JavaScript is disabled in your browser. Please enable JavaScript to view this website.
AB317249

Anti-IL-4I1/LAO antibody [EPR26368-90] - BSA and Azide free

Be the first to review this product! Submit a review

|

(0 Publication)

Rabbit Recombinant Monoclonal IL-4I1/LAO antibody. Carrier free. Suitable for WB, IHC-P and reacts with Mouse samples.

View Alternative Names

Fig1, L-amino-acid oxidase, LAAO, LAO, Interleukin-4-induced protein 1, Protein Fig-1, IL4-induced protein 1, mIL4I1, mFIG1

4 Images
Immunohistochemistry (Formalin/PFA-fixed paraffin-embedded sections) - Anti-IL-4I1/LAO antibody [EPR26368-90] - BSA and Azide free (AB317249)
  • IHC-P

Supplier Data

Immunohistochemistry (Formalin/PFA-fixed paraffin-embedded sections) - Anti-IL-4I1/LAO antibody [EPR26368-90] - BSA and Azide free (AB317249)

This data was developed using ab317248, the same antibody clone in a different buffer formulation.

Immunohistochemical analysis of paraffin-embedded Mouse cardiac muscle tissue labeling IL-4I1/LAO with ab317248 at 1/1000 (0.5 ug/ml) dilution, followed by a ready to use LeicaDS9800 (Bond™ Polymer Refine Detection).

Low expression : no staining on mouse cardiac muscle (PMID : 16029492). The section was incubated with ab317248 for 30 mins at room temperature.
The immunostaining was performed on a Leica Biosystems BOND® RX instrument.

Counterstained with Hematoxylin.

Secondary antibody only control : Secondary antibody is a ready to use LeicaDS9800 (Bond™ Polymer Refine Detection).

Heat mediated antigen retrieval was performed with Tris-EDTA buffer (pH 9.0, Epitope Retrieval Solution2) for 20 mins.

Immunohistochemistry (Formalin/PFA-fixed paraffin-embedded sections) - Anti-IL-4I1/LAO antibody [EPR26368-90] - BSA and Azide free (AB317249)
  • IHC-P

Supplier Data

Immunohistochemistry (Formalin/PFA-fixed paraffin-embedded sections) - Anti-IL-4I1/LAO antibody [EPR26368-90] - BSA and Azide free (AB317249)

This data was developed using ab317248, the same antibody clone in a different buffer formulation.

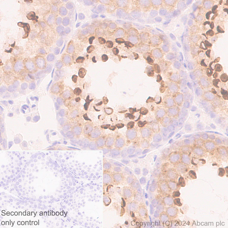
Immunohistochemical analysis of paraffin-embedded Mouse testis tissue labeling IL-4I1/LAO with ab317248 at 1/1000 (0.5 ug/ml) dilution, followed by a ready to use LeicaDS9800 (Bond™ Polymer Refine Detection).

Positive staining on mouse testis (PMID : 16029492). The section was incubated with ab317248 for 30 mins at room temperature.
The immunostaining was performed on a Leica Biosystems BOND® RX instrument.

Counterstained with Hematoxylin.

Secondary antibody only control : Secondary antibody is a ready to use LeicaDS9800 (Bond™ Polymer Refine Detection).

Heat mediated antigen retrieval was performed with Tris-EDTA buffer (pH 9.0, Epitope Retrieval Solution2) for 20 mins.

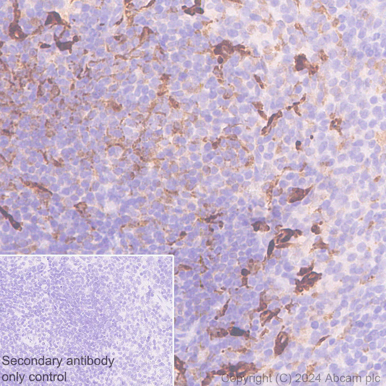
Immunohistochemistry (Formalin/PFA-fixed paraffin-embedded sections) - Anti-IL-4I1/LAO antibody [EPR26368-90] - BSA and Azide free (AB317249)
  • IHC-P

Supplier Data

Immunohistochemistry (Formalin/PFA-fixed paraffin-embedded sections) - Anti-IL-4I1/LAO antibody [EPR26368-90] - BSA and Azide free (AB317249)

This data was developed using ab317248, the same antibody clone in a different buffer formulation.

Immunohistochemical analysis of paraffin-embedded Mouse spleen tissue labeling IL-4I1/LAO with ab317248 at 1/1000 (0.5 ug/ml) dilution, followed by a ready to use LeicaDS9800 (Bond™ Polymer Refine Detection).

