JavaScript is disabled in your browser. Please enable JavaScript to view this website.
AB231441

Anti-IL-2 Receptor alpha antibody [SP176]

3

(5 Reviews)

|

(14 Publications)

Anti-IL-2 Receptor alpha antibody [SP176] (ab231441) is a rabbit monoclonal antibody detecting IL-2 Receptor alpha in Western Blot, IHC-P, ICC/IF. Suitable for Human, Mouse.

- Biophysical QC for unrivalled batch-batch consistency

View Alternative Names

CD25, Interleukin-2 receptor subunit alpha, IL-2 receptor subunit alpha, IL-2-RA, IL-2R subunit alpha, IL2-RA, TAC antigen, p55, IL2RA

6 Images
Immunohistochemistry (Formalin/PFA-fixed paraffin-embedded sections) - Anti-IL-2 Receptor alpha antibody [SP176] (AB231441)
  • IHC-P

Supplier Data

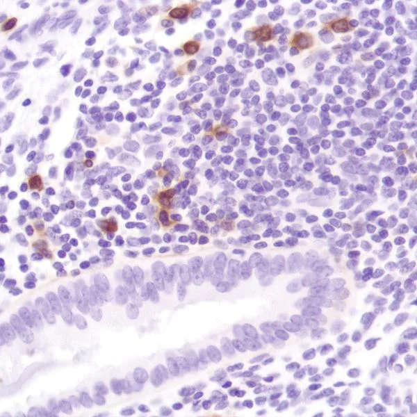
Immunohistochemistry (Formalin/PFA-fixed paraffin-embedded sections) - Anti-IL-2 Receptor alpha antibody [SP176] (AB231441)

Formalin-fixed, paraffin-embedded human tonsil tissue stained for IL2 Receptor alpha using ab231441 at 1/100 dilution in immunohistochemical analysis.

Immunocytochemistry/ Immunofluorescence - Anti-IL-2 Receptor alpha antibody [SP176] (AB231441)
  • ICC/IF

Lab

Immunocytochemistry/ Immunofluorescence - Anti-IL-2 Receptor alpha antibody [SP176] (AB231441)

Immunocytochemistry/ Immunofluorescence analysis of HDLM-2 (Human Hodgkin lymphoma) cells labeling IL-2 Receptor alpha with purified ab231441 at 1/50 (9.5μg/mL). Cells were fixed in 100% methanol. Cells were counterstained with ab195889 Anti-alpha Tubulin antibody [DM1A] - Microtubule Marker (Alexa Fluor® 594) 1/200 (2.5 μg/mL). Goat anti rabbit IgG (Alexa Fluor® 488, ab150077) was used as the secondary antibody at 1/1000 (2 μg/mL) dilution. DAPI (blue) was used as nuclear counterstain. PBS instead of the primary antibody was used as the secondary antibody only control.

Immunohistochemistry (Formalin/PFA-fixed paraffin-embedded sections) - Anti-IL-2 Receptor alpha antibody [SP176] (AB231441)
  • IHC-P

Supplier Data

Immunohistochemistry (Formalin/PFA-fixed paraffin-embedded sections) - Anti-IL-2 Receptor alpha antibody [SP176] (AB231441)

Formalin-fixed, paraffin-embedded human endometrium tissue stained for IL2 Receptor alpha using ab231441 at 1/100 dilution in immunohistochemical analysis.

Western blot - Anti-IL-2 Receptor alpha antibody [SP176] (AB231441)
  • WB

Lab

Western blot - Anti-IL-2 Receptor alpha antibody [SP176] (AB231441)

Blocking/Diluting buffer and concentration : 5% NFDM /TBST

All lanes:

Western blot - Anti-IL-2 Receptor alpha antibody [SP176] (ab231441) at 0.433 µg/mL

All lanes:

WEHI-231 (Mouse B cell lymphoma B lymphocyte) cell lysate at 20 µg

Secondary

All lanes:

Western blot - Goat Anti-Rabbit IgG H&L (HRP) (<a href='/en-us/products/secondary-antibodies/goat-rabbit-igg-h-l-hrp-ab97051'>ab97051</a>) at 0.05 µg/mL

