JavaScript is disabled in your browser. Please enable JavaScript to view this website.
AB239508

Anti-IL-4 antibody [C1]

Be the first to review this product! Submit a review

|

(13 Publications)

Mouse Monoclonal IL-4 antibody. Suitable for WB, IHC-P and reacts with Human, Pig samples. Cited in 13 publications. Immunogen corresponding to Recombinant Full Length Protein corresponding to Human IL4.

View Alternative Names

Interleukin-4, IL-4, B-cell stimulatory factor 1, Binetrakin, Lymphocyte stimulatory factor 1, Pitrakinra, BSF-1, IL4

5 Images
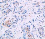
Immunohistochemistry (Formalin/PFA-fixed paraffin-embedded sections) - Anti-IL-4 antibody [C1] (AB239508)
  • IHC-P

Supplier Data

Immunohistochemistry (Formalin/PFA-fixed paraffin-embedded sections) - Anti-IL-4 antibody [C1] (AB239508)

Paraffin-embedded human breast cancer tissue stained for IL4 using ab239508 at 30 μg/ml in immunohistochemical analysis. DAB staining.

Immunohistochemistry (Formalin/PFA-fixed paraffin-embedded sections) - Anti-IL-4 antibody [C1] (AB239508)
  • IHC-P

Supplier Data

Immunohistochemistry (Formalin/PFA-fixed paraffin-embedded sections) - Anti-IL-4 antibody [C1] (AB239508)

Paraffin-embedded human prostate gland tissue stained for IL4 using ab239508 at 30 μg/ml in immunohistochemical analysis. DAB staining.

Immunohistochemistry (Formalin/PFA-fixed paraffin-embedded sections) - Anti-IL-4 antibody [C1] (AB239508)
  • IHC-P

Supplier Data

Immunohistochemistry (Formalin/PFA-fixed paraffin-embedded sections) - Anti-IL-4 antibody [C1] (AB239508)

Paraffin-embedded human pancreas tissue stained for IL4 using ab239508 at 30 μg/ml in immunohistochemical analysis. DAB staining.

Western blot - Anti-IL-4 antibody [C1] (AB239508)
  • WB

Supplier Data

Western blot - Anti-IL-4 antibody [C1] (AB239508)

All lanes:

Western blot - Anti-IL-4 antibody [C1] (ab239508) at 3 µg/mL

All lanes:

Pig spleen lysate

Secondary

All lanes:

HRP-Linked Rabbit Anti-Mouse IgG at 1/5000 dilution

Predicted band size: 17 kDa

false

Western blot - Anti-IL-4 antibody [C1] (AB239508)
  • WB

Supplier Data

Western blot - Anti-IL-4 antibody [C1] (AB239508)

All lanes:

Western blot - Anti-IL-4 antibody [C1] (ab239508) at 3 µg/mL

All lanes:

Recombinant human IL4 protein

Secondary

All lanes:

HRP-Linked Rabbit Anti-Mouse IgG at 1/5000 dilution

Predicted band size: 17 kDa

false

Key facts

Host species

Mouse

Clonality

Monoclonal

Clone number

C1

Isotype

IgG2b

Light chain type

kappa

Carrier free

No

Reacts with

Human, Pig

Applications

IHC-P, WB

applications

Immunogen

Recombinant Full Length Protein corresponding to Human IL4.

