JavaScript is disabled in your browser. Please enable JavaScript to view this website.
AB187060

Anti-IL-33 antibody [EPR17831]

  • BOND RX™ Validated
  • KO Validated
  • RabMAb
  • Recombinant
  • 20ul selling size
  • What is this?

5

(2 Reviews)

|

(30 Publications)

Anti-IL-33 antibody [EPR17831] (ab187060) is a rabbit monoclonal antibody detecting IL-33 in Western Blot, Flow Cytometry (Intra), Flow Cytometry, IHC-P, ICC/IF. Suitable for Mouse, Rat.

- KO validated for confirmed specificity
- Biophysical QC for unrivalled batch-batch consistency
- Over 10 publications

View Alternative Names

Interleukin-33, IL-33, Il33

12 Images
Immunocytochemistry/ Immunofluorescence - Anti-IL-33 antibody [EPR17831] (AB187060)
  • ICC/IF

Unknown

Immunocytochemistry/ Immunofluorescence - Anti-IL-33 antibody [EPR17831] (AB187060)

Immunofluorescent analysis of 4% paraformaldehyde-fixed, 0.1% Triton X-100 permeabilized RAW 264.7 (mouse macrophage cell line transformed with Abelson murine leukemia virus) cells labeling IL33 with ab187060 at 1/500 dilution, followed by Goat Anti-Rabbit IgG H&L (Alexa Fluor® 488) (ab150077) secondary antibody at 1/1000 dilution (green). Confocal image showing increased nuclear staining in RAW 264.7 cells treated with 50 nM Phorbol-12-myristate-13-acetate (PMA) and 5 μg/ml Lipopolysaccharide for 24h.

The nuclear counter stain is DAPI (blue). Tubulin is detected with Anti-alpha Tubulin antibody [DM1A] - Microtubule Marker (Alexa Fluor® 594) (ab195889) at 1/200 dilution (red).

Secondary antibody only control : Used PBS instead of primary antibody, secondary antibody is Goat Anti-Rabbit IgG H&L (Alexa Fluor® 488) (ab150077) at 1/1000 dilution.

Immunohistochemistry (Formalin/PFA-fixed paraffin-embedded sections) - Anti-IL-33 antibody [EPR17831] (AB187060)
  • IHC-P

Unknown

Immunohistochemistry (Formalin/PFA-fixed paraffin-embedded sections) - Anti-IL-33 antibody [EPR17831] (AB187060)

Immunohistochemical analysis of paraffin-embedded rat spleen tissue labeling IL33 with ab187060 at 1/2000 dilution, followed by Rabbit specific IHC polymer detection kit HRP/DAB (ab209101), ready to use. Nuclear staining in endothelial cells of rat spleen is observed (PMID : 12819012). Counter stained with Hematoxylin.

Secondary antibody only control : Used PBS instead of primary antibody, secondary antibody is Rabbit specific IHC polymer detection kit HRP/DAB (ab209101), ready to use.

Perform heat mediated antigen retrieval before commencing with IHC staining protocol.

Flow Cytometry (Intracellular) - Anti-IL-33 antibody [EPR17831] (AB187060)
  • Flow Cyt (Intra)

Lab

Flow Cytometry (Intracellular) - Anti-IL-33 antibody [EPR17831] (AB187060)

Intracellular Flow Cytometry analysis ofRAW 264.7 (Mouse Abelson murine leukemia virus-induced tumor macrophage) treated with 50nM PMA and 5μg/ml LPS for 24h (Red) / Untreated control (Green) labeling IL-33 with ab187060 at 1/500 dilution. Goat anti rabbit IgG (Alexa Fluor® 488, ab150077) at 1/2000 was used as the secondary antibody. Cells were fixed with4% paraformaldehyde and permeabilised with0.1% Tween-20.Isotype control - Rabbit monoclonal IgG (ab172730) (Black). Unlabelled control - Cell without incubation with primary antibody and secondary antibody (Blue).

