JavaScript is disabled in your browser. Please enable JavaScript to view this website.
AB242022

Anti-IL-18 antibody [EPR22249-212] - BSA and Azide free

Be the first to review this product! Submit a review

|

(2 Publications)

Rabbit Recombinant Monoclonal IL-18 antibody. Carrier free. Suitable for IHC-P and reacts with Rat, Mouse samples. Cited in 2 publications.

View Alternative Names

Igif, Il18, Interleukin-18, IL-18, Interferon gamma-inducing factor, Interleukin-1 gamma, IFN-gamma-inducing factor, IL-1 gamma

6 Images
Immunohistochemistry (Formalin/PFA-fixed paraffin-embedded sections) - Anti-IL-18 antibody [EPR22249-212] - BSA and Azide free (AB242022)
  • IHC-P

Lab

Immunohistochemistry (Formalin/PFA-fixed paraffin-embedded sections) - Anti-IL-18 antibody [EPR22249-212] - BSA and Azide free (AB242022)

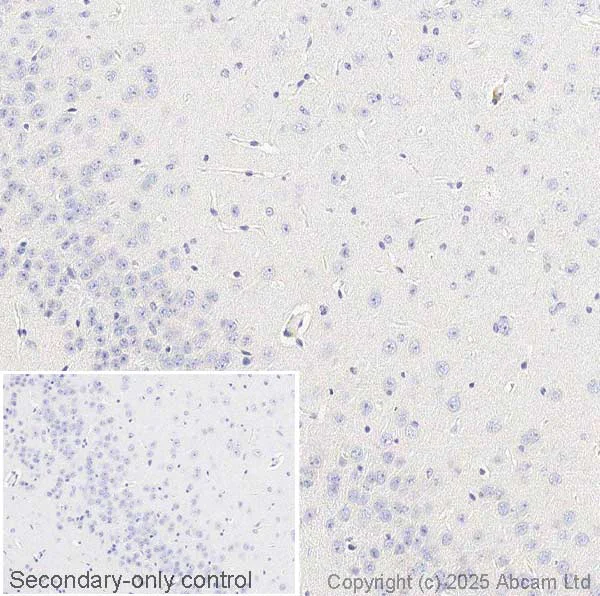
This data was developed using ab223293, the same antibody clone in a different buffer formulation.

Negative control image : IHC image of IL-18 staining in a section of formalin-fixed paraffin-embedded normal mouse brain performed on a Leica Biosystems BOND® RX instrument using the standard protocol. The section was pre-treated using heat mediated antigen retrieval with sodium citrate buffer (pH6, epitope retrieval solution 1) for 20mins. The section was then incubated with ab223293, 1ug/ml, for 15 mins at room temperature and detected using an HRP conjugated compact polymer system. DAB was used as the chromogen. The section was then counterstained with haematoxylin and mounted with DPX. The inset secondary-only control image is taken from an identical assay without primary antibody.

For other IHC staining systems (automated and non-automated) customers should optimize variable parameters such as antigen retrieval conditions, primary antibody concentration and antibody incubation times.

Immunohistochemistry (Formalin/PFA-fixed paraffin-embedded sections) - Anti-IL-18 antibody [EPR22249-212] - BSA and Azide free (AB242022)
  • IHC-P

Unknown

Immunohistochemistry (Formalin/PFA-fixed paraffin-embedded sections) - Anti-IL-18 antibody [EPR22249-212] - BSA and Azide free (AB242022)

Immunohistochemical analysis of paraffin-embedded rat liver tissue labeling IL-18 with ab223293 at 1/2000 dilution, followed by Goat Anti-Rabbit IgG H&L (HRP) ready to use. Positive staining on Kupffer cells and hepatic sinus endothelial cells of rat liver (PMID : 17989120, PMID : 26203299). Countertsained with Heamtoxylin.

Secondary antibody only control : Used PBS instead of primary antibody, secondary antibody is Goat Anti-Rabbit IgG H&L (HRP) Ready to use.

This data was developed using the same antibody clone in a different buffer formulation containing PBS, BSA, glycerol, and sodium azide (ab223293).

Immunohistochemistry (Formalin/PFA-fixed paraffin-embedded sections) - Anti-IL-18 antibody [EPR22249-212] - BSA and Azide free (AB242022)
  • IHC-P

Unknown

Immunohistochemistry (Formalin/PFA-fixed paraffin-embedded sections) - Anti-IL-18 antibody [EPR22249-212] - BSA and Azide free (AB242022)

Immunohistochemical analysis of paraffin-embedded mouse liver tissue labeling IL-18 with ab223293 at 1/2000 dilution, followed by Goat Anti-Rabbit IgG H&L (HRP) Ready to use. Positive staining on Kupffer cells and hepatic sinus endothelial cells of mouse liver (PMID : 17989120, PMID : 26203299). Countertsained with Heamtoxylin.

Secondary antibody only control : Used PBS instead of primary antibody, secondary antibody is Goat Anti-Rabbit IgG H&L (HRP) Ready to use.

This data was developed using the same antibody clone in a different buffer formulation containing PBS, BSA, glycerol, and sodium azide (ab223293).

