JavaScript is disabled in your browser. Please enable JavaScript to view this website.
AB222102

Anti-IL-4I1/LAO antibody [EPR22070]

5

(4 Reviews)

|

(11 Publications)

Anti-IL-4I1/LAO antibody [EPR22070] (ab222102) is a rabbit monoclonal antibody detecting IL-4I1/LAO in Western Blot, Flow Cytometry (Intra), Flow Cytometry, IP, IHC-P, ICC/IF. Suitable for Human.

- Biophysical QC for unrivalled batch-batch consistency

View Alternative Names

FIG1, UNQ636/PRO1265, IL4I1, L-amino-acid oxidase, LAAO, LAO, Interleukin-4-induced protein 1, Protein Fig-1, IL4-induced protein 1, hIL4I1, hFIG1

7 Images
Immunohistochemistry (Formalin/PFA-fixed paraffin-embedded sections) - Anti-IL-4I1/LAO antibody [EPR22070] (AB222102)
  • IHC-P

Unknown

Immunohistochemistry (Formalin/PFA-fixed paraffin-embedded sections) - Anti-IL-4I1/LAO antibody [EPR22070] (AB222102)

Immunohistochemical analysis of paraffin-embedded human tonsil tissue stained for IL-4I1/LAO with ab222102 at 1/2000 dilution, followed by Goat Anti-Rabbit IgG H&L (HRP) ready to use. Granular cytoplasmic staining in macrophages of human tonsil (PMID : 17356132; PMID : 19436310) is observed. Counterstained with Hematoxylin.

Secondary antibody only control : Used PBS instead of primary antibody, secondary antibody is Goat Anti-Rabbit IgG H&L (HRP) ready to use.

Heat mediated antigen retrieval was performed with Tris/EDTA buffer pH 9.0 before commencing with IHC staining protocol.

Immunocytochemistry/ Immunofluorescence - Anti-IL-4I1/LAO antibody [EPR22070] (AB222102)
  • ICC/IF

Unknown

Immunocytochemistry/ Immunofluorescence - Anti-IL-4I1/LAO antibody [EPR22070] (AB222102)

Immunofluorescent analysis of 4% paraformaldehyde-fixed, 0.1% Triton X-100 permeabilzed HEK-293T (human epithelial cell line from embryonic kidney transformed with large T antigen) cells labeling IL-4I1/LAO (white) with ab222102 at 1/50 dilution, followed by ab150079 AlexaFluor®647 Goat anti-Rabbit secondary at 1/1000 dilution. Confocal image showing cytoplasmic staining in HEK-293T cells transfected with GFP-tagged IL-4I1/LAO expression vector. The nuclear counter stain is DAPI (blue). Tubulin is detected with Anti-alpha Tubulin antibody [DM1A] - Microtubule Marker (Alexa Fluor® 594) (ab195889) at 1/200 dilution.

Secondary antibody only control : Used PBS instead of primary antibody, secondary antibody is ab150079 AlexaFluor®647 Goat anti-Rabbit secondary at 1/1000 dilution.

Flow Cytometry (Intracellular) - Anti-IL-4I1/LAO antibody [EPR22070] (AB222102)
  • Flow Cyt (Intra)

Unknown

Flow Cytometry (Intracellular) - Anti-IL-4I1/LAO antibody [EPR22070] (AB222102)

Intracellular flow cytometric analysis of 4% paraformaldehyde-fixed, 90% methanolpermeabilized HEK-293T (human epithelial cell line from embryonic kidney transformed with large T antigen) transfected with IL-4I1/LAO expression vector containing a myc-GFP-tag labeling IL-4I1/LAO with ab222102at 1/500 dilution (Right) compared to Rabbit monoclonal IgG (ab172730) (Left) isotype control. Goat anti rabbit IgG (Alexa Fluor® 488, ab150077) was used as the secondary antibody at 1/2000 dilution.

