JavaScript is disabled in your browser. Please enable JavaScript to view this website.
AB282585

Anti-IL-2RG antibody [EPR24694-133] - BSA and Azide free

Be the first to review this product! Submit a review

|

(0 Publication)

Rabbit Recombinant Monoclonal IL-2RG antibody. Carrier free. Suitable for IP, WB, IHC-P and reacts with Human, Mouse, Rat samples.

View Alternative Names

CD132, Cytokine receptor common subunit gamma, Interleukin-2 receptor subunit gamma, gammaC, p64, IL-2 receptor subunit gamma, IL-2R subunit gamma, IL-2RG, IL2RG

5 Images
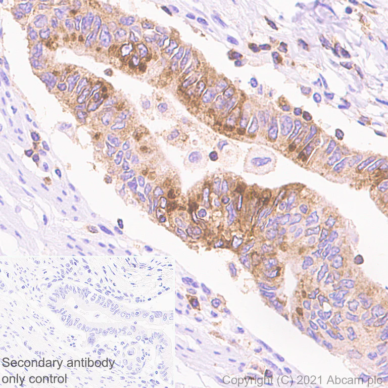
Immunohistochemistry (Formalin/PFA-fixed paraffin-embedded sections) - Anti-IL-2RG antibody [EPR24694-133] - BSA and Azide free (AB282585)
  • IHC-P

Supplier Data

Immunohistochemistry (Formalin/PFA-fixed paraffin-embedded sections) - Anti-IL-2RG antibody [EPR24694-133] - BSA and Azide free (AB282585)

This data was developed using ab273023, the same antibody clone in a different buffer formulation.

Immunohistochemical analysis of paraffin-embedded Human gastric cancer tissue labeling IL-2RG with ab273023 at 1/500 (1.126 ug/ml) followed by a Rabbit specific IHC polymer detection kit HRP/DAB (ab209101) at Ready to use dilution. Positive staining in human gastric cancer. The section was incubated with ab273023 for 30 mins at room temperature. The immunostaining was performed on a Leica Biosystems BOND® RX instrument Counterstained with Hematoxylin.

Secondary antibody only control : Secondary antibody is Rabbit specific IHC polymer detection kit HRP/DAB (ab209101) at Ready to use dilution.

Heat mediated antigen retrieval with Tris-EDTA buffer (pH 9.0, epitope retrieval solution2) for 20 mins

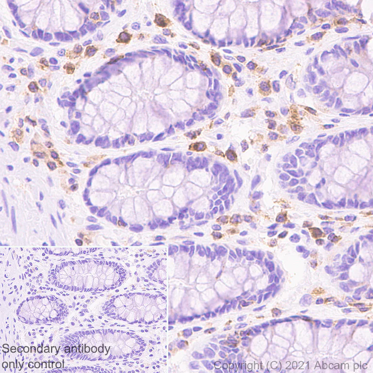
Immunohistochemistry (Formalin/PFA-fixed paraffin-embedded sections) - Anti-IL-2RG antibody [EPR24694-133] - BSA and Azide free (AB282585)
  • IHC-P

Supplier Data

Immunohistochemistry (Formalin/PFA-fixed paraffin-embedded sections) - Anti-IL-2RG antibody [EPR24694-133] - BSA and Azide free (AB282585)

This data was developed using ab273023, the same antibody clone in a different buffer formulation.

Immunohistochemical analysis of paraffin-embedded Human colon tissue labeling IL-2RG with ab273023 at 1/500 (1.126 ug/ml) followed by a Rabbit specific IHC polymer detection kit HRP/DAB (ab209101) at Ready to use dilution. Positive staining in lamina propria of human colon. The section was incubated with ab273023 for 30 mins at room temperature. The immunostaining was performed on a Leica Biosystems BOND® RX instrument Counterstained with Hematoxylin.

Secondary antibody only control : Secondary antibody is Rabbit specific IHC polymer detection kit HRP/DAB (ab209101) at Ready to use dilution.

Heat mediated antigen retrieval with Tris-EDTA buffer (pH 9.0, epitope retrieval solution2) for 20 mins

Immunoprecipitation - Anti-IL-2RG antibody [EPR24694-133] - BSA and Azide free (AB282585)
  • IP

Supplier Data

Immunoprecipitation - Anti-IL-2RG antibody [EPR24694-133] - BSA and Azide free (AB282585)

This data was developed using ab273023, the same antibody clone in a different buffer formulation.

IL-2RG was immunoprecipitated from 0.35 mg Daudi (human Burkitt's lymphoma lymphoblast), whole cell lysate 10ug with ab273023 at 1/30 dilution (2ug in 0.35mg lysates). Western blot was performed on the immunoprecipitate using ab273023 at 1/1000 dilution. VeriBlot for IP secondary antibody(HRP)(ab131366) was used at 1/5000 dilution.

Lane 1 : Daudi (human Burkitt's lymphoma lymphoblast), whole cell lysate 10ug

Lane 2 : ab273023 IP in Daudi whole cell lysate

Lane 3 : Rabbit monoclonal IgG (ab172730) instead of ab273023 in Daudi whole cell lysate

Blocking and dilution buffer and concentration : 5% NFDM/TBST.