Predicted band size: 31 kDa

Observed band size: 50 kDa

false

Western blot - Anti-IL-2 Receptor alpha antibody [SP176] (AB231441)
  • WB

Supplier Data

Western blot - Anti-IL-2 Receptor alpha antibody [SP176] (AB231441)

All lanes:

Western blot - Anti-IL-2 Receptor alpha antibody [SP176] (ab231441) at 1/200 dilution

All lanes:

MOLT-4 (human lymphoblastic leukemia cell line) whole cell lysate

Predicted band size: 31 kDa

true

Western blot - Anti-IL-2 Receptor alpha antibody [SP176] (AB231441)
  • WB

Lab

Western blot - Anti-IL-2 Receptor alpha antibody [SP176] (AB231441)

Blocking and diluting buffer and concentration : 5% NFDM /TBST

ab181602 was used as a GAPDH loading control.

All lanes:

Western blot - Anti-IL-2 Receptor alpha antibody [SP176] (ab231441) at 1/1000 dilution

Lane 1:

HEK-293T transfected with an empty vector whole cell lysate at 20 µg

Lane 2:

HEK-293T transfected with a human IL2RA fragment (aa22-272) expression vector containing a His tag whole cell lysate at 20 µg

Lane 3:

HDLM-2 (Human Hodgkin lymphoma) cell lysate at 20 µg

Secondary

All lanes:

Western blot - Goat Anti-Rabbit IgG H&L (HRP) (<a href='/en-us/products/secondary-antibodies/goat-rabbit-igg-h-l-hrp-ab97051'>ab97051</a>) at 1/20000 dilution

Observed band size: 30 kDa,50 kDa

false

Exposure time: 5s

  • Carrier free

    Anti-IL-2 Receptor alpha antibody [SP176] - BSA and Azide free

  • 603 Alexa Fluor® 568

    Alexa Fluor® 568 Anti-IL-2 Receptor alpha antibody [SP176]

  • 565 Alexa Fluor® 555

    Alexa Fluor® 555 Anti-IL-2 Receptor alpha antibody [SP176]

  • 617 Alexa Fluor® 594

    Alexa Fluor® 594 Anti-IL-2 Receptor alpha antibody [SP176]

  • 775 Alexa Fluor® 750

    Alexa Fluor® 750 Anti-IL-2 Receptor alpha antibody [SP176]

Key facts

Host species

Rabbit

Clonality

Monoclonal

Clone number

SP176

Isotype

IgG

Carrier free

No

Reacts with

Mouse, Human

Applications

WB, IHC-P, ICC/IF

applications

Immunogen

The exact immunogen used to generate this antibody is proprietary information.

Reactivity data

{ "title": "Reactivity Data", "filters": { "stats": ["", "Species", "Dilution Info", "Notes"], "tabs": { "all-applications": {"fullname" : "All Applications", "shortname": "All Applications"}, "WB" : {"fullname" : "Western blot", "shortname":"WB"}, "IHCP" : {"fullname" : "Immunohistochemistry (Formalin/PFA-fixed paraffin-embedded sections)", "shortname":"IHC-P"}, "ICCIF" : {"fullname" : "Immunocytochemistry/ Immunofluorescence", "shortname":"ICC/IF"} }, "product-promise": { "all": "all", "testedAndGuaranteed": "tested", "guaranteed": "expected", "predicted": "predicted", "notRecommended": "not-recommended" } }, "values": { "Human": { "WB-species-checked": "testedAndGuaranteed", "WB-species-dilution-info": "1/200", "WB-species-notes": "<p></p>", "IHCP-species-checked": "testedAndGuaranteed", "IHCP-species-dilution-info": "1/100", "IHCP-species-notes": "<p>Boil tissue section in EDTA, pH 8.0 for 10 minutes followed by cooling at room temperature for 20 min. Incubate with ab231441 for 10 minutes at room temperature.</p>", "ICCIF-species-checked": "testedAndGuaranteed", "ICCIF-species-dilution-info": "1/50", "ICCIF-species-notes": "<p></p>" }, "Mouse": { "WB-species-checked": "testedAndGuaranteed", "WB-species-dilution-info": "1/200", "WB-species-notes": "<p></p>", "IHCP-species-checked": "guaranteed", "IHCP-species-dilution-info": "", "IHCP-species-notes": "", "ICCIF-species-checked": "guaranteed", "ICCIF-species-dilution-info": "", "ICCIF-species-notes": "" }, "Rat": { "WB-species-checked": "predicted", "WB-species-dilution-info": "", "WB-species-notes": "", "IHCP-species-checked": "predicted", "IHCP-species-dilution-info": "", "IHCP-species-notes": "", "ICCIF-species-checked": "predicted", "ICCIF-species-dilution-info": "", "ICCIF-species-notes": "" }, "Transfected cell line - Human": { "WB-species-checked": "testedAndGuaranteed", "WB-species-dilution-info": "1/200", "WB-species-notes": "<p></p>", "IHCP-species-checked": "notRecommended", "IHCP-species-dilution-info": "", "IHCP-species-notes": "", "ICCIF-species-checked": "notRecommended", "ICCIF-species-dilution-info": "", "ICCIF-species-notes": "" } } }

