JavaScript is disabled in your browser. Please enable JavaScript to view this website.
AB324456

Anti-IL-1RA antibody [EPR29922-572]

  • BOND RX™ Validated
  • RabMAb
  • Recombinant
  • 20ul selling size
  • What is this?

Be the first to review this product! Submit a review

|

(0 Publication)

Rabbit Recombinant Monoclonal IL-1RA antibody. Suitable for IHC-P, WB and reacts with Transfected cell line - Mouse, Mouse samples.

View Alternative Names

Il-1ra, Il1rn, Interleukin-1 receptor antagonist protein, IL-1RN, IL-1ra, IRAP, IL1 inhibitor

9 Images
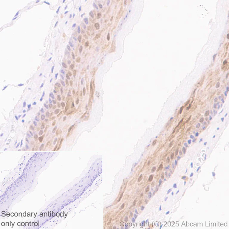
Immunohistochemistry (Formalin/PFA-fixed paraffin-embedded sections) - Anti-IL-1RA antibody [EPR29922-572] (AB324456)
  • IHC-P

Supplier Data

Immunohistochemistry (Formalin/PFA-fixed paraffin-embedded sections) - Anti-IL-1RA antibody [EPR29922-572] (AB324456)

Immunohistochemical analysis of paraffin-embedded Mouse skin tissue labeling IL-1RA with ab324456 at 1/1000 (0.503 ug/ml) dilution, followed by a ready to use LeicaDS9800 (Bond™ Polymer Refine Detection).

Positive staining on mouse skin.
The section was incubated with ab324456 for 30 mins at room temperature.
The immunostaining was performed on a Leica Biosystems BOND® RX instrument

Counterstained with Hematoxylin.

Secondary antibody only control : Secondary antibody is a ready to use LeicaDS9800 (Bond™ Polymer Refine Detection).

Heat mediated antigen retrieval was performed with Tris-EDTA buffer (pH 9.0, Epitope Retrieval Solution2) for 20 mins.

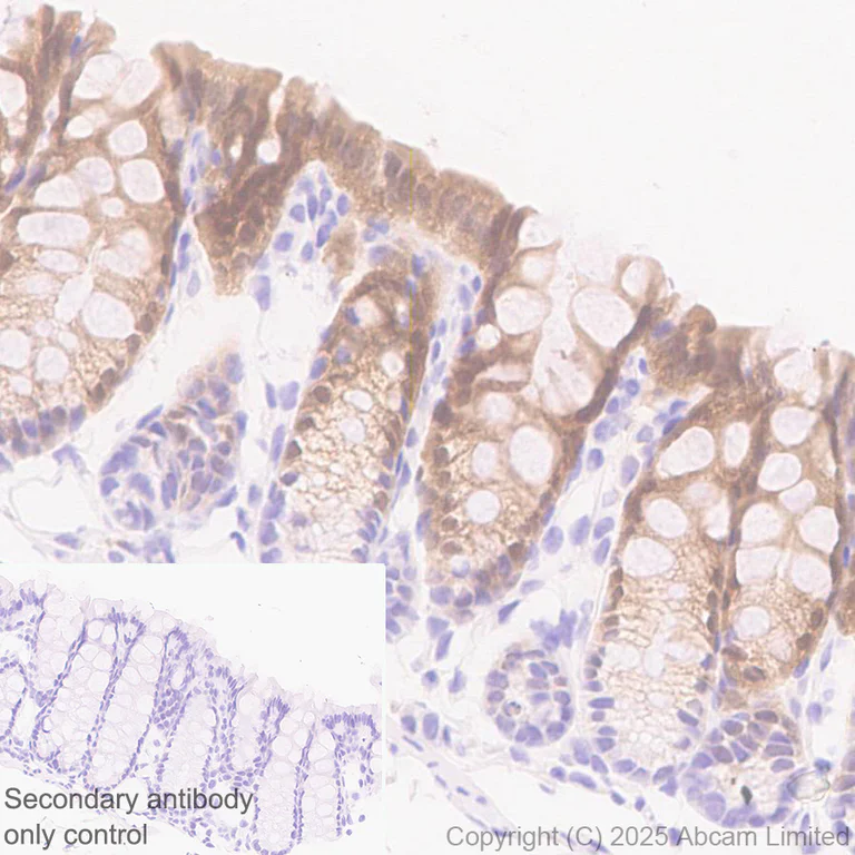
Immunohistochemistry (Formalin/PFA-fixed paraffin-embedded sections) - Anti-IL-1RA antibody [EPR29922-572] (AB324456)
  • IHC-P

Supplier Data

Immunohistochemistry (Formalin/PFA-fixed paraffin-embedded sections) - Anti-IL-1RA antibody [EPR29922-572] (AB324456)

Immunohistochemical analysis of paraffin-embedded Mouse colon tissue labeling IL-1RA with ab324456 at 1/1000 (0.503 ug/ml) dilution, followed by a ready to use LeicaDS9800 (Bond™ Polymer Refine Detection).