P05112

Reactivity data

{ "title": "Reactivity Data", "filters": { "stats": ["", "Species", "Dilution Info", "Notes"], "tabs": { "all-applications": {"fullname" : "All Applications", "shortname": "All Applications"}, "WB" : {"fullname" : "Western blot", "shortname":"WB"}, "IHCP" : {"fullname" : "Immunohistochemistry (Formalin/PFA-fixed paraffin-embedded sections)", "shortname":"IHC-P"} }, "product-promise": { "all": "all", "testedAndGuaranteed": "tested", "guaranteed": "expected", "predicted": "predicted", "notRecommended": "not-recommended" } }, "values": { "Human": { "WB-species-checked": "testedAndGuaranteed", "WB-species-dilution-info": "0.5-5 µg/mL", "WB-species-notes": "<p></p>", "IHCP-species-checked": "testedAndGuaranteed", "IHCP-species-dilution-info": "5-30 µg/mL", "IHCP-species-notes": "<p></p>" }, "Chimpanzee": { "WB-species-checked": "predicted", "WB-species-dilution-info": "", "WB-species-notes": "", "IHCP-species-checked": "predicted", "IHCP-species-dilution-info": "", "IHCP-species-notes": "" }, "Cynomolgus monkey": { "WB-species-checked": "predicted", "WB-species-dilution-info": "", "WB-species-notes": "", "IHCP-species-checked": "predicted", "IHCP-species-dilution-info": "", "IHCP-species-notes": "" }, "Pig": { "WB-species-checked": "testedAndGuaranteed", "WB-species-dilution-info": "0.5-5 µg/mL", "WB-species-notes": "<p></p>", "IHCP-species-checked": "guaranteed", "IHCP-species-dilution-info": "", "IHCP-species-notes": "" }, "Rhesus monkey": { "WB-species-checked": "predicted", "WB-species-dilution-info": "", "WB-species-notes": "", "IHCP-species-checked": "predicted", "IHCP-species-dilution-info": "", "IHCP-species-notes": "" } } }

Properties and storage information

Form
Liquid
Purification technique
Affinity purification Protein A/G
Purification notes
Purified from TCS.
Storage buffer
pH: 7.4 Preservative: 0.02% Sodium azide Constituents: PBS, 55.77% Glycerol (glycerin, glycerine)
Shipped at conditions
Blue Ice
Appropriate short-term storage duration
1-2 weeks
Appropriate short-term storage conditions
+4°C
Appropriate long-term storage conditions
-20°C
Aliquoting information
Upon delivery aliquot
Storage information
Avoid freeze / thaw cycle

Product protocols

For this product, it's our understanding that no specific protocols are required. You can visit:

Target data

Cytokine secreted primarily by mast cells, T-cells, eosinophils, and basophils that plays a role in regulating antibody production, hematopoiesis and inflammation, and the development of effector T-cell responses (PubMed : 1993171, PubMed : 3016727). Induces the expression of class II MHC molecules on resting B-cells. Enhances both secretion and cell surface expression of IgE and IgG1 (PubMed : 1993171). Regulates also the expression of the low affinity Fc receptor for IgE (CD23) on both lymphocytes and monocytes (PubMed : 2521231). Positively regulates IL31RA expression in macrophages. Stimulates autophagy in dendritic cells by interfering with mTORC1 signaling and through the induction of RUFY4. In addition, plays a critical role in higher functions of the normal brain, such as memory and learning (By similarity). Upon binding to IL4, IL4R receptor dimerizes either with the common IL2R gamma chain/IL2RG to produce the type 1 signaling complex, located mainly on hematopoietic cells, or with the IL13RA1 to produce the type 2 complex, which is expressed also on nonhematopoietic cells (PubMed : 10219247, PubMed : 11526337, PubMed : 18243101). Engagement of both types of receptors initiates JAK3 and to a lower extend JAK1 phosphorylation leading to activation of the signal transducer and activator of transcription 6/STAT6 (PubMed : 7721895).
See full target information IL4

Publications (13)

Recent publications for all applications. Explore the full list and refine your search

Journal of translational medicine 23:61 PubMed39806464

2025

The microenvironment cell index is a novel indicator for the prognosis and therapeutic regimen selection of cancers.

Applications

Unspecified application

Species

Unspecified reactive species

Xian-Yan Yang,Nian Chen,Qian Wen,Yu Zhou,Tao Zhang,Ji Zhou,Cheng-Hui Liang,Li-Ping Han,Xiao-Ya Wang,Qing-Mei Kang,Xiao-Xia Zheng,Xue-Jia Zhai,Hong-Ying Jiang,Tian-Hua Shen,Jin-Wei Xiao,Yu-Xin Zou,Yun Deng,Shuang Lin,Jiang-Jie Duan,Jun Wang,Shi-Cang Yu

Nature communications 15:8592 PubMed39366933

2024

Tumor draining lymph nodes connected to cold triple-negative breast cancers are characterized by Th2-associated microenvironment.

Applications

Unspecified application

Species

Unspecified reactive species

Weihua Guo,Jiayi Tan,Lei Wang,Colt A Egelston,Diana L Simons,Aaron Ochoa,Min Hui Lim,Lu Wang,Shawn Solomon,James Waisman,Christina H Wei,Caroline Hoffmann,Joo Song,Daniel Schmolze,Peter P Lee

Cells 12: PubMed37296643

2023

In Situ Identification of Both IL-4 and IL-10 Cytokine-Receptor Interactions during Tissue Regeneration.

