JavaScript is disabled in your browser. Please enable JavaScript to view this website.
AB180898

Anti-IL-1F10 antibody - C-terminal

Be the first to review this product! Submit a review

|

(9 Publications)

Rabbit Polyclonal IL-1F10 antibody. C-terminal. Suitable for WB, IHC-P and reacts with Human, Mouse, Rat samples. Cited in 9 publications. Immunogen corresponding to Synthetic Peptide within Human IL1F10.

View Alternative Names

FIL1T, IL1HY2, IL38, FKSG75, UNQ6119/PRO20041, IL1F10, Interleukin-1 family member 10, IL-1F10, Family of interleukin 1-theta, Interleukin-1 HY2, Interleukin-1 theta, Interleukin-38, FIL1 theta, IL-1HY2, IL-1 theta, IL-38

2 Images
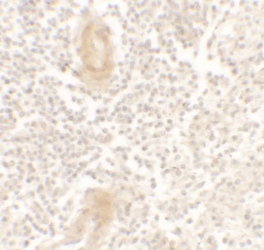
Immunohistochemistry (Formalin/PFA-fixed paraffin-embedded sections) - Anti-IL-1F10 antibody - C-terminal (AB180898)
  • IHC-P

Supplier Data

Immunohistochemistry (Formalin/PFA-fixed paraffin-embedded sections) - Anti-IL-1F10 antibody - C-terminal (AB180898)

Immunohistochemical analysis of paraffin-embedded Human spleen tissue, labeling IL1F10 using ab180898 at 5 μg/mL.

Western blot - Anti-IL-1F10 antibody - C-terminal (AB180898)
  • WB

Supplier Data

Western blot - Anti-IL-1F10 antibody - C-terminal (AB180898)

All lanes:

Western blot - Anti-IL-1F10 antibody - C-terminal (ab180898) at 1 µg

Lane 1:

Human liver tissue lysate at 15 µg with Absent

Lane 2:

Human liver tissue lysate at 15 µg with Present

Predicted band size: 17 kDa

Observed band size: 20 kDa

false

Key facts

Host species

Rabbit

Clonality

Polyclonal

Isotype

IgG

Carrier free

No

Reacts with

Human, Rat, Mouse

Applications

WB, IHC-P

applications

Immunogen

Synthetic Peptide within Human IL1F10. The exact immunogen used to generate this antibody is proprietary information.

Q8WWZ1

Reactivity data

{ "title": "Reactivity Data", "filters": { "stats": ["", "Species", "Dilution Info", "Notes"], "tabs": { "all-applications": {"fullname" : "All Applications", "shortname": "All Applications"}, "WB" : {"fullname" : "Western blot", "shortname":"WB"}, "IHCP" : {"fullname" : "Immunohistochemistry (Formalin/PFA-fixed paraffin-embedded sections)", "shortname":"IHC-P"} }, "product-promise": { "all": "all", "testedAndGuaranteed": "tested", "guaranteed": "expected", "predicted": "predicted", "notRecommended": "not-recommended" } }, "values": { "Human": { "WB-species-checked": "testedAndGuaranteed", "WB-species-dilution-info": "1-2 µg/mL", "WB-species-notes": "<p></p>", "IHCP-species-checked": "testedAndGuaranteed", "IHCP-species-dilution-info": "5 µg/mL", "IHCP-species-notes": "<p></p>" }, "Mouse": { "WB-species-checked": "guaranteed", "WB-species-dilution-info": "1-2 µg/mL", "WB-species-notes": "<p></p>", "IHCP-species-checked": "guaranteed", "IHCP-species-dilution-info": "5 µg/mL", "IHCP-species-notes": "<p></p>" }, "Rat": { "WB-species-checked": "guaranteed", "WB-species-dilution-info": "1-2 µg/mL", "WB-species-notes": "<p></p>", "IHCP-species-checked": "guaranteed", "IHCP-species-dilution-info": "5 µg/mL", "IHCP-species-notes": "<p></p>" } } }

Properties and storage information

Form
Liquid
Purification technique
Affinity purification Immunogen
Storage buffer
pH: 7.2 Preservative: 0.02% Sodium azide Constituents: PBS
Shipped at conditions
Blue Ice
Appropriate short-term storage duration
1-2 weeks
Appropriate short-term storage conditions
+4°C
Appropriate long-term storage conditions
-20°C
Aliquoting information
Upon delivery aliquot
Storage information
Avoid freeze / thaw cycle

Product protocols

For this product, it's our understanding that no specific protocols are required. You can visit:

Target data

Cytokine with immunomodulatory activity. Alone, does not induce cytokine production, but reduces IL22 and IL17A production by T-cells in response to heat-killed Candida albicans. Reduces IL36G-induced production of IL8 by peripheral blood mononuclear cells. Increases IL6 production by dendritic cells stimulated by bacterial lipopolysaccharides (LPS). Ligand for IL-36R/IL1RL2.
See full target information IL1F10

Publications (9)

Recent publications for all applications. Explore the full list and refine your search

Nature communications 15:7662 PubMed39266531

2024

IL36G-producing neutrophil-like monocytes promote cachexia in cancer.

