JavaScript is disabled in your browser. Please enable JavaScript to view this website.
AB236036

Anti-IL-33 antibody [EPR20417] - BSA and Azide free

5

(2 Reviews)

|

(1 Publication)

Rabbit Recombinant Monoclonal IL-33 antibody. Carrier free. Suitable for WB, IHC-P and reacts with Human, Rat samples. Cited in 1 publication.

View Alternative Names

C9orf26, IL1F11, NFHEV, IL33, Interleukin-33, IL-33, Interleukin-1 family member 11, Nuclear factor from high endothelial venules, IL-1F11, NF-HEV

5 Images
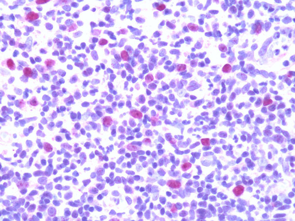
Immunohistochemistry (Formalin/PFA-fixed paraffin-embedded sections) - Anti-IL-33 antibody [EPR20417] - BSA and Azide free (AB236036)
  • IHC-P

Supplier Data

Immunohistochemistry (Formalin/PFA-fixed paraffin-embedded sections) - Anti-IL-33 antibody [EPR20417] - BSA and Azide free (AB236036)

Immunohistochemical analysis of paraffin embedded human kidney cancer tissue labeling IL33 with ab207737 at 1/4000 dilution, followed by Goat Anti-Rabbit IgG H&L (HRP) ready to use. Nuclear staining on endothelial cells of human kidney cancer (PMID : 12819012) is observed. Counter stained with hematoxylin.

Secondary antibody only control : Used PBS instead of primary antibody, secondary antibody is Goat Anti-Rabbit IgG H&L (HRP) ready to use.

This data was developed using the same antibody clone in a different buffer formulation containing PBS, BSA, glycerol, and sodium azide (ab207737).

Heat mediated antigen retrieval was performed with Tris/EDTA buffer pH 9.0 before commencing with IHC staining protocol.

Western blot - Anti-IL-33 antibody [EPR20417] - BSA and Azide free (AB236036)
  • WB

Lab

Western blot - Anti-IL-33 antibody [EPR20417] - BSA and Azide free (AB236036)

This data was developed using ab207737, the same antibody clone in a different buffer formulation.

Blocking and diluting buffer and concentration : 5% NFDM/TBST.

All lanes:

Western blot - Anti-IL-33 antibody [EPR20417] (<a href='/en-us/products/primary-antibodies/il-33-antibody-epr20417-ab207737'>ab207737</a>) at 1/1000 dilution

All lanes:

Human colon cancer tissue lysate at 20 µg

Secondary

All lanes:

Goat Anti-Rabbit IgG (HRP) with minimal cross-reactivity with human IgG at 1/2000 dilution

Observed band size: 15-30 kDa

false

Exposure time: 80s

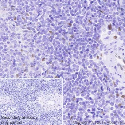
Immunohistochemistry (Formalin/PFA-fixed paraffin-embedded sections) - Anti-IL-33 antibody [EPR20417] - BSA and Azide free (AB236036)
  • IHC-P

Supplier Data

Immunohistochemistry (Formalin/PFA-fixed paraffin-embedded sections) - Anti-IL-33 antibody [EPR20417] - BSA and Azide free (AB236036)

Immunohistochemical analysis of paraffin embedded human tonsil tissue labeling IL33 with ab207737 at 1/4000 dilution, followed by Goat Anti-Rabbit IgG H&L (HRP) ready to use. Nuclear staining on high endothelial venules of human tonsil (PMID : 12819012) is observed. Counter stained with hematoxylin.

Secondary antibody only control : Used PBS instead of primary antibody, secondary antibody is Goat Anti-Rabbit IgG H&L (HRP) ready to use.

This data was developed using the same antibody clone in a different buffer formulation containing PBS, BSA, glycerol, and sodium azide (ab207737).

Heat mediated antigen retrieval was performed with Tris/EDTA buffer pH 9.0 before commencing with IHC staining protocol.

