JavaScript is disabled in your browser. Please enable JavaScript to view this website.
AB207737

Anti-IL-33 antibody [EPR20417]

Be the first to review this product! Submit a review

|

(13 Publications)

Anti-IL-33 antibody [EPR20417] (ab207737) is a rabbit monoclonal antibody detecting IL-33 in Western Blot, IHC-P. Suitable for Human, Rat.

- Biophysical QC for unrivalled batch-batch consistency
- Over 10 publications

View Alternative Names

C9orf26, IL1F11, NFHEV, IL33, Interleukin-33, IL-33, Interleukin-1 family member 11, Nuclear factor from high endothelial venules, IL-1F11, NF-HEV

10 Images
Immunohistochemistry (Formalin/PFA-fixed paraffin-embedded sections) - Anti-IL-33 antibody [EPR20417] (AB207737)
  • IHC-P

Supplier Data

Immunohistochemistry (Formalin/PFA-fixed paraffin-embedded sections) - Anti-IL-33 antibody [EPR20417] (AB207737)

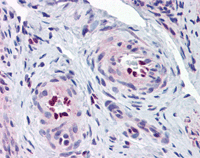
Immunohistochemical analysis of paraffin embedded human kidney cancer tissue labeling IL33 with ab207737 at 1/4000 dilution, followed by Goat Anti-Rabbit IgG H&L (HRP) ready to use. Nuclear staining on endothelial cells of human kidney cancer (PMID : 12819012) is observed. Counter stained with hematoxylin.

Secondary antibody only control : Used PBS instead of primary antibody, secondary antibody is Goat Anti-Rabbit IgG H&L (HRP) ready to use.

Perform heat mediated antigen retrieval with Tris/EDTA buffer pH 9.0 before commencing with IHC staining protocol.

Immunohistochemistry (Formalin/PFA-fixed paraffin-embedded sections) - Anti-IL-33 antibody [EPR20417] (AB207737)
  • IHC-P

Supplier Data

Immunohistochemistry (Formalin/PFA-fixed paraffin-embedded sections) - Anti-IL-33 antibody [EPR20417] (AB207737)

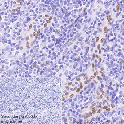
Immunohistochemical analysis of paraffin embedded human tonsil tissue labeling IL33 with ab207737 at 1/4000 dilution, followed by Goat Anti-Rabbit IgG H&L (HRP) ready to use. Nuclear staining on high endothelial venules of human tonsil (PMID : 12819012) is observed. Counter stained with hematoxylin.

Secondary antibody only control : Used PBS instead of primary antibody, secondary antibody is Goat Anti-Rabbit IgG H&L (HRP) ready to use.

Perform heat mediated antigen retrieval with Tris/EDTA buffer pH 9.0 before commencing with IHC staining protocol.

Immunohistochemistry (Formalin/PFA-fixed paraffin-embedded sections) - Anti-IL-33 antibody [EPR20417] (AB207737)
  • IHC-P

Supplier Data

Immunohistochemistry (Formalin/PFA-fixed paraffin-embedded sections) - Anti-IL-33 antibody [EPR20417] (AB207737)

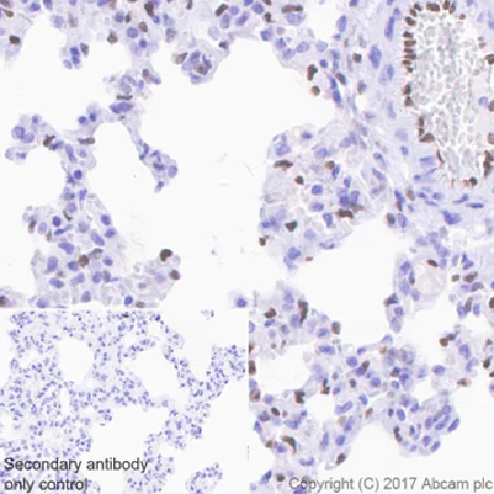
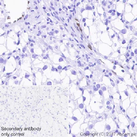
Immunohistochemical analysis of paraffin embedded rat lung tissue labeling IL33 with ab207737 at 1/4000 dilution, followed by Goat Anti-Rabbit IgG H&L (HRP) ready to use. Nuclear staining on epithelium and endothelium cells of rat lung (PMID : 18836528) is observed. Counter stained with hematoxylin.

