JavaScript is disabled in your browser. Please enable JavaScript to view this website.
AB256461

Anti-IL-1RAcP antibody [EPR22678-67]

Be the first to review this product! Submit a review

|

(4 Publications)

Rabbit Recombinant Monoclonal IL-1RAcP antibody. Suitable for IP, Flow Cyt, I-ELISA, WB and reacts with Human, Recombinant full length protein - Human samples. Cited in 4 publications.

View Alternative Names

C3orf13, IL1R3, IL1RAP, Interleukin-1 receptor accessory protein, IL-1 receptor accessory protein, IL-1RAcP, Interleukin-1 receptor 3, IL-1R-3, IL-1R3

6 Images
Flow Cytometry - Anti-IL-1RAcP antibody [EPR22678-67] (AB256461)
  • Flow Cyt

Unknown

Flow Cytometry - Anti-IL-1RAcP antibody [EPR22678-67] (AB256461)

Flow cytometric analysis of Raji (Human burkitt's lymphoma b lymphocyte, Left panel) and HepG2 (Human hepatocellular carcinoma epithelial cell, Right panel) cells labeling IL-1RAcP with ab256461 at a 1/60 dilution (1μg, red), compared with a Rabbit monoclonal IgG (ab172730) (Black) isotype control and an unlabeled control (cells without incubation with primary antibody and secondary antibody) (Blue). Goat anti rabbit IgG (Alexa Fluor® 488, ab150077) at a 1/2000 dilution was used as the secondary antibody. Negative control : Raji (PMID : 30514753). Gated on viable cells.

Flow Cytometry - Anti-IL-1RAcP antibody [EPR22678-67] (AB256461)
  • Flow Cyt

Lab

Flow Cytometry - Anti-IL-1RAcP antibody [EPR22678-67] (AB256461)

Flow cytometry overlay histogram showing wild-type HeLa (green line) and IL1RAP knockout HeLa cells (ab273375) stained with ab256461 (red line). The cells were incubated in 1x PBS containing 10% normal goat serum to block non-specific protein-protein interaction followed by the antibody (ab256461) (1x106 in 100μl at 10 μ/ml) for 30 min at 4°C.

The secondary antibody Goat anti-rabbit IgG H&L (Alexa Fluor® 488, pre-adsorbed) (ab150081) was used at 1/2000 for 30 min at 4°C.

Isotype control antibody was Rabbit IgG (monoclonal) (ab172730) used at the same concentration and conditions as the primary antibody (wild-type HeLa - black line; IL1RAP knockout HeLa - grey line). Unlabelled sample was also used as a control (this line is not shown for the purpose of simplicity).

Acquisition of >5000 events were collected using a 50 mW Blue laser (488nm) and 525/40 bandpass filter.

Immunoprecipitation - Anti-IL-1RAcP antibody [EPR22678-67] (AB256461)
  • IP

Unknown

Immunoprecipitation - Anti-IL-1RAcP antibody [EPR22678-67] (AB256461)

IL-1RAcP was immunoprecipitated from 0.35 mg KARPAS-299 (human anaplastic large cell lymphoma) whole cell lysate 10μg with ab256461 at 1/30 dilution (2μg in 0.35mg lysates). Western blot was performed on the immunoprecipitate using ab256461 at a 1/1000 dilution (0.59 μg/ml). VeriBlot for IP Detection Reagent (HRP) (ab131366) was used at 1/5000 dilution.

Lane 1 : KARPAS-299 (human anaplastic large cell lymphoma) whole cell lysate 10μg.

Lane 2 : ab256461 IP in KARPAS-299 whole cell lysate.

Lane 3 : Rabbit monoclonal IgG (ab172730) instead of ab256461 in KARPAS-299 whole cell lysate.

Blocking/Dilution buffer : 5% NFDM/TBST.

Exposure time : 75 secs.