Immunohistochemistry (Formalin/PFA-fixed paraffin-embedded sections) - Anti-IL-33 antibody [EPR17831] (AB187060)
  • IHC-P

Unknown

Immunohistochemistry (Formalin/PFA-fixed paraffin-embedded sections) - Anti-IL-33 antibody [EPR17831] (AB187060)

Immunohistochemical analysis of paraffin-embedded mouse spleen tissue labeling IL33 with ab187060 at 1/2000 dilution, followed by Rabbit specific IHC polymer detection kit HRP/DAB (ab209101), ready to use. Nuclear staining in endothelial cells of mouse spleen is observed (PMID : 12819012). Counter stained with Hematoxylin.

Secondary antibody only control : Used PBS instead of primary antibody, secondary antibody is Rabbit specific IHC polymer detection kit HRP/DAB (ab209101), ready to use.

Perform heat mediated antigen retrieval before commencing with IHC staining protocol.

Flow Cytometry (Intracellular) - Anti-IL-33 antibody [EPR17831] (AB187060)
  • Flow Cyt (Intra)

Lab

Flow Cytometry (Intracellular) - Anti-IL-33 antibody [EPR17831] (AB187060)

Flow cytometry overlay histogram showing left, Raw264.7 treated with 50nM PMA and 5μg/ml LPS for 24h and right, negative untreated Raw264.7 stained with ab187060 (red line). The cells were fixed with 4% formaldehyde (10 min) and then permeabilised with 0.1% PBS-Triton X-100 for 15 min. The cells were then incubated in 1x PBS containing 10μg/ml anti CD16/CD32 and 10% normal goat serum to block FC receptors and non-specific protein-protein interaction followed by the antibody (ab187060) (1x 106 in 100μl at 1.0μg/ml (1/2090)) for 30min at 22°C.

The secondary antibody Goat Anti-Rabbit IgG H&L (Alexa Fluor® 488) preadsorbed was incubated at 1/4000 for 30min at 22°C

Isotype control antibody (black line) was Recombinant Rabbit IgG, monoclonal [EPR25A] - Isotype Control used at the same concentration and conditions as the primary antibody. Unlabelled sample (blue line) was also used as a control.

Acquisition of >5000 events were collected using a 50 mW Blue laser (488nm) and 525/40 bandpass filter.

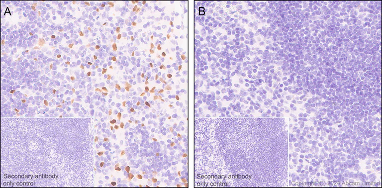
Immunohistochemistry (Formalin/PFA-fixed paraffin-embedded sections) - Anti-IL-33 antibody [EPR17831] (AB187060)
  • IHC-P

Lab

Immunohistochemistry (Formalin/PFA-fixed paraffin-embedded sections) - Anti-IL-33 antibody [EPR17831] (AB187060)

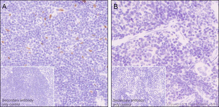
Immunohistochemical analysis of paraffin-embedded (A) Lymph node tissue from wild-type C57BL/6JGpt mice (B) Lymph node tissue from IL-33 knockout mice labeling IL33 with ab187060 at 1/5000 dilution, followed by LeicaDS9800 (Bond™ Polymer Refine Detection), ready to use. Counter stained with Hematoxylin. Antigen retrieval was heat mediated with Tris-EDTA buffer (pH 9.0, Epitope Retrieval Solution2) for 20 mins.  Positive staining on (A) Lymph node tissue from wild-type C57BL/6JGpt mice and no staining on (B) Lymph node tissue from IL-33 knockout mice. The section was incubated with ab187060 for 30 mins at room temperature. The immunostaining was performed on a Leica Biosystems BOND® RX instrument. The tissue samples were kindly provided by GemPharmatech. C57BL/6JGpt wildtype mice and IL33-KO homozygous mice (Strain ID : T052437).

