JavaScript is disabled in your browser. Please enable JavaScript to view this website.
AB229698

Anti-IL-33 antibody [EPR17831] - BSA and Azide free

  • BOND RX™ Validated
  • KO Validated
  • RabMAb
  • Recombinant
  • What is this?

Be the first to review this product! Submit a review

|

(2 Publications)

Rabbit Recombinant Monoclonal IL-33 antibody. Carrier free. Suitable for WB, IHC-P, ICC/IF, Flow Cyt (Intra) and reacts with Mouse, Rat samples. Cited in 2 publications.

View Alternative Names

Interleukin-33, IL-33, Il33

10 Images
Immunocytochemistry/ Immunofluorescence - Anti-IL-33 antibody [EPR17831] - BSA and Azide free (AB229698)
  • ICC/IF

Unknown

Immunocytochemistry/ Immunofluorescence - Anti-IL-33 antibody [EPR17831] - BSA and Azide free (AB229698)

Immunofluorescent analysis of 4% paraformaldehyde-fixed, 0.1% Triton X-100 permeabilized RAW 264.7 (mouse macrophage cell line transformed with Abelson murine leukemia virus) cells labeling IL33 with ab187060 at 1/500 dilution, followed by Goat Anti-Rabbit IgG H&L (Alexa Fluor® 488) (ab150077) secondary antibody at 1/1000 dilution (green). Confocal image showing increased nuclear staining in RAW 264.7 cells treated with 50 nM Phorbol-12-myristate-13-acetate (PMA) and 5 µg/ml Lipopolysaccharide for 24h.

The nuclear counter stain is DAPI (blue). Tubulin is detected with Anti-alpha Tubulin antibody [DM1A] - Microtubule Marker (Alexa Fluor® 594) (ab195889) at 1/200 dilution (red).

Secondary antibody only control : Used PBS instead of primary antibody, secondary antibody is Goat Anti-Rabbit IgG H&L (Alexa Fluor® 488) (ab150077) at 1/1000 dilution.

This data was developed using the same antibody clone in a different buffer formulation containing PBS, BSA, glycerol, and sodium azide (ab187060).

Immunohistochemistry (Formalin/PFA-fixed paraffin-embedded sections) - Anti-IL-33 antibody [EPR17831] - BSA and Azide free (AB229698)
  • IHC-P

Unknown

Immunohistochemistry (Formalin/PFA-fixed paraffin-embedded sections) - Anti-IL-33 antibody [EPR17831] - BSA and Azide free (AB229698)

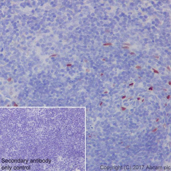
Immunohistochemical analysis of paraffin-embedded rat spleen tissue labeling IL33 with ab187060 at 1/2000 dilution, followed by Rabbit specific IHC polymer detection kit HRP/DAB (ab209101), ready to use. Nuclear staining in endothelial cells of rat spleen is observed (PMID : 12819012). Counter stained with Hematoxylin.

Secondary antibody only control : Used PBS instead of primary antibody, secondary antibody is Rabbit specific IHC polymer detection kit HRP/DAB (ab209101), ready to use.

This data was developed using the same antibody clone in a different buffer formulation containing PBS, BSA, glycerol, and sodium azide (ab187060).

Flow Cytometry (Intracellular) - Anti-IL-33 antibody [EPR17831] - BSA and Azide free (AB229698)
  • Flow Cyt (Intra)

Lab

Flow Cytometry (Intracellular) - Anti-IL-33 antibody [EPR17831] - BSA and Azide free (AB229698)

Intracellular Flow Cytometry analysis ofRAW 264.7 (Mouse Abelson murine leukemia virus-induced tumor macrophage) treated with 50nM PMA and 5�g/ml LPS for 24h (Red) / Untreated control (Green) labeling IL-33 with ab229698 at 1/500 dilution. Goat anti rabbit IgG (Alexa Fluor�488, ab150077) at 1/2000 was used as the secondary antibody. Cells were fixed with4% paraformaldehyde and permeabilised with0.1% Tween-20.Isotype control - Rabbit monoclonal IgG (ab172730) (Black). Unlabelled control - Cell without incubation with primary antibody and secondary antibody (Blue).

