JavaScript is disabled in your browser. Please enable JavaScript to view this website.
AB224198

Anti-IL-26 antibody [EPR22268-141]

Be the first to review this product! Submit a review

|

(3 Publications)

Rabbit Recombinant Monoclonal IL-26 antibody. Suitable for IP, WB, ICC/IF, IHC-P and reacts with Human samples. Cited in 3 publications.

View Alternative Names

AK155, IL26, Interleukin-26, IL-26, Protein AK155

6 Images
Immunocytochemistry/ Immunofluorescence - Anti-IL-26 antibody [EPR22268-141] (AB224198)
  • ICC/IF

Unknown

Immunocytochemistry/ Immunofluorescence - Anti-IL-26 antibody [EPR22268-141] (AB224198)

Immunofluorescent analysis of 4% paraformaldehyde-fixed, 0.1% Triton X-100 permeabilized THP-1 (human monocytic leukemia cell line) cells labeling IL-26 with ab224198 at 1/100 dilution, followed by Goat Anti-Rabbit IgG H&L (Alexa Fluor® 488) (ab150077) secondary antibody at 1/1000 dilution (green). Confocal image showing cytoplasmic staining in THP-1 cell line treated with 80nM PMA (Phorbol-12-myristate-13-acetate) for 16h, then 100ng/ml LPS (lipopolysaccharide) for 3h and add 300ng/ml BFA (Brefeldin A) for 3h. The nuclear counterstain is DAPI (blue). Tubulin is detected with Anti-alpha Tubulin antibody [DM1A] - Microtubule Marker (Alexa Fluor® 594) (ab195889) at 1/200 dilution (red). Secondary antibody only control : Used PBS instead of primary antibody, followed by Goat Anti-Rabbit IgG H&L (Alexa Fluor® 488) (ab150077) secondary antibody at 1/1000 dilution.

Cells were either untreated, or treated with 80nM PMA (Phorbol-12-myristate-13-acetate) for 16h, then 100ng/ml LPS (lipopolysaccharide) for 3h and add 300ng/ml BFA (Brefeldin A) for 3h.

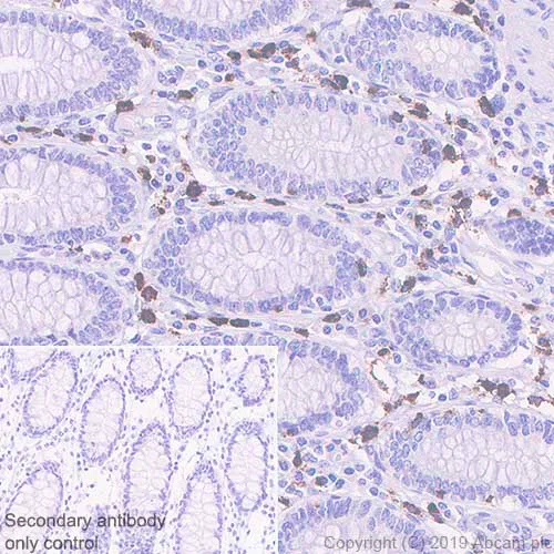
Immunohistochemistry (Formalin/PFA-fixed paraffin-embedded sections) - Anti-IL-26 antibody [EPR22268-141] (AB224198)
  • IHC-P

Unknown

Immunohistochemistry (Formalin/PFA-fixed paraffin-embedded sections) - Anti-IL-26 antibody [EPR22268-141] (AB224198)

Immunohistochemical analysis of paraffin-embedded human colon tissue labeling IL-26 with ab224198 at 1/1000 dilution, followed by Rabbit specific IHC polymer detection kit HRP/DAB (ab209101). Positive staining on lymphocytes of human colon (PMID : 18483078, 28852311) is observed. Counterstained with hematoxylin. Secondary antibody only control : Used PBS instead of primary antibody, secondary antibody is Rabbit specific IHC polymer detection kit HRP/DAB (ab209101). Heat mediated antigen retrieval with Tris-EDTA buffer (pH 9.0, epitope retrieval solution 2) for 20mins. The section was incubated with ab224198 for 30 mins at room temperature. The immunostaining was performed on a Leica Biosystems BOND® RX instrument.