All lanes:

Immunoprecipitation - Anti-IL-1RAcP antibody [EPR22678-67] (ab256461)

Predicted band size: 65 kDa

false

Indirect ELISA - Anti-IL-1RAcP antibody [EPR22678-67] (AB256461)
  • I-ELISA

Lab

Indirect ELISA - Anti-IL-1RAcP antibody [EPR22678-67] (AB256461)

ELISA analysis of Hu IL1RAP recombinant protein at 1000 ng/mL with ab256461. An Alkaline Phosphatase-conjugated AffiniPure Goat Anti-Rabbit IgG (H+L) at 1/2500 dilution was used as the secondary antibody.

Western blot - Anti-IL-1RAcP antibody [EPR22678-67] (AB256461)
  • WB

Unknown

Western blot - Anti-IL-1RAcP antibody [EPR22678-67] (AB256461)

The molecular weight observed is consistent with what has been described in the literature (PMID : 30514753).

This blot was developed using a higher sensitivity ECL substrate.

Blocking/Dilution buffer : 5% NFDM/TBT.

All lanes:

Western blot - Anti-IL-1RAcP antibody [EPR22678-67] (ab256461) at 1/1000 dilution

All lanes:

HepG2 (human hepatocellular carcinoma epithelial cell) whole cell lysate at 20 µg

Secondary

All lanes:

Western blot - Goat Anti-Rabbit IgG H&L (HRP) (<a href='/en-us/products/secondary-antibodies/goat-rabbit-igg-h-l-hrp-ab97051'>ab97051</a>) at 1/20000 dilution

Predicted band size: 65 kDa

false

Exposure time: 3min

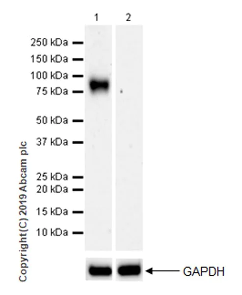
Western blot - Anti-IL-1RAcP antibody [EPR22678-67] (AB256461)
  • WB

Unknown

Western blot - Anti-IL-1RAcP antibody [EPR22678-67] (AB256461)

The molecular weight observed is consistent with what has been described in the literature (PMID : 30514753).

Negative control : Raji (PMID : 30514753).

Blocking/Dilution buffer : 5% NFDM/TBST.

All lanes:

Western blot - Anti-IL-1RAcP antibody [EPR22678-67] (ab256461) at 1/1000 dilution

Lane 1:

KARPAS-299 (human anaplastic large cell lymphoma) whole cell lysate at 20 µg

Lane 2:

Raji (human burkitt's lymphoma b lymphocyte) whole cell lysate at 20 µg

Secondary

All lanes:

Western blot - Goat Anti-Rabbit IgG H&L (HRP) (<a href='/en-us/products/secondary-antibodies/goat-rabbit-igg-h-l-hrp-ab97051'>ab97051</a>) at 1/20000 dilution

Predicted band size: 65 kDa

false

Exposure time: 3min

  • Carrier free

    Anti-IL-1RAcP antibody [EPR22678-67] - BSA and Azide free

Key facts

Host species

Rabbit

Clonality

Monoclonal

Clone number

EPR22678-67

Isotype

IgG

Carrier free

No

Reacts with

Human

Applications

IP, Flow Cyt, WB, I-ELISA

applications

Immunogen

The exact immunogen used to generate this antibody is proprietary information.