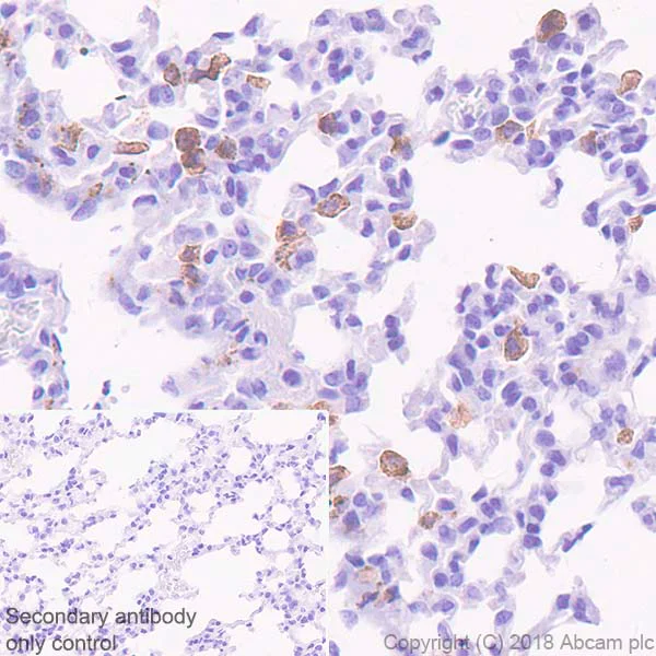
Immunohistochemistry (Formalin/PFA-fixed paraffin-embedded sections) - Anti-IL-18 antibody [EPR22249-212] - BSA and Azide free (AB242022)
  • IHC-P

Unknown

Immunohistochemistry (Formalin/PFA-fixed paraffin-embedded sections) - Anti-IL-18 antibody [EPR22249-212] - BSA and Azide free (AB242022)

Immunohistochemical analysis of paraffin-embedded rat lung tissue labeling IL-18 with ab223293 at 1/2000 dilution, followed by Goat Anti-Rabbit IgG H&L (HRP) Ready to use. Positive staining on macrophages of rat lung (PMID : 17989120). Countertsained with Heamtoxylin.

Secondary antibody only control : Used PBS instead of primary antibody, secondary antibody is Goat Anti-Rabbit IgG H&L (HRP) Ready to use.

This data was developed using the same antibody clone in a different buffer formulation containing PBS, BSA, glycerol, and sodium azide (ab223293).

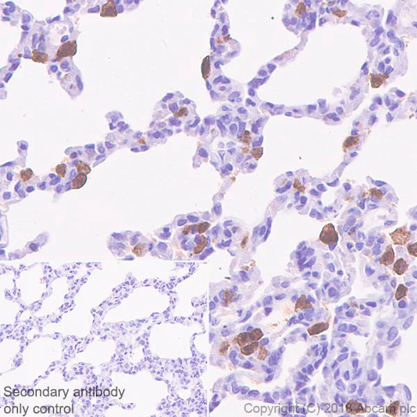
Immunohistochemistry (Formalin/PFA-fixed paraffin-embedded sections) - Anti-IL-18 antibody [EPR22249-212] - BSA and Azide free (AB242022)
  • IHC-P

Unknown

Immunohistochemistry (Formalin/PFA-fixed paraffin-embedded sections) - Anti-IL-18 antibody [EPR22249-212] - BSA and Azide free (AB242022)

Immunohistochemical analysis of paraffin-embedded mouse lung tissue labeling IL-18 with ab223293 at 1/2000 dilution, followed by Goat Anti-Rabbit IgG H&L (HRP) Ready to use. Positive staining on macrophages of mouse lung (PMID : 17989120). Countertsained with Heamtoxylin.

Secondary antibody only control : Used PBS instead of primary antibody, secondary antibody is Goat Anti-Rabbit IgG H&L (HRP) Ready to use.

This data was developed using the same antibody clone in a different buffer formulation containing PBS, BSA, glycerol, and sodium azide (ab223293).

Immunohistochemistry (Formalin/PFA-fixed paraffin-embedded sections) - Anti-IL-18 antibody [EPR22249-212] - BSA and Azide free (AB242022)
  • IHC-P

Lab

Immunohistochemistry (Formalin/PFA-fixed paraffin-embedded sections) - Anti-IL-18 antibody [EPR22249-212] - BSA and Azide free (AB242022)

Key facts

Host species

Rabbit

Clonality

Monoclonal

Clone number

EPR22249-212

Isotype

IgG

Carrier free

Yes

Reacts with

Mouse, Rat

Applications

IHC-P

applications

Immunogen

The exact immunogen used to generate this antibody is proprietary information.