Product details

What is this antibody validated in?
Anti-IL-2 Receptor alpha antibody [SP176] (ab231441) is a rabbit recombinant monoclonal antibody and is validated for use in Western Blot (WB), Immunohistochemistry (IHC-P), Immunocytochemistry/immunofluorescence (ICC/IF) in Human, Mouse samples.

What is the molecular weight of IL-2 Receptor alpha?
Anti-IL-2 Receptor alpha [SP176] (ab231441) specifically detects a band for IL-2 Receptor alpha (UniProt: P01589) at a molecular weight of 31kDa.

Collaboration
Anti-IL-2 Receptor alpha [SP176] (ab231441) is a clone from the portfolio of Spring Bioscience (Roche) SP clones which have been optimised for immunohistochemistry (IHC).

Trial sizes available!
Test your antibody or perform pre-screening before committing to a larger quantity. Sold in 20µl. Discover our selection of trial-size antibodies.

Other related products
We have a range of other formats of antibody clone [SP176] also available for your convenience: ab231441, Carrier free - ab238272, ab279471, Alexa Fluor® 594 - ab311767, Alexa Fluor® 568 - ab313048, Alexa Fluor® 555 - ab313249, Alexa Fluor® 750 - ab321472

Properties and storage information

Form
Liquid
Purification technique
Affinity purification Protein A/G
Purification notes
Purified from TCS by protein A/G.
Storage buffer
pH: 7.6 Preservative: 0.1% Sodium azide Constituents: PBS, 1% BSA
Shipped at conditions
Blue Ice
Appropriate short-term storage duration
1-2 weeks
Appropriate short-term storage conditions
+4°C
Appropriate long-term storage conditions
-20°C
Aliquoting information
Upon delivery aliquot
Storage information
Avoid freeze / thaw cycle

Product protocols

For this product, it's our understanding that no specific protocols are required. You can visit:

Target data

Receptor for interleukin-2. The receptor is involved in the regulation of immune tolerance by controlling regulatory T cells (TREGs) activity. TREGs suppress the activation and expansion of autoreactive T-cells.
See full target information IL2RA

Publications (14)

Recent publications for all applications. Explore the full list and refine your search

International journal of nanomedicine 20:9885-9897 PubMed40827233

2025

Bionic Power Play: Dual-Targeting MDMX/MDM2 to Reboot p53 to Beat Lung Adenocarcinoma's Immune Tricks.

Applications

Unspecified application

Species

Unspecified reactive species

Solomon Wong,Lu Xu,Weiming You,Wangxiao He,Xiaoqiang Zheng,Zhongquan Qi

World journal of gastrointestinal oncology 17:105264 PubMed40697228

2025

Nav1.6 drives colorectal cancer proliferation and invasion through MAPK signaling pathway.

Applications

Unspecified application

Species

Unspecified reactive species

Li-Ming Zhao,Wan-Ying Hong,Jian-Guang Xu,Shui-Quan Lin,Ming-Sheng Liu,Li-Hui Wang,Xu-Li Jiang,Ming Sang,Yang-Bo Lv

Journal of inflammation research 18:6927-6944 PubMed40458692

2025

Cellular Heterogeneity and IL-17 Pathway Dynamics Reveal Insights into the Transition from Ulcerative Colitis to Colorectal Cancer Through scRNA-Seq Analysis.

