JavaScript is disabled in your browser. Please enable JavaScript to view this website.
AB223293

Anti-IL-18 antibody [EPR22249-212]

Be the first to review this product! Submit a review

|

(15 Publications)

Rabbit Recombinant Monoclonal IL-18 antibody. Suitable for IHC-P and reacts with Mouse, Rat samples. Cited in 15 publications.

View Alternative Names

Igif, Il18, Interleukin-18, IL-18, Interferon gamma-inducing factor, Interleukin-1 gamma, IFN-gamma-inducing factor, IL-1 gamma

6 Images
Immunohistochemistry (Formalin/PFA-fixed paraffin-embedded sections) - Anti-IL-18 antibody [EPR22249-212] (AB223293)
  • IHC-P

Lab

Immunohistochemistry (Formalin/PFA-fixed paraffin-embedded sections) - Anti-IL-18 antibody [EPR22249-212] (AB223293)
Immunohistochemistry (Formalin/PFA-fixed paraffin-embedded sections) - Anti-IL-18 antibody [EPR22249-212] (AB223293)
  • IHC-P

Unknown

Immunohistochemistry (Formalin/PFA-fixed paraffin-embedded sections) - Anti-IL-18 antibody [EPR22249-212] (AB223293)

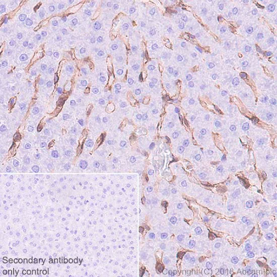
Immunohistochemical analysis of paraffin-embedded rat liver tissue labeling IL-18 with ab223293 at 1/2000 dilution, followed by Goat Anti-Rabbit IgG H&L (HRP) ready to use. Positive staining on Kupffer cells and hepatic sinus endothelial cells of rat liver (PMID : 17989120, PMID : 26203299). Countertsained with Heamtoxylin.

Secondary antibody only control : Used PBS instead of primary antibody, secondary antibody is Goat Anti-Rabbit IgG H&L (HRP) Ready to use.

Heat mediated antigen retrieval was performed with Tris/EDTA buffer pH 9.0 before commencing with IHC staining protocol.

Immunohistochemistry (Formalin/PFA-fixed paraffin-embedded sections) - Anti-IL-18 antibody [EPR22249-212] (AB223293)
  • IHC-P

Unknown

Immunohistochemistry (Formalin/PFA-fixed paraffin-embedded sections) - Anti-IL-18 antibody [EPR22249-212] (AB223293)

Immunohistochemical analysis of paraffin-embedded mouse liver tissue labeling IL-18 with ab223293 at 1/2000 dilution, followed by Goat Anti-Rabbit IgG H&L (HRP) Ready to use. Positive staining on Kupffer cells and hepatic sinus endothelial cells of mouse liver (PMID : 17989120, PMID : 26203299). Countertsained with Heamtoxylin.

Secondary antibody only control : Used PBS instead of primary antibody, secondary antibody is Goat Anti-Rabbit IgG H&L (HRP) Ready to use.

Heat mediated antigen retrieval was performed with Tris/EDTA buffer pH 9.0 before commencing with IHC staining protocol.

Immunohistochemistry (Formalin/PFA-fixed paraffin-embedded sections) - Anti-IL-18 antibody [EPR22249-212] (AB223293)
  • IHC-P

Unknown

Immunohistochemistry (Formalin/PFA-fixed paraffin-embedded sections) - Anti-IL-18 antibody [EPR22249-212] (AB223293)

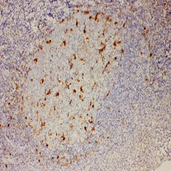
Immunohistochemical analysis of paraffin-embedded rat lung tissue labeling IL-18 with ab223293 at 1/2000 dilution, followed by Goat Anti-Rabbit IgG H&L (HRP) Ready to use. Positive staining on macrophages of rat lung (PMID : 17989120). Countertsained with Heamtoxylin.

