JavaScript is disabled in your browser. Please enable JavaScript to view this website.
AB150306

Anti-IL-2 Receptor alpha antibody [SP176], prediluted

Be the first to review this product! Submit a review

|

(1 Publication)

Rabbit Recombinant Monoclonal IL2RA antibody. Suitable for WB, IHC-P and reacts with Human samples. Cited in 1 publication.

View Alternative Names

CD25, Interleukin-2 receptor subunit alpha, IL-2 receptor subunit alpha, IL-2-RA, IL-2R subunit alpha, IL2-RA, TAC antigen, p55, IL2RA

3 Images
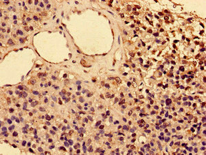
Immunohistochemistry (Formalin/PFA-fixed paraffin-embedded sections) - Anti-IL-2 Receptor alpha antibody [SP176], prediluted (AB150306)
  • IHC-P

Unknown

Immunohistochemistry (Formalin/PFA-fixed paraffin-embedded sections) - Anti-IL-2 Receptor alpha antibody [SP176], prediluted (AB150306)

Immunohistochemical analysis of formalin fixed, paraffin embedded Human tonsil tissue labelling IL2 Receptor alpha with ab150306.

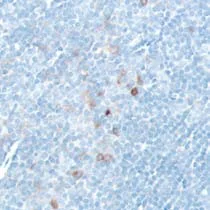
Western blot - Anti-IL-2 Receptor alpha antibody [SP176], prediluted (AB150306)
  • WB

Unknown

Western blot - Anti-IL-2 Receptor alpha antibody [SP176], prediluted (AB150306)

All lanes:

Western blot - Anti-IL-2 Receptor alpha antibody [SP176], prediluted (ab150306)

All lanes:

MOLT4 cell lysate

Predicted band size: 31 kDa

false

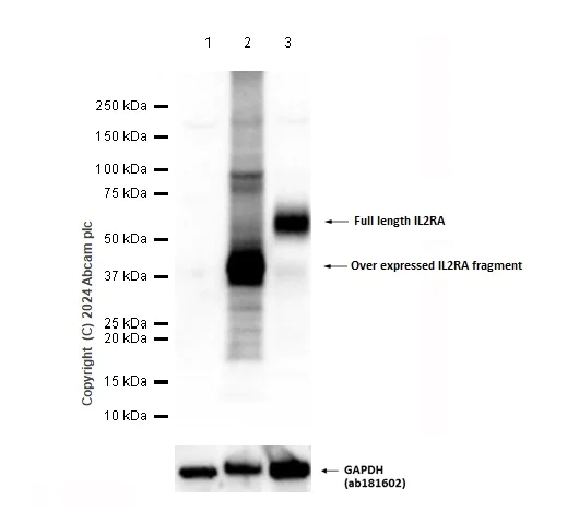
Western blot - Anti-IL-2 Receptor alpha antibody [SP176], prediluted (AB150306)
  • WB

Lab

Western blot - Anti-IL-2 Receptor alpha antibody [SP176], prediluted (AB150306)

This data was developed using the same antibody clone in a different buffer formulation containing PBS, BSA, glycerol, and sodium azide (ab231441)

Blocking and diluting buffer and concentration : 5% NFDM /TBST

ab181602 was used as a GAPDH loading control.

All lanes:

Western blot - Anti-IL-2 Receptor alpha antibody [SP176] (<a href='/en-us/products/primary-antibodies/il-2-receptor-alpha-antibody-sp176-ab231441'>ab231441</a>) at 1/1000 dilution

Lane 1:

HEK-293T transfected with an empty vector whole cell lysate at 20 µg

Lane 2:

HEK-293T transfected with a human IL2RA fragment (aa22-272) expression vector containing a His tag whole cell lysate at 20 µg

Lane 3:

HDLM-2 (Human Hodgkin lymphoma) cell lysate at 20 µg

Secondary

All lanes:

Western blot - Goat Anti-Rabbit IgG H&L (HRP) (<a href='/en-us/products/secondary-antibodies/goat-rabbit-igg-h-l-hrp-ab97051'>ab97051</a>) at 1/20000 dilution

Observed band size: 30 kDa,50 kDa

false

Exposure time: 5s

  • Carrier free

    Anti-IL-2 Receptor alpha antibody [SP176] - BSA and Azide free

  • 603 Alexa Fluor® 568

    Alexa Fluor® 568 Anti-IL-2 Receptor alpha antibody [SP176]