Immunohistochemistry (Formalin/PFA-fixed paraffin-embedded sections) - Anti-IL-33 antibody [EPR17831] (AB187060)
  • IHC-P

Lab

Immunohistochemistry (Formalin/PFA-fixed paraffin-embedded sections) - Anti-IL-33 antibody [EPR17831] (AB187060)

Immunohistochemical analysis of paraffin-embedded (A) Spleen tissue from wild-type C57BL/6JGpt mice (B) Spleen tissue from IL-33 knockout mice labeling IL33 with ab187060 at 1/5000 dilution, followed by LeicaDS9800 (Bond™ Polymer Refine Detection), ready to use. Counter stained with Hematoxylin. Antigen retrieval was heat mediated with Tris-EDTA buffer (pH 9.0, Epitope Retrieval Solution2) for 20 mins. Positive staining on (A) Spleen tissue from wild-type C57BL/6JGpt mice and no staining on (B) Spleen tissue from IL-33 knockout mice. The section was incubated with ab187060 for 30 mins at room temperature. The immunostaining was performed on a Leica Biosystems BOND® RX instrument. The tissue samples were kindly provided by GemPharmatech. C57BL/6JGpt wildtype mice and IL33-KO homozygous mice (Strain ID : T052437).

Immunohistochemistry (Formalin/PFA-fixed paraffin-embedded sections) - Anti-IL-33 antibody [EPR17831] (AB187060)
  • IHC-P

Lab

Immunohistochemistry (Formalin/PFA-fixed paraffin-embedded sections) - Anti-IL-33 antibody [EPR17831] (AB187060)

Immunohistochemical analysis of paraffin-embedded (A) Lung tissue from wild-type C57BL/6JGpt mice (B) Lung tissue from IL-33 knockout mice labeling IL33 with ab187060 at 1/5000 dilution, followed by LeicaDS9800 (Bond™ Polymer Refine Detection), ready to use. Counter stained with Hematoxylin. Antigen retrieval was heat mediated with Tris-EDTA buffer (pH 9.0, Epitope Retrieval Solution2) for 20 mins. Positive staining on (A) Lung tissue from wild-type C57BL/6JGpt mice and no staining on (B) Lung tissue from IL-33 knockout mice. The section was incubated with ab187060 for 30 mins at room temperature. The immunostaining was performed on a Leica Biosystems BOND® RX instrument. The tissue samples were kindly provided by GemPharmatech. C57BL/6JGpt wildtype mice and IL33-KO homozygous mice (Strain ID : T052437).

Western blot - Anti-IL-33 antibody [EPR17831] (AB187060)
  • WB

Unknown

Western blot - Anti-IL-33 antibody [EPR17831] (AB187060)

Blocking/Dilution : 5% NFDM/TBST

Exposure : 3 minutes

IL-33 expression is induced by LPS treatment of PMA-differentiated RAW 264.7 cells (PMID 19559631; PMID 19933859).

All lanes:

Western blot - Anti-IL-33 antibody [EPR17831] (ab187060) at 1/1000 dilution

Lane 1:

RAW 264.7 (mouse macrophage cell line transformed with Abelson murine leukemia virus) whole cell lysate at 10 µg

Lane 2:

RAW 264.7 treated with 50 nM Phorbol-12-myristate-13-acetate (PMA) and 5 ug/ml lipopolysaccharide (LPS) for 24 hours, whole cell lysate at 10 µg

Secondary

All lanes:

Western blot - Goat Anti-Rabbit IgG H&L (HRP) (<a href='/en-us/products/secondary-antibodies/goat-rabbit-igg-h-l-hrp-ab97051'>ab97051</a>)