Exposure time : 75 seconds

All lanes:

Immunoprecipitation - Anti-IL-2RG antibody [EPR24694-133] (<a href='/en-us/products/primary-antibodies/il-2rg-antibody-epr24694-133-ab273023'>ab273023</a>)

Predicted band size: 42 kDa

Observed band size: 50-70 kDa

false

Western blot - Anti-IL-2RG antibody [EPR24694-133] - BSA and Azide free (AB282585)
  • WB

Lab

Western blot - Anti-IL-2RG antibody [EPR24694-133] - BSA and Azide free (AB282585)

This data was developed using 273023, the same antibody clone in a different buffer formulation.

Blocking and diluting buffer and concentration : 5% NFDM/TBST

The molecular weight observed is consistent with what has been described in the literature (PMID : 11418669 and PMID : 19329337). The 50kDa-70kDa bands correspond to the mature form and immature form.

Negative control : HT-29 (PMID : 8530527).

Exposure time : Lane 1 : 3 minutesLane 2 : 15 seconds Lanes 3-8 : 48 seconds

All lanes:

Western blot - Anti-IL-2RG antibody [EPR24694-133] (<a href='/en-us/products/primary-antibodies/il-2rg-antibody-epr24694-133-ab273023'>ab273023</a>) at 1/1000 dilution

Lane 1:

Human spleen tissue lysate at 20 µg

Lane 2:

Human lymphoma tissue lysate at 20 µg

Lane 3:

Daudi (human Burkitts lymphoma lymphoblast), whole cell lysate at 20 µg

Lane 4:

Jurkat (human T cell leukemia T lymphocyte), whole cell lysate at 20 µg

Lane 5:

HT-29 (human colorectal adenocarcinoma epithelial cell), whole cell lysate at 20 µg

Lane 6:

RAW264.7 (mouse Abelson murine leukemia virus-induced tumor macrophage), whole cell lysate at 20 µg

Lane 7:

Mouse spleen tissue lysate at 20 µg

Lane 8:

Rat spleen tissue lysate at 20 µg

Secondary

Lanes 1 - 2:

Goat Anti-Rabbit IgG (HRP) with minimal cross-reactivity with human IgG at 1/2000 dilution

Lanes 3 - 8:

Western blot - Goat Anti-Rabbit IgG H&L (HRP) (<a href='/en-us/products/secondary-antibodies/goat-rabbit-igg-h-l-hrp-ab97051'>ab97051</a>) at 1/20000 dilution

Predicted band size: 42 kDa

Observed band size: 50-70 kDa

false

Western blot - Anti-IL-2RG antibody [EPR24694-133] - BSA and Azide free (AB282585)
  • WB

Lab

Western blot - Anti-IL-2RG antibody [EPR24694-133] - BSA and Azide free (AB282585)

This data was developed using the same antibody clone in a different buffer formulation (ab273023).

Western blot : Anti-IL2RG antibody [EPR24694-133] (ab273023) staining at 1/1000 dilution, shown in green; Mouse anti-GAPDH antibody [6C5] (ab8245) loading control staining at 1/20000 dilution, shown in magenta. In Western blot, ab273023 was shown to bind specifically to IL2RG. A band was observed at 55 kDa in wild-type K562 cell lysates with no signal observed at this size in IL2RG knockout cell line. To generate this image, wild-type and IL2RG knockout K562 cell lysates were analysed. First, samples were run on an SDS-PAGE gel then transferred onto a nitrocellulose membrane. Membranes were blocked in 3 % milk in TBS-0.1 % Tween® 20 (TBS-T) before incubation with primary antibodies overnight at 4 °C. Blots were washed four times in TBS-T, incubated with secondary antibodies for 1 h at room temperature, washed again four times then imaged. Secondary antibodies used were Goat anti-Rabbit IgG H&L 800CW and Goat anti-Mouse IgG H&L 680RD at 1/20000 dilution.

All lanes:

Western blot - Anti-IL-2RG antibody [EPR24694-133] (<a href='/en-us/products/primary-antibodies/il-2rg-antibody-epr24694-133-ab273023'>ab273023</a>) at 1/1000 dilution

Lane 1:

Wild-type K562 cell lysate at 20 µg

Lane 2:

IL2RG knockout K562 cell lysate at 20 µg

Lane 3:

Jurkat cell lysate at 20 µg

Lane 4:

MCF7 cell lysate at 20 µg

Secondary

All lanes:

Goat anti-Rabbit IgG H&L 800CW and Goat anti-Mouse IgG H&L 680RD at 1/20000 dilution

Observed band size: 55 kDa

false

Key facts

Host species

Rabbit

Clonality

Monoclonal

Clone number

EPR24694-133

Isotype

IgG

Carrier free

Yes

Reacts with

Mouse, Rat, Human

Applications

IP, IHC-P, WB

applications

Immunogen

The exact immunogen used to generate this antibody is proprietary information.

