JavaScript is disabled in your browser. Please enable JavaScript to view this website.
AB243295

Anti-IL-18 antibody [EPR19954-188] - BSA and Azide free

3

(1 Review)

|

(1 Publication)

Rabbit Recombinant Monoclonal IL-18 antibody. Carrier free. Suitable for WB, Flow Cyt (Intra), IHC-P and reacts with Human samples. Cited in 1 publication.

View Alternative Names

IGIF, IL1F4, IL18, Interleukin-18, IL-18, Iboctadekin, Interferon gamma-inducing factor, Interleukin-1 gamma, IFN-gamma-inducing factor, IL-1 gamma

6 Images
Immunohistochemistry (Formalin/PFA-fixed paraffin-embedded sections) - Anti-IL-18 antibody [EPR19954-188] - BSA and Azide free (AB243295)
  • IHC-P

Unknown

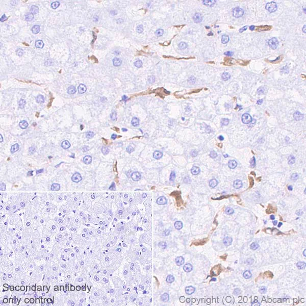
Immunohistochemistry (Formalin/PFA-fixed paraffin-embedded sections) - Anti-IL-18 antibody [EPR19954-188] - BSA and Azide free (AB243295)

Immunohistochemical analysis of paraffin-embedded human liver tissue labeling IL-18 with ab243091 at 1/250 dilution, followed by Goat Anti-Rabbit IgG H&L (HRP) Ready to use. Cytoplasmic staining on Kupffer cells in human liver (PMID : 19084941). Counter stained with hematoxylin.

Secondary antibody only control : Used PBS instead of primary antibody, secondary antibody is Goat Anti-Rabbit IgG H&L (HRP) Ready to use.

Heat mediated antigen retrieval using ab93684 (Tris/EDTA buffer, pH 9.0).

This data was developed using the same antibody clone in a different buffer formulation containing PBS, BSA, glycerol, and sodium azide (ab243091).

Immunohistochemistry (Formalin/PFA-fixed paraffin-embedded sections) - Anti-IL-18 antibody [EPR19954-188] - BSA and Azide free (AB243295)
  • IHC-P

Unknown

Immunohistochemistry (Formalin/PFA-fixed paraffin-embedded sections) - Anti-IL-18 antibody [EPR19954-188] - BSA and Azide free (AB243295)

Immunohistochemical analysis of paraffin-embedded human tonsil tissue labeling IL-18 with ab243091 at 1/250 dilution, followed by Goat Anti-Rabbit IgG H&L (HRP) Ready to use. Positive staining on subsets of macrophages in tonsil (PMID : 28842466). Counter stained with hematoxylin.

Secondary antibody only control : Used PBS instead of primary antibody, secondary antibody is Goat Anti-Rabbit IgG H&L (HRP) Ready to use.

Heat mediated antigen retrieval using ab93684 (Tris/EDTA buffer, pH 9.0).

This data was developed using the same antibody clone in a different buffer formulation containing PBS, BSA, glycerol, and sodium azide (ab243091).

Flow Cytometry (Intracellular) - Anti-IL-18 antibody [EPR19954-188] - BSA and Azide free (AB243295)
  • Flow Cyt (Intra)

Unknown

Flow Cytometry (Intracellular) - Anti-IL-18 antibody [EPR19954-188] - BSA and Azide free (AB243295)

Intracellular flow cytometric analysis of4% paraformaldehyde-fixed, 90% methanol-permeabilized Jurkat (human T cell leukemia cell line from peripheral blood) (left panel) and PC-3 (human prostate adenocarcinoma cell line) (right panel) cells labeling IL-18 with ab243091 at 1/50 dilution (red) compared with a Rabbit IgG, monoclonal [EPR25A] - Isotype Control (ab172730) (black) and an unlabeled control (cells without incubation with primary antibody and secondary antibody) (blue). Goat Anti-Rabbit IgG H&L (Alexa Fluor® 488) (ab150077) at 1/2000 dilution was used as the secondary antibody.