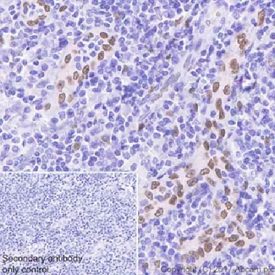
Immunohistochemistry (Formalin/PFA-fixed paraffin-embedded sections) - Anti-IL-33 antibody [EPR20417] - BSA and Azide free (AB236036)
  • IHC-P

Supplier Data

Immunohistochemistry (Formalin/PFA-fixed paraffin-embedded sections) - Anti-IL-33 antibody [EPR20417] - BSA and Azide free (AB236036)

Immunohistochemical analysis of paraffin embedded rat spleen tissue labeling IL33 with ab207737 at 1/4000 dilution, followed by Goat Anti-Rabbit IgG H&L (HRP) ready to use. Nuclear staining on endothelium cells of rat spleen (PMID : 12819012, PMID : 18836528) is observed. Counter stained with hematoxylin.

Secondary antibody only control : Used PBS instead of primary antibody, secondary antibody is Goat Anti-Rabbit IgG H&L (HRP) ready to use.

This data was developed using the same antibody clone in a different buffer formulation containing PBS, BSA, glycerol, and sodium azide (ab207737).

Heat mediated antigen retrieval was performed with Tris/EDTA buffer pH 9.0 before commencing with IHC staining protocol.

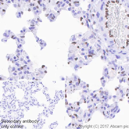
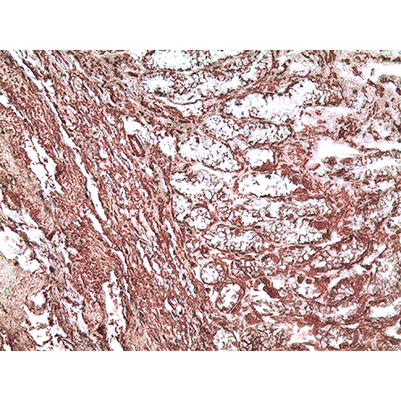
Immunohistochemistry (Formalin/PFA-fixed paraffin-embedded sections) - Anti-IL-33 antibody [EPR20417] - BSA and Azide free (AB236036)
  • IHC-P

Supplier Data

Immunohistochemistry (Formalin/PFA-fixed paraffin-embedded sections) - Anti-IL-33 antibody [EPR20417] - BSA and Azide free (AB236036)

Immunohistochemical analysis of paraffin embedded rat lung tissue labeling IL33 with ab207737 at 1/4000 dilution, followed by Goat Anti-Rabbit IgG H&L (HRP) ready to use. Nuclear staining on epithelium and endothelium cells of rat lung (PMID : 18836528) is observed. Counter stained with hematoxylin.

Secondary antibody only control : Used PBS instead of primary antibody, secondary antibody is Goat Anti-Rabbit IgG H&L (HRP) ready to use.

This data was developed using the same antibody clone in a different buffer formulation containing PBS, BSA, glycerol, and sodium azide (ab207737).

Heat mediated antigen retrieval was performed with Tris/EDTA buffer pH 9.0 before commencing with IHC staining protocol.

Key facts

Host species

Rabbit

Clonality

Monoclonal

Clone number

EPR20417

Isotype

IgG

Carrier free

Yes

Reacts with

Rat, Human

Applications

WB, IHC-P

applications

Immunogen

The exact immunogen used to generate this antibody is proprietary information.

Reactivity data

{ "title": "Reactivity Data", "filters": { "stats": ["", "Species", "Dilution Info", "Notes"], "tabs": { "all-applications": {"fullname" : "All Applications", "shortname": "All Applications"}, "WB" : {"fullname" : "Western blot", "shortname":"WB"}, "ICCIF" : {"fullname" : "Immunocytochemistry/ Immunofluorescence", "shortname":"ICC/IF"}, "IHCP" : {"fullname" : "Immunohistochemistry (Formalin/PFA-fixed paraffin-embedded sections)", "shortname":"IHC-P"} }, "product-promise": { "all": "all", "testedAndGuaranteed": "tested", "guaranteed": "expected", "predicted": "predicted", "notRecommended": "not-recommended" } }, "values": { "Human": { "WB-species-checked": "testedAndGuaranteed", "WB-species-dilution-info": "", "WB-species-notes": "<p></p>", "ICCIF-species-checked": "notRecommended", "ICCIF-species-dilution-info": "", "ICCIF-species-notes": "<p></p>", "IHCP-species-checked": "guaranteed", "IHCP-species-dilution-info": "", "IHCP-species-notes": "" }, "Rat": { "WB-species-checked": "guaranteed", "WB-species-dilution-info": "", "WB-species-notes": "<p></p>", "ICCIF-species-checked": "notRecommended", "ICCIF-species-dilution-info": "", "ICCIF-species-notes": "<p></p>", "IHCP-species-checked": "testedAndGuaranteed", "IHCP-species-dilution-info": "", "IHCP-species-notes": "<p>Under our testing conditions we observed non-specific staining in some human tissues, customers are recommended to optimize IHC testing conditions.</p> Perform heat-mediated antigen retrieval with Tris/EDTA buffer pH 9.0 before commencing with IHC staining protocol." } } }

Product details

ab236036 is the carrier-free version of ab207737.