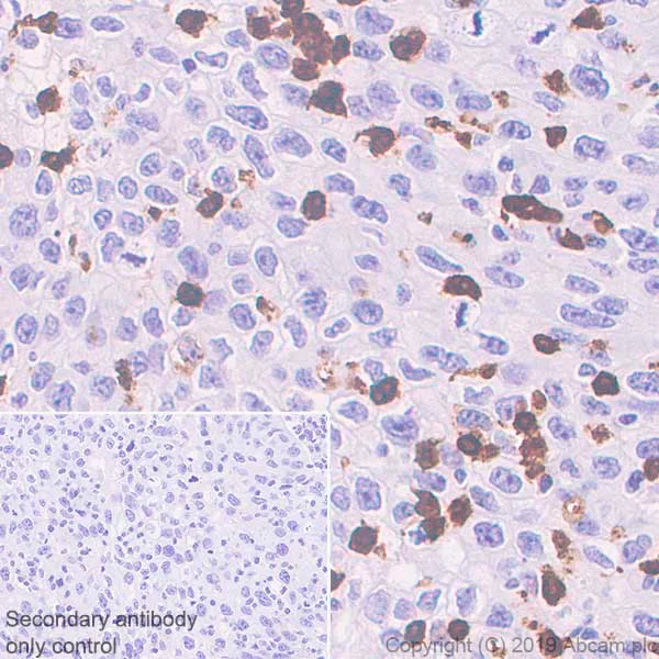
Immunohistochemistry (Formalin/PFA-fixed paraffin-embedded sections) - Anti-IL-26 antibody [EPR22268-141] (AB224198)
  • IHC-P

Unknown

Immunohistochemistry (Formalin/PFA-fixed paraffin-embedded sections) - Anti-IL-26 antibody [EPR22268-141] (AB224198)

Immunohistochemical analysis of paraffin-embedded human cervical carcinoma tissue labeling IL-26 with ab224198 at 1/1000 dilution, followed by Rabbit specific IHC polymer detection kit HRP/DAB (ab209101). Positive staining on lymphocytes of human cervical carcinoma (PMID : 18483078, 28852311) is observed. Counterstained with hematoxylin. Secondary antibody only control : Used PBS instead of primary antibody, secondary antibody is Rabbit specific IHC polymer detection kit HRP/DAB (ab209101). Heat mediated antigen retrieval with Tris-EDTA buffer (pH 9.0, epitope retrieval solution 2) for 20mins. The section was incubated with ab224198 for 30 mins at room temperature. The immunostaining was performed on a Leica Biosystems BOND® RX instrument.

Immunoprecipitation - Anti-IL-26 antibody [EPR22268-141] (AB224198)
  • IP

Unknown

Immunoprecipitation - Anti-IL-26 antibody [EPR22268-141] (AB224198)

IL-26 was immunoprecipitated from 0.35 mg of THP-1 (human monocytic leukemia cell line) (treated with 80nM PMA (Phorbol-12-myristate-13-acetate) overnight, then 100ng/ml LPS (lipopolysaccharide) for 3h and add 300ng/ml BFA (Brefeldin A) for 3h) whole cell lysate with ab224198 at 1/30 dilution. Western blot was performed from the immunoprecipitate using ab224198 at 1/500 dilution. VeriBlot for IP Detection Reagent (HRP) (ab131366), was used as secondary antibody at 1/1000 dilution.

Lane 1 : THP-1 (treated as above) whole cell lysate 10 μg (Input).
Lane 2 : ab224198 IP in THP-1 (treated as above) whole cell lysate.
Lane 3 : : Rabbit monoclonal IgG (ab172730) instead of ab224198 in THP-1 (treated as above) whole cell lysate.

Blocking/Dilution buffer : 5% NFDM/TBST.
Exposure time : 3 mins.