Negative control : Jurkat (PMID 15086390).

This data was developed using the same antibody clone in a different buffer formulation containing PBS, BSA, glycerol, and sodium azide (ab243091).

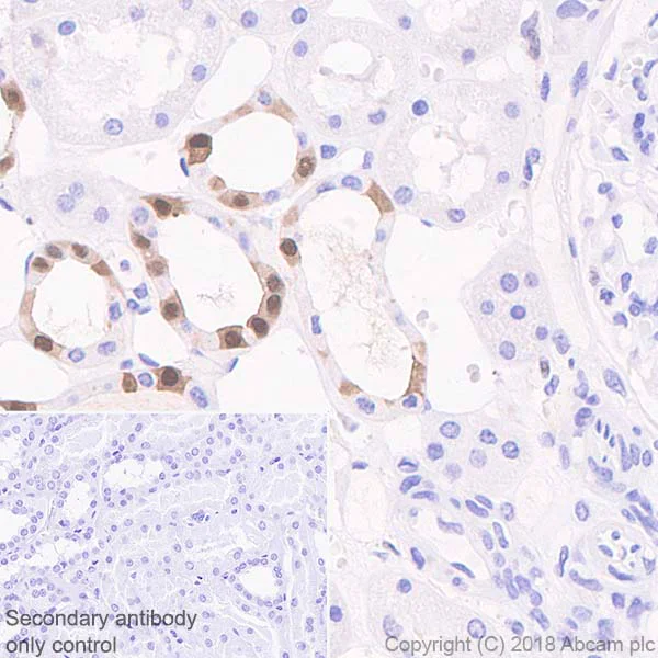
Immunohistochemistry (Formalin/PFA-fixed paraffin-embedded sections) - Anti-IL-18 antibody [EPR19954-188] - BSA and Azide free (AB243295)
  • IHC-P

Unknown

Immunohistochemistry (Formalin/PFA-fixed paraffin-embedded sections) - Anti-IL-18 antibody [EPR19954-188] - BSA and Azide free (AB243295)

Immunohistochemical analysis of paraffin-embedded human kidney tissue labeling IL-18 with ab243091 at 1/250 dilution, followed by Goat Anti-Rabbit IgG H&L (HRP) Ready to use. Cytoplasmic and nuclear staining on distal convoluted tubules of human kidney (PMID : 17687255). Counter stained with hematoxylin.

Secondary antibody only control : Used PBS instead of primary antibody, secondary antibody is Goat Anti-Rabbit IgG H&L (HRP) Ready to use.

Heat mediated antigen retrieval using ab93684 (Tris/EDTA buffer, pH 9.0).

This data was developed using the same antibody clone in a different buffer formulation containing PBS, BSA, glycerol, and sodium azide (ab243091).

Western blot - Anti-IL-18 antibody [EPR19954-188] - BSA and Azide free (AB243295)
  • WB

Lab

Western blot - Anti-IL-18 antibody [EPR19954-188] - BSA and Azide free (AB243295)

This data was developed using the same antibody clone in a different buffer formulation (ab243091).

Lanes 1-4 : Merged signal (red and green). Green - ab243091 observed at 22 kDa. Red - loading control ab8245 observed at 37 kDa.

ab243091 Anti-IL-18 antibody [EPR19954-188] was shown to specifically react with IL-18 in wild-type HeLa cells. Loss of signal was observed when knockout cell line ab265274 (knockout cell lysate ab256952) was used. Wild-type and IL-18 knockout samples were subjected to SDS-PAGE. ab243091 and Anti-alpha Tubulin antibody [EP1332Y] - Microtubule Marker (ab52866) were incubated overnight at 4°C at 1 in 1000 dilution and 1 in 20000 dilution respectively. Blots were developed with Goat anti-Rabbit IgG H&L (IRDye® 800CW) preadsorbed (ab216773) and Goat anti-Mouse IgG H&L (IRDye® 680RD) preadsorbed (ab216776) secondary antibodies at 1 in 20000 dilution for 1 hour at room temperature before imaging.

