JavaScript is disabled in your browser. Please enable JavaScript to view this website.
AB124332

Anti-IL-20R2 antibody

Be the first to review this product! Submit a review

|

(4 Publications)

Rabbit Polyclonal IL-20R2 antibody. Suitable for IHC-P and reacts with Human samples. Cited in 4 publications. Immunogen corresponding to Recombinant Fragment Protein within Human IL20RB aa 1-250.

View Alternative Names

DIRS1, UNQ557/PRO1114, IL20RB, Interleukin-20 receptor subunit beta, IL-20 receptor subunit beta, IL-20R-beta, IL-20RB, Fibronectin type III domain containing 6, IL-20R2, FNDC6

1 Images
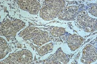
Immunohistochemistry (Formalin/PFA-fixed paraffin-embedded sections) - Anti-IL-20R2 antibody (AB124332)
  • IHC-P

Unknown

Immunohistochemistry (Formalin/PFA-fixed paraffin-embedded sections) - Anti-IL-20R2 antibody (AB124332)

ab124332, at 1/100 dilution, staining IL-20R2 in formalin-fixed, paraffin-embedded Human fetal testis tissue, by Immunohistochemistry.

Key facts

Host species

Rabbit

Clonality

Polyclonal

Isotype

IgG

Carrier free

No

Reacts with

Human

Applications

IHC-P

applications

Immunogen

Recombinant Fragment Protein within Human IL20RB aa 1-250. The exact immunogen used to generate this antibody is proprietary information.

Q6UXL0

Reactivity data

{ "title": "Reactivity Data", "filters": { "stats": ["", "Species", "Dilution Info", "Notes"], "tabs": { "all-applications": {"fullname" : "All Applications", "shortname": "All Applications"}, "IHCP" : {"fullname" : "Immunohistochemistry (Formalin/PFA-fixed paraffin-embedded sections)", "shortname":"IHC-P"} }, "product-promise": { "all": "all", "testedAndGuaranteed": "tested", "guaranteed": "expected", "predicted": "predicted", "notRecommended": "not-recommended" } }, "values": { "Human": { "IHCP-species-checked": "testedAndGuaranteed", "IHCP-species-dilution-info": "1/100 - 1/500", "IHCP-species-notes": "<p></p>" }, "Mouse": { "IHCP-species-checked": "predicted", "IHCP-species-dilution-info": "", "IHCP-species-notes": "" }, "Rat": { "IHCP-species-checked": "predicted", "IHCP-species-dilution-info": "", "IHCP-species-notes": "" } } }

Properties and storage information

Form
Lyophilized
Reconstitution
Reconstitute in 200 µL of water
Purification technique
Affinity purification Immunogen
Storage buffer
pH: 7.2 Preservative: 0.02% Sodium azide Constituents: 98% PBS, 1% BSA
Shipped at conditions
Blue Ice
Appropriate short-term storage conditions
+4°C
Appropriate long-term storage conditions
-20°C
Aliquoting information
Upon delivery aliquot
Storage information
Avoid freeze / thaw cycle

Product protocols

For this product, it's our understanding that no specific protocols are required. You can visit:

Target data

The IL20RA/IL20RB dimer is a receptor for IL19, IL20 and IL24. The IL22RA1/IL20RB dimer is a receptor for IL20 and IL24.
See full target information IL20RB

Publications (4)

Recent publications for all applications. Explore the full list and refine your search

Journal of translational medicine 19:237 PubMed34078403

2021

Interleukin-24 regulates mucosal remodeling in inflammatory bowel diseases.

Applications

Unspecified application

Species

Unspecified reactive species

Anna Ónody,Apor Veres-Székely,Domonkos Pap,Réka Rokonay,Beáta Szebeni,Erna Sziksz,Franz Oswald,Gábor Veres,Áron Cseh,Attila J Szabó,Ádám Vannay

Journal of translational medicine 18:172 PubMed32306980

2020

Characterization of IL-19, -20, and -24 in acute and chronic kidney diseases reveals a pro-fibrotic role of IL-24.

Applications

Unspecified application

Species

Unspecified reactive species

Domonkos Pap,Apor Veres-Székely,Beáta Szebeni,Réka Rokonay,Anna Ónody,Rita Lippai,István Márton Takács,András Tislér,Magdolna Kardos,Franz Oswald,Andrea Fekete,Attila J Szabó,Ádám Vannay

British journal of pharmacology 176:699-710 PubMed30460984

2018

Exogenous IL-19 attenuates acute ischaemic injury and improves survival in male mice with myocardial infarction.

Applications

Unspecified application

Species

Unspecified reactive species

Weishuai An,Yongsheng Yu,Yuefan Zhang,Zhigang Zhang,Yunhua Yu,Xianxian Zhao

Journal of immunology (Baltimore, Md. : 1950) 199:2570-2584 PubMed28864472

2017

The Stimulation of Macrophages with TLR Ligands Supports Increased IL-19 Expression in Inflammatory Bowel Disease Patients and in Colitis Models.

Applications

Unspecified application

Species

Unspecified reactive species

Anna Steinert,Ioannis Linas,Berna Kaya,Mohamed Ibrahim,Andreas Schlitzer,Petr Hruz,Katarina Radulovic,Luigi Terracciano,Andrew J Macpherson,Jan Hendrik Niess
View all publications

Product promise

We are committed to supporting your work with high-quality reagents, and we're here for you every step of the way. In the unlikely event that one of our products does not perform as expected, you're protected by our Product Promise.
For full details, please see our Terms & Conditions

Please note: All products are 'FOR RESEARCH USE ONLY. NOT FOR USE IN DIAGNOSTIC OR THERAPEUTIC PROCEDURES'.

For licensing inquiries, please contact partnerships@abcam.com