Secondary antibody only control : Used PBS instead of primary antibody, secondary antibody is Goat Anti-Rabbit IgG H&L (HRP) Ready to use.

Heat mediated antigen retrieval was performed with Tris/EDTA buffer pH 9.0 before commencing with IHC staining protocol.

Immunohistochemistry (Formalin/PFA-fixed paraffin-embedded sections) - Anti-IL-18 antibody [EPR22249-212] (AB223293)
  • IHC-P

Unknown

Immunohistochemistry (Formalin/PFA-fixed paraffin-embedded sections) - Anti-IL-18 antibody [EPR22249-212] (AB223293)

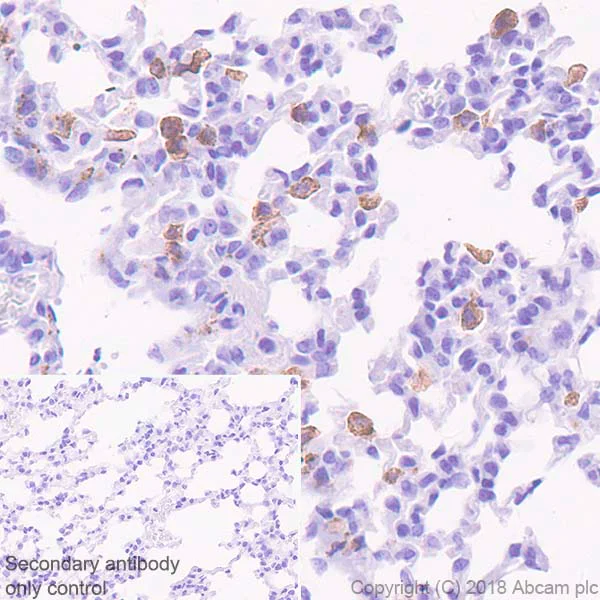
Immunohistochemical analysis of paraffin-embedded mouse lung tissue labeling IL-18 with ab223293 at 1/2000 dilution, followed by Goat Anti-Rabbit IgG H&L (HRP) Ready to use. Positive staining on macrophages of mouse lung (PMID : 17989120). Countertsained with Heamtoxylin.

Secondary antibody only control : Used PBS instead of primary antibody, secondary antibody is Goat Anti-Rabbit IgG H&L (HRP) Ready to use.

Heat mediated antigen retrieval was performed with Tris/EDTA buffer pH 9.0 before commencing with IHC staining protocol.

Immunohistochemistry (Formalin/PFA-fixed paraffin-embedded sections) - Anti-IL-18 antibody [EPR22249-212] (AB223293)
  • IHC-P

Lab

Immunohistochemistry (Formalin/PFA-fixed paraffin-embedded sections) - Anti-IL-18 antibody [EPR22249-212] (AB223293)

IHC image of IL-18 staining in a section of formalin-fixed paraffin-embedded normal mouse liver performed on a Leica Biosystems BOND® RX instrument using the standard protocol. The section was pre-treated using heat mediated antigen retrieval with sodium citrate buffer (pH6, epitope retrieval solution 1) for 20mins. The section was then incubated with ab223293, 1ug/ml, for 15 mins at room temperature and detected using an HRP conjugated compact polymer system. DAB was used as the chromogen. The section was then counterstained with haematoxylin and mounted with DPX. The inset secondary-only control image is taken from an identical assay without primary antibody.

For other IHC staining systems (automated and non-automated) customers should optimize variable parameters such as antigen retrieval conditions, primary antibody concentration and antibody incubation times.

Key facts

Host species

Rabbit

Clonality

Monoclonal

Clone number

EPR22249-212

Isotype

IgG

Carrier free

No

Reacts with

Mouse, Rat

Applications

IHC-P

applications

Immunogen

The exact immunogen used to generate this antibody is proprietary information.