Reactivity data

{ "title": "Reactivity Data", "filters": { "stats": ["", "Species", "Dilution Info", "Notes"], "tabs": { "all-applications": {"fullname" : "All Applications", "shortname": "All Applications"}, "IP" : {"fullname" : "Immunoprecipitation", "shortname":"IP"}, "FlowCyt" : {"fullname" : "Flow Cytometry", "shortname":"Flow Cyt"}, "IELISA" : {"fullname" : "Indirect ELISA", "shortname":"I-ELISA"}, "WB" : {"fullname" : "Western blot", "shortname":"WB"}, "IHCP" : {"fullname" : "Immunohistochemistry (Formalin/PFA-fixed paraffin-embedded sections)", "shortname":"IHC-P"}, "ICCIF" : {"fullname" : "Immunocytochemistry/ Immunofluorescence", "shortname":"ICC/IF"} }, "product-promise": { "all": "all", "testedAndGuaranteed": "tested", "guaranteed": "expected", "predicted": "predicted", "notRecommended": "not-recommended" } }, "values": { "Human": { "IP-species-checked": "testedAndGuaranteed", "IP-species-dilution-info": "1/30", "IP-species-notes": "<p></p>", "FlowCyt-species-checked": "testedAndGuaranteed", "FlowCyt-species-dilution-info": "1/60", "FlowCyt-species-notes": "<p></p>", "IELISA-species-checked": "guaranteed", "IELISA-species-dilution-info": "", "IELISA-species-notes": "", "WB-species-checked": "testedAndGuaranteed", "WB-species-dilution-info": "1/1000", "WB-species-notes": "<p></p>", "IHCP-species-checked": "notRecommended", "IHCP-species-dilution-info": "", "IHCP-species-notes": "<p></p>", "ICCIF-species-checked": "notRecommended", "ICCIF-species-dilution-info": "", "ICCIF-species-notes": "<p></p>" }, "Mouse": { "IP-species-checked": "notRecommended", "IP-species-dilution-info": "", "IP-species-notes": "", "FlowCyt-species-checked": "notRecommended", "FlowCyt-species-dilution-info": "", "FlowCyt-species-notes": "", "IELISA-species-checked": "notRecommended", "IELISA-species-dilution-info": "", "IELISA-species-notes": "", "WB-species-checked": "notRecommended", "WB-species-dilution-info": "", "WB-species-notes": "", "IHCP-species-checked": "notRecommended", "IHCP-species-dilution-info": "", "IHCP-species-notes": "<p></p>", "ICCIF-species-checked": "notRecommended", "ICCIF-species-dilution-info": "", "ICCIF-species-notes": "" }, "Rat": { "IP-species-checked": "notRecommended", "IP-species-dilution-info": "", "IP-species-notes": "", "FlowCyt-species-checked": "notRecommended", "FlowCyt-species-dilution-info": "", "FlowCyt-species-notes": "", "IELISA-species-checked": "notRecommended", "IELISA-species-dilution-info": "", "IELISA-species-notes": "", "WB-species-checked": "notRecommended", "WB-species-dilution-info": "", "WB-species-notes": "", "IHCP-species-checked": "notRecommended", "IHCP-species-dilution-info": "", "IHCP-species-notes": "<p></p>", "ICCIF-species-checked": "notRecommended", "ICCIF-species-dilution-info": "", "ICCIF-species-notes": "" }, "Recombinant full length protein - Human": { "IP-species-checked": "notRecommended", "IP-species-dilution-info": "", "IP-species-notes": "", "FlowCyt-species-checked": "notRecommended", "FlowCyt-species-dilution-info": "", "FlowCyt-species-notes": "", "IELISA-species-checked": "testedAndGuaranteed", "IELISA-species-dilution-info": "", "IELISA-species-notes": "<p></p>", "WB-species-checked": "notRecommended", "WB-species-dilution-info": "", "WB-species-notes": "", "IHCP-species-checked": "notRecommended", "IHCP-species-dilution-info": "", "IHCP-species-notes": "", "ICCIF-species-checked": "notRecommended", "ICCIF-species-dilution-info": "", "ICCIF-species-notes": "" } } }

Product details

Patented technology
Our RabMAb® technology is a patented hybridoma-based technology for making rabbit monoclonal antibodies. For details on our patents, please refer to RabMAb® patents.

What are the advantages of a recombinant monoclonal antibody?
This product is a recombinant monoclonal antibody, which offers several advantages including:

  • - High batch-to-batch consistency and reproducibility
  • - Improved sensitivity and specificity
  • - Long-term security of supply
  • - Animal-free batch production

For more information, read more on recombinant antibodies.