Positive staining on mouse colon.
The section was incubated with ab324456 for 30 mins at room temperature.
The immunostaining was performed on a Leica Biosystems BOND® RX instrument

Counterstained with Hematoxylin.

Secondary antibody only control : Secondary antibody is a ready to use LeicaDS9800 (Bond™ Polymer Refine Detection).

Heat mediated antigen retrieval was performed with Tris-EDTA buffer (pH 9.0, Epitope Retrieval Solution2) for 20 mins.

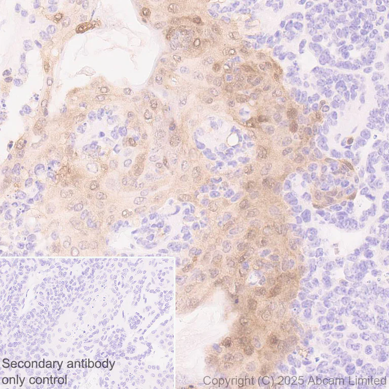
Immunohistochemistry (Formalin/PFA-fixed paraffin-embedded sections) - Anti-IL-1RA antibody [EPR29922-572] (AB324456)
  • IHC-P

Supplier Data

Immunohistochemistry (Formalin/PFA-fixed paraffin-embedded sections) - Anti-IL-1RA antibody [EPR29922-572] (AB324456)

Immunohistochemical analysis of paraffin-embedded Mouse squamous cell carcinoma tissue labeling IL-1RA with ab324456 at 1/1000 (0.503 ug/ml) dilution, followed by a ready to use LeicaDS9800 (Bond™ Polymer Refine Detection).

Positive staining on mouse squamous cell carcinoma.
The section was incubated with ab324456 for 30 mins at room temperature.
The immunostaining was performed on a Leica Biosystems BOND® RX instrument

Counterstained with Hematoxylin.

Secondary antibody only control : Secondary antibody is a ready to use LeicaDS9800 (Bond™ Polymer Refine Detection).

Heat mediated antigen retrieval was performed with Tris-EDTA buffer (pH 9.0, Epitope Retrieval Solution2) for 20 mins.

Immunohistochemistry (Formalin/PFA-fixed paraffin-embedded sections) - Anti-IL-1RA antibody [EPR29922-572] (AB324456)
  • IHC-P

Supplier Data

Immunohistochemistry (Formalin/PFA-fixed paraffin-embedded sections) - Anti-IL-1RA antibody [EPR29922-572] (AB324456)

Immunohistochemical analysis of paraffin-embedded Mouse esophagus tissue labeling IL-1RA with ab324456 at 1/1000 (0.503 ug/ml) dilution, followed by a ready to use LeicaDS9800 (Bond™ Polymer Refine Detection).

Positive staining on mouse esophagus.
The section was incubated with ab324456 for 30 mins at room temperature.
The immunostaining was performed on a Leica Biosystems BOND® RX instrument

Counterstained with Hematoxylin.

Secondary antibody only control : Secondary antibody is a ready to use LeicaDS9800 (Bond™ Polymer Refine Detection).

Heat mediated antigen retrieval was performed with Tris-EDTA buffer (pH 9.0, Epitope Retrieval Solution2) for 20 mins.

Western blot - Anti-IL-1RA antibody [EPR29922-572] (AB324456)
  • WB

Supplier Data

Western blot - Anti-IL-1RA antibody [EPR29922-572] (AB324456)

Blocking and diluting buffer and concentration : 5% NFDM/TBST.

Low expression : spleen

The expression profile/ molecular weight observed is consistent with what has been described in the literature (PMID : 9597123; PMID : 37563620; PMID : 38356712).

In Western blot, Anti-GAPDH antibody [EPR16891] - Loading Control (ab181602) staining at 1/200000 dilution.

All lanes:

Western blot - Anti-IL-1RA antibody [EPR29922-572] (ab324456) at 1/1000 dilution

Lane 1:

Untreated RAW 264.7 (mouse Abelson murine leukemia virus-induced tumor macrophage) whole cell lysate at 48 µg

Lane 2:

RAW 264.7 treated with 50 ng/ml TNF alpha for 24 hours whole cell lysate at 48 µg

Lane 3:

Mosue colon tissue lysate at 48 µg

Lane 4:

Mouse spleen tissue lysate at 48 µg

Secondary

All lanes:

Western blot - Goat Anti-Rabbit IgG H&L (HRP) (<a href='/en-us/products/secondary-antibodies/goat-rabbit-igg-h-l-hrp-ab97051'>ab97051</a>) at 1/20000 dilution

Observed band size: 18 kDa,20 kDa,37 kDa

false

Exposure time: 37s

Western blot - Anti-IL-1RA antibody [EPR29922-572] (AB324456)
  • WB

Supplier Data

Western blot - Anti-IL-1RA antibody [EPR29922-572] (AB324456)

Blocking and diluting buffer and concentration : 5% NFDM/TBST.