Secondary antibody only control : Used PBS instead of primary antibody, secondary antibody is Goat Anti-Rabbit IgG H&L (HRP) ready to use.

Perform heat mediated antigen retrieval with Tris/EDTA buffer pH 9.0 before commencing with IHC staining protocol.

Immunohistochemistry (Formalin/PFA-fixed paraffin-embedded sections) - Anti-IL-33 antibody [EPR20417] (AB207737)
  • IHC-P

Supplier Data

Immunohistochemistry (Formalin/PFA-fixed paraffin-embedded sections) - Anti-IL-33 antibody [EPR20417] (AB207737)

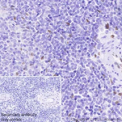
Immunohistochemical analysis of paraffin embedded rat spleen tissue labeling IL33 with ab207737 at 1/4000 dilution, followed by Goat Anti-Rabbit IgG H&L (HRP) ready to use. Nuclear staining on endothelium cells of rat spleen (PMID : 12819012, PMID : 18836528) is observed. Counter stained with hematoxylin.

Secondary antibody only control : Used PBS instead of primary antibody, secondary antibody is Goat Anti-Rabbit IgG H&L (HRP) ready to use.

Perform heat mediated antigen retrieval with Tris/EDTA buffer pH 9.0 before commencing with IHC staining protocol.

Western blot - Anti-IL-33 antibody [EPR20417] (AB207737)
  • WB

Supplier Data

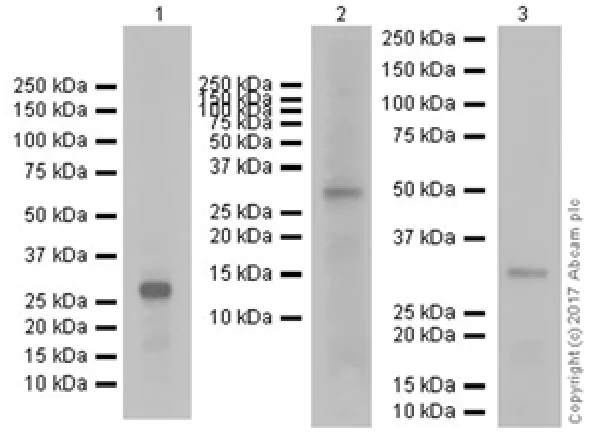
Western blot - Anti-IL-33 antibody [EPR20417] (AB207737)

Blocking : 5% NFDM/TBST

Exposure times :

Lanes 1-3,5 : 3 minutes

Lanes 4 : 30 seconds

All lanes:

Western blot - Anti-IL-33 antibody [EPR20417] (ab207737) at 1/1000 dilution

Lane 1:

Human artery at 20 µg

Lane 2:

Human lung at 20 µg

Lane 3:

Human tonsil at 20 µg

Lane 4:

Human stomach at 20 µg

Lane 5:

Human colon at 20 µg

Secondary

All lanes:

Western blot - VeriBlot for IP Detection Reagent (HRP) (<a href='/en-us/products/reagents/veriblot-for-ip-detection-reagent-hrp-ab131366'>ab131366</a>) at 1/1000 dilution

Predicted band size: 30 kDa

Observed band size: 33 kDa

false

Western blot - Anti-IL-33 antibody [EPR20417] (AB207737)
  • WB

Lab

Western blot - Anti-IL-33 antibody [EPR20417] (AB207737)

Blocking and diluting buffer and concentration : 5% NFDM/TBST.

