JavaScript is disabled in your browser. Please enable JavaScript to view this website.
AB207325

Anti-IL-2 antibody [EPR20055]

0

(1 Review)

|

(3 Publications)

Rabbit Recombinant Monoclonal IL-2 antibody. Suitable for IP, WB, ICC/IF and reacts with Human, Recombinant full length protein - Human samples. Cited in 3 publications.

View Alternative Names

Interleukin-2, IL-2, T-cell growth factor, TCGF, IL2

5 Images
Immunocytochemistry/ Immunofluorescence - Anti-IL-2 antibody [EPR20055] (AB207325)
  • ICC/IF

Supplier Data

Immunocytochemistry/ Immunofluorescence - Anti-IL-2 antibody [EPR20055] (AB207325)

Immunofluorescent analysis of 4% paraformaldehyde-fixed 0.1% Triton X-100 permeabilized Jurkat (Human T cell leukemia cell line from peripheral blood) cells untreated or treated with 40 nM Phorbol-12-myristate-13-acetate 2 μM A23187 and 300 ng/ml Brefeldin A (45 min delay) overnight labeling IL2 with ab207325 at 1/500 dilution followed by Goat Anti-Rabbit IgG H&L (Alexa Fluor® 488) (ab150077) secondary antibody at 1/1000 dilution (green).

Confocal image showing cytoplasmic staining on Jurkat cells. The signal is induced after treatment with 40 nM Phorbol-12-myristate-13-acetate 2 μM A23187 and 300 ng/ml Brefeldin A (45 min delay) overnight.

The nuclear counter stain is DAPI (blue).

Tubulin is detected with (Anti-alpha Tubulin antibody [DM1A] - Microtubule Marker (Alexa Fluor® 594) (ab195889) at 1/200 dilution (red).

Secondary antibody only controls on non treated and treated cells : Used PBS instead of primary antibody secondary antibody is Goat Anti-Rabbit IgG H&L (Alexa Fluor® 488) (ab150077) at 1/1000 dilution.

Immunoprecipitation - Anti-IL-2 antibody [EPR20055] (AB207325)
  • IP

Supplier Data

Immunoprecipitation - Anti-IL-2 antibody [EPR20055] (AB207325)

IL2 was immunoprecipitated from 0.35 mg of Jurkat (Human T cell leukemia cell line from peripheral blood) treated with 40nM Phorbol-12-myristate-13-acetate, 2 μM A23187, and 300 ng/ml Brefeldin A (45 min delay) overnight lysate with ab207325 at 1/20 dilution. Western blot was performed from the immunoprecipitate using ab207325 at 1/200 dilution. VeriBlot for IP Detection Reagent (HRP) (ab131366), was used for detection at 1/1000 dilution.

Lane 1 : Jurkat treated with 40nM Phorbol-12-myristate-13-acetate, 2 μM A23187, and 300 ng/ml Brefeldin A (45 min delay) overnight lysate 10μg (Input).

Lane 2 : ab207325 IP in Jurkat treated with 40nM Phorbol-12-myristate-13-acetate, 2 μM A23187, and 300 ng/ml Brefeldin A (45 min delay) overnight lysate.

Lane 3 : Rabbit IgG, monoclonal [EPR25A] - Isotype Control (ab172730) instead of ab207325 in Jurkat treated with 40nM Phorbol-12-myristate-13-acetate, 2 μM A23187, and 300 ng/ml Brefeldin A (45 min delay) overnight lysate.

Blocking and dilution buffer and concentration : 5% NFDM/TBST.

Exposure time : 3 minutes.

All lanes:

Immunoprecipitation - Anti-IL-2 antibody [EPR20055] (ab207325)

Predicted band size: 17 kDa

false

Western blot - Anti-IL-2 antibody [EPR20055] (AB207325)
  • WB

Supplier Data

Western blot - Anti-IL-2 antibody [EPR20055] (AB207325)

Blocking/Dilution buffer : 5% NFDM/TBST.

Human IL2 active recombinant protein contains aa21-153.

All lanes:

Western blot - Anti-IL-2 antibody [EPR20055] (ab207325) at 1/1000 dilution

All lanes:

Human IL2 active recombinant protein at 0.01 µg

Secondary

All lanes:

Western blot - Goat Anti-Rabbit IgG H&L (HRP) (<a href='/en-us/products/secondary-antibodies/goat-rabbit-igg-h-l-hrp-ab97051'>ab97051</a>) at 1/100000 dilution

Predicted band size: 17 kDa

Observed band size: 14 kDa

false

Exposure time: 1min

Western blot - Anti-IL-2 antibody [EPR20055] (AB207325)
  • WB

Supplier Data

Western blot - Anti-IL-2 antibody [EPR20055] (AB207325)

Blocking/Dilution buffer : 5% NFDM/TBST.

