JavaScript is disabled in your browser. Please enable JavaScript to view this website.
AB324597

Anti-IL-22 antibody [EPR29923-534]

Be the first to review this product! Submit a review

|

(0 Publication)

Rabbit Recombinant Monoclonal antibody. Suitable for WB and reacts with Mouse samples.
2 Images
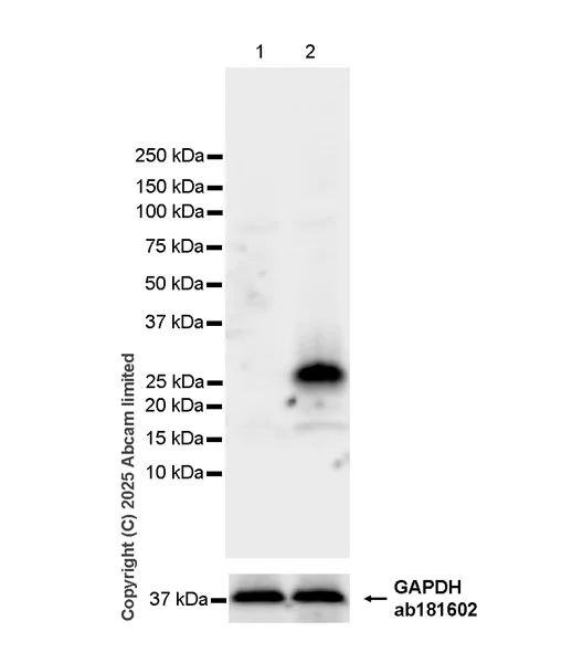
Western blot - Anti-IL-22 antibody [EPR29923-534] (AB324597)
  • WB

Supplier Data

Western blot - Anti-IL-22 antibody [EPR29923-534] (AB324597)

Blocking and diluting buffer and concentration : 5% NFDM/TBST.

The expression of IL-22 is upregulated in response to LPS treatment (PMID : 33177520).

In Western blot, Anti-GAPDH antibody [EPR16891] - Loading Control (ab181602) staining at 1/200000 dilution.

All lanes:

Western blot - Anti-IL-22 antibody [EPR29923-534] (ab324597) at 1/1000 dilution

Lane 1:

Untreated mouse splenocyte lysate at 50 µg

Lane 2:

Mouse splenocytes treated with 1µg/ml LPS and 1µg/ml BFA for 16 hours lysate at 50 µg

Secondary

All lanes:

Western blot - Goat Anti-Rabbit IgG H&L (HRP) (<a href='/en-us/products/secondary-antibodies/goat-rabbit-igg-h-l-hrp-ab97051'>ab97051</a>) at 1/20000 dilution

Observed band size: 25 kDa,36 kDa

false

Exposure time: 92s

Western blot - Anti-IL-22 antibody [EPR29923-534] (AB324597)
  • WB

Supplier Data

Western blot - Anti-IL-22 antibody [EPR29923-534] (AB324597)

Blocking and diluting buffer and concentration : 5% NFDM/TBST.

The expression of IL-22 is upregulated in response to LPS treatment (PMID : 33177520).

In Western blot, Anti-GAPDH antibody [EPR16891] - Loading Control (ab181602) staining at 1/200000 dilution.

All lanes:

Western blot - Anti-IL-22 antibody [EPR29923-534] (ab324597) at 1/1000 dilution

Lane 1:

Untreated mouse lung cell lysate  at 50 µg

Lane 2:

Mouse lung cell treated with 1µg/ml LPS and 1µg/ml BFA for 16 hours lysate at 50 µg

Secondary

All lanes:

Western blot - Goat Anti-Rabbit IgG H&L (HRP) (<a href='/en-us/products/secondary-antibodies/goat-rabbit-igg-h-l-hrp-ab97051'>ab97051</a>) at 1/20000 dilution

Observed band size: 25 kDa,36 kDa

false

Exposure time: 15s

Key facts

Host species

Rabbit

Clonality

Monoclonal

Clone number

EPR29923-534

Isotype

IgG

Carrier free

No

Reacts with

Mouse

Applications

WB

applications

Immunogen

The exact immunogen used to generate this antibody is proprietary information.