All lanes:

Western blot - Anti-IL-33 antibody [EPR20417] (ab207737) at 1/1000 dilution

All lanes:

Human colon cancer tissue lysate at 20 µg

Secondary

All lanes:

Goat Anti-Rabbit IgG (HRP) with minimal cross-reactivity with human IgG at 1/2000 dilution

Observed band size: 15-30 kDa

false

Exposure time: 80s

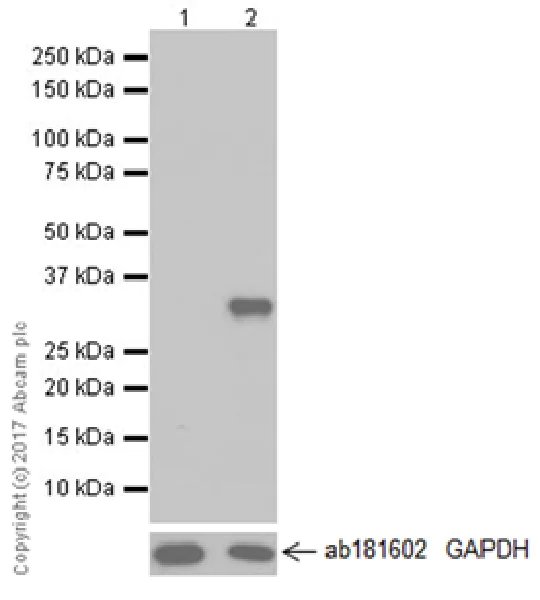
Western blot - Anti-IL-33 antibody [EPR20417] (AB207737)
  • WB

Supplier Data

Western blot - Anti-IL-33 antibody [EPR20417] (AB207737)

The level of IL33 expression can be induced by PMA and LPS treatment (PMID : 19559631).

Blocking : 5% NFDM/TBST

All lanes:

Western blot - Anti-IL-33 antibody [EPR20417] (ab207737) at 1/1000 dilution

Lane 1:

Untreated THP-1 (human monocytic leukemia monocyte), whole cell lysate at 10 µg

Lane 2:

THP-1 treated with 50 nM Phorbol-12-myristate-13-acetate (PMA, <a href='/en-us/products/biochemicals/phorbol-12-myristate-13-acetate-pma-pkc-activator-ab120297'>ab120297</a>) and 5 ug/ml lipopolysaccharides (LPS) for 24 hours, whole cell lysate at 10 µg

Secondary

All lanes:

Western blot - Goat Anti-Rabbit IgG H&L (HRP) (<a href='/en-us/products/secondary-antibodies/goat-rabbit-igg-h-l-hrp-ab97051'>ab97051</a>) at 1/50000 dilution

Predicted band size: 30 kDa

Observed band size: 33 kDa

false

Exposure time: 10s

Western blot - Anti-IL-33 antibody [EPR20417] (AB207737)
  • WB

Supplier Data

Western blot - Anti-IL-33 antibody [EPR20417] (AB207737)

Blocking : 5% NFDM/TBST

Exposure times :

Lane 1 : 3 seconds

Lane 2 : 10 seconds

Lane3 : 5 seconds

All lanes:

Western blot - Anti-IL-33 antibody [EPR20417] (ab207737) at 1/1000 dilution

Lane 1:

Rat spleen at 10 µg

Lane 2:

Rat kidney at 10 µg

Lane 3:

Rat lung at 10 µg

Secondary

All lanes:

Western blot - Goat Anti-Rabbit IgG H&L (HRP) (<a href='/en-us/products/secondary-antibodies/goat-rabbit-igg-h-l-hrp-ab97051'>ab97051</a>) at 1/100000 dilution

Predicted band size: 30 kDa

Observed band size: 33 kDa

false

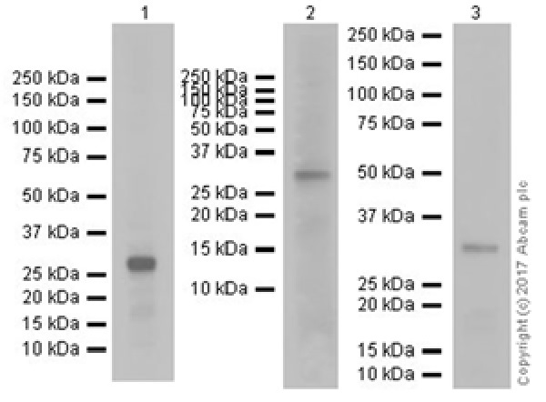
Western blot - Anti-IL-33 antibody [EPR20417] (AB207737)
  • WB