Immunohistochemistry (Formalin/PFA-fixed paraffin-embedded sections) - Anti-IL-33 antibody [EPR17831] - BSA and Azide free (AB229698)
  • IHC-P

Supplier Data

Immunohistochemistry (Formalin/PFA-fixed paraffin-embedded sections) - Anti-IL-33 antibody [EPR17831] - BSA and Azide free (AB229698)

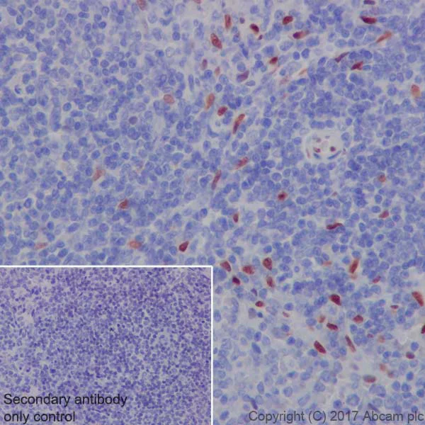
Immunohistochemical analysis of paraffin-embedded mouse spleen tissue labeling IL33 with ab187060 at 1/2000 dilution, followed by Rabbit specific IHC polymer detection kit HRP/DAB (ab209101), ready to use. Nuclear staining in endothelial cells of mouse spleen is observed (PMID : 12819012). Counter stained with Hematoxylin.

Secondary antibody only control : Used PBS instead of primary antibody, secondary antibody is Rabbit specific IHC polymer detection kit HRP/DAB (ab209101), ready to use.

This data was developed using the same antibody clone in a different buffer formulation containing PBS, BSA, glycerol, and sodium azide (ab187060).

Flow Cytometry (Intracellular) - Anti-IL-33 antibody [EPR17831] - BSA and Azide free (AB229698)
  • Flow Cyt (Intra)

Lab

Flow Cytometry (Intracellular) - Anti-IL-33 antibody [EPR17831] - BSA and Azide free (AB229698)

This data was developed using the same antibody clone in a different buffer formulation containing PBS, BSA, glycerol, and sodium azide (ab187060).

Flow cytometry overlay histogram showing left, Raw264.7 treated with 50nM PMA and 5μg/ml LPS for 24h and right, negative untreated Raw264.7 stained with ab187060 (red line). The cells were fixed with 4% formaldehyde (10 min) and then permeabilised with 0.1% PBS-Triton X-100 for 15 min. The cells were then incubated in 1x PBS containing 10μg/ml anti CD16/CD32 and 10% normal goat serum to block FC receptors and non-specific protein-protein interaction followed by the antibody (ab187060) (1x 106 in 100μl at 1.0μg/ml (1/2090)) for 30min at 22°C.

The secondary antibody Goat Anti-Rabbit IgG H&L (Alexa Fluor® 488) preadsorbed was incubated at 1/4000 for 30min at 22°C

Isotype control antibody (black line) was Recombinant Rabbit IgG, monoclonal [EPR25A] - Isotype Control used at the same concentration and conditions as the primary antibody. Unlabelled sample (blue line) was also used as a control.

Acquisition of >5000 events were collected using a 50 mW Blue laser (488nm) and 525/40 bandpass filter.

Immunohistochemistry (Formalin/PFA-fixed paraffin-embedded sections) - Anti-IL-33 antibody [EPR17831] - BSA and Azide free (AB229698)
  • IHC-P

Lab

Immunohistochemistry (Formalin/PFA-fixed paraffin-embedded sections) - Anti-IL-33 antibody [EPR17831] - BSA and Azide free (AB229698)

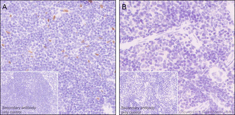
This data was developed using the same antibody clone in a different buffer formulation containing PBS, BSA, glycerol, and sodium azide (ab187060). Immunohistochemical analysis of paraffin-embedded (A) Lymph node tissue from wild-type C57BL/6JGpt mice (B) Lymph node tissue from IL-33 knockout mice labeling IL33 with ab187060 at 1/5000 dilution, followed by LeicaDS9800 (Bond™ Polymer Refine Detection), ready to use. Counter stained with Hematoxylin. Antigen retrieval was heat mediated with Tris-EDTA buffer (pH 9.0, Epitope Retrieval Solution2) for 20 mins. Positive staining on (A) Lymph node tissue from wild-type C57BL/6JGpt mice and no staining on (B) Lymph node tissue from IL-33 knockout mice. The section was incubated with ab187060 for 30 mins at room temperature. The immunostaining was performed on a Leica Biosystems BOND® RX instrument. The tissue samples were kindly provided by GemPharmatech. C57BL/6JGpt wildtype mice and IL33-KO homozygous mice (Strain ID : T052437).