Positive staining on macrophages of mouse spleen (PMID : 19436310, PMID : 20683900). The section was incubated with ab317248 for 30 mins at room temperature.
The immunostaining was performed on a Leica Biosystems BOND® RX instrument.

Counterstained with Hematoxylin.

Secondary antibody only control : Secondary antibody is a ready to use LeicaDS9800 (Bond™ Polymer Refine Detection).

Heat mediated antigen retrieval was performed with Tris-EDTA buffer (pH 9.0, Epitope Retrieval Solution2) for 20 mins.

Western blot - Anti-IL-4I1/LAO antibody [EPR26368-90] - BSA and Azide free (AB317249)
  • WB

Supplier Data

Western blot - Anti-IL-4I1/LAO antibody [EPR26368-90] - BSA and Azide free (AB317249)

This data was developed using ab317248, the same antibody clone in a different buffer formulation.

Low expression : heart, lung (PMID : 16029492).

The identity of the higher MW band at approximately 110 kDa is unknown.

In Western blot, Anti-Vinculin antibody [EPR8185] (ab129002) staining at 1/10000 dilution.

All lanes:

Western blot - Anti-IL-4I1/LAO antibody [EPR26368-90] (<a href='/en-us/products/primary-antibodies/il-4i1-lao-antibody-epr26368-90-ab317248'>ab317248</a>) at 1/1000 dilution

Lane 1:

Mouse testis tissue lysate at 20 µg

Lane 2:

Mouse heart tissue lysate at 20 µg

Lane 3:

Mouse lung tissue lysate at 20 µg

Lane 4:

Untreated RAW 264.7 (mouse abelson murine leukemia virus-induced tumor macrophage) whole cell lysate at 20 µg

Lane 5:

RAW 264.7 treated with /ml mouse IL-4 for 24 hours whole cell lysate at 20 µg

Secondary

All lanes:

Western blot - Goat Anti-Rabbit IgG H&L (HRP) (<a href='/en-us/products/secondary-antibodies/goat-rabbit-igg-h-l-hrp-ab97051'>ab97051</a>) at 1/20000 dilution

Observed band size: 75 kDa,124 kDa

false

Exposure time: 180s

Key facts

Host species

Rabbit

Clonality

Monoclonal

Clone number

EPR26368-90

Isotype

IgG

Carrier free

Yes

Reacts with

Mouse

Applications

IHC-P, WB

applications

Immunogen

The exact immunogen used to generate this antibody is proprietary information.

Reactivity data

{ "title": "Reactivity Data", "filters": { "stats": ["", "Species", "Dilution Info", "Notes"], "tabs": { "all-applications": {"fullname" : "All Applications", "shortname": "All Applications"}, "WB" : {"fullname" : "Western blot", "shortname":"WB"}, "IHCP" : {"fullname" : "Immunohistochemistry (Formalin/PFA-fixed paraffin-embedded sections)", "shortname":"IHC-P"}, "ICCIF" : {"fullname" : "Immunocytochemistry/ Immunofluorescence", "shortname":"ICC/IF"}, "FlowCytIntra" : {"fullname" : "Flow Cytometry (Intracellular)", "shortname":"Flow Cyt (Intra)"}, "IP" : {"fullname" : "Immunoprecipitation", "shortname":"IP"} }, "product-promise": { "all": "all", "testedAndGuaranteed": "tested", "guaranteed": "expected", "predicted": "predicted", "notRecommended": "not-recommended" } }, "values": { "Human": { "WB-species-checked": "notRecommended", "WB-species-dilution-info": "", "WB-species-notes": "<p></p>", "IHCP-species-checked": "notRecommended", "IHCP-species-dilution-info": "", "IHCP-species-notes": "<p></p>", "ICCIF-species-checked": "notRecommended", "ICCIF-species-dilution-info": "", "ICCIF-species-notes": "", "FlowCytIntra-species-checked": "notRecommended", "FlowCytIntra-species-dilution-info": "", "FlowCytIntra-species-notes": "", "IP-species-checked": "notRecommended", "IP-species-dilution-info": "", "IP-species-notes": "" }, "Mouse": { "WB-species-checked": "testedAndGuaranteed", "WB-species-dilution-info": "", "WB-species-notes": "<p></p>", "IHCP-species-checked": "testedAndGuaranteed", "IHCP-species-dilution-info": "", "IHCP-species-notes": "<p></p>", "ICCIF-species-checked": "notRecommended", "ICCIF-species-dilution-info": "", "ICCIF-species-notes": "<p></p>", "FlowCytIntra-species-checked": "notRecommended", "FlowCytIntra-species-dilution-info": "", "FlowCytIntra-species-notes": "<p></p>", "IP-species-checked": "notRecommended", "IP-species-dilution-info": "", "IP-species-notes": "<p></p>" }, "Rat": { "WB-species-checked": "notRecommended", "WB-species-dilution-info": "", "WB-species-notes": "<p></p>", "IHCP-species-checked": "notRecommended", "IHCP-species-dilution-info": "", "IHCP-species-notes": "<p></p>", "ICCIF-species-checked": "notRecommended", "ICCIF-species-dilution-info": "", "ICCIF-species-notes": "", "FlowCytIntra-species-checked": "notRecommended", "FlowCytIntra-species-dilution-info": "", "FlowCytIntra-species-notes": "", "IP-species-checked": "notRecommended", "IP-species-dilution-info": "", "IP-species-notes": "" } } }

