JavaScript is disabled in your browser. Please enable JavaScript to view this website.
AB243091

Anti-IL-18 antibody [EPR19954-188]

Be the first to review this product! Submit a review

|

(46 Publications)

Anti-IL-18 antibody [EPR19954-188] (ab243091) is a rabbit monoclonal antibody detecting IL-18 in Western Blot, Flow Cytometry (Intra), IHC-P. Suitable for Human.

- KO validated for confirmed specificity
- Biophysical QC for unrivalled batch-batch consistency
- Over 20 publications

View Alternative Names

IGIF, IL1F4, IL18, Interleukin-18, IL-18, Iboctadekin, Interferon gamma-inducing factor, Interleukin-1 gamma, IFN-gamma-inducing factor, IL-1 gamma

6 Images
Immunohistochemistry (Formalin/PFA-fixed paraffin-embedded sections) - Anti-IL-18 antibody [EPR19954-188] (AB243091)
  • IHC-P

Unknown

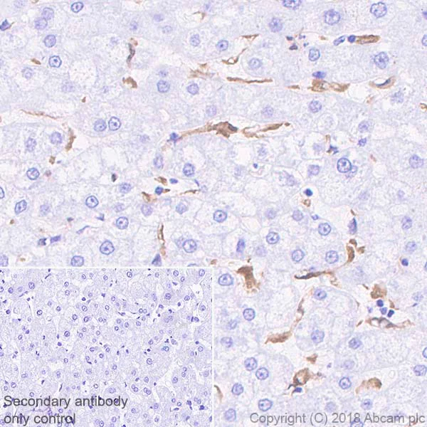
Immunohistochemistry (Formalin/PFA-fixed paraffin-embedded sections) - Anti-IL-18 antibody [EPR19954-188] (AB243091)

Immunohistochemical analysis of paraffin-embedded human liver tissue labeling IL-18 with ab243091 at 1/250 dilution, followed by Goat Anti-Rabbit IgG H&L (HRP) Ready to use. Cytoplasmic staining on Kupffer cells in human liver (PMID : 19084941). Counter stained with hematoxylin.

Secondary antibody only control : Used PBS instead of primary antibody, secondary antibody is Goat Anti-Rabbit IgG H&L (HRP) Ready to use.

Heat mediated antigen retrieval using ab93684 (Tris/EDTA buffer, pH 9.0).

Immunohistochemistry (Formalin/PFA-fixed paraffin-embedded sections) - Anti-IL-18 antibody [EPR19954-188] (AB243091)
  • IHC-P

Unknown

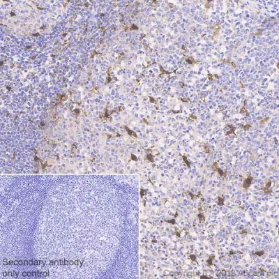
Immunohistochemistry (Formalin/PFA-fixed paraffin-embedded sections) - Anti-IL-18 antibody [EPR19954-188] (AB243091)

Immunohistochemical analysis of paraffin-embedded human tonsil tissue labeling IL-18 with ab243091 at 1/250 dilution, followed by Goat Anti-Rabbit IgG H&L (HRP) Ready to use. Positive staining on subsets of macrophages in tonsil (PMID : 28842466). Counter stained with hematoxylin.

Secondary antibody only control : Used PBS instead of primary antibody, secondary antibody is Goat Anti-Rabbit IgG H&L (HRP) Ready to use.

Heat mediated antigen retrieval using ab93684 (Tris/EDTA buffer, pH 9.0).

Flow Cytometry (Intracellular) - Anti-IL-18 antibody [EPR19954-188] (AB243091)
  • Flow Cyt (Intra)

Unknown

Flow Cytometry (Intracellular) - Anti-IL-18 antibody [EPR19954-188] (AB243091)

Intracellular flow cytometric analysis of4% paraformaldehyde-fixed, 90% methanol-permeabilized Jurkat (human T cell leukemia cell line from peripheral blood) (left panel) and PC-3 (human prostate adenocarcinoma cell line) (right panel) cells labeling IL-18 with ab243091 at 1/50 dilution (red) compared with a Rabbit IgG, monoclonal [EPR25A] - Isotype Control (ab172730) (black) and an unlabeled control (cells without incubation with primary antibody and secondary antibody) (blue). Goat Anti-Rabbit IgG H&L (Alexa Fluor® 488) (ab150077) at 1/2000 dilution was used as the secondary antibody.

Negative control : Jurkat (PMID 15086390).