Reactivity data

{ "title": "Reactivity Data", "filters": { "stats": ["", "Species", "Dilution Info", "Notes"], "tabs": { "all-applications": {"fullname" : "All Applications", "shortname": "All Applications"}, "IP" : {"fullname" : "Immunoprecipitation", "shortname":"IP"}, "IHCFr" : {"fullname" : "Immunohistochemistry (Frozen sections)", "shortname":"IHC-Fr"}, "IHCP" : {"fullname" : "Immunohistochemistry (Formalin/PFA-fixed paraffin-embedded sections)", "shortname":"IHC-P"} }, "product-promise": { "all": "all", "testedAndGuaranteed": "tested", "guaranteed": "expected", "predicted": "predicted", "notRecommended": "not-recommended" } }, "values": { "Mouse": { "IP-species-checked": "notRecommended", "IP-species-dilution-info": "", "IP-species-notes": "<p></p>", "IHCFr-species-checked": "notRecommended", "IHCFr-species-dilution-info": "", "IHCFr-species-notes": "<p></p>", "IHCP-species-checked": "testedAndGuaranteed", "IHCP-species-dilution-info": "1/2000", "IHCP-species-notes": "<p></p>" }, "Rat": { "IP-species-checked": "notRecommended", "IP-species-dilution-info": "", "IP-species-notes": "<p></p>", "IHCFr-species-checked": "notRecommended", "IHCFr-species-dilution-info": "", "IHCFr-species-notes": "<p></p>", "IHCP-species-checked": "testedAndGuaranteed", "IHCP-species-dilution-info": "1/2000", "IHCP-species-notes": "<p></p>" } } }

Product details

Patented technology
Our RabMAb® technology is a patented hybridoma-based technology for making rabbit monoclonal antibodies. For details on our patents, please refer to RabMAb® patents.

What are the advantages of a recombinant monoclonal antibody?
This product is a recombinant monoclonal antibody, which offers several advantages including:

  • - High batch-to-batch consistency and reproducibility
  • - Improved sensitivity and specificity
  • - Long-term security of supply
  • - Animal-free batch production

For more information, read more on recombinant antibodies.

Properties and storage information

Form
Liquid
Purification technique
Affinity purification Protein A
Storage buffer
pH: 7.2 - 7.4 Preservative: 0.01% Sodium azide Constituents: PBS, 40% Glycerol (glycerin, glycerine), 0.05% BSA
Shipped at conditions
Blue Ice
Appropriate short-term storage duration
1-2 weeks
Appropriate short-term storage conditions
+4°C
Appropriate long-term storage conditions
-20°C
Aliquoting information
Upon delivery aliquot
Storage information
Avoid freeze / thaw cycle

Product protocols

For this product, it's our understanding that no specific protocols are required. You can visit:

Target data

Pro-inflammatory cytokine primarily involved in epithelial barrier repair, polarized T-helper 1 (Th1) cell and natural killer (NK) cell immune responses (PubMed : 26638072, PubMed : 26638073). Upon binding to IL18R1 and IL18RAP, forms a signaling ternary complex which activates NF-kappa-B, triggering synthesis of inflammatory mediators (By similarity). Synergizes with IL12/interleukin-12 to induce IFNG synthesis from T-helper 1 (Th1) cells and natural killer (NK) cells (By similarity). Involved in transduction of inflammation downstream of pyroptosis : its mature form is specifically released in the extracellular milieu by passing through the gasdermin-D (GSDMD) pore (PubMed : 30392956).
See full target information Il18

Publications (15)

Recent publications for all applications. Explore the full list and refine your search

Scientific reports 15:26315 PubMed40685440

2025

Identification of clinical diagnostic and immune cell infiltration characteristics of acute myocardial infarction with machine learning approach.

Applications

Unspecified application

Species

Unspecified reactive species

Huali Jiang,Weijie Chen,Benfa Chen,Tao Feng,Heng Li,Dan Li,Shanhua Wang,Weijie Li

Neuroscience bulletin : PubMed40684422

2025

Single-Cell Sequencing Reveals Circadian Sensitivity of Noise-Induced Hearing Loss Mediated by Macrophage-Driven NLRP3 Inflammasome Activation.

