JavaScript is disabled in your browser. Please enable JavaScript to view this website.
AB128955

Anti-IL-2 Receptor alpha antibody [EPR6452]

  • BOND RX™ Validated
  • 20ul selling size
  • RabMAb
  • Recombinant
  • What is this?

Be the first to review this product! Submit a review

|

(18 Publications)

Anti-IL-2 Receptor alpha antibody [EPR6452] (ab128955) is a rabbit monoclonal antibody detecting IL-2 Receptor alpha in IHC-P, ICC/IF. Suitable for Human.

- Biophysical QC for unrivalled batch-batch consistency
- Over 10 publications

View Alternative Names

CD25, Interleukin-2 receptor subunit alpha, IL-2 receptor subunit alpha, IL-2-RA, IL-2R subunit alpha, IL2-RA, TAC antigen, p55, IL2RA

9 Images
Immunohistochemistry (Formalin/PFA-fixed paraffin-embedded sections) - Anti-IL-2 Receptor alpha antibody [EPR6452] (AB128955)
  • IHC-P

Unknown

Immunohistochemistry (Formalin/PFA-fixed paraffin-embedded sections) - Anti-IL-2 Receptor alpha antibody [EPR6452] (AB128955)

Unpurified ab128955 showing positive staining in Hodgkin's lymphoma tissue.

Perform heat mediated antigen retrieval before commencing with IHC staining protocol.

Immunohistochemistry (Formalin/PFA-fixed paraffin-embedded sections) - Anti-IL-2 Receptor alpha antibody [EPR6452] (AB128955)
  • IHC-P

Unknown

Immunohistochemistry (Formalin/PFA-fixed paraffin-embedded sections) - Anti-IL-2 Receptor alpha antibody [EPR6452] (AB128955)

Immunohistochemical staining of paraffin embedded human skeletal muscle with purified ab128955 at a working dilution of 1/100. The secondary antibody used is HRP goat anti-rabbit IgG H&L (ab97051) at 1/500. The sample is counter-stained with hematoxylin. Antigen retrieval was perfomed using Tris-EDTA buffer, pH 9.0. PBS was used instead of the primary antibody as the negative control, and is shown in the inset.

Immunohistochemistry (Formalin/PFA-fixed paraffin-embedded sections) - Anti-IL-2 Receptor alpha antibody [EPR6452] (AB128955)
  • IHC-P

Unknown

Immunohistochemistry (Formalin/PFA-fixed paraffin-embedded sections) - Anti-IL-2 Receptor alpha antibody [EPR6452] (AB128955)

Unpurified ab128955 showing positive staining in Human thymus tissue.

Perform heat mediated antigen retrieval before commencing with IHC staining protocol.

Immunohistochemistry (Formalin/PFA-fixed paraffin-embedded sections) - Anti-IL-2 Receptor alpha antibody [EPR6452] (AB128955)
  • IHC-P

Unknown

Immunohistochemistry (Formalin/PFA-fixed paraffin-embedded sections) - Anti-IL-2 Receptor alpha antibody [EPR6452] (AB128955)

Immunohistochemical staining of paraffin embedded human Hodgkin lymphoma with purified ab128955 at a working dilution of 1/100. The secondary antibody used is HRP goat anti-rabbit IgG H&L (ab97051) at 1/500. The sample is counter-stained with hematoxylin. Antigen retrieval was perfomed using Tris-EDTA buffer, pH 9.0. PBS was used instead of the primary antibody as the negative control, and is shown in the inset.

Immunohistochemistry (Formalin/PFA-fixed paraffin-embedded sections) - Anti-IL-2 Receptor alpha antibody [EPR6452] (AB128955)
  • IHC-P

Unknown

Immunohistochemistry (Formalin/PFA-fixed paraffin-embedded sections) - Anti-IL-2 Receptor alpha antibody [EPR6452] (AB128955)

Unpurified ab128955, at 1/250 dilution, staining IL2 Receptor alpha in paraffin-embedded Human tonsil tissue by Immunohistochemistry.

Perform heat mediated antigen retrieval before commencing with IHC staining protocol.

Immunohistochemistry (Formalin/PFA-fixed paraffin-embedded sections) - Anti-IL-2 Receptor alpha antibody [EPR6452] (AB128955)
  • IHC-P

Unknown

Immunohistochemistry (Formalin/PFA-fixed paraffin-embedded sections) - Anti-IL-2 Receptor alpha antibody [EPR6452] (AB128955)

Unpurified ab128955 showing positive staining in Human spleen tissue.

