JavaScript is disabled in your browser. Please enable JavaScript to view this website.
AB290750

Anti-IL-6 antibody [EPR23819-103] - BSA and Azide free

0

(1 Review)

|

(1 Publication)

Rabbit Recombinant Monoclonal IL-6 antibody. Carrier free. Suitable for IHC-Fr, ICC/IF, WB, IHC-P and reacts with Mouse samples. Cited in 1 publication.

View Alternative Names

Il-6, Il6, Interleukin-6, IL-6, B-cell hybridoma growth factor, Interleukin HP-1

8 Images
Immunohistochemistry (Formalin/PFA-fixed paraffin-embedded sections) - Anti-IL-6 antibody [EPR23819-103] - BSA and Azide free (AB290750)
  • IHC-P

Supplier Data

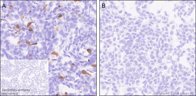
Immunohistochemistry (Formalin/PFA-fixed paraffin-embedded sections) - Anti-IL-6 antibody [EPR23819-103] - BSA and Azide free (AB290750)

This data was developed using ab290735, the same antibody clone in a different buffer formulation.

Immunohistochemical analysis of paraffin-embedded (A) HEK-293T cells transfected with mouse IL-6 expression vector containing a his tag, labelling IL-6 with ab290735 at 1/100 (5.75 ug/ml) followed by a ready to use LeicaDS9800 (Bond™ Polymer Refine Detection). Positive staining on HEK-293T cells transfected with mouse IL-6 expression vector containing a his tag (A). No staining on HEK-293T cells transfected with empty vector containing a his tag (B). The section was incubated with ab290735 for 30 mins at room temperature.The immunostaining was performed on a Leica Biosystems BOND® RX instrument Counterstained with Hematoxylin.

Secondary antibody only control : Secondary antibody is a ready to use LeicaDS9800 (BOND™ Polymer Refine Detection).

Heat mediated antigen retrieval with Tris-EDTA buffer (pH 9.0, epitope retrieval solution 2) for 20 mins

Immunocytochemistry/ Immunofluorescence - Anti-IL-6 antibody [EPR23819-103] - BSA and Azide free (AB290750)
  • ICC/IF

Supplier Data

Immunocytochemistry/ Immunofluorescence - Anti-IL-6 antibody [EPR23819-103] - BSA and Azide free (AB290750)

This data was developed using ab290735, the same antibody clone in a different buffer formulation.

Immunofluorescent analysis of 4% Paraformaldehyde-fixed, 0.1% TritonX-100 permeilized RAW 264.7 (mouse Abelson murine leukemia virus-induced tumor macrophage) cells lebelling IL-6 with ab290735 at 1/50 (11.5 ug/ml) dilution, followed by ab150081 Goat Anti-Rabbit IgG H&L (Alexa Fluor® 488) preadsorbed antibody at 1/1000 (2ug/ml dilution) (Green). Confocal image showing cytoplasmic staining in RAW 264.7 cells treated with LPS (100 ng/ml) for 4h, with addition of BFA (1 ug/ml) for the last 3 hours is observed. ab195889 Anti-alpha Tubulin mouse monoclonal antibody - Microtubule Marker (Alexa Fluor® 594) was used to counterstain tubulin at 1/200 (2.5ug/ml) dilution (Red). The Nuclear counterstain was DAPI (Blue).

Secondary antibody only control : Secondary antibody is ab150081 Goat Anti-Rabbit IgG H&L (Alexa Fluor® 488) preadsorbed at 1/1000 (2ug/ml) dilution.

Immunohistochemistry (Formalin/PFA-fixed paraffin-embedded sections) - Anti-IL-6 antibody [EPR23819-103] - BSA and Azide free (AB290750)
  • IHC-P

Supplier Data

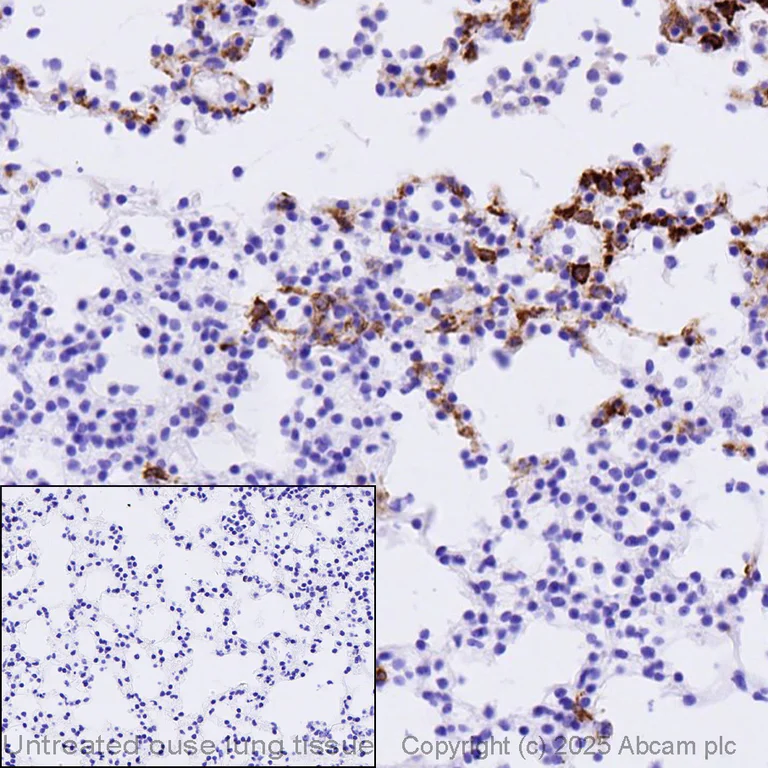
Immunohistochemistry (Formalin/PFA-fixed paraffin-embedded sections) - Anti-IL-6 antibody [EPR23819-103] - BSA and Azide free (AB290750)

