JavaScript is disabled in your browser. Please enable JavaScript to view this website.
AB92381

Anti-IL-2 antibody [EPR2780]

5

(2 Reviews)

|

(22 Publications)

Rabbit Recombinant Monoclonal IL-2 antibody. Suitable for WB, ICC/IF and reacts with Human samples. Cited in 22 publications.

View Alternative Names

Interleukin-2, IL-2, T-cell growth factor, TCGF, IL2

3 Images
Immunocytochemistry/ Immunofluorescence - Anti-IL-2 antibody [EPR2780] (AB92381)
  • ICC/IF

Lab

Immunocytochemistry/ Immunofluorescence - Anti-IL-2 antibody [EPR2780] (AB92381)

Immunocytochemistry/ Immunofluorescence analysis of PBMC (Human primary peripheral blood mononuclear cell) cells labeling IL-2 using ab92381. The cells were fixed with 4% paraformaldehyde then permeabilized with 0.1% Triton X-100. The cells were then incubated with ab92381 at 1 : 50 dilution followed by a further incubation with a Goat anti rabbit IgG (Alexa Fluor® 488, ab150077) at 2 μg/ml (shown in green). Nuclear DNA was labelled in blue with DAPI. Cells were counterstained using ab195889 Anti-alpha Tubulin antibody [DM1A] - Microtubule Marker (Alexa Fluor® 594) at 1 : 200 dilution (shown in red). Secondary antibody only control : PBS instead of the primary antibody.

Western blot - Anti-IL-2 antibody [EPR2780] (AB92381)
  • WB

Lab

Western blot - Anti-IL-2 antibody [EPR2780] (AB92381)

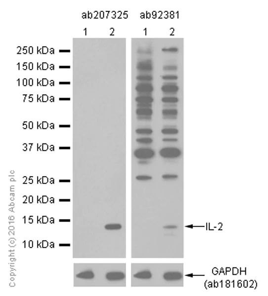
Blocking and diluting buffer and concentration : 5% NFDM/TBST. ab207325 is recommended to detect endogenous IL-2. ab181602 was used as GAPDH loading control.

Lanes 1 - 2:

Western blot - Anti-IL-2 antibody [EPR2780] (ab92381) at 1/5000 dilution

Lanes 1 - 2:

Western blot - Anti-IL-2 antibody [EPR20055] (<a href='/en-us/products/primary-antibodies/il-2-antibody-epr20055-ab207325'>ab207325</a>)

Lane 1:

Untreated Jurkat (Human T cell leukemia cell line from peripheral blood) whole cell lysate at 10 µg

Lane 2:

Jurkat cells treated with 40nM Phorbol-12-myristate-13-acetate,2 µM A23187 and 300 ng/ml Brefeldin A (45 min delay) overnight whole cell lysate at 10 µg

Secondary

All lanes:

Western blot - Goat Anti-Rabbit IgG H&L (HRP) (<a href='/en-us/products/secondary-antibodies/goat-rabbit-igg-h-l-hrp-ab97051'>ab97051</a>) at 1/100000 dilution

Predicted band size: 17 kDa

Observed band size: 14 kDa

false

Western blot - Anti-IL-2 antibody [EPR2780] (AB92381)
  • WB

Lab

Western blot - Anti-IL-2 antibody [EPR2780] (AB92381)

Blocking and diluting buffer and concentration : 5% NFDM/TBST.

All lanes:

Western blot - Anti-IL-2 antibody [EPR2780] (ab92381) at 1/1000 dilution

All lanes:

Recombinant human IL-2 full length protein, 10 ng

Secondary

All lanes:

Western blot - Goat Anti-Rabbit IgG H&L (HRP) (<a href='/en-us/products/secondary-antibodies/goat-rabbit-igg-h-l-hrp-ab97051'>ab97051</a>) at 1/20000 dilution

Predicted band size: 17 kDa

Observed band size: 15 kDa

false

Key facts

Host species

Rabbit

Clonality

Monoclonal

Clone number

EPR2780

Isotype

IgG

Carrier free

No

Reacts with

Human

Applications

WB, ICC/IF

applications

Immunogen

The exact immunogen used to generate this antibody is proprietary information.