Immunohistochemistry (Formalin/PFA-fixed paraffin-embedded sections) - Anti-IL-33 antibody [EPR17831] - BSA and Azide free (AB229698)
  • IHC-P

Lab

Immunohistochemistry (Formalin/PFA-fixed paraffin-embedded sections) - Anti-IL-33 antibody [EPR17831] - BSA and Azide free (AB229698)

This data was developed using the same antibody clone in a different buffer formulation containing PBS, BSA, glycerol, and sodium azide (ab187060). Immunohistochemical analysis of paraffin-embedded (A) Spleen tissue from wild-type C57BL/6JGpt mice (B) Spleen tissue from IL-33 knockout mice labeling IL33 with ab187060 at 1/5000 dilution, followed by LeicaDS9800 (Bond™ Polymer Refine Detection), ready to use. Counter stained with Hematoxylin. Antigen retrieval was heat mediated with Tris-EDTA buffer (pH 9.0, Epitope Retrieval Solution2) for 20 mins. Positive staining on (A) Spleen tissue from wild-type C57BL/6JGpt mice and no staining on (B) Spleen tissue from IL-33 knockout mice. The section was incubated with ab187060 for 30 mins at room temperature. The immunostaining was performed on a Leica Biosystems BOND® RX instrument. The tissue samples were kindly provided by GemPharmatech. C57BL/6JGpt wildtype mice and IL33-KO homozygous mice (Strain ID : T052437).

Immunohistochemistry (Formalin/PFA-fixed paraffin-embedded sections) - Anti-IL-33 antibody [EPR17831] - BSA and Azide free (AB229698)
  • IHC-P

Lab

Immunohistochemistry (Formalin/PFA-fixed paraffin-embedded sections) - Anti-IL-33 antibody [EPR17831] - BSA and Azide free (AB229698)

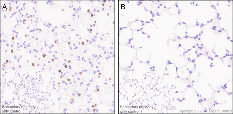
This data was developed using the same antibody clone in a different buffer formulation containing PBS, BSA, glycerol, and sodium azide (ab187060). Immunohistochemical analysis of paraffin-embedded (A) Lung tissue from wild-type C57BL/6JGpt mice (B) Lung tissue from IL-33 knockout mice labeling IL33 with ab187060 at 1/5000 dilution, followed by LeicaDS9800 (Bond™ Polymer Refine Detection), ready to use. Counter stained with Hematoxylin. Antigen retrieval was heat mediated with Tris-EDTA buffer (pH 9.0, Epitope Retrieval Solution2) for 20 mins. Positive staining on (A) Lung tissue from wild-type C57BL/6JGpt mice and no staining on (B) Lung tissue from IL-33 knockout mice. The section was incubated with ab187060 for 30 mins at room temperature. The immunostaining was performed on a Leica Biosystems BOND® RX instrument. The tissue samples were kindly provided by GemPharmatech. C57BL/6JGpt wildtype mice and IL33-KO homozygous mice (Strain ID : T052437).