Product details

ab317249 is the carrirer-free version of ab317248.

Patented technology
Our RabMAb® technology is a patented hybridoma-based technology for making rabbit monoclonal antibodies. For details on our patents, please refer to RabMAb® patents.

What are the advantages of a recombinant monoclonal antibody?
This product is a recombinant monoclonal antibody, which offers several advantages including:

  • - High batch-to-batch consistency and reproducibility
  • - Improved sensitivity and specificity
  • - Long-term security of supply
  • - Animal-free batch production

For more information, read more on recombinant antibodies.

Conjugation ready
Our carrier-free antibodies are typically supplied in a PBS-only formulation, purified and free of BSA, sodium azide and glycerol. This conjugation-ready format is designed for use with fluorochromes, metal isotopes, oligonucleotides, and enzymes, which makes them ideal for antibody labelling, functional and cell-based assays, flow-based assays (e.g. mass cytometry) and Multiplex Imaging applications.

Use our conjugation kits for antibody conjugates that are ready-to-use in as little as 20 minutes with 1 minute hands-on-time and 100% antibody recovery: available for fluorescent dyes, HRP, biotin and gold.

Compatibility
This product is compatible with the Maxpar® Antibody Labeling Kit from Fluidigm, without the need for antibody preparation. Maxpar® is a trademark of Fluidigm Canada Inc.

Properties and storage information

Form
Liquid
Purification technique
Affinity purification Protein A
Storage buffer
pH: 7.2 - 7.4 Constituents: PBS
Shipped at conditions
Blue Ice
Appropriate short-term storage conditions
+4°C
Appropriate long-term storage conditions
+4°C

Product protocols

For this product, it's our understanding that no specific protocols are required. You can visit:

Target data

Secreted L-amino-acid oxidase that acts as a key immunoregulator (PubMed : 32818467). Has preference for L-aromatic amino acids : converts phenylalanine (Phe), tyrosine (Tyr) and tryptophan (Trp) to phenylpyruvic acid (PP), hydroxyphenylpyruvic acid (HPP), and indole-3-pyruvic acid (I3P), respectively (PubMed : 15383589). Also has weak L-arginine oxidase activity (By similarity). Acts as a negative regulator of anti-tumor immunity by mediating Trp degradation via an indole pyruvate pathway that activates the transcription factor AHR (PubMed : 21469114, PubMed : 28405502, PubMed : 32818467). IL4I1-mediated Trp catabolism generates I3P, giving rise to indole metabolites (indole-3-acetic acid (IAA) and indole-3-aldehyde (I3A)) and kynurenic acid, which act as ligands for AHR, a ligand-activated transcription factor that plays important roles in immunity and cancer (By similarity). AHR activation by indoles following IL4I1-mediated Trp degradation enhances tumor progression by promoting cancer cell motility and suppressing adaptive immunity (PubMed : 32818467). Also has an immunoregulatory function in some immune cell, probably by mediating Trp degradation and promoting downstream AHR activation : inhibits T-cell activation and proliferation, promotes the differentiation of naive CD4(+) T-cells into FOXP3(+) regulatory T-cells (Treg) and regulates the development and function of B-cells (PubMed : 25778793, PubMed : 29288206). Also regulates M2 macrophage polarization by inhibiting T-cell activation (PubMed : 26599209). Also has antibacterial properties by inhibiting growth of Gram negative and Gram positive bacteria through the production of NH4(+) and H2O2 (By similarity).
See full target information IL-4I1/LAO

Product promise

We are committed to supporting your work with high-quality reagents, and we're here for you every step of the way. In the unlikely event that one of our products does not perform as expected, you're protected by our Product Promise.
For full details, please see our Terms & Conditions

Please note: All products are 'FOR RESEARCH USE ONLY. NOT FOR USE IN DIAGNOSTIC OR THERAPEUTIC PROCEDURES'.

For licensing inquiries, please contact partnerships@abcam.com