Reactivity data

{ "title": "Reactivity Data", "filters": { "stats": ["", "Species", "Dilution Info", "Notes"], "tabs": { "all-applications": {"fullname" : "All Applications", "shortname": "All Applications"}, "IP" : {"fullname" : "Immunoprecipitation", "shortname":"IP"}, "IHCP" : {"fullname" : "Immunohistochemistry (Formalin/PFA-fixed paraffin-embedded sections)", "shortname":"IHC-P"}, "IHCFr" : {"fullname" : "Immunohistochemistry (Frozen sections)", "shortname":"IHC-Fr"} }, "product-promise": { "all": "all", "testedAndGuaranteed": "tested", "guaranteed": "expected", "predicted": "predicted", "notRecommended": "not-recommended" } }, "values": { "Mouse": { "IP-species-checked": "notRecommended", "IP-species-dilution-info": "", "IP-species-notes": "<p></p>", "IHCP-species-checked": "testedAndGuaranteed", "IHCP-species-dilution-info": "", "IHCP-species-notes": "<p></p>", "IHCFr-species-checked": "notRecommended", "IHCFr-species-dilution-info": "", "IHCFr-species-notes": "<p></p>" }, "Rat": { "IP-species-checked": "notRecommended", "IP-species-dilution-info": "", "IP-species-notes": "<p></p>", "IHCP-species-checked": "testedAndGuaranteed", "IHCP-species-dilution-info": "", "IHCP-species-notes": "<p></p>", "IHCFr-species-checked": "notRecommended", "IHCFr-species-dilution-info": "", "IHCFr-species-notes": "<p></p>" } } }

Product details

ab242022 is the carrier-free version of ab223293.

Patented technology
Our RabMAb® technology is a patented hybridoma-based technology for making rabbit monoclonal antibodies. For details on our patents, please refer to RabMAb® patents.

What are the advantages of a recombinant monoclonal antibody?
This product is a recombinant monoclonal antibody, which offers several advantages including:

  • - High batch-to-batch consistency and reproducibility
  • - Improved sensitivity and specificity
  • - Long-term security of supply
  • - Animal-free batch production

For more information, read more on recombinant antibodies.

Conjugation ready
Our carrier-free antibodies are typically supplied in a PBS-only formulation, purified and free of BSA, sodium azide and glycerol. This conjugation-ready format is designed for use with fluorochromes, metal isotopes, oligonucleotides, and enzymes, which makes them ideal for antibody labelling, functional and cell-based assays, flow-based assays (e.g. mass cytometry) and Multiplex Imaging applications.

Use our conjugation kits for antibody conjugates that are ready-to-use in as little as 20 minutes with 1 minute hands-on-time and 100% antibody recovery: available for fluorescent dyes, HRP, biotin and gold.

Compatibility
This product is compatible with the Maxpar® Antibody Labeling Kit from Fluidigm, without the need for antibody preparation. Maxpar® is a trademark of Fluidigm Canada Inc.

Properties and storage information

Form
Liquid
Purification technique
Affinity purification Protein A
Storage buffer
pH: 7.2 - 7.4 Constituents: PBS
Shipped at conditions
Blue Ice
Appropriate short-term storage conditions
+4°C
Appropriate long-term storage conditions
+4°C
Storage information
Do Not Freeze

Product protocols

For this product, it's our understanding that no specific protocols are required. You can visit:

Target data

Pro-inflammatory cytokine primarily involved in epithelial barrier repair, polarized T-helper 1 (Th1) cell and natural killer (NK) cell immune responses (PubMed : 26638072, PubMed : 26638073). Upon binding to IL18R1 and IL18RAP, forms a signaling ternary complex which activates NF-kappa-B, triggering synthesis of inflammatory mediators (By similarity). Synergizes with IL12/interleukin-12 to induce IFNG synthesis from T-helper 1 (Th1) cells and natural killer (NK) cells (By similarity). Involved in transduction of inflammation downstream of pyroptosis : its mature form is specifically released in the extracellular milieu by passing through the gasdermin-D (GSDMD) pore (PubMed : 30392956).
See full target information Il18

Publications (2)

Recent publications for all applications. Explore the full list and refine your search

Journal of inflammation (London, England) 20:35 PubMed37915070

2023

The TFPI2-PPARγ axis induces M2 polarization and inhibits fibroblast activation to promote recovery from post-myocardial infarction in diabetic mice.

Applications

Unspecified application

Species

Unspecified reactive species

Mengqi Guo,Zongyi Xia,Yefeng Hong,Hongwei Ji,Fuhai Li,Wenheng Liu,Shaohua Li,Hui Xin,Kai Tan,Zhexun Lian

Cardiovascular diabetology 21:130 PubMed35831885

2022

Improvement in insulin sensitivity and prevention of high fat diet-induced liver pathology using a CXCR2 antagonist.

Applications

Unspecified application

Species

Unspecified reactive species

Brett E Phillips,Louise Lantier,Carl Engman,Yesica Garciafigueroa,Aatur Singhi,Massimo Trucco,Christos Mantzoros,David Wasserman,Nick Giannoukakis
View all publications

Product promise

We are committed to supporting your work with high-quality reagents, and we're here for you every step of the way. In the unlikely event that one of our products does not perform as expected, you're protected by our Product Promise.
For full details, please see our Terms & Conditions

Please note: All products are 'FOR RESEARCH USE ONLY. NOT FOR USE IN DIAGNOSTIC OR THERAPEUTIC PROCEDURES'.

For licensing inquiries, please contact partnerships@abcam.com