Immunohistochemistry (Formalin/PFA-fixed paraffin-embedded sections) - Anti-IL-4I1/LAO antibody [EPR22070] (AB222102)
  • IHC-P

Unknown

Immunohistochemistry (Formalin/PFA-fixed paraffin-embedded sections) - Anti-IL-4I1/LAO antibody [EPR22070] (AB222102)

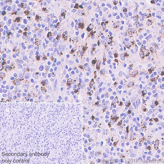
Immunohistochemical analysis of paraffin-embedded human difuse large B-cell lymphoma tissue stained for IL-4I1/LAO with ab222102 at 1/2000 dilution, followed by Goat Anti-Rabbit IgG H&L (HRP) ready to use. Granular cytoplasmic staining in human diffuse large B-cell lymphoma (PMID : 19436310) is observed. Counterstained with Hematoxylin.

Secondary antibody only control : Used PBS instead of primary antibody, secondary antibody is Goat Anti-Rabbit IgG H&L (HRP) ready to use.

Heat mediated antigen retrieval was performed with Tris/EDTA buffer pH 9.0 before commencing with IHC staining protocol.

Immunohistochemistry (Formalin/PFA-fixed paraffin-embedded sections) - Anti-IL-4I1/LAO antibody [EPR22070] (AB222102)
  • IHC-P

Unknown

Immunohistochemistry (Formalin/PFA-fixed paraffin-embedded sections) - Anti-IL-4I1/LAO antibody [EPR22070] (AB222102)

Immunohistochemical analysis of paraffin-embedded human Hodgkin's lymphoma tissue stained for IL-4I1/LAO with ab222102 at 1/2000 dilution, followed by Goat Anti-Rabbit IgG H&L (HRP) ready to use. Granular cytoplasmic staining in human Hodgkin's lymphoma (PMID : 19436310) is observed. Counterstained with Hematoxylin.

Secondary antibody only control : Used PBS instead of primary antibody, secondary antibody is Goat Anti-Rabbit IgG H&L (HRP) ready to use.

Heat mediated antigen retrieval was performed with Tris/EDTA buffer pH 9.0 before commencing with IHC staining protocol.

Immunoprecipitation - Anti-IL-4I1/LAO antibody [EPR22070] (AB222102)
  • IP

Unknown

Immunoprecipitation - Anti-IL-4I1/LAO antibody [EPR22070] (AB222102)

IL-4I1/LAO was immunoprecipitated from 0.35mg HEK-293T (human epithelial cell line from embryonic kidney transformed with large T antigen) transfected with IL-4I1/LAO expression vector containing a myc-GFP-tag whole cell lysate with ab222102 at 1/30 dilution. Western blot was perfromed from the immunoprecipitate using ab222102 at 1/1000 dilution, VeriBlot for IP Detection Reagent (HRP) (ab131366) was used for detection at 1/5000 dilution.

Lane 1 : HEK-293T transfected with IL-4I1/LAO expression vector containing a myc-GFP-tag whole cell lysate 10μg (Input).

Lane 2 : ab222102 IP in HEK-293 transfected with IL-4I1/LAO expression vector containing a myc-GFP-tag whole cell lysate (+).

Lane 3 : Rabbit monoclonal IgG (ab172730) instead of ab222102 in HEK-293T transfected with IL-4I1/LAO expression vector containing a myc-GFP-tag whole cell lysate (-).

Blocking and dilution buffer and concentration : 5% NFDM/TBST.
Exposure time : 1 seconds.

All lanes:

Immunoprecipitation - Anti-IL-4I1/LAO antibody [EPR22070] (ab222102)

Predicted band size: 63 kDa

Observed band size: 100 kDa

false

Western blot - Anti-IL-4I1/LAO antibody [EPR22070] (AB222102)
  • WB

Unknown

Western blot - Anti-IL-4I1/LAO antibody [EPR22070] (AB222102)

Blocking and dilution buffer : 5% NFDM/TBST.

