JavaScript is disabled in your browser. Please enable JavaScript to view this website.
AB204081

Anti-IL-1RAPL2 antibody

Be the first to review this product! Submit a review

|

(1 Publication)

Rabbit Polyclonal IL-1RAPL2 antibody. Suitable for IHC-P, WB and reacts with Human samples. Cited in 1 publication. Immunogen corresponding to Recombinant Fragment Protein within Human IL1RAPL2 aa 100-250.

View Alternative Names

IL1R9, IL1RAPL2, X-linked interleukin-1 receptor accessory protein-like 2, IL-1 receptor accessory protein-like 2, IL-1-RAPL-2, IL-1RAPL-2, IL1RAPL-2, IL1RAPL-2-related protein, Interleukin-1 receptor 9, Three immunoglobulin domain-containing IL-1 receptor-related 1, IL-1R-9, IL-1R9, TIGIRR-1

2 Images
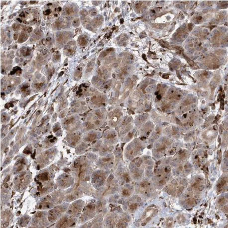
Immunohistochemistry (Formalin/PFA-fixed paraffin-embedded sections) - Anti-IL-1RAPL2 antibody (AB204081)
  • IHC-P

Supplier Data

Immunohistochemistry (Formalin/PFA-fixed paraffin-embedded sections) - Anti-IL-1RAPL2 antibody (AB204081)

Immunohistochemical analysis of paraffin embedded human pancreas tissue labeling IL-1RAPL2 in the cytoplasm of exocrine glandular cells with ab204081 at 1/50 dilution.

Performed heat mediated antigen retrieval with citrate buffer pH 6 before commencing with IHC staining protocol.

Western blot - Anti-IL-1RAPL2 antibody (AB204081)
  • WB

Supplier Data

Western blot - Anti-IL-1RAPL2 antibody (AB204081)

All lanes:

Western blot - Anti-IL-1RAPL2 antibody (ab204081) at 0.4 µg/mL

Lane 1:

Control (vector only transfected) - HEK-293T (Human epithelial cell line from embryonic kidney transformed with large T antigen) whole cell lysate

Lane 2:

IL-1RAPL2 over-expression - HEK-293T whole cell lysate, Co-expressed with a C-terminal myc-DDK tag (~3.1 kDa)

Predicted band size: 79 kDa

false

Key facts

Host species

Rabbit

Clonality

Polyclonal

Isotype

IgG

Carrier free

No

Reacts with

Human

Applications

WB, IHC-P

applications

Immunogen

Recombinant Fragment Protein within Human IL1RAPL2 aa 100-250. The exact immunogen used to generate this antibody is proprietary information.

Q9NP60

Reactivity data

{ "title": "Reactivity Data", "filters": { "stats": ["", "Species", "Dilution Info", "Notes"], "tabs": { "all-applications": {"fullname" : "All Applications", "shortname": "All Applications"}, "IHCP" : {"fullname" : "Immunohistochemistry (Formalin/PFA-fixed paraffin-embedded sections)", "shortname":"IHC-P"}, "WB" : {"fullname" : "Western blot", "shortname":"WB"} }, "product-promise": { "all": "all", "testedAndGuaranteed": "tested", "guaranteed": "expected", "predicted": "predicted", "notRecommended": "not-recommended" } }, "values": { "Human": { "IHCP-species-checked": "testedAndGuaranteed", "IHCP-species-dilution-info": "1/50 - 1/200", "IHCP-species-notes": "<p></p> Perform heat-mediated antigen retrieval with citrate buffer pH 6 before commencing with IHC staining protocol.", "WB-species-checked": "testedAndGuaranteed", "WB-species-dilution-info": "0.04-0.4 µg/mL", "WB-species-notes": "<p></p>" }, "Mouse": { "IHCP-species-checked": "predicted", "IHCP-species-dilution-info": "", "IHCP-species-notes": "", "WB-species-checked": "predicted", "WB-species-dilution-info": "", "WB-species-notes": "" }, "Rat": { "IHCP-species-checked": "predicted", "IHCP-species-dilution-info": "", "IHCP-species-notes": "", "WB-species-checked": "predicted", "WB-species-dilution-info": "", "WB-species-notes": "" } } }

Properties and storage information

Form
Liquid
Purification technique
Affinity purification Immunogen
Storage buffer
pH: 7.2 Preservative: 0.02% Sodium azide Constituents: PBS, 40% Glycerol (glycerin, glycerine)
Shipped at conditions
Blue Ice
Appropriate short-term storage duration
1-2 weeks
Appropriate short-term storage conditions
+4°C
Appropriate long-term storage conditions
-20°C
Aliquoting information
Upon delivery aliquot
Storage information
Avoid freeze / thaw cycle

Product protocols

For this product, it's our understanding that no specific protocols are required. You can visit:

Publications (1)

Recent publications for all applications. Explore the full list and refine your search

Functional & integrative genomics 24:38 PubMed38376551

2024

DKC1 aggravates gastric cancer cell migration and invasion through up-regulating the expression of TNFAIP6.

Applications

Unspecified application

Species

Unspecified reactive species

Huihua Chen,Yibo Wu,Yancheng Jiang,Zixuan Chen,Tingjin Zheng
View all publications

Product promise

We are committed to supporting your work with high-quality reagents, and we're here for you every step of the way. In the unlikely event that one of our products does not perform as expected, you're protected by our Product Promise.
For full details, please see our Terms & Conditions

Please note: All products are 'FOR RESEARCH USE ONLY. NOT FOR USE IN DIAGNOSTIC OR THERAPEUTIC PROCEDURES'.

For licensing inquiries, please contact partnerships@abcam.com