Applications

Unspecified application

Species

Unspecified reactive species

Krisztina Nikovics,Anne-Laure Favier,Mathilde Rocher,Céline Mayinga,Johanna Gomez,Frédérique Dufour-Gaume,Diane Riccobono

Drug design, development and therapy 17:691-706 PubMed36915642

2023

Integrated Network Pharmacology and Experimental Validation Approach to Investigate the Mechanisms of in the Treatment of Rheumatoid Arthritis.

Applications

Unspecified application

Species

Unspecified reactive species

Wendong Xie,Hua Yang,Chun Guo,Rui Xie,Guoliang Yu,Yifu Li

Signal transduction and targeted therapy 8:24 PubMed36609561

2023

COVID-19-associated monocytic encephalitis (CAME): histological and proteomic evidence from autopsy.

Applications

Unspecified application

Species

Unspecified reactive species

Pei-Pei Zhang,Zhi-Cheng He,Xiao-Hong Yao,Rui Tang,Jie Ma,Tao Luo,Chuhong Zhu,Tian-Ran Li,Xindong Liu,Dingyu Zhang,Shuyang Zhang,Yi-Fang Ping,Ling Leng,Xiu-Wu Bian

Frontiers in pharmacology 13:898680 PubMed35899115

2022

Metabolomics Profiles Associated with the Treatment of Zuojin Pill on Patients with Chronic Nonatrophic Gastritis.

Applications

Unspecified application

Species

Unspecified reactive species

Xiao Ma,Shuying Xie,Ruilin Wang,Zhongxia Wang,Manyi Jing,Haotian Li,Shizhang Wei,Honghong Liu,Jianyu Li,Qingyong He,Yanling Zhao

Mycoses 65:877-886 PubMed35673954

2022

Comparative evaluation of host immune response and cytokine signature pertaining to Th1 and Th2 immune arms in serum and tissue among patients of acute localised vs. chronic disseminated dermatophytosis.

Applications

Unspecified application

Species

Unspecified reactive species

Nayan Patel,Jigna Padhiyar,Ragini Singh,Afroz Bloch,Sneha Babaria

The Laryngoscope 132:2132-2138 PubMed35199865

2022

Primary Hyper-IgE-Related Salivary Gland Disease: A New Disease Entity.

Applications

Unspecified application

Species

Unspecified reactive species

Wen-Xuan Zhu,Yan-Yan Zhang,Yan Gao,Yan Chen,Zu-Yan Zhang,Hong Hua,Guang-Yan Yu

International journal of medical sciences 18:2814-2827 PubMed34220309

2021

Abnormal proinflammatory and stressor environmental with increased the regulatory cellular IGF-1/PAPP-A/STC and Wnt-1/β-Catenin canonical pathway in placenta of women with Chronic venous Disease during Pregnancy.

Applications

Unspecified application

Species

Unspecified reactive species

Miguel A Ortega,Oscar Fraile-Martínez,Miguel A Saez,Miguel A Álvarez-Mon,Ana M Gómez-Lahoz,Coral Bravo,Juan A De León Luis,Felipe Sainz,Santiago Coca,Ángel Asúnsolo,Jorge Monserrat,Luis G Guijarro,Melchor Álvarez-Mon,Julia Bujan,Natalio García-Honduvilla

Frontiers in nutrition 8:667695 PubMed34046422

2021

ATCC 4356 Alleviates Renal Ischemia-Reperfusion Injury Through Antioxidant Stress and Anti-inflammatory Responses and Improves Intestinal Microbial Distribution.

Applications

Unspecified application

Species

Unspecified reactive species

Peng Zhang,Xiuwu Han,Xin Zhang,Xuhui Zhu
View all publications

Product promise

We are committed to supporting your work with high-quality reagents, and we're here for you every step of the way. In the unlikely event that one of our products does not perform as expected, you're protected by our Product Promise.
For full details, please see our Terms & Conditions

Please note: All products are 'FOR RESEARCH USE ONLY. NOT FOR USE IN DIAGNOSTIC OR THERAPEUTIC PROCEDURES'.

For licensing inquiries, please contact partnerships@abcam.com