All lanes:

Immunoprecipitation - Anti-IL-26 antibody [EPR22268-141] (ab224198)

Predicted band size: 20 kDa

Observed band size: 27 kDa

false

Western blot - Anti-IL-26 antibody [EPR22268-141] (AB224198)
  • WB

Unknown

Western blot - Anti-IL-26 antibody [EPR22268-141] (AB224198)

Blocking/Dilution buffer : 5% NFDM/TBST.

The molecular weight observed is consistent with what has been described in the literature (PMID : 14764663).

This antibody reacts with an unidentifiable protein around 75 kDa.

All lanes:

Western blot - Anti-IL-26 antibody [EPR22268-141] (ab224198) at 1/1000 dilution

Lane 1:

Untreated THP-1 (human monocytic leukemia cell line) whole cell lysate at 20 µg

Lane 2:

THP-1 treated with 80nM PMA (Phorbol-12-myristate-13-acetate) for 24 hours, then 1μg/ml LPS (lipopolysaccharides) for 24 hours, whole cell lysate at 20 µg

Secondary

All lanes:

Western blot - Goat Anti-Rabbit IgG H&L (HRP) (<a href='/en-us/products/secondary-antibodies/goat-rabbit-igg-h-l-hrp-ab97051'>ab97051</a>) at 100000 mg/mL

Predicted band size: 20 kDa

Observed band size: 27 kDa

false

Exposure time: 92s

Western blot - Anti-IL-26 antibody [EPR22268-141] (AB224198)
  • WB

Unknown

Western blot - Anti-IL-26 antibody [EPR22268-141] (AB224198)

Blocking/Dilution buffer : 5% NFDM/TBST.

All lanes:

Western blot - Anti-IL-26 antibody [EPR22268-141] (ab224198) at 1/1000 dilution

All lanes:

His-tagged human IL-26 recombinant protein (aa 22-171), 20 ng

Secondary

All lanes:

Western blot - Goat Anti-Rabbit IgG H&L (HRP) (<a href='/en-us/products/secondary-antibodies/goat-rabbit-igg-h-l-hrp-ab97051'>ab97051</a>) at 1/100000 dilution

Predicted band size: 20 kDa

false

Exposure time: 26s

  • Carrier free

    Anti-IL-26 antibody [EPR22268-141] - BSA and Azide free

Key facts

Host species

Rabbit

Clonality

Monoclonal

Clone number

EPR22268-141

Isotype

IgG

Carrier free

No

Reacts with

Human

Applications

IHC-P, WB, ICC/IF, IP

applications

Immunogen

The exact immunogen used to generate this antibody is proprietary information.

Reactivity data

{ "title": "Reactivity Data", "filters": { "stats": ["", "Species", "Dilution Info", "Notes"], "tabs": { "all-applications": {"fullname" : "All Applications", "shortname": "All Applications"}, "IP" : {"fullname" : "Immunoprecipitation", "shortname":"IP"}, "FlowCyt" : {"fullname" : "Flow Cytometry", "shortname":"Flow Cyt"}, "WB" : {"fullname" : "Western blot", "shortname":"WB"}, "ICCIF" : {"fullname" : "Immunocytochemistry/ Immunofluorescence", "shortname":"ICC/IF"}, "IHCP" : {"fullname" : "Immunohistochemistry (Formalin/PFA-fixed paraffin-embedded sections)", "shortname":"IHC-P"} }, "product-promise": { "all": "all", "testedAndGuaranteed": "tested", "guaranteed": "expected", "predicted": "predicted", "notRecommended": "not-recommended" } }, "values": { "Human": { "IP-species-checked": "testedAndGuaranteed", "IP-species-dilution-info": "1/30", "IP-species-notes": "<p></p>", "FlowCyt-species-checked": "notRecommended", "FlowCyt-species-dilution-info": "", "FlowCyt-species-notes": "<p></p>", "WB-species-checked": "testedAndGuaranteed", "WB-species-dilution-info": "1/1000", "WB-species-notes": "<p></p>", "ICCIF-species-checked": "testedAndGuaranteed", "ICCIF-species-dilution-info": "1/100", "ICCIF-species-notes": "<p></p>", "IHCP-species-checked": "testedAndGuaranteed", "IHCP-species-dilution-info": "1/1000", "IHCP-species-notes": "<p></p>" } } }

Product details

Patented technology
Our RabMAb® technology is a patented hybridoma-based technology for making rabbit monoclonal antibodies. For details on our patents, please refer to RabMAb® patents.