  • Unconjugated

    Anti-IL-2 Receptor alpha antibody [SP176]

  • 617 Alexa Fluor® 594

    Alexa Fluor® 594 Anti-IL-2 Receptor alpha antibody [SP176]

  • 565 Alexa Fluor® 555

    Alexa Fluor® 555 Anti-IL-2 Receptor alpha antibody [SP176]

  • 775 Alexa Fluor® 750

    Alexa Fluor® 750 Anti-IL-2 Receptor alpha antibody [SP176]

Key facts

Host species

Rabbit

Clonality

Monoclonal

Clone number

SP176

Isotype

IgG

Carrier free

No

Reacts with

Human

Applications

WB, IHC-P

applications

Immunogen

The exact immunogen used to generate this antibody is proprietary information.

Reactivity data

{ "title": "Reactivity Data", "filters": { "stats": ["", "Species", "Dilution Info", "Notes"], "tabs": { "all-applications": {"fullname" : "All Applications", "shortname": "All Applications"}, "WB" : {"fullname" : "Western blot", "shortname":"WB"}, "IHCP" : {"fullname" : "Immunohistochemistry (Formalin/PFA-fixed paraffin-embedded sections)", "shortname":"IHC-P"} }, "product-promise": { "all": "all", "testedAndGuaranteed": "tested", "guaranteed": "expected", "predicted": "predicted", "notRecommended": "not-recommended" } }, "values": { "Human": { "WB-species-checked": "testedAndGuaranteed", "WB-species-dilution-info": "1/1", "WB-species-notes": "<p></p>", "IHCP-species-checked": "testedAndGuaranteed", "IHCP-species-dilution-info": "1/1", "IHCP-species-notes": "<p>Boil tissue section in EDTA buffer, pH 8.0 for 10 min followed by cooling at room temperature for 20 min.</p>" }, "Mouse": { "WB-species-checked": "predicted", "WB-species-dilution-info": "", "WB-species-notes": "", "IHCP-species-checked": "predicted", "IHCP-species-dilution-info": "", "IHCP-species-notes": "" }, "Rat": { "WB-species-checked": "predicted", "WB-species-dilution-info": "", "WB-species-notes": "", "IHCP-species-checked": "predicted", "IHCP-species-dilution-info": "", "IHCP-species-notes": "" } } }

Product details

What are the advantages of a recombinant monoclonal antibody?
This product is a recombinant monoclonal antibody, which offers several advantages including:

  • - High batch-to-batch consistency and reproducibility
  • - Improved sensitivity and specificity
  • - Long-term security of supply
  • - Animal-free batch production

For more information, read more on recombinant antibodies.

Properties and storage information

Form
Liquid
Purification technique
Affinity purification Protein A/G
Purification notes
Purified from TCS by protein A/G.
Storage buffer
pH: 7.6 Preservative: 0.1% Sodium azide Constituents: Tris buffered saline, 1% BSA
Shipped at conditions
Blue Ice
Appropriate long-term storage conditions
+4°C
Storage information
Do Not Freeze

Product protocols

For this product, it's our understanding that no specific protocols are required. You can visit:

Target data

Receptor for interleukin-2. The receptor is involved in the regulation of immune tolerance by controlling regulatory T cells (TREGs) activity. TREGs suppress the activation and expansion of autoreactive T-cells.
See full target information IL2RA

Publications (1)

Recent publications for all applications. Explore the full list and refine your search

Drug development research 80:824-830 PubMed31301186

2019

Dimethylaminoparthenolide reduces the incidence of dysplasia and ameliorates a wasting syndrome in HPV16-transgenic mice.

Applications

Unspecified application

Species

Unspecified reactive species

Joana M O Santos,Alexandra Moreira-Pais,Tiago Neto,Sara Peixoto da Silva,Paula A Oliveira,Rita Ferreira,Joaquim Mendes,Margarida M S M Bastos,Carlos Lopes,Fátima Casaca,Sandra Silva,Christopher Sweeney,Rui Medeiros,Rui M Gil da Costa
View all publications

Product promise

We are committed to supporting your work with high-quality reagents, and we're here for you every step of the way. In the unlikely event that one of our products does not perform as expected, you're protected by our Product Promise.
For full details, please see our Terms & Conditions

Please note: All products are 'FOR RESEARCH USE ONLY. NOT FOR USE IN DIAGNOSTIC OR THERAPEUTIC PROCEDURES'.

For licensing inquiries, please contact partnerships@abcam.com