Supplier Data

Western blot - Anti-IL-33 antibody [EPR20417] (AB207737)

All lanes:

Western blot - Anti-IL-33 antibody [EPR20417] (ab207737) at 1/1000 dilution

All lanes:

Western blot - Recombinant Rat IL-33 protein (<a href='/en-us/products/proteins-peptides/recombinant-rat-il-33-protein-ab207126'>ab207126</a>)

Secondary

All lanes:

Western blot - Goat Anti-Rabbit IgG H&L (HRP) (<a href='/en-us/products/secondary-antibodies/goat-rabbit-igg-h-l-hrp-ab97051'>ab97051</a>) at 1/100000 dilution

Predicted band size: 30 kDa

Observed band size: 20 kDa

false

Exposure time: 3min

Western blot - Anti-IL-33 antibody [EPR20417] (AB207737)
  • WB

Supplier Data

Western blot - Anti-IL-33 antibody [EPR20417] (AB207737)

Blocking : 5% NFDM/TBST

All lanes:

Western blot - Anti-IL-33 antibody [EPR20417] (ab207737) at 1/1000 dilution

All lanes:

human IL33 recombinant protein (aa112-270), 10 ng

Secondary

All lanes:

Western blot - Goat Anti-Rabbit IgG H&L (HRP) (<a href='/en-us/products/secondary-antibodies/goat-rabbit-igg-h-l-hrp-ab97051'>ab97051</a>) at 1/100000 dilution

Predicted band size: 30 kDa

Observed band size: 18 kDa

false

Exposure time: 2s

  • Carrier free

    Anti-IL-33 antibody [EPR20417] - BSA and Azide free

Key facts

Host species

Rabbit

Clonality

Monoclonal

Clone number

EPR20417

Isotype

IgG

Carrier free

No

Reacts with

Rat, Human

Applications

IHC-P, WB

applications

Immunogen

The exact immunogen used to generate this antibody is proprietary information.

Reactivity data

{ "title": "Reactivity Data", "filters": { "stats": ["", "Species", "Dilution Info", "Notes"], "tabs": { "all-applications": {"fullname" : "All Applications", "shortname": "All Applications"}, "WB" : {"fullname" : "Western blot", "shortname":"WB"}, "ICCIF" : {"fullname" : "Immunocytochemistry/ Immunofluorescence", "shortname":"ICC/IF"}, "IHCP" : {"fullname" : "Immunohistochemistry (Formalin/PFA-fixed paraffin-embedded sections)", "shortname":"IHC-P"} }, "product-promise": { "all": "all", "testedAndGuaranteed": "tested", "guaranteed": "expected", "predicted": "predicted", "notRecommended": "not-recommended" } }, "values": { "Human": { "WB-species-checked": "testedAndGuaranteed", "WB-species-dilution-info": "1/1000", "WB-species-notes": "<p></p>", "ICCIF-species-checked": "notRecommended", "ICCIF-species-dilution-info": "", "ICCIF-species-notes": "<p></p>", "IHCP-species-checked": "testedAndGuaranteed", "IHCP-species-dilution-info": "1/4000", "IHCP-species-notes": "<p>Under our testing conditions we observed non-specific staining in some human tissues, customers are recommended to optimize IHC testing conditions.</p> Perform heat-mediated antigen retrieval with Tris/EDTA buffer pH 9.0 before commencing with IHC staining protocol." }, "Rat": { "WB-species-checked": "testedAndGuaranteed", "WB-species-dilution-info": "1/1000", "WB-species-notes": "<p></p>", "ICCIF-species-checked": "notRecommended", "ICCIF-species-dilution-info": "", "ICCIF-species-notes": "<p></p>", "IHCP-species-checked": "testedAndGuaranteed", "IHCP-species-dilution-info": "1/4000", "IHCP-species-notes": "<p>Under our testing conditions we observed non-specific staining in some human tissues, customers are recommended to optimize IHC testing conditions.</p> Perform heat-mediated antigen retrieval with Tris/EDTA buffer pH 9.0 before commencing with IHC staining protocol." } } }

Product details

What is this antibody validated in?
Anti-IL-33 antibody [EPR20417] (ab207737) is a rabbit recombinant monoclonal antibody and is validated for use in Western Blot (WB), Immunohistochemistry (IHC-P) in Human, Rat samples.