Predicted band size: 30 kDa

Observed band size: 33 kDa

true

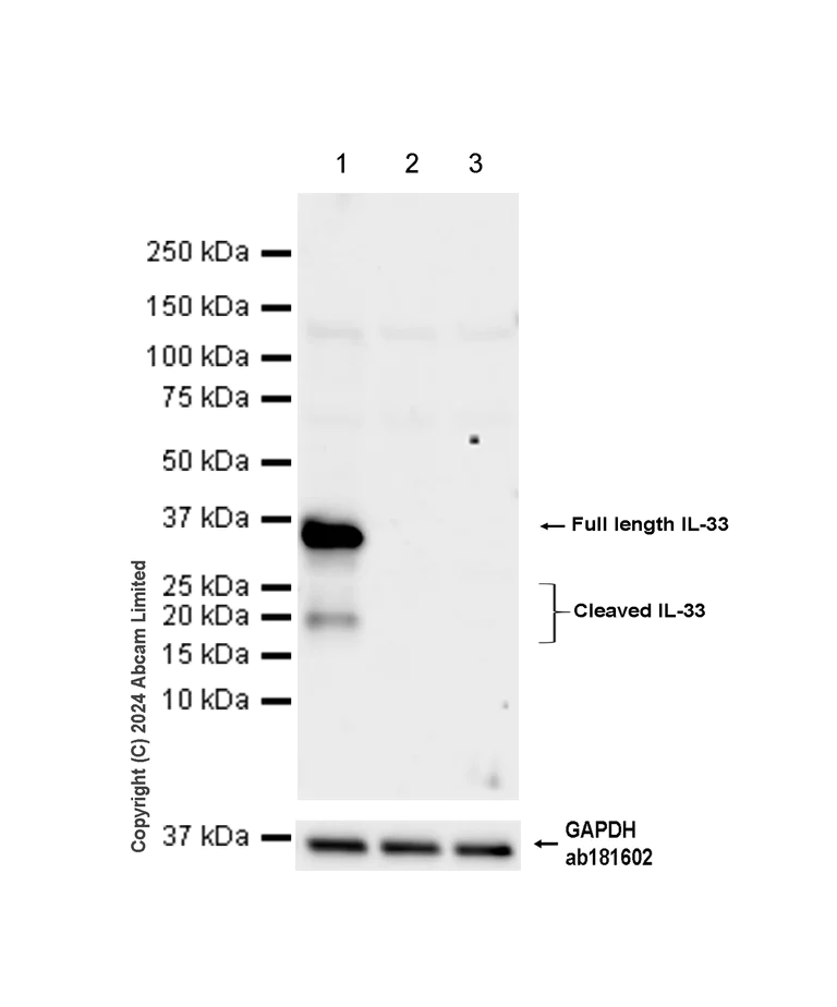
Western blot - Anti-IL-33 antibody [EPR17831] (AB187060)
  • WB

Unknown

Western blot - Anti-IL-33 antibody [EPR17831] (AB187060)

Blocking/Dilution : 5% NFDM/TBST

Exposure : 3 minutes

All lanes:

Western blot - Anti-IL-33 antibody [EPR17831] (ab187060) at 1/1000 dilution

Lane 1:

Rat lung tissue lysate at 20 µg

Lane 2:

Mouse lung tissue lysate at 10 µg

Secondary

Lane 1:

Western blot - Goat Anti-Rabbit IgG H&L (HRP) (<a href='/en-us/products/secondary-antibodies/goat-rabbit-igg-h-l-hrp-ab97051'>ab97051</a>) at 1/100000 dilution

Lane 2:

Western blot - Goat Anti-Rabbit IgG H&L (HRP) (<a href='/en-us/products/secondary-antibodies/goat-rabbit-igg-h-l-hrp-ab97051'>ab97051</a>) at 1/20000 dilution