Reactivity data

{ "title": "Reactivity Data", "filters": { "stats": ["", "Species", "Dilution Info", "Notes"], "tabs": { "all-applications": {"fullname" : "All Applications", "shortname": "All Applications"}, "IHCP" : {"fullname" : "Immunohistochemistry (Formalin/PFA-fixed paraffin-embedded sections)", "shortname":"IHC-P"}, "IP" : {"fullname" : "Immunoprecipitation", "shortname":"IP"}, "WB" : {"fullname" : "Western blot", "shortname":"WB"}, "ICCIF" : {"fullname" : "Immunocytochemistry/ Immunofluorescence", "shortname":"ICC/IF"}, "FlowCytIntra" : {"fullname" : "Flow Cytometry (Intracellular)", "shortname":"Flow Cyt (Intra)"} }, "product-promise": { "all": "all", "testedAndGuaranteed": "tested", "guaranteed": "expected", "predicted": "predicted", "notRecommended": "not-recommended" } }, "values": { "Human": { "IHCP-species-checked": "notRecommended", "IHCP-species-dilution-info": "1/250 - 1/500", "IHCP-species-notes": "<p></p> Perform heat-mediated antigen retrieval via the pressure cooker method before commencing with IHC staining protocol.", "IP-species-checked": "notRecommended", "IP-species-dilution-info": "", "IP-species-notes": "<p></p>", "WB-species-checked": "testedAndGuaranteed", "WB-species-dilution-info": "1/1000 - 1/10000", "WB-species-notes": "<p></p>", "ICCIF-species-checked": "testedAndGuaranteed", "ICCIF-species-dilution-info": "1/500 - 1/1000", "ICCIF-species-notes": "<p></p>", "FlowCytIntra-species-checked": "notRecommended", "FlowCytIntra-species-dilution-info": "1/100", "FlowCytIntra-species-notes": "<p></p>" }, "Mouse": { "IHCP-species-checked": "notRecommended", "IHCP-species-dilution-info": "1/250 - 1/500", "IHCP-species-notes": "<p></p> Perform heat-mediated antigen retrieval via the pressure cooker method before commencing with IHC staining protocol.", "IP-species-checked": "notRecommended", "IP-species-dilution-info": "", "IP-species-notes": "", "WB-species-checked": "notRecommended", "WB-species-dilution-info": "", "WB-species-notes": "", "ICCIF-species-checked": "notRecommended", "ICCIF-species-dilution-info": "", "ICCIF-species-notes": "", "FlowCytIntra-species-checked": "notRecommended", "FlowCytIntra-species-dilution-info": "", "FlowCytIntra-species-notes": "" } } }

Product details

Species reactivity
Mouse, Rat: We have preliminary internal testing data to indicate this antibody may not react with these species.
Please contact us for more information.

Patented technology
Our RabMAb® technology is a patented hybridoma-based technology for making rabbit monoclonal antibodies. For details on our patents, please refer to RabMAb® patents.

What are the advantages of a recombinant monoclonal antibody?
This product is a recombinant monoclonal antibody, which offers several advantages including:

  • - High batch-to-batch consistency and reproducibility
  • - Improved sensitivity and specificity
  • - Long-term security of supply
  • - Animal-free batch production

For more information, read more on recombinant antibodies.

Properties and storage information

Form
Liquid
Purification technique
Affinity purification Protein A
Storage buffer
pH: 7.2 - 7.4 Preservative: 0.01% Sodium azide Constituents: PBS, 40% Glycerol (glycerin, glycerine), 0.05% BSA
Shipped at conditions
Blue Ice
Appropriate short-term storage conditions
+4°C
Appropriate long-term storage conditions
-20°C
Aliquoting information
Upon delivery aliquot
Storage information
Avoid freeze / thaw cycle

Product protocols

For this product, it's our understanding that no specific protocols are required. You can visit:

Target data

Cytokine produced by activated CD4-positive helper T-cells and to a lesser extend activated CD8-positive T-cells and natural killer (NK) cells that plays pivotal roles in the immune response and tolerance (PubMed : 6438535). Binds to a receptor complex composed of either the high-affinity trimeric IL-2R (IL2RA/CD25, IL2RB/CD122 and IL2RG/CD132) or the low-affinity dimeric IL-2R (IL2RB and IL2RG) (PubMed : 16293754, PubMed : 16477002). Interaction with the receptor leads to oligomerization and conformation changes in the IL-2R subunits resulting in downstream signaling starting with phosphorylation of JAK1 and JAK3 (PubMed : 7973659). In turn, JAK1 and JAK3 phosphorylate the receptor to form a docking site leading to the phosphorylation of several substrates including STAT5 (PubMed : 8580378). This process leads to activation of several pathways including STAT, phosphoinositide-3-kinase/PI3K and mitogen-activated protein kinase/MAPK pathways (PubMed : 25142963). Functions as a T-cell growth factor and can increase NK-cell cytolytic activity as well (PubMed : 6608729). Promotes strong proliferation of activated B-cells and subsequently immunoglobulin production (PubMed : 6438535). Plays a pivotal role in regulating the adaptive immune system by controlling the survival and proliferation of regulatory T-cells, which are required for the maintenance of immune tolerance. Moreover, participates in the differentiation and homeostasis of effector T-cell subsets, including Th1, Th2, Th17 as well as memory CD8-positive T-cells.
See full target information IL2

Publications (22)

Recent publications for all applications. Explore the full list and refine your search

European journal of histochemistry : EJH 67: PubMed37098880

2023

Clinicopathological assessment of PD-1/PD-L1 immune checkpoint expression in desmoid tumors.