All lanes:

Western blot - Anti-IL-4I1/LAO antibody [EPR22070] (ab222102) at 1/1000 dilution

Lane 1:

HEK-293T (human epithelial cell line from embryonic kidney transformed with large T antigen) transfected with an empty vector (vector control), containing a myc-GFP-tag, whole cell lysate at 10 µg

Lane 2:

HEK-293T transfected with IL-4I1/LAO expression vector containing a myc-GFP-tag, whole cell lysate at 10 µg

Secondary

All lanes:

Western blot - Goat Anti-Rabbit IgG H&L (HRP) (<a href='/en-us/products/secondary-antibodies/goat-rabbit-igg-h-l-hrp-ab97051'>ab97051</a>) at 1/100000 dilution

Predicted band size: 63 kDa

Observed band size: 100 kDa

false

Exposure time: 6s

  • Carrier free

    Anti-IL-4I1/LAO antibody [EPR22070] - BSA and Azide free

Key facts

Host species

Rabbit

Clonality

Monoclonal

Clone number

EPR22070

Isotype

IgG

Carrier free

No

Reacts with

Human

Applications

WB, IP, ICC/IF, Flow Cyt (Intra), IHC-P

applications

Immunogen

The exact immunogen used to generate this antibody is proprietary information.

Specificity

This antibody fails to detect endogenous natural samples in WB.

Reactivity data

{ "title": "Reactivity Data", "filters": { "stats": ["", "Species", "Dilution Info", "Notes"], "tabs": { "all-applications": {"fullname" : "All Applications", "shortname": "All Applications"}, "IP" : {"fullname" : "Immunoprecipitation", "shortname":"IP"}, "WB" : {"fullname" : "Western blot", "shortname":"WB"}, "ICCIF" : {"fullname" : "Immunocytochemistry/ Immunofluorescence", "shortname":"ICC/IF"}, "FlowCytIntra" : {"fullname" : "Flow Cytometry (Intracellular)", "shortname":"Flow Cyt (Intra)"}, "IHCP" : {"fullname" : "Immunohistochemistry (Formalin/PFA-fixed paraffin-embedded sections)", "shortname":"IHC-P"} }, "product-promise": { "all": "all", "testedAndGuaranteed": "tested", "guaranteed": "expected", "predicted": "predicted", "notRecommended": "not-recommended" } }, "values": { "Human": { "IP-species-checked": "testedAndGuaranteed", "IP-species-dilution-info": "1/30", "IP-species-notes": "<p></p>", "WB-species-checked": "testedAndGuaranteed", "WB-species-dilution-info": "1/1000", "WB-species-notes": "<p>IL-4I1/LAO protein is expressed in limited samples. It is a secreted enzyme physiologically produced by antigen presenting cells of the myeloid and B cell lineages and T helper type (Th) 17 cells. Please refer to PMID: 29206151).</p>", "ICCIF-species-checked": "testedAndGuaranteed", "ICCIF-species-dilution-info": "1/50", "ICCIF-species-notes": "<p></p>", "FlowCytIntra-species-checked": "testedAndGuaranteed", "FlowCytIntra-species-dilution-info": "1/600", "FlowCytIntra-species-notes": "<p></p>", "IHCP-species-checked": "testedAndGuaranteed", "IHCP-species-dilution-info": "1/2000", "IHCP-species-notes": "<p></p> Perform heat-mediated antigen retrieval with Tris/EDTA buffer pH 9.0 before commencing with IHC staining protocol." } } }

Product details

What is this antibody validated in?
Anti-IL-4I1/LAO antibody [EPR22070] (ab222102) is a rabbit recombinant monoclonal antibody and is validated for use in Western Blot (WB), Flow Cytometry (Intra), Flow Cytometry (Flow Cyt), Immunoprecipitation (IP), Immunohistochemistry (IHC-P), Immunocytochemistry/immunofluorescence (ICC/IF) in Human samples.

What is the molecular weight of IL-4I1/LAO?
Anti-IL-4I1/LAO [EPR22070] (ab222102) specifically detects a band for IL-4I1/LAO (UniProt: Q96RQ9) at a molecular weight of 63kDa.

Trial sizes available!
Test your antibody or perform pre-screening before committing to a larger quantity. Sold in 10µl. Discover our selection of trial-size antibodies.