All lanes:

Western blot - Anti-IL-18 antibody [EPR19954-188] (<a href='/en-us/products/primary-antibodies/il-18-antibody-epr19954-188-ab243091'>ab243091</a>) at 1/1000 dilution

Lane 1:

Wild-type HeLa cell lysate at 20 µg

Lane 2:

IL18 knockout HeLa cell lysate at 20 µg

Lane 2:

Western blot - Human IL18 knockout HeLa cell line (<a href='/en-us/products/cell-lines/human-il18-knockout-hela-cell-line-ab265274'>ab265274</a>)

Lane 3:

A431 cell lysate at 20 µg

Lane 4:

Jurkat cell lysate at 20 µg

Secondary

All lanes:

Western blot - Goat anti-Rabbit IgG H&L (IRDye® 800CW) preadsorbed (<a href='/en-us/products/secondary-antibodies/goat-rabbit-igg-h-l-irdye-800cw-preadsorbed-ab216773'>ab216773</a>) at 1/20000 dilution

Predicted band size: 22 kDa

Observed band size: 22 kDa

false

Western blot - Anti-IL-18 antibody [EPR19954-188] - BSA and Azide free (AB243295)
  • WB

Supplier Data

Western blot - Anti-IL-18 antibody [EPR19954-188] - BSA and Azide free (AB243295)

Exposure time : Lanes 1 & 2 : 3 minutes. Lane 3 : 26 seconds.

Blocking and dilution buffer : 5% NFDM/TBST.

This data was developed using the same antibody clone in a different buffer formulation (ab243091).

All lanes:

Western blot - Anti-IL-18 antibody [EPR19954-188] (<a href='/en-us/products/primary-antibodies/il-18-antibody-epr19954-188-ab243091'>ab243091</a>) at 1/1000 dilution

Lane 1:

PC-3 (human prostate adenocarcinoma cell line) whole cell lysate at 20 µg

Lane 2:

HeLa (human epithelial cell line from cervix adenocarcinoma) whole cell lysate at 20 µg

Lane 3:

HaCaT (Human keratinocyte cell line) whole cell lysate at 20 µg

Secondary

All lanes:

Western blot - Goat Anti-Rabbit IgG H&L (HRP) (<a href='/en-us/products/secondary-antibodies/goat-rabbit-igg-h-l-hrp-ab97051'>ab97051</a>) at 1/100000 dilution

Predicted band size: 22 kDa

Observed band size: 14 kDa,22 kDa

false

  • Unconjugated

    Anti-IL-18 antibody [EPR19954-188]

  • Biotin

    Biotin Anti-IL-18 antibody [EPR19954-188]

  • Carrier free

    Anti-IL-18 antibody [EPR19954-188] - BSA and Azide free (Capture)

Key facts

Host species

Rabbit

Clonality

Monoclonal

Clone number

EPR19954-188

Isotype

IgG

Carrier free

Yes

Reacts with

Human

Applications

WB, IHC-P, Flow Cyt (Intra)

applications

Immunogen

The exact immunogen used to generate this antibody is proprietary information.

Reactivity data

{ "title": "Reactivity Data", "filters": { "stats": ["", "Species", "Dilution Info", "Notes"], "tabs": { "all-applications": {"fullname" : "All Applications", "shortname": "All Applications"}, "WB" : {"fullname" : "Western blot", "shortname":"WB"}, "ICCIF" : {"fullname" : "Immunocytochemistry/ Immunofluorescence", "shortname":"ICC/IF"}, "FlowCytIntra" : {"fullname" : "Flow Cytometry (Intracellular)", "shortname":"Flow Cyt (Intra)"}, "IHCP" : {"fullname" : "Immunohistochemistry (Formalin/PFA-fixed paraffin-embedded sections)", "shortname":"IHC-P"} }, "product-promise": { "all": "all", "testedAndGuaranteed": "tested", "guaranteed": "expected", "predicted": "predicted", "notRecommended": "not-recommended" } }, "values": { "Human": { "WB-species-checked": "testedAndGuaranteed", "WB-species-dilution-info": "", "WB-species-notes": "<p></p>", "ICCIF-species-checked": "notRecommended", "ICCIF-species-dilution-info": "", "ICCIF-species-notes": "<p></p>", "FlowCytIntra-species-checked": "testedAndGuaranteed", "FlowCytIntra-species-dilution-info": "", "FlowCytIntra-species-notes": "<p></p>", "IHCP-species-checked": "testedAndGuaranteed", "IHCP-species-dilution-info": "", "IHCP-species-notes": "<p></p> Perform heat-mediated antigen retrieval with Tris/EDTA buffer pH 9.0 before commencing with IHC staining protocol." } } }