Low expression : CTLL-2, EL4

The expression profile/ molecular weight observed is consistent with what has been described in the literature (PMID : 9597123; PMID : 37563620; PMID : 38356712).

In Western blot, Anti-GAPDH antibody [EPR16891] - Loading Control (ab181602) staining at 1/200000 dilution.

All lanes:

Western blot - Anti-IL-1RA antibody [EPR29922-572] (ab324456) at 1/1000 dilution

Lane 1:

NMuLi (mouse liver epithelial cell) whole cell lysate at 40 µg

Lane 2:

CTLL-2 (mouse T lymphocyte) whole cell lysate at 40 µg

Lane 3:

EL4 (mouse lymphoma T lymphocyte) whole cell lysate at 40 µg

Secondary

All lanes:

Western blot - Goat Anti-Rabbit IgG H&L (HRP) (<a href='/en-us/products/secondary-antibodies/goat-rabbit-igg-h-l-hrp-ab97051'>ab97051</a>) at 1/20000 dilution

Observed band size: 18 kDa,20 kDa,37 kDa

false

Exposure time: 10s

Immunohistochemistry (Formalin/PFA-fixed paraffin-embedded sections) - Anti-IL-1RA antibody [EPR29922-572] (AB324456)
  • IHC-P

Supplier Data

Immunohistochemistry (Formalin/PFA-fixed paraffin-embedded sections) - Anti-IL-1RA antibody [EPR29922-572] (AB324456)

Immunohistochemical analysis of paraffin-embedded Mouse kidney tissue labeling IL-1RA with ab324456 at 1/1000 (0.503 ug/ml) dilution, followed by a ready to use LeicaDS9800 (Bond™ Polymer Refine Detection).

Negative control : no staining on mouse kidney.
The section was incubated with ab324456 for 30 mins at room temperature.
The immunostaining was performed on a Leica Biosystems BOND® RX instrument

Counterstained with Hematoxylin.

Secondary antibody only control : Secondary antibody is a ready to use LeicaDS9800 (Bond™ Polymer Refine Detection).

Heat mediated antigen retrieval was performed with Tris-EDTA buffer (pH 9.0, Epitope Retrieval Solution2) for 20 mins.

Immunohistochemistry (Formalin/PFA-fixed paraffin-embedded sections) - Anti-IL-1RA antibody [EPR29922-572] (AB324456)
  • IHC-P

Supplier Data

Immunohistochemistry (Formalin/PFA-fixed paraffin-embedded sections) - Anti-IL-1RA antibody [EPR29922-572] (AB324456)

Immunohistochemical analysis of paraffin-embedded (A) HEK-293T (human embryonic kidney epithelial cell) transfected with a mouse IL-1RA expression vector containing a myc-His-tag, (B) HEK-293T cells transfected with a mouse IL-36A expression vector containing a myc-His-tag, (C) HEK-293T cells transfected with a mouse IL-36B expression vector containing a myc-His-tag, (D) HEK-293T cells transfected with a mouse IL-36RA expression vector containing a myc-His-tag, (E) HEK-293T cells transfected with empty vector containing a myc-His-tag, labeling IL-1RA with ab324456 at 1/2000 (0.252 ug/ml) dilution, followed by a ready to use LeicaDS9800 (Bond™ Polymer Refine Detection).

Positive staining on (A) HEK-293T (human embryonic kidney epithelial cell) transfected with a mouse IL-1RA expression vector containing a myc-His-tag. Negative staining on (B) HEK-293T cells transfected with a mouse IL-36A expression vector containing a myc-His-tag, (C) HEK-293T cells transfected with a mouse IL-36B expression vector containing a myc-His-tag, (D) HEK-293T cells transfected with a mouse IL-36RA expression vector containing a myc-His-tag, (E) HEK-293T cells transfected with empty vector containing a myc-His-tag.
The section was incubated with ab324456 for 30 mins at room temperature.
The immunostaining was performed on a Leica Biosystems BOND® RX instrument

Counterstained with Hematoxylin.

Secondary antibody only control : Secondary antibody is a ready to use LeicaDS9800 (Bond™ Polymer Refine Detection).

Heat mediated antigen retrieval was performed with citrate buffer (pH 9.0, epitope retrieval solution 2) for 20 mins.