Applications

Unspecified application

Species

Unspecified reactive species

Kazuhiko Hashimoto,Shunji Nishimura,Yu Shinyashiki,Tomohiko Ito,Ryosuke Kakinoki,Masao Akagi

BMC pharmacology & toxicology 23:92 PubMed36476246

2022

Morphine suppresses the immune function of lung cancer by up-regulating MAEL expression.

Applications

Unspecified application

Species

Unspecified reactive species

Qichao Wang,Zhenfu Liu,Shuhong Tang,Zhen Wu

Polish journal of veterinary sciences 25:237-248 PubMed35861957

2022

Expression of anti-inflammatory markers IL-2, IL-10, TGF-β1, βDEF-2, βDEF-3 and Cathelicidin LL37 in dairy cattle milk with different health status of the udder.

Applications

Unspecified application

Species

Unspecified reactive species

K Šerstņova,M Pilmane,Z Vitenberga-Verza,I Melderis,Ł Gontar,M Kochański,A Drutowska,G Maróti,B Prieto-Simón

Medicine 101:e29621 PubMed35839046

2022

PD-1, PD-L1, NY-ESO-1, and MAGE-A4 expression in cutaneous angiosarcoma: A case report.

Applications

Unspecified application

Species

Unspecified reactive species

Kazuhiko Hashimoto,Shunji Nishimura,Yu Shinyashiki,Tomohiko Ito,Hiroki Tanaka,Kazuhiro Ohtani,Ryosuke Kakinoki,Masao Akagi

Frontiers in molecular biosciences 8:759495 PubMed34708079

2021

Tumor Microenvironment Characterization in Breast Cancer Identifies Prognostic and Neoadjuvant Chemotherapy Relevant Signatures.

Applications

Unspecified application

Species

Unspecified reactive species

Fei Ji,Jiao-Mei Yuan,Hong-Fei Gao,Ai-Qi Xu,Zheng Yang,Ci-Qiu Yang,Liu-Lu Zhang,Mei Yang,Jie-Qing Li,Teng Zhu,Min-Yi Cheng,Si-Yan Wu,Kun Wang

Frontiers in pharmacology 12:704040 PubMed34671253

2021

var. for Treating Rheumatoid Arthritis-An Assessment Combining Machine Learning-Guided ADME Properties Prediction, Network Pharmacology, and Pharmacological Assessment.

Applications

Unspecified application

Species

Unspecified reactive species

Xiuhuan Wang,Youyi Sun,Ling Ling,Xueyang Ren,Xiaoyun Liu,Yu Wang,Ying Dong,Jiamu Ma,Ruolan Song,Axiang Yu,Jing Wei,Qiqi Fan,Miaoxian Guo,Tiantian Zhao,Rina Dao,Gaimei She

Animals : an open access journal from MDPI 11: PubMed34438677

2021

Effects of Coated Cysteamine on Oxidative Stress and Inflammation in Weaned Pigs.

Applications

Unspecified application

Species

Unspecified reactive species

Shanshan Wang,Miaomiao Bai,Kang Xu,Yirui Shao,Zhe Yang,Xia Xiong,Ruilin Huang,Yao Li,Hongnan Liu

European journal of histochemistry : EJH 65: PubMed34218652

2021

Characterization of PD-1/PD-L1 immune checkpoint expression in soft tissue sarcomas.

Applications

Unspecified application

Species

Unspecified reactive species

Kazuhiko Hashimoto,Shunji Nishimura,Tomohiko Ito,Masao Akagi

Life (Basel, Switzerland) 11: PubMed34199238

2021

Profiling and Characterization of Localized Cytokine Response in Congenital Cleft Affected Lip Tissue.

Applications

Unspecified application

Species

Unspecified reactive species

Sophie Charlotte Reiser,Jonas Tellermann,Ilze Akota,Māra Pilmane

Pathology oncology research : POR 27:598887 PubMed34257554

2021

Alterations in CD8 Tregs, CD56 Natural Killer Cells and IL-10 Are Associated With Invasiveness of Nonfunctioning Pituitary Adenomas (NFPAs).

Applications

Unspecified application

Species

Unspecified reactive species

Xinmei Huang,Jiong Xu,Yueyue Wu,Li Sheng,Yue Li,Bingbing Zha,Tiange Sun,Ju Yang,Shufei Zang,Jun Liu
View all publications

Product promise

We are committed to supporting your work with high-quality reagents, and we're here for you every step of the way. In the unlikely event that one of our products does not perform as expected, you're protected by our Product Promise.
For full details, please see our Terms & Conditions

Please note: All products are 'FOR RESEARCH USE ONLY. NOT FOR USE IN DIAGNOSTIC OR THERAPEUTIC PROCEDURES'.

For licensing inquiries, please contact partnerships@abcam.com