The molecular weight observed is consistent with the literature, and the expression level can be induced in activated Jurkat cell. (PMID : 10555752).

All lanes:

Western blot - Anti-IL-2 antibody [EPR20055] (ab207325) at 1/5000 dilution

Lane 1:

Untreated Jurkat (Human T cell leukemia cell line from peripheral blood) whole cell lysate at 10 µg

Lane 2:

Jurkat (Human T cell leukemia cell line from peripheral blood) whole cell lysate treated with 40nM Phorbol-12-myristate-13-acetate, 2 μM A23187, and 300 ng/ml Brefeldin A (45 min delay) overnight at 10 µg

Secondary

All lanes:

Western blot - Goat Anti-Rabbit IgG H&L (HRP) (<a href='/en-us/products/secondary-antibodies/goat-rabbit-igg-h-l-hrp-ab97051'>ab97051</a>) at 1/100000 dilution

Predicted band size: 17 kDa

Observed band size: 14 kDa

false

Exposure time: 1min

Western blot - Anti-IL-2 antibody [EPR20055] (AB207325)
  • WB

Lab

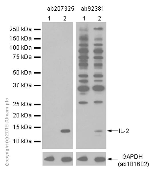
Western blot - Anti-IL-2 antibody [EPR20055] (AB207325)

Blocking and diluting buffer and concentration : 5% NFDM/TBST. ab207325 is recommended to detect endogenous IL-2. ab181602 was used as GAPDH loading control.

Lanes 1 - 2:

Western blot - Anti-IL-2 antibody [EPR2780] (<a href='/en-us/products/primary-antibodies/il-2-antibody-epr2780-ab92381'>ab92381</a>) at 1/5000 dilution

Lanes 1 - 2:

Western blot - Anti-IL-2 antibody [EPR20055] (ab207325)

Lane 1:

Untreated Jurkat (Human T cell leukemia cell line from peripheral blood) whole cell lysate at 10 µg

Lane 2:

Jurkat cells treated with 40nM Phorbol-12-myristate-13-acetate,2 µM A23187 and 300 ng/ml Brefeldin A (45 min delay) overnight whole cell lysate at 10 µg

Secondary

All lanes:

Western blot - Goat Anti-Rabbit IgG H&L (HRP) (<a href='/en-us/products/secondary-antibodies/goat-rabbit-igg-h-l-hrp-ab97051'>ab97051</a>) at 1/100000 dilution

Predicted band size: 17 kDa

Observed band size: 14 kDa

false

  • Carrier free

    Anti-IL-2 antibody [EPR20055] - BSA and Azide free

Key facts

Host species

Rabbit

Clonality

Monoclonal

Clone number

EPR20055

Isotype

IgG

Carrier free

No

Reacts with

Human

Applications

IP, ICC/IF, WB

applications

Immunogen

The exact immunogen used to generate this antibody is proprietary information.

Reactivity data

{ "title": "Reactivity Data", "filters": { "stats": ["", "Species", "Dilution Info", "Notes"], "tabs": { "all-applications": {"fullname" : "All Applications", "shortname": "All Applications"}, "IP" : {"fullname" : "Immunoprecipitation", "shortname":"IP"}, "WB" : {"fullname" : "Western blot", "shortname":"WB"}, "ICCIF" : {"fullname" : "Immunocytochemistry/ Immunofluorescence", "shortname":"ICC/IF"} }, "product-promise": { "all": "all", "testedAndGuaranteed": "tested", "guaranteed": "expected", "predicted": "predicted", "notRecommended": "not-recommended" } }, "values": { "Human": { "IP-species-checked": "testedAndGuaranteed", "IP-species-dilution-info": "1/20", "IP-species-notes": "<p></p>", "WB-species-checked": "testedAndGuaranteed", "WB-species-dilution-info": "1/1000", "WB-species-notes": "<p></p>", "ICCIF-species-checked": "testedAndGuaranteed", "ICCIF-species-dilution-info": "1/500", "ICCIF-species-notes": "<p></p>" }, "Recombinant full length protein - Human": { "IP-species-checked": "notRecommended", "IP-species-dilution-info": "", "IP-species-notes": "", "WB-species-checked": "testedAndGuaranteed", "WB-species-dilution-info": "1/1000", "WB-species-notes": "<p></p>", "ICCIF-species-checked": "notRecommended", "ICCIF-species-dilution-info": "", "ICCIF-species-notes": "" } } }

Product details

Patented technology
Our RabMAb® technology is a patented hybridoma-based technology for making rabbit monoclonal antibodies. For details on our patents, please refer to RabMAb® patents.