Perform heat mediated antigen retrieval before commencing with IHC staining protocol.

Immunocytochemistry/ Immunofluorescence - Anti-IL-2 Receptor alpha antibody [EPR6452] (AB128955)
  • ICC/IF

Unknown

Immunocytochemistry/ Immunofluorescence - Anti-IL-2 Receptor alpha antibody [EPR6452] (AB128955)

Immunofluorescence staining of Jurkat cells with purified ab128955 at a working dilution of 1/200, counter-stained with DAPI. The secondary antibody was Alexa Fluor® 488 goat anti-rabbit (ab150077), used at a dilution of 1/1000. ab7291, a mouse anti-tubulin antibody (1/1000), was used to stain tubulin along with ab150120 (Alexa Fluor® 594 goat anti-mouse, 1/1000), shown in the top right hand panel. The cells were fixed in 100% methanol and permeabilized using 0.1% Triton X 100. The negative controls are shown in bottom middle and right hand panels - for negative control 1, purified ab128955 was used at a dilution of 1/500 followed by an Alexa Fluor® 594 goat anti-mouse antibody (ab150120) at a dilution of 1/500. For negative control 2, ab7291 (mouse anti-tubulin) was used at a dilution of 1/500 followed by an Alexa Fluor® 488 goat anti-rabbit antibody (ab150077) at a dilution of 1/400.

Immunohistochemistry (Formalin/PFA-fixed paraffin-embedded sections) - Anti-IL-2 Receptor alpha antibody [EPR6452] (AB128955)
  • IHC-P

Unknown

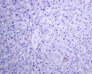
Immunohistochemistry (Formalin/PFA-fixed paraffin-embedded sections) - Anti-IL-2 Receptor alpha antibody [EPR6452] (AB128955)

Unpurified ab128955 showing negative staining in Human liver tissue.

Perform heat mediated antigen retrieval before commencing with IHC staining protocol.

Immunohistochemistry (Formalin/PFA-fixed paraffin-embedded sections) - Anti-IL-2 Receptor alpha antibody [EPR6452] (AB128955)
  • IHC-P

Lab

Immunohistochemistry (Formalin/PFA-fixed paraffin-embedded sections) - Anti-IL-2 Receptor alpha antibody [EPR6452] (AB128955)

Tissue Microarrays stained for "Anti-IL-2 Receptor alpha antibody [EPR6452]" using "ab128955"in immunohistochemical analysis. This table provides a detailed overview of positive (tick mark) and negative (cross mark) staining per sample type tested. The sections were pre-treated using Heat mediated antigen retrieval using Bond™ Epitope Retrieval Solution 2 (pH 9.0) for 20 minutes. The sections were incubated with ab128955 for 30 mins at room temperature followed by a ready to use Rabbit specific IHC polymer detection kit HRP/DAB (ab209101). The immunostaining was performed on a Leica Biosystems BOND® RX instrument.

  • 617 Alexa Fluor® 594

    Alexa Fluor® 594 Anti-IL-2 Receptor alpha antibody [EPR6452]

  • Carrier free

    Anti-IL-2 Receptor alpha antibody [EPR6452] - BSA and Azide free

  • 519 Alexa Fluor® 488

    Alexa Fluor® 488 Anti-IL-2 Receptor alpha antibody [EPR6452]

Key facts

Host species

Rabbit

Clonality

Monoclonal

Clone number

EPR6452

Isotype

IgG

Carrier free

No

Reacts with

Human

Applications

ICC/IF, IHC-P

applications

Immunogen

The exact immunogen used to generate this antibody is proprietary information.

