Unspecified application

Species

Unspecified reactive species

Chiang-Chi Huang,Chia-An Chou,Wei-Yu Chen,Jenq-Lin Yang,Wen-Chin Lee,Jin-Bor Chen,Chien-Te Lee,Lung-Chih Li

The Korean journal of internal medicine 36:1437-1449 PubMed34666433

2021

Nicotine exacerbates tacrolimus-induced renal injury by programmed cell death.

Applications

Unspecified application

Species

Unspecified reactive species

Yu Ji Jiang,Sheng Cui,Kang Luo,Jun Ding,Qi Yan Nan,Shang Guo Piao,Mei Ying Xuan,Hai Lan Zheng,Yong Jie Jin,Ji Zhe Jin,Jung Pyo Lee,Byung Ha Chung,Bum Soon Choi,Chul Woo Yang,Can Li
View all publications

Product promise

We are committed to supporting your work with high-quality reagents, and we're here for you every step of the way. In the unlikely event that one of our products does not perform as expected, you're protected by our Product Promise.
For full details, please see our Terms & Conditions

Please note: All products are 'FOR RESEARCH USE ONLY. NOT FOR USE IN DIAGNOSTIC OR THERAPEUTIC PROCEDURES'.

For licensing inquiries, please contact partnerships@abcam.com