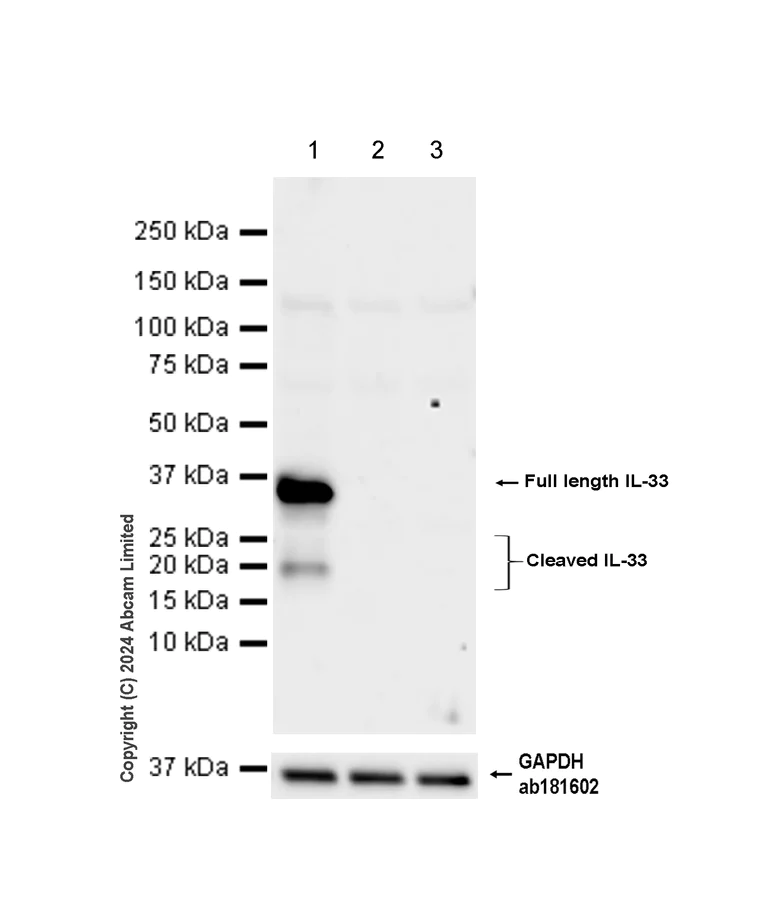
Western blot - Anti-IL-33 antibody [EPR17831] - BSA and Azide free (AB229698)
  • WB

Lab

Western blot - Anti-IL-33 antibody [EPR17831] - BSA and Azide free (AB229698)

This data was developed using the same antibody clone in a different buffer formulation containing PBS, BSA, glycerol, and sodium azide (ab187060). Loading control : Anti-GAPDH antibody [EPR16891] - Loading Control (ab181602) (1/200000) (36KDa) Blocking/Diluting buffer and concentration : 5% NFDM/TBST The tissue samples were kindly provided by GemPharmatech. C57BL/6JGpt wildtype mice and IL33-KO homozygous mice (Strain ID : T052437).

Lanes 1 - 9:

Western blot - Anti-IL-33 antibody [EPR17831] (<a href='/en-us/products/primary-antibodies/il-33-antibody-epr17831-ab187060'>ab187060</a>) at 1/1000 dilution

Lanes 1 - 9:

Western blot - Anti-IL-33 antibody [EPR17831] - BSA and Azide free (ab229698)

Lane 1:

Wild-type mouse spleen tissue lysate (male)

Lanes 2 - 3:

IL-33 knockout spleen tissue lysate (male)

Lane 4:

Wild-type mouse inguinal lymph nodes tissue lysate (male)

Lanes 5 - 6:

IL-33 knockout inguinal lymph nodes tissue lysate (male)

Lane 7:

Wild-type mouse submandibular lymph nodes tissue lysate (male)

Lanes 8 - 9:

IL-33 knockout submandibular lymph nodes tissue lysate (male)

Secondary

All lanes:

Western blot - Goat Anti-Rabbit IgG H&L (HRP) (<a href='/en-us/products/secondary-antibodies/goat-rabbit-igg-h-l-hrp-ab97051'>ab97051</a>) at 1/20000 dilution

Observed band size: 15-30 kDa

false

Exposure time: 38s

Western blot - Anti-IL-33 antibody [EPR17831] - BSA and Azide free (AB229698)
  • WB

Lab

Western blot - Anti-IL-33 antibody [EPR17831] - BSA and Azide free (AB229698)

This data was developed using the same antibody clone in a different buffer formulation containing PBS, BSA, glycerol, and sodium azide (ab187060). Loading control : Anti-GAPDH antibody [EPR16891] - Loading Control (ab181602) (1/200000) (36KDa) Blocking/Diluting buffer and concentration : 5% NFDM/TBST The tissue samples were kindly provided by GemPharmatech. C57BL/6JGpt wildtype mice and IL33-KO homozygous mice (Strain ID : T052437).