Applications

Unspecified application

Species

Unspecified reactive species

Qingping Ma,Qixuan Wang,Zixuan Zhu,Qian Zhou,Zhongying Wang,Minfei Qian,Teng Li,Xixi Gu,Zechuan Chen,Xueling Wang,Xiaoming Zhang,Zhiwu Huang

Cardiology and cardiovascular medicine 9:82-88 PubMed40606544

2025

Interaction between Perivascular and Luminal Factors in Arteriovenous Fistula in Yucatan Miniswine.

Applications

Unspecified application

Species

Unspecified reactive species

Fanya Xia,Jacob Smith,Vikrant Rai,Devendra K Agrawal

Journal of translational medicine 23:232 PubMed40011941

2025

FSTL1 accelerates nucleus pulposus-derived mesenchymal stem cell apoptosis in intervertebral disc degeneration by activating TGF-β-mediated Smad2/3 phosphorylation.

Applications

Unspecified application

Species

Unspecified reactive species

Xu Yan,Jing-Yu Ding,Ren-Jie Zhang,Yan-Xin Wang,Lu-Ping Zhou,Hua-Qing Zhang,Liang Kang,Chong-Yu Jia,Xiao-Ying Liu,Cai-Liang Shen

Clinical and translational medicine 14:e70099 PubMed39605303

2024

NLRP3 activation maintains intestinal epithelial barrier and reduces liver injury in alcoholic liver disease mice.

Applications

Unspecified application

Species

Unspecified reactive species

Shi-Qing Li,Ya-Ru Wang,Zhong-Liang Xie,Yan Wang,Zi-Han Feng,Jian-Hao Xu,Bing Yuan,Yi-Tong Zhang,Guan Yang,Jing-Lin Wang,Yuan Yuan

Science advances 10:eadp7160 PubMed39514658

2024

Bimetallic peroxide nanoparticles induce PANoptosis by disrupting ion homeostasis for enhanced immunotherapy.

Applications

Unspecified application

Species

Unspecified reactive species

Guanghui Hou,Youdong Chen,Huali Lei,Yujie Lu,Lin Liu,Zhihui Han,Shumin Sun,Jingrui Li,Liang Cheng

Molecular medicine reports 30: PubMed38785157

2024

Tributyltin chloride induces chondrocyte damage through the activation of NLRP3‑mediated inflammation and pyroptosis.

Applications

Unspecified application

Species

Unspecified reactive species

Silong Xia,Rong Ma

Cell communication and signaling : CCS 20:98 PubMed35761358

2022

Increased susceptibility of irradiated mice to Aspergillus fumigatus infection via NLRP3/GSDMD pathway in pulmonary bronchial epithelia.

Applications

Unspecified application

Species

Unspecified reactive species

Dong-Ming Wu,Miao He,Yang-Yang Zhao,Shi-Hua Deng,Teng Liu,Ting Zhang,Feng Zhang,Yuan-Yi Wang,Ying Xu

Frontiers in pharmacology 13:877988 PubMed35656289

2022

Membrane Attack Complex C5b-9 Promotes Renal Tubular Epithelial Cell Pyroptosis in Trichloroethylene-Sensitized Mice.

Applications

Unspecified application

Species

Unspecified reactive species

Feng Wang,Meng Huang,Yican Wang,Yiting Hong,Dandan Zang,Chunjun Yang,Changhao Wu,Qixing Zhu

ESC heart failure 9:1689-1702 PubMed35304834

2022

Long non-coding RNA Sox2OT promotes coronary microembolization-induced myocardial injury by mediating pyroptosis.

Applications

Unspecified application

Species

Unspecified reactive species

Liying Xuan,Danni Fu,Dong Zhen,Dongsong Bai,Lijun Yu,Guohua Gong
View all publications

Product promise

We are committed to supporting your work with high-quality reagents, and we're here for you every step of the way. In the unlikely event that one of our products does not perform as expected, you're protected by our Product Promise.
For full details, please see our Terms & Conditions

Please note: All products are 'FOR RESEARCH USE ONLY. NOT FOR USE IN DIAGNOSTIC OR THERAPEUTIC PROCEDURES'.

For licensing inquiries, please contact partnerships@abcam.com