What is the molecular weight of IL-33?
Anti-IL-33 [EPR20417] (ab207737) specifically detects a band for IL-33 (UniProt: O95760) at a molecular weight of 30kDa.

Trusted by the scientific community
Anti-IL-33 [EPR20417] (ab207737) was first used in a scientific publication in 2017 and has been cited over 10 times in peer-reviewed journals.

Trial sizes available!
Test your antibody or perform pre-screening before committing to a larger quantity. Sold in 10µl. Discover our selection of trial-size antibodies.

Other related products
We have a range of other formats of antibody clone [EPR20417] also available for your convenience: ab207737, Carrier free - ab236036, Alexa Fluor® 647 - ab300738

Patented technology
Our RabMAb® technology is a patented hybridoma-based technology for making rabbit monoclonal antibodies. For details on our patents, please refer to RabMAb® patents.

Properties and storage information

Form
Liquid
Purification technique
Affinity purification Protein A
Storage buffer
pH: 7.2 - 7.4 Preservative: 0.01% Sodium azide Constituents: PBS, 40% Glycerol (glycerin, glycerine), 0.05% BSA
Shipped at conditions
Blue Ice
Appropriate short-term storage duration
1-2 weeks
Appropriate short-term storage conditions
+4°C
Appropriate long-term storage conditions
-20°C
Aliquoting information
Upon delivery aliquot
Storage information
Avoid freeze / thaw cycle

Product protocols

For this product, it's our understanding that no specific protocols are required. You can visit:

Target data

Cytokine that binds to and signals through the IL1RL1/ST2 receptor which in turn activates NF-kappa-B and MAPK signaling pathways in target cells (PubMed : 16286016, PubMed : 19841166). Involved in the maturation of Th2 cells inducing the secretion of T-helper type 2-associated cytokines (PubMed : 17853410, PubMed : 18836528). Also involved in activation of mast cells, basophils, eosinophils and natural killer cells (PubMed : 17853410, PubMed : 18836528). Acts as an enhancer of polarization of alternatively activated macrophages (PubMed : 19841166). Acts as a chemoattractant for Th2 cells, and may function as an 'alarmin', that amplifies immune responses during tissue injury (PubMed : 17853410, PubMed : 18836528). Induces rapid UCP2-dependent mitochondrial rewiring that attenuates the generation of reactive oxygen species and preserves the integrity of Krebs cycle required for persistent production of itaconate and subsequent GATA3-dependent differentiation of inflammation-resolving alternatively activated macrophages (By similarity).. In quiescent endothelia the uncleaved form is constitutively and abundantly expressed, and acts as a chromatin-associated nuclear factor with transcriptional repressor properties, it may sequester nuclear NF-kappaB/RELA, lowering expression of its targets (PubMed : 21734074). This form is rapidely lost upon angiogenic or pro-inflammatory activation (PubMed : 18787100).
See full target information IL33

Publications (13)

Recent publications for all applications. Explore the full list and refine your search

General physiology and biophysics 44:429-438 PubMed40923661

2025

Tripterygium glycosides alleviate CSE-induced lung injury by inhibiting IL-33 in bronchial epithelial cells.

Applications

Unspecified application

Species

Unspecified reactive species

Nan Zhang,Jian Fan,Zhiping Deng

Nature communications 14:4796 PubMed37558705

2023

Single-cell analysis reveals region-heterogeneous responses in rhesus monkey spinal cord with complete injury.

Applications

Unspecified application

Species

Unspecified reactive species

Yongheng Fan,Xianming Wu,Sufang Han,Qi Zhang,Zheng Sun,Bing Chen,Xiaoyu Xue,Haipeng Zhang,Zhenni Chen,Man Yin,Zhifeng Xiao,Yannan Zhao,Jianwu Dai

The Journal of experimental medicine 219: PubMed35977109

2022

A dysregulated sebum-microbial metabolite-IL-33 axis initiates skin inflammation in atopic dermatitis.