What are the advantages of a recombinant monoclonal antibody?
This product is a recombinant monoclonal antibody, which offers several advantages including:

  • - High batch-to-batch consistency and reproducibility
  • - Improved sensitivity and specificity
  • - Long-term security of supply
  • - Animal-free batch production

For more information, read more on recombinant antibodies.

Properties and storage information

Form
Liquid
Purification technique
Affinity purification Protein A
Storage buffer
pH: 7.2 - 7.4 Preservative: 0.01% Sodium azide Constituents: PBS, 40% Glycerol (glycerin, glycerine), 0.05% BSA
Shipped at conditions
Blue Ice
Appropriate short-term storage duration
1-2 weeks
Appropriate short-term storage conditions
+4°C
Appropriate long-term storage conditions
-20°C
Aliquoting information
Upon delivery aliquot
Storage information
Avoid freeze / thaw cycle

Product protocols

For this product, it's our understanding that no specific protocols are required. You can visit:

Target data

May play a role in local mechanisms of mucosal immunity and seems to have a pro-inflammatory function. May play a role in inflammatory bowel disease. Activates STAT1 and STAT3, MAPK1/3 (ERK1/2), JUN and AKT. Induces expression of SOCS3, TNF-alpha and IL-8, secretion of IL-8 and IL-10 and surface expression of ICAM1. Decreases proliferation of intestinal epithelial cells. Is inhibited by heparin.
See full target information IL26

Publications (3)

Recent publications for all applications. Explore the full list and refine your search

JCI insight 10: PubMed40985896

2025

Th17 cells with regulatory phenotype are the main IL-17F and IL-26 producers in palmoplantar pustulosis.

Applications

Unspecified application

Species

Unspecified reactive species

Tran H Do,Rachael Bogle,Haihan Zhang,Xianying Xing,Mehrnaz Gharaee-Kermani,Madalina Raducu,Jennifer Fox,Rundong Jiang,Olesya Plazyo,Paul W Harms,Mio Nakamura,Enze Xing,Michel Gilliet,Allison C Billi,J Michelle Kahlenberg,Robert L Modlin,Ozge Uluckan,Lam C Tsoi,Johann E Gudjonsson

MedComm 6:e70311 PubMed40761479

2025

Nanoparticle-Delivered siRNA Targeting NSUN4 Relieves Systemic Lupus Erythematosus through Declining Mitophagy-Mediated CD8+T Cell Exhaustion.

Applications

Unspecified application

Species

Unspecified reactive species

Bincheng Ren,Kaini He,Ning Wei,Shanshan Liu,Xiaoguang Cui,Xin Yang,Xiaojing Cheng,Tian Tian,Ru Gu,Xueyi Li

Journal of digestive diseases 24:231-242 PubMed37155188

2023

IL-26 modulates T cell function in autoimmune hepatitis.

Applications

Unspecified application

Species

Unspecified reactive species

Wei He,Qi Wei Qian,Qiao Yan Liu,Yi Kang Li,Qi Miao,Qi Xia Wang,Xiong Ma,Zheng Rui You,Ru Qi Tang
View all publications

Product promise

We are committed to supporting your work with high-quality reagents, and we're here for you every step of the way. In the unlikely event that one of our products does not perform as expected, you're protected by our Product Promise.
For full details, please see our Terms & Conditions

Please note: All products are 'FOR RESEARCH USE ONLY. NOT FOR USE IN DIAGNOSTIC OR THERAPEUTIC PROCEDURES'.

For licensing inquiries, please contact partnerships@abcam.com