Predicted band size: 30 kDa

Observed band size: 30 kDa

true

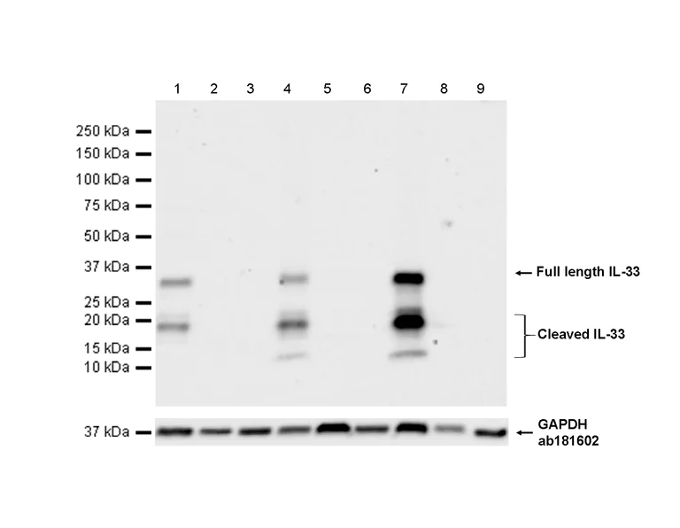
Western blot - Anti-IL-33 antibody [EPR17831] (AB187060)
  • WB

Lab

Western blot - Anti-IL-33 antibody [EPR17831] (AB187060)

Loading control : Anti-GAPDH antibody [EPR16891] - Loading Control (ab181602) (1/200000) (36KDa) Blocking/Diluting buffer and concentration : 5% NFDM/TBST The tissue samples were kindly provided by GemPharmatech. C57BL/6JGpt wildtype mice and IL33-KO homozygous mice (Strain ID : T052437).

Lanes 1 - 9:

Western blot - Anti-IL-33 antibody [EPR17831] (ab187060) at 1/1000 dilution

Lanes 1 - 9:

Western blot - Anti-IL-33 antibody [EPR17831] - BSA and Azide free (<a href='/en-us/products/primary-antibodies/il-33-antibody-epr17831-bsa-and-azide-free-ab229698'>ab229698</a>)

Lane 1:

Wild-type mouse spleen tissue lysate (male)

Lanes 2 - 3:

IL-33 knockout spleen tissue lysate (male)

Lane 4:

Wild-type mouse inguinal lymph nodes tissue lysate (male)

Lanes 5 - 6:

IL-33 knockout inguinal lymph nodes tissue lysate (male)

Lane 7:

Wild-type mouse submandibular lymph nodes tissue lysate (male)

Lanes 8 - 9:

IL-33 knockout submandibular lymph nodes tissue lysate (male)

Secondary

All lanes:

Western blot - Goat Anti-Rabbit IgG H&L (HRP) (<a href='/en-us/products/secondary-antibodies/goat-rabbit-igg-h-l-hrp-ab97051'>ab97051</a>) at 1/20000 dilution

Observed band size: 15-30 kDa

false

Exposure time: 38s

Western blot - Anti-IL-33 antibody [EPR17831] (AB187060)
  • WB

Lab

Western blot - Anti-IL-33 antibody [EPR17831] (AB187060)

Loading control : Anti-GAPDH antibody [EPR16891] - Loading Control (ab181602) (1/200000) (36KDa) Blocking/Diluting buffer and concentration : 5% NFDM/TBST The tissue samples were kindly provided by GemPharmatech. C57BL/6JGpt wildtype mice and IL33-KO homozygous mice (Strain ID : T052437).

Lanes 1 - 3:

Western blot - Anti-IL-33 antibody [EPR17831] (ab187060)

Lanes 1 - 3:

Western blot - Anti-IL-33 antibody [EPR17831] - BSA and Azide free (<a href='/en-us/products/primary-antibodies/il-33-antibody-epr17831-bsa-and-azide-free-ab229698'>ab229698</a>)

Lane 1:

Wild-type mouse lung tissue lysate (male)

Lanes 2 - 3:

IL-33 knockout lung tissue lysate (male)

Secondary

All lanes:

Western blot - Goat Anti-Rabbit IgG H&L (HRP) (<a href='/en-us/products/secondary-antibodies/goat-rabbit-igg-h-l-hrp-ab97051'>ab97051</a>) at 1/20000 dilution

Observed band size: 15-30 kDa

false

Exposure time: 38s

  • 578 PE

    PE Anti-IL-33 antibody [EPR17831]

  • 519 Alexa Fluor® 488

    Alexa Fluor® 488 Anti-IL-33 antibody [EPR17831]

  • Carrier free

    Anti-IL-33 antibody [EPR17831] - BSA and Azide free

  • 660 APC

    APC Anti-IL-33 antibody [EPR17831]

Key facts

Host species

Rabbit

Clonality

Monoclonal

Clone number

EPR17831

Isotype

IgG

Carrier free

No

Reacts with

Mouse, Rat

Applications

ICC/IF, IHC-P, WB, Flow Cyt (Intra)

applications

Immunogen

The exact immunogen used to generate this antibody is proprietary information.