Applications

Unspecified application

Species

Unspecified reactive species

Yaxian Li,Ruochuan Sun,Xiaodong Wang,Mengdi Ma,Huizhen Wang,Bo Yang,Yida Lu,Yongxiang Li

BMC cancer 25:294 PubMed39972413

2025

The role of MUC16 in tumor biology and tumor immunology in ovarian cancer.

Applications

Unspecified application

Species

Unspecified reactive species

Na Yang,Xi Zhou,Yangmei Gong,Zhizhi Deng

Nature communications 15:10784 PubMed39737964

2024

Anti-CTLA4 treatment reduces lymphedema risk potentially through a systemic expansion of the FOXP3 T population.

Applications

Unspecified application

Species

Unspecified reactive species

Stefan Wolf,Matiar Madanchi,Patrick Turko,Maija Hollmén,Sonia Tugues,Julia von Atzigen,Pietro Giovanoli,Reinhard Dummer,Nicole Lindenblatt,Cornelia Halin,Michael Detmar,Mitchell Levesque,Epameinondas Gousopoulos

Cancers 15: PubMed38136305

2023

Prognostic Implications of LRP1B and Its Relationship with the Tumor-Infiltrating Immune Cells in Gastric Cancer.

Applications

Unspecified application

Species

Unspecified reactive species

Rui Wang,Guangtao Zhang,Xiaohong Zhu,Yan Xu,Nida Cao,Zhaoyan Li,Chen Han,Mengmeng Qin,Yumiao Shen,Jiahuan Dong,Fangqi Ma,Aiguang Zhao

British journal of cancer 130:201-212 PubMed38040817

2023

Downregulation of N4-acetylcytidine modification in myeloid cells attenuates immunotherapy and exacerbates hepatocellular carcinoma progression.

Applications

Unspecified application

Species

Unspecified reactive species

Nan Xu,Jianyong Zhuo,Yiyuan Chen,Renyi Su,Huan Chen,Zhensheng Zhang,Zhengxing Lian,Di Lu,Xuyong Wei,Shusen Zheng,Xiao Xu,Shuai Wang,Qiang Wei

Signal transduction and targeted therapy 8:28 PubMed36690610

2023

Proximity-enabled covalent binding of IL-2 to IL-2Rα selectively activates regulatory T cells and suppresses autoimmunity.

Applications

Unspecified application

Species

Unspecified reactive species

Bo Zhang,Jiaqi Sun,Yeshuang Yuan,Dezhong Ji,Yeting Sun,Yudong Liu,Shengjie Li,Xingxing Zhu,Xunyao Wu,Jin Hu,Qiu Xie,Ling Wu,Lulu Liu,Boyang Cheng,Yuanjie Zhang,Lingjuan Jiang,Lidan Zhao,Fei Yu,Wei Song,Min Wang,Yue Xu,Shiliang Ma,Yunyun Fei,Lihe Zhang,Demin Zhou,Xuan Zhang

Frontiers in immunology 13:1017132 PubMed36591250

2022

Cysteine-specific Zr-labeled anti-CD25 IgG allows immuno-PET imaging of interleukin-2 receptor-α on T cell lymphomas.

Applications

Unspecified application

Species

Unspecified reactive species

Jin Hee Lee,Kyung-Ho Jung,Mina Kim,Kyung-Han Lee

Frontiers in immunology 13:871742 PubMed36159822

2022

The regulatory roles of T helper cells in distinct extracellular matrix characterization in breast cancer.

Applications

Unspecified application

Species

Unspecified reactive species

Qi Tian,Huan Gao,Yingying Ma,Lizhe Zhu,Yan Zhou,Yanwei Shen,Bo Wang
View all publications

Product promise

We are committed to supporting your work with high-quality reagents, and we're here for you every step of the way. In the unlikely event that one of our products does not perform as expected, you're protected by our Product Promise.
For full details, please see our Terms & Conditions

Please note: All products are 'FOR RESEARCH USE ONLY. NOT FOR USE IN DIAGNOSTIC OR THERAPEUTIC PROCEDURES'.

For licensing inquiries, please contact partnerships@abcam.com