Patented technology
Our RabMAb® technology is a patented hybridoma-based technology for making rabbit monoclonal antibodies. For details on our patents, please refer to RabMAb® patents.

What are the advantages of a recombinant monoclonal antibody?
This product is a recombinant monoclonal antibody, which offers several advantages including:

  • - High batch-to-batch consistency and reproducibility
  • - Improved sensitivity and specificity
  • - Long-term security of supply
  • - Animal-free batch production

For more information, read more on recombinant antibodies.

Conjugation ready
Our carrier-free antibodies are typically supplied in a PBS-only formulation, purified and free of BSA, sodium azide and glycerol. This conjugation-ready format is designed for use with fluorochromes, metal isotopes, oligonucleotides, and enzymes, which makes them ideal for antibody labelling, functional and cell-based assays, flow-based assays (e.g. mass cytometry) and Multiplex Imaging applications.

Use our conjugation kits for antibody conjugates that are ready-to-use in as little as 20 minutes with 1 minute hands-on-time and 100% antibody recovery: available for fluorescent dyes, HRP, biotin and gold.

Compatibility
This product is compatible with the Maxpar® Antibody Labeling Kit from Fluidigm, without the need for antibody preparation. Maxpar® is a trademark of Fluidigm Canada Inc.

Properties and storage information

Form
Liquid
Purification technique
Affinity purification Protein A
Storage buffer
pH: 7.2 - 7.4 Constituents: PBS
Shipped at conditions
Blue Ice
Appropriate short-term storage conditions
+4°C
Appropriate long-term storage conditions
+4°C
Storage information
Do Not Freeze

Product protocols

For this product, it's our understanding that no specific protocols are required. You can visit:

Target data

Cytokine that binds to and signals through the IL1RL1/ST2 receptor which in turn activates NF-kappa-B and MAPK signaling pathways in target cells (PubMed : 16286016, PubMed : 19841166). Involved in the maturation of Th2 cells inducing the secretion of T-helper type 2-associated cytokines (PubMed : 17853410, PubMed : 18836528). Also involved in activation of mast cells, basophils, eosinophils and natural killer cells (PubMed : 17853410, PubMed : 18836528). Acts as an enhancer of polarization of alternatively activated macrophages (PubMed : 19841166). Acts as a chemoattractant for Th2 cells, and may function as an 'alarmin', that amplifies immune responses during tissue injury (PubMed : 17853410, PubMed : 18836528). Induces rapid UCP2-dependent mitochondrial rewiring that attenuates the generation of reactive oxygen species and preserves the integrity of Krebs cycle required for persistent production of itaconate and subsequent GATA3-dependent differentiation of inflammation-resolving alternatively activated macrophages (By similarity).. In quiescent endothelia the uncleaved form is constitutively and abundantly expressed, and acts as a chromatin-associated nuclear factor with transcriptional repressor properties, it may sequester nuclear NF-kappaB/RELA, lowering expression of its targets (PubMed : 21734074). This form is rapidely lost upon angiogenic or pro-inflammatory activation (PubMed : 18787100).
See full target information IL33

Publications (1)

Recent publications for all applications. Explore the full list and refine your search

BMC pharmacology & toxicology 23:81 PubMed36273189

2022

Dexmedetomidine alleviates inflammatory response and oxidative stress injury of vascular smooth muscle cell via α2AR/GSK-3β/MKP-1/NRF2 axis in intracranial aneurysm.

Applications

Unspecified application

Species

Unspecified reactive species

Ze Zhang,Xiue Mu,Xiaohui Zhou
View all publications

Product promise

We are committed to supporting your work with high-quality reagents, and we're here for you every step of the way. In the unlikely event that one of our products does not perform as expected, you're protected by our Product Promise.
For full details, please see our Terms & Conditions

Please note: All products are 'FOR RESEARCH USE ONLY. NOT FOR USE IN DIAGNOSTIC OR THERAPEUTIC PROCEDURES'.

For licensing inquiries, please contact partnerships@abcam.com