Reactivity data

{ "title": "Reactivity Data", "filters": { "stats": ["", "Species", "Dilution Info", "Notes"], "tabs": { "all-applications": {"fullname" : "All Applications", "shortname": "All Applications"}, "IHCP" : {"fullname" : "Immunohistochemistry (Formalin/PFA-fixed paraffin-embedded sections)", "shortname":"IHC-P"}, "IP" : {"fullname" : "Immunoprecipitation", "shortname":"IP"}, "WB" : {"fullname" : "Western blot", "shortname":"WB"}, "ICCIF" : {"fullname" : "Immunocytochemistry/ Immunofluorescence", "shortname":"ICC/IF"}, "FlowCytIntra" : {"fullname" : "Flow Cytometry (Intracellular)", "shortname":"Flow Cyt (Intra)"} }, "product-promise": { "all": "all", "testedAndGuaranteed": "tested", "guaranteed": "expected", "predicted": "predicted", "notRecommended": "not-recommended" } }, "values": { "Mouse": { "IHCP-species-checked": "testedAndGuaranteed", "IHCP-species-dilution-info": "1/2000", "IHCP-species-notes": "<p>Antigen retrieval performed using Universal HIER antigen retrieval reagent (10X) (<a href='/en-us/products/ihc-kits/universal-hier-antigen-retrieval-reagent-10x-ab208572'>ab208572</a>).</p> Perform heat-mediated antigen retrieval before commencing with IHC staining protocol.", "IP-species-checked": "notRecommended", "IP-species-dilution-info": "", "IP-species-notes": "<p></p>", "WB-species-checked": "testedAndGuaranteed", "WB-species-dilution-info": "1/1000", "WB-species-notes": "<p></p>", "ICCIF-species-checked": "testedAndGuaranteed", "ICCIF-species-dilution-info": "1/500", "ICCIF-species-notes": "<p></p>", "FlowCytIntra-species-checked": "testedAndGuaranteed", "FlowCytIntra-species-dilution-info": "1/500", "FlowCytIntra-species-notes": "<p></p>" }, "Rat": { "IHCP-species-checked": "testedAndGuaranteed", "IHCP-species-dilution-info": "1/2000", "IHCP-species-notes": "<p>Antigen retrieval performed using Universal HIER antigen retrieval reagent (10X) (<a href='/en-us/products/ihc-kits/universal-hier-antigen-retrieval-reagent-10x-ab208572'>ab208572</a>).</p> Perform heat-mediated antigen retrieval before commencing with IHC staining protocol.", "IP-species-checked": "notRecommended", "IP-species-dilution-info": "", "IP-species-notes": "<p></p>", "WB-species-checked": "testedAndGuaranteed", "WB-species-dilution-info": "1/1000", "WB-species-notes": "<p></p>", "ICCIF-species-checked": "guaranteed", "ICCIF-species-dilution-info": "", "ICCIF-species-notes": "", "FlowCytIntra-species-checked": "guaranteed", "FlowCytIntra-species-dilution-info": "", "FlowCytIntra-species-notes": "" } } }

Product details

What is this antibody validated in?
Anti-IL-33 antibody [EPR17831] (ab187060) is a rabbit recombinant monoclonal antibody and is validated for use in Western Blot (WB), Flow Cytometry (Intra), Flow Cytometry (Flow Cyt), Immunohistochemistry (IHC-P), Immunocytochemistry/immunofluorescence (ICC/IF) in Mouse, Rat samples.