What are the advantages of a recombinant monoclonal antibody?
This product is a recombinant monoclonal antibody, which offers several advantages including:

  • - High batch-to-batch consistency and reproducibility
  • - Improved sensitivity and specificity
  • - Long-term security of supply
  • - Animal-free batch production

For more information, read more on recombinant antibodies.

Properties and storage information

Form
Liquid
Purification technique
Affinity purification Protein A
Storage buffer
pH: 7.2 - 7.4 Preservative: 0.01% Sodium azide Constituents: PBS, 40% Glycerol (glycerin, glycerine), 0.05% BSA
Shipped at conditions
Blue Ice
Appropriate short-term storage duration
1-2 weeks
Appropriate short-term storage conditions
+4°C
Appropriate long-term storage conditions
-20°C
Aliquoting information
Upon delivery aliquot
Storage information
Avoid freeze / thaw cycle

Product protocols

For this product, it's our understanding that no specific protocols are required. You can visit:

Target data

Cytokine produced by activated CD4-positive helper T-cells and to a lesser extend activated CD8-positive T-cells and natural killer (NK) cells that plays pivotal roles in the immune response and tolerance (PubMed : 6438535). Binds to a receptor complex composed of either the high-affinity trimeric IL-2R (IL2RA/CD25, IL2RB/CD122 and IL2RG/CD132) or the low-affinity dimeric IL-2R (IL2RB and IL2RG) (PubMed : 16293754, PubMed : 16477002). Interaction with the receptor leads to oligomerization and conformation changes in the IL-2R subunits resulting in downstream signaling starting with phosphorylation of JAK1 and JAK3 (PubMed : 7973659). In turn, JAK1 and JAK3 phosphorylate the receptor to form a docking site leading to the phosphorylation of several substrates including STAT5 (PubMed : 8580378). This process leads to activation of several pathways including STAT, phosphoinositide-3-kinase/PI3K and mitogen-activated protein kinase/MAPK pathways (PubMed : 25142963). Functions as a T-cell growth factor and can increase NK-cell cytolytic activity as well (PubMed : 6608729). Promotes strong proliferation of activated B-cells and subsequently immunoglobulin production (PubMed : 6438535). Plays a pivotal role in regulating the adaptive immune system by controlling the survival and proliferation of regulatory T-cells, which are required for the maintenance of immune tolerance. Moreover, participates in the differentiation and homeostasis of effector T-cell subsets, including Th1, Th2, Th17 as well as memory CD8-positive T-cells.
See full target information IL2

Publications (3)

Recent publications for all applications. Explore the full list and refine your search

International journal of molecular sciences 26: PubMed40564980

2025

Increased Plasma Levels of ACE and Ang II in Prediabetes May Contribute to Adipose Tissue Dysfunction.

Applications

Unspecified application

Species

Unspecified reactive species

Bongeka Cassandra Mkhize,Palesa Mosili,Phikelelani Sethu Ngubane,Ntethelelo Hopewell Sibiya,Andile Khathi

Inflammation : PubMed40372612

2025

LncRNA SNHG7/miR-181b-5p/TLR4 Activates Inflammation And Promotes Pyroptosis Through NF-κB Signaling in Diabetic Nephropathy.

Applications

Unspecified application

Species

Unspecified reactive species

Min Zhang,Sheng-Jiang Xue,Feng Yang,Meng Xiao,Yong-Bo Tang,Ying Wu

Journal of inflammation research 15:6187-6197 PubMed36386580

2022

FGF15 Protects Septic Mice by Inhibiting Inflammation and Modulating Treg Responses.

Applications

Unspecified application

Species

Unspecified reactive species

Xing Li,Zexiang Zhu,Zhenkun Xia,Bo Xu
View all publications

Product promise

We are committed to supporting your work with high-quality reagents, and we're here for you every step of the way. In the unlikely event that one of our products does not perform as expected, you're protected by our Product Promise.
For full details, please see our Terms & Conditions

Please note: All products are 'FOR RESEARCH USE ONLY. NOT FOR USE IN DIAGNOSTIC OR THERAPEUTIC PROCEDURES'.

For licensing inquiries, please contact partnerships@abcam.com