Reactivity data

{ "title": "Reactivity Data", "filters": { "stats": ["", "Species", "Dilution Info", "Notes"], "tabs": { "all-applications": {"fullname" : "All Applications", "shortname": "All Applications"}, "WB" : {"fullname" : "Western blot", "shortname":"WB"}, "FlowCytIntra" : {"fullname" : "Flow Cytometry (Intracellular)", "shortname":"Flow Cyt (Intra)"}, "ICCIF" : {"fullname" : "Immunocytochemistry/ Immunofluorescence", "shortname":"ICC/IF"}, "IHCP" : {"fullname" : "Immunohistochemistry (Formalin/PFA-fixed paraffin-embedded sections)", "shortname":"IHC-P"} }, "product-promise": { "all": "all", "testedAndGuaranteed": "tested", "guaranteed": "expected", "predicted": "predicted", "notRecommended": "not-recommended" } }, "values": { "Mouse": { "WB-species-checked": "testedAndGuaranteed", "WB-species-dilution-info": "1/1000", "WB-species-notes": "<p></p>", "FlowCytIntra-species-checked": "notRecommended", "FlowCytIntra-species-dilution-info": "", "FlowCytIntra-species-notes": "<p></p>", "ICCIF-species-checked": "notRecommended", "ICCIF-species-dilution-info": "", "ICCIF-species-notes": "<p></p>", "IHCP-species-checked": "notRecommended", "IHCP-species-dilution-info": "", "IHCP-species-notes": "<p></p>" } } }

Product details

Patented technology
Our RabMAb® technology is a patented hybridoma-based technology for making rabbit monoclonal antibodies. For details on our patents, please refer to RabMAb® patents.

What are the advantages of a recombinant monoclonal antibody?
This product is a recombinant monoclonal antibody, which offers several advantages including:

  • - High batch-to-batch consistency and reproducibility
  • - Improved sensitivity and specificity
  • - Long-term security of supply
  • - Animal-free batch production

For more information, read more on recombinant antibodies.

Properties and storage information

Form
Liquid
Purification technique
Affinity purification Protein A
Storage buffer
pH: 7.2 - 7.4 Preservative: 0.01% Sodium azide Constituents: PBS, 40% Glycerol (glycerin, glycerine), 0.05% BSA
Shipped at conditions
Blue Ice
Appropriate short-term storage duration
1-2 weeks
Appropriate short-term storage conditions
+4°C
Appropriate long-term storage conditions
-20°C
Aliquoting information
Upon delivery aliquot

Product protocols

For this product, it's our understanding that no specific protocols are required. You can visit:

Target data

Cytokine that plays a critical role in modulating tissue responses during inflammation (PubMed:33852830, PubMed:35525330). Plays an essential role in the regeneration of epithelial cells to maintain barrier function after injury and for the prevention of further tissue damage (PubMed:33912578). Unlike most of the cytokines, has no effect on immune cells. Signals through a heterodimeric receptor composed of two subunits, the specific receptor IL22RA1 which is present on non-immune cells in many organs and the shared subunit IL10RB. Ligation of IL22RA1 with IL22 induces activation of the tyrosine kinases JAK1 and TYK2, which in turn activates STAT3. In turn, promotes cell survival and proliferation through STAT3, ERK1/2 and PI3K/AKT pathways. Promotes phosphorylation of GSK3B at 'Ser-9' and CTTN (PubMed:24742671). Promotes epithelial cell spreading (PubMed:24742671).

Product promise

We are committed to supporting your work with high-quality reagents, and we're here for you every step of the way. In the unlikely event that one of our products does not perform as expected, you're protected by our Product Promise.
For full details, please see our Terms & Conditions

Please note: All products are 'FOR RESEARCH USE ONLY. NOT FOR USE IN DIAGNOSTIC OR THERAPEUTIC PROCEDURES'.

For licensing inquiries, please contact partnerships@abcam.com