Properties and storage information

Form
Liquid
Purification technique
Affinity purification Protein A
Storage buffer
pH: 7.2 - 7.4 Preservative: 0.01% Sodium azide Constituents: PBS, 40% Glycerol (glycerin, glycerine), 0.05% BSA
Shipped at conditions
Blue Ice
Appropriate short-term storage duration
1-2 weeks
Appropriate short-term storage conditions
+4°C
Appropriate long-term storage conditions
-20°C
Aliquoting information
Upon delivery aliquot
Storage information
Avoid freeze / thaw cycle

Product protocols

For this product, it's our understanding that no specific protocols are required. You can visit:

Target data

Coreceptor for IL1RL2 in the IL-36 signaling system (By similarity). Coreceptor with IL1R1 in the IL-1 signaling system. Associates with IL1R1 bound to IL1B to form the high affinity interleukin-1 receptor complex which mediates interleukin-1-dependent activation of NF-kappa-B and other pathways. Signaling involves the recruitment of adapter molecules such as TOLLIP, MYD88, and IRAK1 or IRAK2 via the respective TIR domains of the receptor/coreceptor subunits. Recruits TOLLIP to the signaling complex. Does not bind to interleukin-1 alone; binding of IL1RN to IL1R1, prevents its association with IL1R1 to form a signaling complex. The cellular response is modulated through a non-signaling association with the membrane IL1R2 decoy receptor. Coreceptor for IL1RL1 in the IL-33 signaling system. Can bidirectionally induce pre- and postsynaptic differentiation of neurons by trans-synaptically binding to PTPRD (By similarity). May play a role in IL1B-mediated costimulation of IFNG production from T-helper 1 (Th1) cells (Probable).. Isoform 2. Associates with secreted ligand-bound IL1R2 and increases the affinity of secreted IL1R2 for IL1B; this complex formation may be the dominant mechanism for neutralization of IL1B by secreted/soluble receptors (PubMed : 12530978). Enhances the ability of secreted IL1R1 to inhibit IL-33 signaling (By similarity).. Isoform 4. Unable to mediate canonical IL-1 signaling (PubMed : 19481478). Required for Src phosphorylation by IL1B. May be involved in IL1B-potentiated NMDA-induced calcium influx in neurons (By similarity).
See full target information IL1RAP

Publications (4)

Recent publications for all applications. Explore the full list and refine your search

Oncogene 44:1400-1414 PubMed40011576

2025

Cancer-associated fibroblasts promote EGFR-TKI resistance via the CTHRC1/glycolysis/H3K18la positive feedback loop.

Applications

Unspecified application

Species

Unspecified reactive species

Chen Zhang,Wenxin Zhou,Hai Xu,Jiali Xu,Jun Li,Xinyin Liu,Xiyi Lu,Jiali Dai,Yuqin Jiang,Wei Wang,Erbao Zhang,Renhua Guo

International journal of medical sciences 21:1738-1755 PubMed39006851

2024

ZO-1 and IL-1RAP Phosphorylation: Potential Role in Mediated Brain-Gut Axis Dysregulation in Irritable Bowel Syndrome-like Stressed Mice.

Applications

Unspecified application

Species

Unspecified reactive species

Yu-Qin He,Jian-Ru Zhu,Wen-Jing Sun,Yuan-Yuan Luo,Xiao-Feng Wu,Min Yang,Dong-Feng Chen

iScience 25:104508 PubMed35754719

2022

Structural basis of the IL-1 receptor TIR domain-mediated IL-1 signaling.

Applications

Unspecified application

Species

Unspecified reactive species

Jianjie Zhou,Yu Xiao,Yifei Ren,Jiwan Ge,Xinquan Wang

Pediatric allergy and immunology : official publication of the European Society of Pediatric Allergy and Immunology 32:305-313 PubMed33025692

2020

IL-1 signaling pathway molecules as key markers in childhood asthma.

Applications

Unspecified application

Species

Unspecified reactive species

Wenping Wei,Jiaqi Huang,Yu Ma,Xingjie Ma,Ling Fang,Wei Fang,Chuangli Hao
View all publications

Product promise

We are committed to supporting your work with high-quality reagents, and we're here for you every step of the way. In the unlikely event that one of our products does not perform as expected, you're protected by our Product Promise.
For full details, please see our Terms & Conditions

Please note: All products are 'FOR RESEARCH USE ONLY. NOT FOR USE IN DIAGNOSTIC OR THERAPEUTIC PROCEDURES'.

For licensing inquiries, please contact partnerships@abcam.com