Immunohistochemistry (Formalin/PFA-fixed paraffin-embedded sections) - Anti-IL-1RA antibody [EPR29922-572] (AB324456)
  • IHC-P

Supplier Data

Immunohistochemistry (Formalin/PFA-fixed paraffin-embedded sections) - Anti-IL-1RA antibody [EPR29922-572] (AB324456)

Immunohistochemical analysis of paraffin-embedded Mouse spleen tissue labeling IL-1RA with ab324456 at 1/1000 (0.503 ug/ml) dilution, followed by a ready to use LeicaDS9800 (Bond™ Polymer Refine Detection).

Negative control : no staining on mouse spleen.
The section was incubated with ab324456 for 30 mins at room temperature.
The immunostaining was performed on a Leica Biosystems BOND® RX instrument

Counterstained with Hematoxylin.

Secondary antibody only control : Secondary antibody is a ready to use LeicaDS9800 (Bond™ Polymer Refine Detection).

Heat mediated antigen retrieval was performed with Tris-EDTA buffer (pH 9.0, Epitope Retrieval Solution2) for 20 mins.

Key facts

Host species

Rabbit

Clonality

Monoclonal

Clone number

EPR29922-572

Isotype

IgG

Carrier free

No

Reacts with

Mouse

Applications

WB, IHC-P

applications

Immunogen

The exact immunogen used to generate this antibody is proprietary information.

Reactivity data

{ "title": "Reactivity Data", "filters": { "stats": ["", "Species", "Dilution Info", "Notes"], "tabs": { "all-applications": {"fullname" : "All Applications", "shortname": "All Applications"}, "IHCP" : {"fullname" : "Immunohistochemistry (Formalin/PFA-fixed paraffin-embedded sections)", "shortname":"IHC-P"}, "WB" : {"fullname" : "Western blot", "shortname":"WB"}, "FlowCytIntra" : {"fullname" : "Flow Cytometry (Intracellular)", "shortname":"Flow Cyt (Intra)"} }, "product-promise": { "all": "all", "testedAndGuaranteed": "tested", "guaranteed": "expected", "predicted": "predicted", "notRecommended": "not-recommended" } }, "values": { "Mouse": { "IHCP-species-checked": "testedAndGuaranteed", "IHCP-species-dilution-info": "1/1000", "IHCP-species-notes": "<p></p> Perform heat-mediated antigen retrieval with Tris/EDTA buffer pH 9.0 before commencing with IHC staining protocol.", "WB-species-checked": "testedAndGuaranteed", "WB-species-dilution-info": "1/1000", "WB-species-notes": "<p></p>", "FlowCytIntra-species-checked": "notRecommended", "FlowCytIntra-species-dilution-info": "", "FlowCytIntra-species-notes": "<p></p>" }, "Transfected cell line - Mouse": { "IHCP-species-checked": "testedAndGuaranteed", "IHCP-species-dilution-info": "1/2000", "IHCP-species-notes": "<p></p>", "WB-species-checked": "notRecommended", "WB-species-dilution-info": "", "WB-species-notes": "", "FlowCytIntra-species-checked": "notRecommended", "FlowCytIntra-species-dilution-info": "", "FlowCytIntra-species-notes": "" } } }

Product details

Patented technology
Our RabMAb® technology is a patented hybridoma-based technology for making rabbit monoclonal antibodies. For details on our patents, please refer to RabMAb® patents.

What are the advantages of a recombinant monoclonal antibody?
This product is a recombinant monoclonal antibody, which offers several advantages including:

  • - High batch-to-batch consistency and reproducibility
  • - Improved sensitivity and specificity
  • - Long-term security of supply
  • - Animal-free batch production

For more information, read more on recombinant antibodies.

Properties and storage information

Form
Liquid
Purification technique
Affinity purification Protein A
Storage buffer
pH: 7.2 - 7.4 Preservative: 0.01% Sodium azide Constituents: PBS, 40% Glycerol (glycerin, glycerine), 0.05% BSA
Shipped at conditions
Blue Ice
Appropriate short-term storage duration
1-2 weeks
Appropriate short-term storage conditions
+4°C
Appropriate long-term storage conditions
-20°C
Aliquoting information
Upon delivery aliquot
Storage information
Avoid freeze / thaw cycle

Product protocols

For this product, it's our understanding that no specific protocols are required. You can visit:

Target data

Anti-inflammatory antagonist of interleukin-1 family of proinflammatory cytokines such as interleukin-1beta/IL1B and interleukin-1alpha/IL1A. Protects from immune dysregulation and uncontrolled systemic inflammation triggered by IL1 for a range of innate stimulatory agents such as pathogens.
See full target information Il1rn

Product promise

We are committed to supporting your work with high-quality reagents, and we're here for you every step of the way. In the unlikely event that one of our products does not perform as expected, you're protected by our Product Promise.
For full details, please see our Terms & Conditions

Please note: All products are 'FOR RESEARCH USE ONLY. NOT FOR USE IN DIAGNOSTIC OR THERAPEUTIC PROCEDURES'.

For licensing inquiries, please contact partnerships@abcam.com