Reactivity data

{ "title": "Reactivity Data", "filters": { "stats": ["", "Species", "Dilution Info", "Notes"], "tabs": { "all-applications": {"fullname" : "All Applications", "shortname": "All Applications"}, "IHCP" : {"fullname" : "Immunohistochemistry (Formalin/PFA-fixed paraffin-embedded sections)", "shortname":"IHC-P"}, "IP" : {"fullname" : "Immunoprecipitation", "shortname":"IP"}, "ICCIF" : {"fullname" : "Immunocytochemistry/ Immunofluorescence", "shortname":"ICC/IF"} }, "product-promise": { "all": "all", "testedAndGuaranteed": "tested", "guaranteed": "expected", "predicted": "predicted", "notRecommended": "not-recommended" } }, "values": { "Human": { "IHCP-species-checked": "testedAndGuaranteed", "IHCP-species-dilution-info": "1/100 - 1/500", "IHCP-species-notes": "<p></p> Perform heat-mediated antigen retrieval before commencing with IHC staining protocol.", "IP-species-checked": "notRecommended", "IP-species-dilution-info": "", "IP-species-notes": "<p></p>", "ICCIF-species-checked": "testedAndGuaranteed", "ICCIF-species-dilution-info": "1/100 - 1/250", "ICCIF-species-notes": "<p></p>" } } }

Product details

What is this antibody validated in?
Anti-IL-2 Receptor alpha antibody [EPR6452] (ab128955) is a rabbit recombinant monoclonal antibody and is validated for use in Immunohistochemistry (IHC-P), Immunocytochemistry/immunofluorescence (ICC/IF) in Human samples.

Trusted by the scientific community
Anti-IL-2 Receptor alpha [EPR6452] (ab128955) was first used in a scientific publication in 2012 and has been cited over 10 times in peer-reviewed journals.

Trial sizes available!
Test your antibody or perform pre-screening before committing to a larger quantity. Sold in 10µl. Discover our selection of trial-size antibodies.

Other related products
We have a range of other formats of antibody clone [EPR6452] also available for your convenience: ab128955, Alexa Fluor® 594 - ab207895, Carrier free - ab215378, Alexa Fluor® 488 - ab307865

Species reactivity
Mouse, Rat: We have preliminary internal testing data to indicate this antibody may not react with these species.
Please contact us for more information.

Patented technology
Our RabMAb® technology is a patented hybridoma-based technology for making rabbit monoclonal antibodies. For details on our patents, please refer to RabMAb® patents.

What are the advantages of a recombinant monoclonal antibody?
This product is a recombinant monoclonal antibody, which offers several advantages including:

  • - High batch-to-batch consistency and reproducibility
  • - Improved sensitivity and specificity
  • - Long-term security of supply
  • - Animal-free batch production

For more information, read more on recombinant antibodies.

Properties and storage information

Form
Liquid
Purification technique
Affinity purification Protein A
Storage buffer
pH: 7.2 - 7.4 Preservative: 0.01% Sodium azide Constituents: PBS, 40% Glycerol (glycerin, glycerine), 0.05% BSA
Shipped at conditions
Blue Ice
Appropriate short-term storage duration
1-2 weeks
Appropriate short-term storage conditions
+4°C
Appropriate long-term storage conditions
-20°C
Aliquoting information
Upon delivery aliquot
Storage information
Stable for 12 months at -20°C

Product protocols

For this product, it's our understanding that no specific protocols are required. You can visit:

Target data

Receptor for interleukin-2. The receptor is involved in the regulation of immune tolerance by controlling regulatory T cells (TREGs) activity. TREGs suppress the activation and expansion of autoreactive T-cells.
See full target information IL2RA

Publications (18)

Recent publications for all applications. Explore the full list and refine your search

Infectious agents and cancer 20:29 PubMed40346620

2025

Tumor-infiltrating CD4 CD25 FOXP3 Treg is associated with plasma EBV DNA and disease progression in nasopharyngeal carcinoma.

Applications

Unspecified application

Species

Unspecified reactive species

Enzi Feng,Yaoyu Yang,Jie Yang,Rongyi Hu,Ling Tian,Xinyu Yang,Meng Yang,Qianqian Qu,Yanxin Ren,Xiaojiang Li

iScience 27:110836 PubMed39310774

2024

Single-cell sequencing reveals the heterogeneity of pancreatic neuroendocrine tumors under genomic instability and histological grading.

Applications

Unspecified application

Species

Unspecified reactive species

Zeng Ye,Yan Zhou,Yuheng Hu,Qiang Li,Zijin Xu,Xin Lou,Wuhu Zhang,Di Zhu,Cao Xie,Qingtong Zhou,Jing Gao,Hu Zhou,Dehua Yang,Yi Qin,Xiaowu Xu,Jie Chen,Shunrong Ji,Ming-Wei Wang,Xianjun Yu

Cancer medicine 13:e70179 PubMed39264227

2024

Prognostic value of tumor-infiltrating lymphocytes and PD-L1 expression in esophageal squamous cell carcinoma.