Lanes 1 - 3:

Western blot - Anti-IL-33 antibody [EPR17831] (<a href='/en-us/products/primary-antibodies/il-33-antibody-epr17831-ab187060'>ab187060</a>)

Lanes 1 - 3:

Western blot - Anti-IL-33 antibody [EPR17831] - BSA and Azide free (ab229698)

Lane 1:

Wild-type mouse lung tissue lysate (male)

Lanes 2 - 3:

IL-33 knockout lung tissue lysate (male)

Secondary

All lanes:

Western blot - Goat Anti-Rabbit IgG H&L (HRP) (<a href='/en-us/products/secondary-antibodies/goat-rabbit-igg-h-l-hrp-ab97051'>ab97051</a>) at 1/20000 dilution

Observed band size: 15-30 kDa

false

Exposure time: 38s

  • Unconjugated

    Anti-IL-33 antibody [EPR17831]

  • 660 APC

    APC Anti-IL-33 antibody [EPR17831]

  • 578 PE

    PE Anti-IL-33 antibody [EPR17831]

  • 519 Alexa Fluor® 488

    Alexa Fluor® 488 Anti-IL-33 antibody [EPR17831]

Key facts

Host species

Rabbit

Clonality

Monoclonal

Clone number

EPR17831

Isotype

IgG

Carrier free

Yes

Reacts with

Mouse, Rat

Applications

Flow Cyt (Intra), WB, ICC/IF, IHC-P

applications

Immunogen

The exact immunogen used to generate this antibody is proprietary information.

Reactivity data

{ "title": "Reactivity Data", "filters": { "stats": ["", "Species", "Dilution Info", "Notes"], "tabs": { "all-applications": {"fullname" : "All Applications", "shortname": "All Applications"}, "IP" : {"fullname" : "Immunoprecipitation", "shortname":"IP"}, "WB" : {"fullname" : "Western blot", "shortname":"WB"}, "IHCP" : {"fullname" : "Immunohistochemistry (Formalin/PFA-fixed paraffin-embedded sections)", "shortname":"IHC-P"}, "ICCIF" : {"fullname" : "Immunocytochemistry/ Immunofluorescence", "shortname":"ICC/IF"}, "FlowCytIntra" : {"fullname" : "Flow Cytometry (Intracellular)", "shortname":"Flow Cyt (Intra)"} }, "product-promise": { "all": "all", "testedAndGuaranteed": "tested", "guaranteed": "expected", "predicted": "predicted", "notRecommended": "not-recommended" } }, "values": { "Mouse": { "IP-species-checked": "notRecommended", "IP-species-dilution-info": "", "IP-species-notes": "<p></p>", "WB-species-checked": "testedAndGuaranteed", "WB-species-dilution-info": "", "WB-species-notes": "<p></p>", "IHCP-species-checked": "testedAndGuaranteed", "IHCP-species-dilution-info": "", "IHCP-species-notes": "<p></p>", "ICCIF-species-checked": "testedAndGuaranteed", "ICCIF-species-dilution-info": "", "ICCIF-species-notes": "<p></p>", "FlowCytIntra-species-checked": "testedAndGuaranteed", "FlowCytIntra-species-dilution-info": "1/500", "FlowCytIntra-species-notes": "<p></p>" }, "Rat": { "IP-species-checked": "notRecommended", "IP-species-dilution-info": "", "IP-species-notes": "<p></p>", "WB-species-checked": "guaranteed", "WB-species-dilution-info": "", "WB-species-notes": "<p></p>", "IHCP-species-checked": "predicted", "IHCP-species-dilution-info": "", "IHCP-species-notes": "", "ICCIF-species-checked": "predicted", "ICCIF-species-dilution-info": "", "ICCIF-species-notes": "", "FlowCytIntra-species-checked": "predicted", "FlowCytIntra-species-dilution-info": "", "FlowCytIntra-species-notes": "" } } }

Product details

ab229698 is the carrier-free version of ab187060.

Patented technology
Our RabMAb® technology is a patented hybridoma-based technology for making rabbit monoclonal antibodies. For details on our patents, please refer to RabMAb® patents.