Immunohistochemistry (Formalin/PFA-fixed paraffin-embedded sections) - Anti-IL-18 antibody [EPR19954-188] (AB243091)
  • IHC-P

Unknown

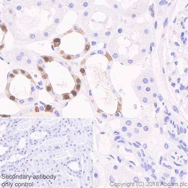
Immunohistochemistry (Formalin/PFA-fixed paraffin-embedded sections) - Anti-IL-18 antibody [EPR19954-188] (AB243091)

Immunohistochemical analysis of paraffin-embedded human kidney tissue labeling IL-18 with ab243091 at 1/250 dilution, followed by Goat Anti-Rabbit IgG H&L (HRP) Ready to use. Cytoplasmic and nuclear staining on distal convoluted tubules of human kidney (PMID : 17687255). Counter stained with hematoxylin.

Secondary antibody only control : Used PBS instead of primary antibody, secondary antibody is Goat Anti-Rabbit IgG H&L (HRP) Ready to use.

Heat mediated antigen retrieval using ab93684 (Tris/EDTA buffer, pH 9.0).

Western blot - Anti-IL-18 antibody [EPR19954-188] (AB243091)
  • WB

Lab

Western blot - Anti-IL-18 antibody [EPR19954-188] (AB243091)

Lanes 1-4 : Merged signal (red and green). Green - ab243091 observed at 22 kDa. Red - loading control ab8245 observed at 37 kDa.

ab243091 Anti-IL-18 antibody [EPR19954-188] was shown to specifically react with IL-18 in wild-type HeLa cells. Loss of signal was observed when knockout cell line ab265274 (knockout cell lysate ab256952) was used. Wild-type and IL-18 knockout samples were subjected to SDS-PAGE. ab243091 and Anti-alpha Tubulin antibody [EP1332Y] - Microtubule Marker (ab52866) were incubated overnight at 4°C at 1 in 1000 dilution and 1 in 20000 dilution respectively. Blots were developed with Goat anti-Rabbit IgG H&L (IRDye® 800CW) preadsorbed (ab216773) and Goat anti-Mouse IgG H&L (IRDye® 680RD) preadsorbed (ab216776) secondary antibodies at 1 in 20000 dilution for 1 hour at room temperature before imaging.

All lanes:

Western blot - Anti-IL-18 antibody [EPR19954-188] (ab243091) at 1/1000 dilution

Lane 1:

Wild-type HeLa cell lysate at 20 µg

Lane 2:

IL18 knockout HeLa cell lysate at 20 µg

Lane 2:

Western blot - Human IL18 knockout HeLa cell line (<a href='/en-us/products/cell-lines/human-il18-knockout-hela-cell-line-ab265274'>ab265274</a>)

Lane 3:

A431 cell lysate at 20 µg

Lane 4:

Jurkat cell lysate at 20 µg

Secondary

All lanes:

Western blot - Goat anti-Rabbit IgG H&L (IRDye® 800CW) preadsorbed (<a href='/en-us/products/secondary-antibodies/goat-rabbit-igg-h-l-irdye-800cw-preadsorbed-ab216773'>ab216773</a>) at 1/20000 dilution

Predicted band size: 22 kDa

Observed band size: 22 kDa

false

Western blot - Anti-IL-18 antibody [EPR19954-188] (AB243091)
  • WB

Supplier Data

Western blot - Anti-IL-18 antibody [EPR19954-188] (AB243091)

Exposure time : Lanes 1 & 2 : 3 minutes. Lane 3 : 26 seconds.

Blocking and dilution buffer : 5% NFDM/TBST.

All lanes:

Western blot - Anti-IL-18 antibody [EPR19954-188] (ab243091) at 1/1000 dilution

Lane 1:

PC-3 (human prostate adenocarcinoma cell line) whole cell lysate at 20 µg

Lane 2:

HeLa (human epithelial cell line from cervix adenocarcinoma) whole cell lysate at 20 µg

Lane 3:

HaCaT (Human keratinocyte cell line) whole cell lysate at 20 µg

Secondary

All lanes:

Western blot - Goat Anti-Rabbit IgG H&L (HRP) (<a href='/en-us/products/secondary-antibodies/goat-rabbit-igg-h-l-hrp-ab97051'>ab97051</a>) at 1/100000 dilution

Predicted band size: 22 kDa

Observed band size: 14 kDa,22 kDa

false

  • Carrier free

    Anti-IL-18 antibody [EPR19954-188] - BSA and Azide free (Capture)

  • Carrier free

    Anti-IL-18 antibody [EPR19954-188] - BSA and Azide free

  • Biotin

    Biotin Anti-IL-18 antibody [EPR19954-188]

Key facts

Host species

Rabbit

Clonality

Monoclonal

Clone number

EPR19954-188

Isotype

IgG

Carrier free

No

Reacts with

Human

Applications

IHC-P, WB, Flow Cyt (Intra)

applications

Immunogen

The exact immunogen used to generate this antibody is proprietary information.