Applications

Unspecified application

Species

Unspecified reactive species

Yoshihiro Hayashi,Yasushige Kamimura-Aoyagi,Sayuri Nishikawa,Rena Noka,Rika Iwata,Asami Iwabuchi,Yushin Watanabe,Natsumi Matsunuma,Kanako Yuki,Hiroki Kobayashi,Yuka Harada,Hironori Harada

Frontiers in immunology 15:1387921 PubMed39119344

2024

Interleukin-38 overexpression in keratinocytes limits desquamation but does not affect the global severity of imiquimod-induced skin inflammation in mice.

Applications

Unspecified application

Species

Unspecified reactive species

Arnaud Huard,Emiliana Rodriguez,Dominique Talabot-Ayer,Andreas Weigert,Gaby Palmer

International journal of biological sciences 20:3094-3112 PubMed38904012

2024

IL-38 Aggravates Atopic Dermatitis via Facilitating Migration of Langerhans cells.

Applications

Unspecified application

Species

Unspecified reactive species

Chengcheng Yue,Yawen Hu,Jiadong Yu,Hong Zhou,Pei Zhou,Jing Hu,Xiaoyan Wang,Linna Gu,Ya Li,Yuting Feng,Fanlian Zeng,Fulei Zhao,Guolin Li,Qixiang Zhao,Chen Zhang,Huaping Zheng,Wenling Wu,Xinai Cui,Nongyu Huang,Zhen Wang,Kaijun Cui,Jiong Li

Frontiers in immunology 15:1384548 PubMed38533512

2024

Exploring the clinical significance of IL-38 correlation with PD-1, CTLA-4, and FOXP3 in colorectal cancer draining lymph nodes.

Applications

Unspecified application

Species

Unspecified reactive species

Liuhong Yuan,Zhenyu Tan,Junjie Huang,Feier Chen,Brett D Hambly,Shisan Bao,Kun Tao

Proceedings of the National Academy of Sciences of the United States of America 119:e2202577119 PubMed36037361

2022

Interleukin 38 alleviates aortic valve calcification by inhibition of NLRP3.

Applications

Unspecified application

Species

Unspecified reactive species

Erlinda The,Dennis M de Graaf,Yufeng Zhai,Qingzhou Yao,Lihua Ao,David A Fullerton,Charles A Dinarello,Xianzhong Meng

Bone & joint research 11:594-607 PubMed35942891

2022

Long noncoding RNA H19 alleviates inflammation in osteoarthritis through interactions between TP53, IL-38, and IL-36 receptor.

Applications

Unspecified application

Species

Unspecified reactive species

Yeli Zhou,Jing Li,Feng Xu,Encheng Ji,Chenglong Wang,Zheer Pan

EMBO reports 23:e53791 PubMed35578812

2022

Interleukin-38 promotes skin tumorigenesis in an IL-1Rrp2-dependent manner.

Applications

Unspecified application

Species

Unspecified reactive species

Hong Zhou,Qixiang Zhao,Chengcheng Yue,Jiadong Yu,Huaping Zheng,Jing Hu,Zhonglan Hu,Haozhou Zhang,Xiu Teng,Xiao Liu,Xiaoqiong Wei,Yuxi Zhou,Fanlian Zeng,Yan Hao,Yawen Hu,Xiaoyan Wang,Chen Zhang,Linna Gu,Wenling Wu,Yifan Zhou,Kaijun Cui,Nongyu Huang,Wei Li,Zhen Wang,Jiong Li

Cancer immunology, immunotherapy : CII 69:69-79 PubMed31786620

2019

Interleukin-38 in colorectal cancer: a potential role in precision medicine.

Applications

Unspecified application

Species

Unspecified reactive species

Feier Chen,Feng Zhang,Zhenyu Tan,Brett D Hambly,Shisan Bao,Kun Tao

Journal of cellular and molecular medicine 24:371-384 PubMed31746138

2019

Interleukin-38 alleviates cardiac remodelling after myocardial infarction.

Applications

Unspecified application

Species

Unspecified reactive species

Yuzhen Wei,Yin Lan,Yucheng Zhong,Kunwu Yu,Wenbin Xu,Ruirui Zhu,Haitao Sun,Yan Ding,Yue Wang,Qiutang Zeng
View all publications

Product promise

We are committed to supporting your work with high-quality reagents, and we're here for you every step of the way. In the unlikely event that one of our products does not perform as expected, you're protected by our Product Promise.
For full details, please see our Terms & Conditions

Please note: All products are 'FOR RESEARCH USE ONLY. NOT FOR USE IN DIAGNOSTIC OR THERAPEUTIC PROCEDURES'.

For licensing inquiries, please contact partnerships@abcam.com