JavaScript is disabled in your browser. Please enable JavaScript to view this website.
AB134035

Anti-IL-22 antibody [IMG8F11E2]

3

(1 Review)

|

(6 Publications)

Mouse Monoclonal IL-22 antibody. Suitable for WB, IHC-P and reacts with Human samples. Cited in 6 publications. Immunogen corresponding to Recombinant Full Length Protein corresponding to Human IL22.

View Alternative Names

ILTIF, ZCYTO18, UNQ3099/PRO10096, IL22, Interleukin-22, IL-22, Cytokine Zcyto18, IL-10-related T-cell-derived-inducible factor, IL-TIF

2 Images
Immunohistochemistry (Formalin/PFA-fixed paraffin-embedded sections) - Anti-IL-22 antibody [IMG8F11E2] (AB134035)
  • IHC-P

Unknown

Immunohistochemistry (Formalin/PFA-fixed paraffin-embedded sections) - Anti-IL-22 antibody [IMG8F11E2] (AB134035)

Immunohistochemical analysis of Paraffin-embedded Human brain tissue (top) and Human kidney tissue (bottom) labelling IL22 with ab134035 at 5μg/ml.

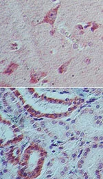
Western blot - Anti-IL-22 antibody [IMG8F11E2] (AB134035)
  • WB

Unknown

Western blot - Anti-IL-22 antibody [IMG8F11E2] (AB134035)

All lanes:

Western blot - Anti-IL-22 antibody [IMG8F11E2] (ab134035) at 1 µg/mL

Lane 1:

Recombinant Human IL22 protein

Lane 2:

Human spleen cell lysate

Secondary

All lanes:

Goat anti-mouse HRP

Predicted band size: 20 kDa,42 kDa

true

Key facts

Host species

Mouse

Clonality

Monoclonal

Clone number

IMG8F11E2

Isotype

IgG1

Light chain type

kappa

Carrier free

No

Reacts with

Human

Applications

IHC-P, WB

applications

Immunogen

Recombinant Full Length Protein corresponding to Human IL22.

Q9GZX6

Reactivity data

{ "title": "Reactivity Data", "filters": { "stats": ["", "Species", "Dilution Info", "Notes"], "tabs": { "all-applications": {"fullname" : "All Applications", "shortname": "All Applications"}, "WB" : {"fullname" : "Western blot", "shortname":"WB"}, "IHCP" : {"fullname" : "Immunohistochemistry (Formalin/PFA-fixed paraffin-embedded sections)", "shortname":"IHC-P"} }, "product-promise": { "all": "all", "testedAndGuaranteed": "tested", "guaranteed": "expected", "predicted": "predicted", "notRecommended": "not-recommended" } }, "values": { "Human": { "WB-species-checked": "testedAndGuaranteed", "WB-species-dilution-info": "1-3 µg/mL", "WB-species-notes": "<p></p>", "IHCP-species-checked": "testedAndGuaranteed", "IHCP-species-dilution-info": "5 µg/mL", "IHCP-species-notes": "<p></p>" } } }

Properties and storage information

Form
Liquid
Purification technique
Affinity purification Protein G
Storage buffer
pH: 7.4 Preservative: 0.05% Sodium azide Constituents: PBS
Shipped at conditions
Blue Ice
Appropriate short-term storage duration
Up to 6 months
Appropriate short-term storage conditions
+4°C
Appropriate long-term storage conditions
-20°C

Product protocols

For this product, it's our understanding that no specific protocols are required. You can visit:

Target data

Cytokine that plays a critical role in modulating tissue responses during inflammation (PubMed : 17204547). Plays an essential role in the regeneration of epithelial cells to maintain barrier function after injury and for the prevention of further tissue damage (PubMed : 17204547). Unlike most of the cytokines, has no effect on immune cells. Signals through a heterodimeric receptor composed of two subunits, the specific receptor IL22RA1 which is present on non-immune cells in many organs and the shared subunit IL10RB (PubMed : 10875937, PubMed : 18599299). Ligation of IL22RA1 with IL22 induces activation of the tyrosine kinases JAK1 and TYK2, which in turn activates STAT3. In turn, promotes cell survival and proliferation through STAT3, ERK1/2 and PI3K/AKT pathways (PubMed : 25793261, PubMed : 31311100). Promotes phosphorylation of GSK3B at 'Ser-9' and CTTN (By similarity). Promotes epithelial cell spreading (By similarity).
See full target information IL22

Publications (6)

Recent publications for all applications. Explore the full list and refine your search

BMC cancer 25:1278 PubMed40775324

2025

Evaluating IL22RA1 expression as a predictive indicator in human colon cancer progression.

Applications

Unspecified application

Species

Unspecified reactive species

Xuan Yin,Renhao Geng,Junjun Chen,Bin Xu,Hui Ma,Yingting Liu,Xiao Zheng,Lujun Chen

Tissue barriers 11:2039003 PubMed35262466

2022

GRP75 as a functional element of cholix transcytosis.

Applications

Unspecified application

Species

Unspecified reactive species

Keyi Liu,Tom Hunter,Alistair Taverner,Kevin Yin,Julia MacKay,Kate Colebrook,Morgan Correia,Amandine Rapp,Randall J Mrsny

Cellular & molecular biology letters 26:7 PubMed33622250

2021

The NOTCH-HES-1 axis is involved in promoting Th22 cell differentiation.

Applications

Unspecified application

Species

Unspecified reactive species

Chong Zeng,Zhongbao Shao,Zibo Wei,Jie Yao,Weidong Wang,Liang Yin,Huixian YangOu,Dan Xiong

Experimental and therapeutic medicine 21:158 PubMed33456525

2021

Reciprocal regulation of interleukin-17A and interleukin-22 secretion through aryl hydrocarbon receptor activation in CD4 T cells of patients with vitiligo.

Applications

Unspecified application

Species

Unspecified reactive species

Baoyi Liu,Yongyi Xie,Xingyu Mei,Yue Sun,Weimin Shi,Zhouwei Wu

The British journal of dermatology 182:648-657 PubMed31090221

2019

T helper 22 cells from Han Chinese patients with atopic dermatitis exhibit high expression of inducible T-cell costimulator.

Applications

Unspecified application

Species

Unspecified reactive species

Q Jiao,Q Qian,C Liu,Y Luo,F Fang,M Wang,J Ji,H Qian,X Zhang,M Maurer

Scientific reports 8:6665 PubMed29703987

2018

Staphylococcus aureus enterotoxins modulate IL-22-secreting cells in adults with atopic dermatitis.

Applications

Unspecified application

Species

Unspecified reactive species

Raquel Leao Orfali,Luanda Mara da Silva Oliveira,Josenilson Feitosa de Lima,Gabriel Costa de Carvalho,Yasmim Alefe Leuzzi Ramos,Natalli Zanete Pereira,Naiura Vieira Pereira,Mariana Colombini Zaniboni,Mirian Nacagami Sotto,Alberto José da Silva Duarte,Maria Notomi Sato,Valeria Aoki
View all publications

Product promise

We are committed to supporting your work with high-quality reagents, and we're here for you every step of the way. In the unlikely event that one of our products does not perform as expected, you're protected by our Product Promise.
For full details, please see our Terms & Conditions

Please note: All products are 'FOR RESEARCH USE ONLY. NOT FOR USE IN DIAGNOSTIC OR THERAPEUTIC PROCEDURES'.

For licensing inquiries, please contact partnerships@abcam.com