Applications

Unspecified application

Species

Unspecified reactive species

Jie Hu,Takeshi Toyozumi,Kentaro Murakami,Satoshi Endo,Yasunori Matsumoto,Ryota Otsuka,Tadashi Shiraishi,Shinichiro Iida,Hiroki Morishita,Tenshi Makiyama,Yuri Nishioka,Masaya Uesato,Koichi Hayano,Akira Nakano,Hisahiro Matsubara

Life science alliance 5: PubMed36271507

2022

Mechanistic and pharmacodynamic studies of DuoBody-CD3x5T4 in preclinical tumor models.

Applications

Unspecified application

Species

Unspecified reactive species

Kristel Kemper,Ellis Gielen,Peter Boross,Mischa Houtkamp,Theo S Plantinga,Stefanie Ah de Poot,Saskia M Burm,Maarten L Janmaat,Louise A Koopman,Edward N van den Brink,Rik Rademaker,Dennis Verzijl,Patrick J Engelberts,David Satijn,A Kate Sasser,Esther Cw Breij

Oxidative medicine and cellular longevity 2021:3143248 PubMed34055193

2021

CD4CD25 Regulatory T Cells in Intracranial Thrombi Are Inversely Correlated with Hemorrhagic Transformation after Thrombectomy: A Clinical-Immunohistochemical Analysis of Acute Ischemic Stroke.

Applications

Unspecified application

Species

Unspecified reactive species

Li Gong,Xiaoran Zheng,Weiyan Zhang,Zhongwen Shu,Haichao Wang,Qiong Dong,Letao Sun,Xiang Zhang,Yanxin Zhao,Xueyuan Liu

Cell death & disease 12:336 PubMed33795653

2021

RANK promotes colorectal cancer migration and invasion by activating the Ca-calcineurin/NFATC1-ACP5 axis.

Applications

Unspecified application

Species

Unspecified reactive species

Qian Liang,Yun Wang,Yingsi Lu,Qingqing Zhu,Wenlin Xie,Nannan Tang,Lifen Huang,Tailai An,Di Zhang,Anqi Yan,Shaoyu Liu,Liping Ye,Chengming Zhu

Cancer immunology, immunotherapy : CII 70:2681-2700 PubMed33625532

2021

Interplay of stromal tumor-infiltrating lymphocytes, normal colonic mucosa, cancer-associated fibroblasts, clinicopathological data and the immunoregulatory molecules of patients diagnosed with colorectal cancer.

Applications

Unspecified application

Species

Unspecified reactive species

Łukasz Zadka,Mariusz Chabowski,Damian Grybowski,Aleksandra Piotrowska,Piotr Dzięgiel

The Journal of international medical research 48:300060520933795 PubMed33100071

2020

Toll-like receptor 2/4 inhibitors can reduce preterm birth in mice.

Applications

Unspecified application

Species

Unspecified reactive species

Xu Jing,Chen Min,Liu Qi Yun,Hu Shun Qin,Li Li Rui,Li Jia,Ma Run Mei

American journal of reproductive immunology (New York, N.Y. : 1989) 84:e13281 PubMed32485016

2020

CD25 FOXP3 and CD4 CD25 cells distribution in decidual departments of women with severe and mild pre-eclampsia: Comparison with healthy pregnancies.

Applications

Unspecified application

Species

Unspecified reactive species

Martina Orlovic Vlaho,Vajdana Tomic,Katarina Vukojevic,Anja Vasilj,Renato Pejic,Josip Lesko,Violeta Soljic

International journal of oncology 55:1077-1089 PubMed31545408

2019

Genome profiling revealed the activation of IL2RG/JAK3/STAT5 in peripheral T‑cell lymphoma expressing the ITK‑SYK fusion gene.

Applications

Unspecified application

Species

Unspecified reactive species

Lei-Lei Zhang,Hua-Xiong Pan,Yi-Xuan Wang,Tao Guo,Lin Liu
View all publications

Product promise

We are committed to supporting your work with high-quality reagents, and we're here for you every step of the way. In the unlikely event that one of our products does not perform as expected, you're protected by our Product Promise.
For full details, please see our Terms & Conditions

Please note: All products are 'FOR RESEARCH USE ONLY. NOT FOR USE IN DIAGNOSTIC OR THERAPEUTIC PROCEDURES'.

For licensing inquiries, please contact partnerships@abcam.com