Applications

Unspecified application

Species

Unspecified reactive species

Zhuoqiong Qiu,Zhenlai Zhu,Xiaochun Liu,Baichao Chen,Huibin Yin,Chaoying Gu,Xiaokai Fang,Ronghui Zhu,Tianze Yu,Wenli Mi,Hong Zhou,Yufeng Zhou,Xu Yao,Wei Li

International journal of molecular sciences 23: PubMed36012165

2022

IL11 Stimulates IL33 Expression and Proinflammatory Fibroblast Activation across Tissues.

Applications

Unspecified application

Species

Unspecified reactive species

Anissa A Widjaja,Sonia Chothani,Sivakumar Viswanathan,Joyce Wei Ting Goh,Wei-Wen Lim,Stuart A Cook

Arthritis & rheumatology (Hoboken, N.J.) 74:1048-1058 PubMed35077006

2022

Contribution of Necroptosis to Myofiber Death in Idiopathic Inflammatory Myopathies.

Applications

Unspecified application

Species

Unspecified reactive species

Qing-Lin Peng,Ya-Mei Zhang,Yan-Chun Liu,Lin Liang,Wen-Li Li,Xiao-Lan Tian,Lu Zhang,Hong-Xia Yang,Xin Lu,Guo-Chun Wang

Journal of leukocyte biology 112:1591-1603 PubMed35501298

2022

Relationship and prognostic significance of IL-33, PD-1/PD-L1, and tertiary lymphoid structures in cervical cancer.

Applications

Unspecified application

Species

Unspecified reactive species

Ying Zhang,Jing Li,Fan Yang,Xiying Zhang,Xiubao Ren,Feng Wei

Cancers 14: PubMed35565267

2022

The Effect of Intratumoral Interrelation among FOXP3+ Regulatory T Cells on Treatment Response and Survival in Triple-Negative Breast Cancer.

Applications

Unspecified application

Species

Unspecified reactive species

Noriko Goda,Chika Nakashima,Ichiro Nagamine,Sunao Otagaki

Journal of molecular neuroscience : MN 72:730-740 PubMed34988900

2022

A Single Administration of Riluzole Applied Acutely After Spinal Cord Injury Attenuates Pro-inflammatory Activity and Improves Long-Term Functional Recovery in Rats.

Applications

Unspecified application

Species

Unspecified reactive species

Qichao Wu,Wenkai Zhang,Shuo Yuan,Yanjun Zhang,Wenxiu Zhang,Yan Zhang,Xueming Chen,Lei Zang

Clinical & translational immunology 10:e1300 PubMed34178329

2021

IL-33/ST2 axis deficiency exacerbates neutrophil-dominant allergic airway inflammation.

Applications

Unspecified application

Species

Unspecified reactive species

Qiyun Ma,Yan Qian,Jingxian Jiang,Jingjing Wu,Meijuan Song,Xinyu Li,Zhongqi Chen,Zhengxia Wang,Ranran Zhu,Zhixiao Sun,Mao Huang,Ningfei Ji,Mingshun Zhang

FEBS open bio 11:1638-1644 PubMed33838073

2021

CDX2 regulates interleukin-33 gene expression in intestinal epithelial cells (LS174T).

Applications

Unspecified application

Species

Unspecified reactive species

Sylvester Larsen,Jakob Benedict Seidelin,Johanne Davidsen,Katja Dahlgaard,Claus Henrik Nielsen,Eric Paul Bennett,Ole Birger Pedersen,Mehmet Coskun,Jesper Thorvald Troelsen
View all publications

Product promise

We are committed to supporting your work with high-quality reagents, and we're here for you every step of the way. In the unlikely event that one of our products does not perform as expected, you're protected by our Product Promise.
For full details, please see our Terms & Conditions

Please note: All products are 'FOR RESEARCH USE ONLY. NOT FOR USE IN DIAGNOSTIC OR THERAPEUTIC PROCEDURES'.

For licensing inquiries, please contact partnerships@abcam.com