Product details

ab243295 is the carrier-free version of ab243091.

Patented technology
Our RabMAb® technology is a patented hybridoma-based technology for making rabbit monoclonal antibodies. For details on our patents, please refer to RabMAb® patents.

What are the advantages of a recombinant monoclonal antibody?
This product is a recombinant monoclonal antibody, which offers several advantages including:

  • - High batch-to-batch consistency and reproducibility
  • - Improved sensitivity and specificity
  • - Long-term security of supply
  • - Animal-free batch production

For more information, read more on recombinant antibodies.

Conjugation ready
Our carrier-free antibodies are typically supplied in a PBS-only formulation, purified and free of BSA, sodium azide and glycerol. This conjugation-ready format is designed for use with fluorochromes, metal isotopes, oligonucleotides, and enzymes, which makes them ideal for antibody labelling, functional and cell-based assays, flow-based assays (e.g. mass cytometry) and Multiplex Imaging applications.

Use our conjugation kits for antibody conjugates that are ready-to-use in as little as 20 minutes with 1 minute hands-on-time and 100% antibody recovery: available for fluorescent dyes, HRP, biotin and gold.

Compatibility
This product is compatible with the Maxpar® Antibody Labeling Kit from Fluidigm, without the need for antibody preparation. Maxpar® is a trademark of Fluidigm Canada Inc.

Properties and storage information

Form
Liquid
Purification technique
Affinity purification Protein A
Storage buffer
pH: 7.2 - 7.4 Constituents: PBS
Shipped at conditions
Blue Ice
Appropriate short-term storage conditions
+4°C
Appropriate long-term storage conditions
+4°C
Storage information
Do Not Freeze

Product protocols

For this product, it's our understanding that no specific protocols are required. You can visit:

Target data

Pro-inflammatory cytokine primarily involved in epithelial barrier repair, polarized T-helper 1 (Th1) cell and natural killer (NK) cell immune responses (PubMed : 10653850). Upon binding to IL18R1 and IL18RAP, forms a signaling ternary complex which activates NF-kappa-B, triggering synthesis of inflammatory mediators (PubMed : 14528293, PubMed : 25500532, PubMed : 37993714). Synergizes with IL12/interleukin-12 to induce IFNG synthesis from T-helper 1 (Th1) cells and natural killer (NK) cells (PubMed : 10653850). Involved in transduction of inflammation downstream of pyroptosis : its mature form is specifically released in the extracellular milieu by passing through the gasdermin-D (GSDMD) pore (PubMed : 33883744).
See full target information IL18

Publications (1)

Recent publications for all applications. Explore the full list and refine your search

Biochemistry and biophysics reports 40:101833 PubMed39398537

2024

CEACAM1 increased the lymphangiogenesis through miR-423-5p and NF- kB in Non-Small Cell Lung Cancer.

Applications

Unspecified application

Species

Unspecified reactive species

Jie Yu,Wenke Cai,Tao Zhou,Bo Men,Shunqiong Chen,Dong Tu,Wei Guo,Jicui Wang,Feipeng Zhao,Yan Wang
View all publications

Product promise

We are committed to supporting your work with high-quality reagents, and we're here for you every step of the way. In the unlikely event that one of our products does not perform as expected, you're protected by our Product Promise.
For full details, please see our Terms & Conditions

Please note: All products are 'FOR RESEARCH USE ONLY. NOT FOR USE IN DIAGNOSTIC OR THERAPEUTIC PROCEDURES'.

For licensing inquiries, please contact partnerships@abcam.com