Other related products
We have a range of other formats of antibody clone [EPR22070] also available for your convenience: ab222102, Carrier free - ab237783

Patented technology
Our RabMAb® technology is a patented hybridoma-based technology for making rabbit monoclonal antibodies. For details on our patents, please refer to RabMAb® patents.

What are the advantages of a recombinant monoclonal antibody?
This product is a recombinant monoclonal antibody, which offers several advantages including:

  • - High batch-to-batch consistency and reproducibility
  • - Improved sensitivity and specificity
  • - Long-term security of supply
  • - Animal-free batch production

For more information, read more on recombinant antibodies.

Properties and storage information

Form
Liquid
Purification technique
Affinity purification Protein A
Storage buffer
pH: 7.2 - 7.4 Preservative: 0.01% Sodium azide Constituents: PBS, 40% Glycerol (glycerin, glycerine), 0.05% BSA
Shipped at conditions
Blue Ice
Appropriate short-term storage duration
1-2 weeks
Appropriate short-term storage conditions
+4°C
Appropriate long-term storage conditions
-20°C
Aliquoting information
Upon delivery aliquot
Storage information
Avoid freeze / thaw cycle

Product protocols

For this product, it's our understanding that no specific protocols are required. You can visit:

Target data

Secreted L-amino-acid oxidase that acts as a key immunoregulator (PubMed : 17356132, PubMed : 32818467, PubMed : 32866000). Has preference for L-aromatic amino acids : converts phenylalanine (Phe), tyrosine (Tyr) and tryptophan (Trp) to phenylpyruvic acid (PP), hydroxyphenylpyruvic acid (HPP), and indole-3-pyruvic acid (I3P), respectively (PubMed : 17356132, PubMed : 32818467, PubMed : 32866000). Also has weak L-arginine oxidase activity (PubMed : 26673964). Acts as a negative regulator of anti-tumor immunity by mediating Trp degradation via an indole pyruvate pathway that activates the transcription factor AHR (PubMed : 32818467, PubMed : 32866000). IL4I1-mediated Trp catabolism generates I3P, giving rise to indole metabolites (indole-3-acetic acid (IAA) and indole-3-aldehyde (I3A)) and kynurenic acid, which act as ligands for AHR, a ligand-activated transcription factor that plays important roles in immunity and cancer (PubMed : 32818467, PubMed : 32866000). AHR activation by indoles following IL4I1-mediated Trp degradation enhances tumor progression by promoting cancer cell motility and suppressing adaptive immunity (PubMed : 32818467). Also has an immunoregulatory function in some immune cells, probably by mediating Trp degradation and promoting downstream AHR activation : inhibits T-cell activation and proliferation, promotes the differentiation of naive CD4(+) T-cells into FOXP3(+) regulatory T-cells (Treg) and regulates the development and function of B-cells (PubMed : 17356132, PubMed : 25446972, PubMed : 25778793, PubMed : 28891065). Also regulates M2 macrophage polarization by inhibiting T-cell activation (By similarity). Also has antibacterial properties by inhibiting growth of Gram negative and Gram positive bacteria through the production of NH4(+) and H2O2 (PubMed : 23355881).
See full target information IL4I1

Publications (11)

Recent publications for all applications. Explore the full list and refine your search

Cancers 17: PubMed41008831

2025

Proteomic Identification of IL4I1 as a Therapeutic Target in P53-Mutant Endometrial Cancer.

Applications

Unspecified application

Species

Unspecified reactive species

Hu Li,Ruonan Zhang,Tiantian Sui,Kai Wang,Yiran Li,Xuezhen Luo,Qizhi He

Cell death & disease 15:640 PubMed39251573

2024

Mesenchymal stromal cells restrain the Th17 cell response via L-amino-acid oxidase within lymph nodes.

Applications

Unspecified application

Species

Unspecified reactive species

Qi Ni,Le Zhen,Zhu Zeng,Jingwen Yang,Yukai Wang,Huanke Xu,Qixiang Zhang,Yongcheng Zhu,Yu Tao,Jing Wang,Qing Liu,Kezheng Yi,Yang Chen,Qian Chen,Guangji Wang,Fang Zhou,Yunlong Shan

Frontiers in pharmacology 15:1365683 PubMed38873416

2024

IL4I1: a novel molecular biomarker represents an inflamed tumor microenvironment and precisely predicts the molecular subtype and immunotherapy response of bladder cancer.