Reactivity data

{ "title": "Reactivity Data", "filters": { "stats": ["", "Species", "Dilution Info", "Notes"], "tabs": { "all-applications": {"fullname" : "All Applications", "shortname": "All Applications"}, "WB" : {"fullname" : "Western blot", "shortname":"WB"}, "ICCIF" : {"fullname" : "Immunocytochemistry/ Immunofluorescence", "shortname":"ICC/IF"}, "FlowCytIntra" : {"fullname" : "Flow Cytometry (Intracellular)", "shortname":"Flow Cyt (Intra)"}, "IHCP" : {"fullname" : "Immunohistochemistry (Formalin/PFA-fixed paraffin-embedded sections)", "shortname":"IHC-P"} }, "product-promise": { "all": "all", "testedAndGuaranteed": "tested", "guaranteed": "expected", "predicted": "predicted", "notRecommended": "not-recommended" } }, "values": { "Human": { "WB-species-checked": "testedAndGuaranteed", "WB-species-dilution-info": "1/1000", "WB-species-notes": "<p></p>", "ICCIF-species-checked": "notRecommended", "ICCIF-species-dilution-info": "", "ICCIF-species-notes": "<p></p>", "FlowCytIntra-species-checked": "testedAndGuaranteed", "FlowCytIntra-species-dilution-info": "1/50", "FlowCytIntra-species-notes": "<p></p>", "IHCP-species-checked": "testedAndGuaranteed", "IHCP-species-dilution-info": "1/1000", "IHCP-species-notes": "<p></p> Perform heat-mediated antigen retrieval with Tris/EDTA buffer pH 9.0 before commencing with IHC staining protocol." } } }

Product details

What is this antibody validated in?
Anti-IL-18 antibody [EPR19954-188] (ab243091) is a rabbit recombinant monoclonal antibody and is validated for use in Western Blot (WB), Flow Cytometry (Intra), Flow Cytometry (Flow Cyt), Immunohistochemistry (IHC-P) in Human samples.

What is the molecular weight of IL-18?
Anti-IL-18 [EPR19954-188] (ab243091) specifically detects a band for IL-18 (UniProt: Q14116) at a molecular weight of 22kDa.

Trusted by the scientific community
Anti-IL-18 [EPR19954-188] (ab243091) was first used in a scientific publication in 2018 and has been cited over 20 times in peer-reviewed journals.

Trial sizes available!
Test your antibody or perform pre-screening before committing to a larger quantity. Sold in 10µl. Discover our selection of trial-size antibodies.

Specificity confirmed
The specificity of Anti-IL-18 antibody [EPR19954-188] (ab243091) has been confirmed by Western blot testing in IL18 Knockout HeLa cell line, ab265274.

Other related products
We have a range of other formats of antibody clone [EPR19954-188] also available for your convenience: ab207324, Carrier free - ab222926, Carrier free - ab242590

Patented technology
Our RabMAb® technology is a patented hybridoma-based technology for making rabbit monoclonal antibodies. For details on our patents, please refer to RabMAb® patents.

What are the advantages of a recombinant monoclonal antibody?
This product is a recombinant monoclonal antibody, which offers several advantages including:

  • - High batch-to-batch consistency and reproducibility
  • - Improved sensitivity and specificity
  • - Long-term security of supply
  • - Animal-free batch production

For more information, read more on recombinant antibodies.

Properties and storage information

Form
Liquid
Purification technique
Affinity purification Protein A
Storage buffer
pH: 7.2 - 7.4 Preservative: 0.01% Sodium azide Constituents: PBS, 40% Glycerol (glycerin, glycerine), 0.05% BSA
Shipped at conditions
Blue Ice
Appropriate short-term storage duration
1-2 weeks
Appropriate short-term storage conditions
+4°C
Appropriate long-term storage conditions
-20°C
Aliquoting information
Upon delivery aliquot
Storage information
Avoid freeze / thaw cycle

Product protocols

For this product, it's our understanding that no specific protocols are required. You can visit:

Target data

Pro-inflammatory cytokine primarily involved in epithelial barrier repair, polarized T-helper 1 (Th1) cell and natural killer (NK) cell immune responses (PubMed : 10653850). Upon binding to IL18R1 and IL18RAP, forms a signaling ternary complex which activates NF-kappa-B, triggering synthesis of inflammatory mediators (PubMed : 14528293, PubMed : 25500532, PubMed : 37993714). Synergizes with IL12/interleukin-12 to induce IFNG synthesis from T-helper 1 (Th1) cells and natural killer (NK) cells (PubMed : 10653850). Involved in transduction of inflammation downstream of pyroptosis : its mature form is specifically released in the extracellular milieu by passing through the gasdermin-D (GSDMD) pore (PubMed : 33883744).
See full target information IL18

Publications (46)

Recent publications for all applications. Explore the full list and refine your search

The Journal of international medical research 53:3000605251379519 PubMed41005765

2025

Expression analysis of NOD-like receptor protein 3 and interleukin-18 in basal cell carcinoma: A case-control study.