What is the molecular weight of IL-33?
Anti-IL-33 [EPR17831] (ab187060) specifically detects a band for IL-33 (UniProt: Q8BVZ5) at a molecular weight of 30kDa.

Trusted by the scientific community
Anti-IL-33 [EPR17831] (ab187060) was first used in a scientific publication in 2018 and has been cited over 10 times in peer-reviewed journals.

Trial sizes available!
Test your antibody or perform pre-screening before committing to a larger quantity. Sold in 10µl. Discover our selection of trial-size antibodies.

Specificity confirmed
The specificity of Anti-IL-33 antibody [EPR17831] (ab187060) has been confirmed by Western blot testing in Il33 Knockout Mouse Lung samples.

Other related products
We have a range of other formats of antibody clone [EPR17831] also available for your convenience: ab187060, Carrier free - ab229698, PE - ab282176, Alexa Fluor® 488 - ab283320, APC - ab317474

Patented technology
Our RabMAb® technology is a patented hybridoma-based technology for making rabbit monoclonal antibodies. For details on our patents, please refer to RabMAb® patents.

What are the advantages of a recombinant monoclonal antibody?
This product is a recombinant monoclonal antibody, which offers several advantages including:

  • - High batch-to-batch consistency and reproducibility
  • - Improved sensitivity and specificity
  • - Long-term security of supply
  • - Animal-free batch production

For more information, read more on recombinant antibodies.

Properties and storage information

Form
Liquid
Purification technique
Affinity purification Protein A
Storage buffer
pH: 7.2 - 7.4 Preservative: 0.01% Sodium azide Constituents: PBS, 40% Glycerol (glycerin, glycerine), 0.05% BSA
Shipped at conditions
Blue Ice
Appropriate short-term storage duration
1-2 weeks
Appropriate short-term storage conditions
+4°C
Appropriate long-term storage conditions
-20°C
Aliquoting information
Upon delivery aliquot
Storage information
Avoid freeze / thaw cycle

Product protocols

For this product, it's our understanding that no specific protocols are required. You can visit:

Target data

Cytokine that binds to and signals through the IL1RL1/ST2 receptor which in turn activates NF-kappa-B and MAPK signaling pathways in target cells (PubMed : 29045903). Involved in the maturation of Th2 cells inducing the secretion of T-helper type 2-associated cytokines (By similarity). Also involved in activation of mast cells, basophils, eosinophils and natural killer cells (By similarity). Acts as an enhancer of polarization of alternatively activated macrophages (By similarity). Acts as a chemoattractant for Th2 cells, and may function as an 'alarmin', that amplifies immune responses during tissue injury (By similarity). Induces rapid UCP2-dependent mitochondrial rewiring that attenuates the generation of reactive oxygen species and preserves the integrity of Krebs cycle required for persistent production of itaconate and subsequent GATA3-dependent differentiation of inflammation-resolving alternatively activated macrophages (PubMed : 34644537).. In quiescent endothelia the uncleaved form is constitutively and abundantly expressed, and acts as a chromatin-associated nuclear factor with transcriptional repressor properties, it may sequester nuclear NF-kappaB/RELA, lowering expression of its targets (By similarity). This form is rapidely lost upon angiogenic or pro-inflammatory activation (By similarity).
See full target information Il33

Publications (30)

Recent publications for all applications. Explore the full list and refine your search

Diabetology & metabolic syndrome 17:378 PubMed41044791

2025

Electroacupuncture ameliorates cognitive dysfunction in T2DM rats by modulating astrocytic polarization and aberrant energy metabolism in the hippocampus via the Wnt/β-catenin pathway.

Applications

Unspecified application

Species

Unspecified reactive species

Xiaolu Li,Rui Li,Jiayi Lin,Xiaoli Wu

American journal of reproductive immunology (New York, N.Y. : 1989) 93:e70085 PubMed40328686

2025

Decreased IL-33 Expression in the Cervix in LPS-Induced Preterm Birth and the Potential Role of Mast Cells: A Murine Model.