Applications

Unspecified application

Species

Unspecified reactive species

Xiangrong Peng,Chuan Liu,Li Zhang,Yin Chen,Lixin Mao,Shenglin Gao,Xiaokai Shi,Li Zuo

Frontiers in immunology 14:1338244 PubMed38250074

2024

IL4I1 in M2-like macrophage promotes glioma progression and is a promising target for immunotherapy.

Applications

Unspecified application

Species

Unspecified reactive species

Feng Ye,Lichong Wang,Yuanyou Li,Chengyuan Dong,Liangxue Zhou,Jianguo Xu

Cancer medicine 12:21996-22005 PubMed38062922

2023

Tryptophan metabolism enzymes are potential targets in ovarian clear cell carcinoma.

Applications

Unspecified application

Species

Unspecified reactive species

Sumei Zhang,Yike Gao,Pan Wang,Shu Wang,Yuming Wang,Mei Li,Anqi Wang,Kun Zhao,Zixin Zhang,Jian Sun,Dan Guo,Zhiyong Liang

Cancer immunology research 12:48-59 PubMed37922365

2023

Bexmarilimab Activates Human Tumor-Associated Macrophages to Support Adaptive Immune Responses in Interferon-Poor Immune Microenvironments.

Applications

Unspecified application

Species

Unspecified reactive species

Jenna H Rannikko,Petri Bono,Johanna Hynninen,Maija Hollmén

Cell reports. Medicine 4:101128 PubMed37478857

2023

Mechanical confinement promotes heat resistance of hepatocellular carcinoma via SP1/IL4I1/AHR axis.

Applications

Unspecified application

Species

Unspecified reactive species

Guo-Pei Zhang,Zong-Lin Xie,Juan Jiang,Yu-Tong Zhao,Kai Lei,Zhi-Long Lin,Shu-Ling Chen,Tian-Hong Su,Li Tan,Sui Peng,Ji Wang,Chun Liu,Ming Kuang

Cancer medicine 12:12139-12148 PubMed37148546

2023

Expression of Tryptophan Metabolism Enzymes in Patients with Diffuse Large B-cell Lymphoma and NK/T-cell Lymphoma.

Applications

Unspecified application

Species

Unspecified reactive species

Dan Guo,Yuming Wang,Xunyao Wu,Yike Gao,Anqi Wang,Zixin Zhang,Kun Zhao,Xiaoxi Wang,Meiyu Liu,Yaran Zhang,Mei Li,Rui Chen,Jian Sun,Yan Zhang

Biomolecules 13: PubMed37238588

2023

IL-6-Mediated Upregulated miRNAs in Extracellular Vesicles Derived from Lund Human Mesencephalic (LUHMES) Cells: Effects on Astrocytes and Microglia.

Applications

Unspecified application

Species

Unspecified reactive species

Kento Nishi,Hiroto Izumi,Taisuke Tomonaga,Chikage Nagano,Yasuo Morimoto,Seichi Horie

International journal of molecular sciences 24: PubMed36834576

2023

Human Chorionic Gonadotropin-Stimulated Interleukin-4-Induced-1 (IL4I1) Promotes Human Decidualization via Aryl Hydrocarbon Receptor.

Applications

Unspecified application

Species

Unspecified reactive species

Jia-Mei Luo,Tong-Tong Zhang,Yu-Ying He,Hui-Na Luo,Yu-Qi Hong,Zeng-Ming Yang
View all publications

Product promise

We are committed to supporting your work with high-quality reagents, and we're here for you every step of the way. In the unlikely event that one of our products does not perform as expected, you're protected by our Product Promise.
For full details, please see our Terms & Conditions

Please note: All products are 'FOR RESEARCH USE ONLY. NOT FOR USE IN DIAGNOSTIC OR THERAPEUTIC PROCEDURES'.

For licensing inquiries, please contact partnerships@abcam.com