Applications

Unspecified application

Species

Unspecified reactive species

Zahra Mehrabi,Zohreh Rahimi,Parisa Mohammadi,Nazanin Jalilian,Lida Haghnazari,Farhad Salari,Soheila Asadi

Inflammopharmacology 33:6089-6098 PubMed40987978

2025

Dexketoprofen enhances NLRP3 activation via ATPase activity after canonical stimuli.

Applications

Unspecified application

Species

Unspecified reactive species

Daniel Boy-Ruiz,Juan Miguel Suarez-Rivero,Inés Muela-Zarzuela,Mario D Cordero

Molecular medicine reports 32: PubMed40709400

2025

Rev‑erbα: The circadian guardian against NLRP3‑driven liver fibrosis.

Applications

Unspecified application

Species

Unspecified reactive species

Junmin Wang,Yanping Wang,Liubing Lin,Wen Pei,Yong Li

Cells 14: PubMed40643462

2025

Insulin Modulates NK Cell Activity in Liver Fibrosis MASH Patients via the STING Pathway.

Applications

Unspecified application

Species

Unspecified reactive species

Johnny Amer,Ahmad Salhab,Amiram Ariel,Rifaat Safadi

Food science & nutrition 13:e70464 PubMed40535916

2025

Ginsenoside Rh1 Alleviates Allergic Rhinitis by Mediating Mitochondrial Autophagy via Activation of the AMPK/ULK1/FUNDC1 Pathway.

Applications

Unspecified application

Species

Unspecified reactive species

Jiangang Wang,Yalin Zhang,Jingmei Chai,Jianing Yang,Longzhu Dai,Yi Yang,Yulian Zhang,Yongde Jin,Chongyang Wang,Guanghai Yan

International journal of oral science 17:14 PubMed40000642

2025

Circadian disruption by simulated shift work aggravates periodontitis via orchestrating BMAL1 and GSDMD-mediated pyroptosis.

Applications

Unspecified application

Species

Unspecified reactive species

Yazheng Wang,Rui Li,Qingyuan Ye,Dongdong Fei,Xige Zhang,Junling Huang,Tingjie Liu,Jinjin Wang,Qintao Wang

International heart journal 65:1087-1094 PubMed39537169

2024

CITED2 Attenuates Ischemia Reperfusion-Induced Pyroptosis and Injury in Cardiomyocyte.

Applications

Unspecified application

Species

Unspecified reactive species

Long Qian,Juan Zhao,Mengtao Fan,Jie Wang,Zhuqing Ji

Scientific reports 14:24315 PubMed39414868

2024

Key genes and immune pathways in T-cell mediated rejection post-liver transplantation identified via integrated RNA-seq and machine learning.

Applications

Unspecified application

Species

Unspecified reactive species

Wenhao Shao,Huaxing Ding,Yan Wang,Zhiyong Shi,Hezhao Zhang,Fanxiu Meng,Qingyao Chang,Haojiang Duan,Kairui Lu,Li Zhang,Jun Xu

Scientific reports 14:21180 PubMed39261543

2024

Minocycline alleviates lipopolysaccharide-induced cardiotoxicity by suppressing the NLRP3/Caspase-1 signaling pathway.

Applications

Unspecified application

Species

Unspecified reactive species

Huijuan Li,Xiaozhong Li,Guohai Xu,Fenfang Zhan

International journal of molecular medicine 54: PubMed39219277

2024

TREM2, a critical activator of pyroptosis, mediates the anti‑tumor effects of piceatannol in uveal melanoma cells via caspase 3/GSDME pathway

Applications

Unspecified application

Species

Unspecified reactive species

Xudong Jiu,Wenjie Li,Yang Liu,Lin Liu,Hong Lu
View all publications

Product promise

We are committed to supporting your work with high-quality reagents, and we're here for you every step of the way. In the unlikely event that one of our products does not perform as expected, you're protected by our Product Promise.
For full details, please see our Terms & Conditions

Please note: All products are 'FOR RESEARCH USE ONLY. NOT FOR USE IN DIAGNOSTIC OR THERAPEUTIC PROCEDURES'.

For licensing inquiries, please contact partnerships@abcam.com