JavaScript is disabled in your browser. Please enable JavaScript to view this website.
AB227101

Anti-IL-2 antibody

Be the first to review this product! Submit a review

|

(1 Publication)

Rabbit Polyclonal IL-2 antibody. Suitable for Flow Cyt, WB, IHC-P and reacts with Human samples. Cited in 1 publication. Immunogen corresponding to Recombinant Fragment Protein within Human IL2.

View Alternative Names

Interleukin-2, IL-2, T-cell growth factor, TCGF, IL2

3 Images
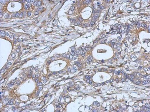
Immunohistochemistry (Formalin/PFA-fixed paraffin-embedded sections) - Anti-IL-2 antibody (AB227101)
  • IHC-P

Supplier Data

Immunohistochemistry (Formalin/PFA-fixed paraffin-embedded sections) - Anti-IL-2 antibody (AB227101)

Paraffin-embedded human gastric cancer tissue stained for IL2 using ab227101 at 1/500 dilution in immunohistochemical analysis.

Flow Cytometry - Anti-IL-2 antibody (AB227101)
  • Flow Cyt

Supplier Data

Flow Cytometry - Anti-IL-2 antibody (AB227101)

Flow cytometric analysis of THP-1 cells labelling IL2 with ab227101 at 1/50 dilution compared with an unlabelled control (cells without incubation with primary antibody and secondary antibody).

Acquisition of 20,000 events were collected for FACS analysis.

Western blot - Anti-IL-2 antibody (AB227101)
  • WB

Supplier Data

Western blot - Anti-IL-2 antibody (AB227101)

Samples were separated by 15% SDS-PAGE.

All lanes:

Western blot - Anti-IL-2 antibody (ab227101) at 1/500 dilution

Lane 1:

Untreated (–) Jurkat E6.1 whole cell extracts at 30 µg

Lane 2:

Jurkat E6.1 whole cell extracts treated with 50ng/mL PMA + 1µM Ionomycin, 24hr and 5 µg/mL BFA, 6hr at 30 µg

Secondary

All lanes:

HRP-conjugated anti-rabbit IgG antibody

Predicted band size: 18 kDa

false

Key facts

Host species

Rabbit

Clonality

Polyclonal

Isotype

IgG

Carrier free

No

Reacts with

Human

Applications

Flow Cyt, IHC-P, WB

applications

Immunogen

Recombinant Fragment Protein within Human IL2. The exact immunogen used to generate this antibody is proprietary information.

P60568

Reactivity data

{ "title": "Reactivity Data", "filters": { "stats": ["", "Species", "Dilution Info", "Notes"], "tabs": { "all-applications": {"fullname" : "All Applications", "shortname": "All Applications"}, "FlowCyt" : {"fullname" : "Flow Cytometry", "shortname":"Flow Cyt"}, "WB" : {"fullname" : "Western blot", "shortname":"WB"}, "IHCP" : {"fullname" : "Immunohistochemistry (Formalin/PFA-fixed paraffin-embedded sections)", "shortname":"IHC-P"} }, "product-promise": { "all": "all", "testedAndGuaranteed": "tested", "guaranteed": "expected", "predicted": "predicted", "notRecommended": "not-recommended" } }, "values": { "Human": { "FlowCyt-species-checked": "testedAndGuaranteed", "FlowCyt-species-dilution-info": "", "FlowCyt-species-notes": "<p></p>", "WB-species-checked": "testedAndGuaranteed", "WB-species-dilution-info": "1/500 - 1/3000", "WB-species-notes": "<p></p>", "IHCP-species-checked": "testedAndGuaranteed", "IHCP-species-dilution-info": "1/100 - 1/1000", "IHCP-species-notes": "<p></p>" }, "Rhesus monkey": { "FlowCyt-species-checked": "predicted", "FlowCyt-species-dilution-info": "", "FlowCyt-species-notes": "", "WB-species-checked": "predicted", "WB-species-dilution-info": "", "WB-species-notes": "", "IHCP-species-checked": "predicted", "IHCP-species-dilution-info": "", "IHCP-species-notes": "" } } }

Properties and storage information

Form
Liquid
Purification technique
Affinity purification Immunogen
Storage buffer
pH: 7 Preservative: 0.01% Thimerosal (merthiolate) Constituents: 20% Glycerol (glycerin, glycerine), 1.21% Tris, 0.75% Glycine
Shipped at conditions
Blue Ice
Appropriate short-term storage duration
1-2 weeks
Appropriate short-term storage conditions
+4°C
Appropriate long-term storage conditions
-20°C
Aliquoting information
Upon delivery aliquot
Storage information
Avoid freeze / thaw cycle

Product protocols

For this product, it's our understanding that no specific protocols are required. You can visit:

Target data

Cytokine produced by activated CD4-positive helper T-cells and to a lesser extend activated CD8-positive T-cells and natural killer (NK) cells that plays pivotal roles in the immune response and tolerance (PubMed : 6438535). Binds to a receptor complex composed of either the high-affinity trimeric IL-2R (IL2RA/CD25, IL2RB/CD122 and IL2RG/CD132) or the low-affinity dimeric IL-2R (IL2RB and IL2RG) (PubMed : 16293754, PubMed : 16477002). Interaction with the receptor leads to oligomerization and conformation changes in the IL-2R subunits resulting in downstream signaling starting with phosphorylation of JAK1 and JAK3 (PubMed : 7973659). In turn, JAK1 and JAK3 phosphorylate the receptor to form a docking site leading to the phosphorylation of several substrates including STAT5 (PubMed : 8580378). This process leads to activation of several pathways including STAT, phosphoinositide-3-kinase/PI3K and mitogen-activated protein kinase/MAPK pathways (PubMed : 25142963). Functions as a T-cell growth factor and can increase NK-cell cytolytic activity as well (PubMed : 6608729). Promotes strong proliferation of activated B-cells and subsequently immunoglobulin production (PubMed : 6438535). Plays a pivotal role in regulating the adaptive immune system by controlling the survival and proliferation of regulatory T-cells, which are required for the maintenance of immune tolerance. Moreover, participates in the differentiation and homeostasis of effector T-cell subsets, including Th1, Th2, Th17 as well as memory CD8-positive T-cells.
See full target information IL2

Publications (1)

Recent publications for all applications. Explore the full list and refine your search

Oncology reports 44:2656-2668 PubMed33125133

2020

Role and mechanism of FLNa and UCP2 in the development of cervical cancer.

Applications

Unspecified application

Species

Unspecified reactive species

Aihong Wang,Lu Liu,Miao Yuan,Sai Han,Xuewu You,Hui Zhang,Fuhua Lei,Youzhong Zhang
View all publications

Product promise

We are committed to supporting your work with high-quality reagents, and we're here for you every step of the way. In the unlikely event that one of our products does not perform as expected, you're protected by our Product Promise.
For full details, please see our Terms & Conditions

Please note: All products are 'FOR RESEARCH USE ONLY. NOT FOR USE IN DIAGNOSTIC OR THERAPEUTIC PROCEDURES'.

For licensing inquiries, please contact partnerships@abcam.com