Reactivity data

{ "title": "Reactivity Data", "filters": { "stats": ["", "Species", "Dilution Info", "Notes"], "tabs": { "all-applications": {"fullname" : "All Applications", "shortname": "All Applications"}, "ICCIF" : {"fullname" : "Immunocytochemistry/ Immunofluorescence", "shortname":"ICC/IF"}, "IP" : {"fullname" : "Immunoprecipitation", "shortname":"IP"}, "FlowCyt" : {"fullname" : "Flow Cytometry", "shortname":"Flow Cyt"}, "WB" : {"fullname" : "Western blot", "shortname":"WB"}, "IHCP" : {"fullname" : "Immunohistochemistry (Formalin/PFA-fixed paraffin-embedded sections)", "shortname":"IHC-P"} }, "product-promise": { "all": "all", "testedAndGuaranteed": "tested", "guaranteed": "expected", "predicted": "predicted", "notRecommended": "not-recommended" } }, "values": { "Human": { "ICCIF-species-checked": "notRecommended", "ICCIF-species-dilution-info": "", "ICCIF-species-notes": "<p></p>", "IP-species-checked": "testedAndGuaranteed", "IP-species-dilution-info": "", "IP-species-notes": "<p></p>", "FlowCyt-species-checked": "notRecommended", "FlowCyt-species-dilution-info": "", "FlowCyt-species-notes": "<p></p>", "WB-species-checked": "testedAndGuaranteed", "WB-species-dilution-info": "", "WB-species-notes": "<p></p>", "IHCP-species-checked": "testedAndGuaranteed", "IHCP-species-dilution-info": "", "IHCP-species-notes": "<p></p>" }, "Mouse": { "ICCIF-species-checked": "notRecommended", "ICCIF-species-dilution-info": "", "ICCIF-species-notes": "<p></p>", "IP-species-checked": "guaranteed", "IP-species-dilution-info": "", "IP-species-notes": "", "FlowCyt-species-checked": "notRecommended", "FlowCyt-species-dilution-info": "", "FlowCyt-species-notes": "<p></p>", "WB-species-checked": "testedAndGuaranteed", "WB-species-dilution-info": "", "WB-species-notes": "<p></p>", "IHCP-species-checked": "notRecommended", "IHCP-species-dilution-info": "", "IHCP-species-notes": "<p></p>" }, "Rat": { "ICCIF-species-checked": "notRecommended", "ICCIF-species-dilution-info": "", "ICCIF-species-notes": "", "IP-species-checked": "guaranteed", "IP-species-dilution-info": "", "IP-species-notes": "", "FlowCyt-species-checked": "notRecommended", "FlowCyt-species-dilution-info": "", "FlowCyt-species-notes": "<p></p>", "WB-species-checked": "testedAndGuaranteed", "WB-species-dilution-info": "", "WB-species-notes": "<p></p>", "IHCP-species-checked": "notRecommended", "IHCP-species-dilution-info": "", "IHCP-species-notes": "<p></p>" } } }

Product details

ab282585 is the carrier-free version of ab273023.

Patented technology
Our RabMAb® technology is a patented hybridoma-based technology for making rabbit monoclonal antibodies. For details on our patents, please refer to RabMAb® patents.

What are the advantages of a recombinant monoclonal antibody?
This product is a recombinant monoclonal antibody, which offers several advantages including:

  • - High batch-to-batch consistency and reproducibility
  • - Improved sensitivity and specificity
  • - Long-term security of supply
  • - Animal-free batch production

For more information, read more on recombinant antibodies.

Conjugation ready
Our carrier-free antibodies are typically supplied in a PBS-only formulation, purified and free of BSA, sodium azide and glycerol. This conjugation-ready format is designed for use with fluorochromes, metal isotopes, oligonucleotides, and enzymes, which makes them ideal for antibody labelling, functional and cell-based assays, flow-based assays (e.g. mass cytometry) and Multiplex Imaging applications.

Use our conjugation kits for antibody conjugates that are ready-to-use in as little as 20 minutes with 1 minute hands-on-time and 100% antibody recovery: available for fluorescent dyes, HRP, biotin and gold.

Compatibility
This product is compatible with the Maxpar® Antibody Labeling Kit from Fluidigm, without the need for antibody preparation. Maxpar® is a trademark of Fluidigm Canada Inc.

Properties and storage information

Form
Liquid
Purification technique
Affinity purification Protein A
Storage buffer
Constituents: PBS
Shipped at conditions
Blue Ice
Appropriate short-term storage conditions
+4°C
Appropriate long-term storage conditions
+4°C

Product protocols

For this product, it's our understanding that no specific protocols are required. You can visit:

Target data

Common subunit for the receptors for a variety of interleukins. Probably in association with IL15RA, involved in the stimulation of neutrophil phagocytosis by IL15 (PubMed : 15123770).
See full target information IL2RG

Product promise

We are committed to supporting your work with high-quality reagents, and we're here for you every step of the way. In the unlikely event that one of our products does not perform as expected, you're protected by our Product Promise.
For full details, please see our Terms & Conditions

Please note: All products are 'FOR RESEARCH USE ONLY. NOT FOR USE IN DIAGNOSTIC OR THERAPEUTIC PROCEDURES'.

For licensing inquiries, please contact partnerships@abcam.com