What are the advantages of a recombinant monoclonal antibody?
This product is a recombinant monoclonal antibody, which offers several advantages including:

  • - High batch-to-batch consistency and reproducibility
  • - Improved sensitivity and specificity
  • - Long-term security of supply
  • - Animal-free batch production

For more information, read more on recombinant antibodies.

Conjugation ready
Our carrier-free antibodies are typically supplied in a PBS-only formulation, purified and free of BSA, sodium azide and glycerol. This conjugation-ready format is designed for use with fluorochromes, metal isotopes, oligonucleotides, and enzymes, which makes them ideal for antibody labelling, functional and cell-based assays, flow-based assays (e.g. mass cytometry) and Multiplex Imaging applications.

Use our conjugation kits for antibody conjugates that are ready-to-use in as little as 20 minutes with 1 minute hands-on-time and 100% antibody recovery: available for fluorescent dyes, HRP, biotin and gold.

Compatibility
This product is compatible with the Maxpar® Antibody Labeling Kit from Fluidigm, without the need for antibody preparation. Maxpar® is a trademark of Fluidigm Canada Inc.

Properties and storage information

Form
Liquid
Purification technique
Affinity purification Protein A
Storage buffer
pH: 7.2 - 7.4 Constituents: PBS
Shipped at conditions
Blue Ice
Appropriate short-term storage conditions
+4°C
Appropriate long-term storage conditions
+4°C
Storage information
Do Not Freeze

Product protocols

For this product, it's our understanding that no specific protocols are required. You can visit:

Target data

Cytokine that binds to and signals through the IL1RL1/ST2 receptor which in turn activates NF-kappa-B and MAPK signaling pathways in target cells (PubMed : 29045903). Involved in the maturation of Th2 cells inducing the secretion of T-helper type 2-associated cytokines (By similarity). Also involved in activation of mast cells, basophils, eosinophils and natural killer cells (By similarity). Acts as an enhancer of polarization of alternatively activated macrophages (By similarity). Acts as a chemoattractant for Th2 cells, and may function as an 'alarmin', that amplifies immune responses during tissue injury (By similarity). Induces rapid UCP2-dependent mitochondrial rewiring that attenuates the generation of reactive oxygen species and preserves the integrity of Krebs cycle required for persistent production of itaconate and subsequent GATA3-dependent differentiation of inflammation-resolving alternatively activated macrophages (PubMed : 34644537).. In quiescent endothelia the uncleaved form is constitutively and abundantly expressed, and acts as a chromatin-associated nuclear factor with transcriptional repressor properties, it may sequester nuclear NF-kappaB/RELA, lowering expression of its targets (By similarity). This form is rapidely lost upon angiogenic or pro-inflammatory activation (By similarity).
See full target information Il33

Publications (2)

Recent publications for all applications. Explore the full list and refine your search

Cancer immunology research 8:1381-1392 PubMed32917659

2020

Tumor-Derived IL33 Promotes Tissue-Resident CD8 T Cells and Is Required for Checkpoint Blockade Tumor Immunotherapy.

Applications

Unspecified application

Species

Unspecified reactive species

Lujun Chen,Runzi Sun,Junchi Xu,Wensi Zhai,Dachuan Zhang,Min Yang,Cuihua Yue,Yichao Chen,Song Li,Heth Turnquist,Jingting Jiang,Binfeng Lu

Cell death & disease 9:1173 PubMed30518915

2018

Mast cells are essential intermediaries in regulating IL-33/ST2 signaling for an immune network favorable to mucosal healing in experimentally inflamed colons.

Applications

Unspecified application

Species

Unspecified reactive species

Zhigang He,Jian Song,Jie Hua,Muqing Yang,Yuanyuan Ma,Tianyu Yu,Junlan Feng,Bin Liu,Xiaodong Wang,Yue Li,Jiyu Li
View all publications

Product promise

We are committed to supporting your work with high-quality reagents, and we're here for you every step of the way. In the unlikely event that one of our products does not perform as expected, you're protected by our Product Promise.
For full details, please see our Terms & Conditions

Please note: All products are 'FOR RESEARCH USE ONLY. NOT FOR USE IN DIAGNOSTIC OR THERAPEUTIC PROCEDURES'.

For licensing inquiries, please contact partnerships@abcam.com