Applications

Unspecified application

Species

Unspecified reactive species

Sema Avci,Ciler Celik-Ozenci,Nilay Kuscu,Nayce Ilayda Bektas

Journal of translational medicine 23:196 PubMed39966955

2025

Targeting the NLRP3 in macrophages contributes to senescence cell clearance in radiation-induced skin injury.

Applications

Unspecified application

Species

Unspecified reactive species

Gaoyu Liu,Yan Chen,Shijie Dai,Gang Wu,Fulong Wang,Wanchao Chen,Lingling Wu,Peng Luo,Chunmeng Shi

PloS one 19:e0301199 PubMed39172956

2024

Blocking IL-33 decelerates cartilage degeneration in knee osteoarthritis through mice model.

Applications

Unspecified application

Species

Unspecified reactive species

Fan Wu,Siyuan Zhang,Rujie Zhuang,Chuanxiao Hu,Kangxiang Zhu

iScience 27:110117 PubMed38947521

2024

The alarmin IL-33 exacerbates pulmonary inflammation and immune dysfunction in SARS-CoV-2 infection.

Applications

Unspecified application

Species

Unspecified reactive species

Hui Wang,Yashoda M Hosakote,Paul J Boor,Jun Yang,Yuanyi Zhang,Xiaoying Yu,Casey Gonzales,Corri B Levine,Susan McLellan,Nicole Cloutier,Xuping Xie,Pei-Yong Shi,Ping Ren,Haitao Hu,Keer Sun,Lynn Soong,Jiaren Sun,Yuejin Liang

Frontiers in immunology 15:1348043 PubMed38390337

2024

MSC exosomes attenuate sterile inflammation and necroptosis associated with TAK1-pJNK-NFKB mediated cardiomyopathy in diabetic ApoE KO mice.

Applications

Unspecified application

Species

Unspecified reactive species

Abha Banerjee,Dinender K Singla

Cells 12: PubMed38067151

2023

Antifibrotic Effect of Selenium-Containing Nanoparticles on a Model of TAA-Induced Liver Fibrosis.

Applications

Unspecified application

Species

Unspecified reactive species

Elena G Varlamova,Michail Victorovich Goltyaev,Vladimir Vladimirovich Rogachev,Sergey V Gudkov,Elena V Karaduleva,Egor A Turovsky

Advanced science (Weinheim, Baden-Wurttemberg, Germany) 11:e2304824 PubMed37953457

2023

Black Phosphorus Accelerates Bone Regeneration Based on Immunoregulation.

Applications

Unspecified application

Species

Unspecified reactive species

Minglong Qiu,Nijiati Tulufu,Guoqing Tang,Wenkai Ye,Jin Qi,Lianfu Deng,Changwei Li

Histology and histopathology 39:623-632 PubMed37916940

2023

mitigates autoimmune hepatitis by regulating IL-33-induced Treg/Th17 imbalance via the TLR2/4 signaling pathway.

Applications

Unspecified application

Species

Unspecified reactive species

Jianguo Song,Juan Dai,Xueping Chen,Fei Ding,Yanbo Ding,Liang Ma,Liwen Zhang

Evidence-based complementary and alternative medicine : eCAM 2023:5993866 PubMed37325423

2023

Promising Modulatory Effects of Cenicriviroc on the Progression of Mouse Colorectal Cancer through Inhibition of CCR2_CCL2 Signaling Pathway.

Applications

Unspecified application

Species

Unspecified reactive species

Mina Eslami,Farid Azizi Jalilian,Rezvan Najafi,Ali Mahdavinezhad,Razieh Amini
View all publications

Product promise

We are committed to supporting your work with high-quality reagents, and we're here for you every step of the way. In the unlikely event that one of our products does not perform as expected, you're protected by our Product Promise.
For full details, please see our Terms & Conditions

Please note: All products are 'FOR RESEARCH USE ONLY. NOT FOR USE IN DIAGNOSTIC OR THERAPEUTIC PROCEDURES'.

For licensing inquiries, please contact partnerships@abcam.com