This data was developed using ab290735, the same antibody clone in a different buffer formulation.

Immunohistochemical analysis of paraffin-embedded Mouse lung tissue treated labelling IL-6 with ab290735 at 1/100 (5.75 ug/ml) followed by a ready to use LeicaDS9800 (BOND™ Polymer Refine Detection). Positive staining on Mouse lung treated with lipopolysaccharides (1 ug/ml) for 16 h in vitro (A) and no staining on untreated mouse lung (B) . The section was incubated with ab290735 for 30 mins at room temperature.The immunostaining was performed on a Leica Biosystems BOND® RX instrument Counterstained with Hematoxylin.

Secondary antibody only control : Secondary antibody is a ready to use LeicaDS9800 (BOND™ Polymer Refine Detection).

Heat mediated antigen retrieval with Tris-EDTA buffer (pH 9.0, epitope retrieval solution 2) for 20 mins

Immunohistochemistry (Formalin/PFA-fixed paraffin-embedded sections) - Anti-IL-6 antibody [EPR23819-103] - BSA and Azide free (AB290750)
  • IHC-P

Lab

Immunohistochemistry (Formalin/PFA-fixed paraffin-embedded sections) - Anti-IL-6 antibody [EPR23819-103] - BSA and Azide free (AB290750)

This data was developed using ab290735 the same antibody clone in a different buffer formulation.

Immunohistochemical analysis of formalin fixed paraffin embedded lipopolysaccharide (1 ug/ml) treated mouse lung labelling IL-6 with ab290735 at a concentration of 4µg/ml. The immunostaining was performed on a Ventana DISCOVERY ULTRA (Roche Tissue Diagnostics) instrument with a ChromoMap DAB kit and anti-rabbit HQ and anti-HQ HRP detection. Heat mediated antigen retrieval was performed with DISCOVERY cell conditioning solution (CC1) 100°C, pH8.5 for 32mins. ab290735 Anti-IL-6 antibody [EPR23819-103] was incubated for 16mins at 37°C. Sections were counterstained with Hematoxylin II. Image inset shows absence of staining in untreated tissues. Customers are encouraged to optimise antigen retrieval conditions, antibody concentration, incubation times and temperature for best results in their own IHC assay workflow (automated and manual).

Immunohistochemistry (Formalin/PFA-fixed paraffin-embedded sections) - Anti-IL-6 antibody [EPR23819-103] - BSA and Azide free (AB290750)
  • IHC-P

Supplier Data

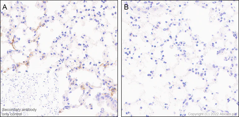
Immunohistochemistry (Formalin/PFA-fixed paraffin-embedded sections) - Anti-IL-6 antibody [EPR23819-103] - BSA and Azide free (AB290750)

This data was developed using ab290735, the same antibody clone in a different buffer formulation.

Immunohistochemical analysis of paraffin-embedded Mouse spleen treated tissue labelling IL-6 with ab290735 at 1/100 (5.75 ug/ml) followed by a ready to use LeicaDS9800 (BOND™ Polymer Refine Detection)

Positive staining on mouse spleen treated with lipopolysaccharides (1 ug/ml) for 16 h in vitro (A) and no staining on untreated mouse spleen (B). The section was incubated with ab290735 for 30 mins at room temperature. The immunostaining was performed on a Leica Biosystems BOND® RX instrument Counterstained with Hematoxylin.

Secondary antibody only control : Secondary antibody is a ready to use LeicaDS9800 (BOND™ Polymer Refine Detection).

Heat mediated antigen retrieval with Tris-EDTA buffer (pH 9.0, epitope retrieval solution2) for 20 mins

Immunohistochemistry (Frozen sections) - Anti-IL-6 antibody [EPR23819-103] - BSA and Azide free (AB290750)
  • IHC-Fr

Lab

Immunohistochemistry (Frozen sections) - Anti-IL-6 antibody [EPR23819-103] - BSA and Azide free (AB290750)

Immunohistochemical analysis of 4% PFA-fixed, 0.2% Triton X-100 permeabilized fresh mouse spleen tissue labeling IL-6 with ab290735 at 1/50 dilution followed by ab150081 Goat Anti-Rabbit IgG H&L (Alexa Fluor® 488) preadsorbed secondary at 1/1000. Increased staining on mouse spleen treated with lipopolysaccharide (1 μg/mL) and Brefeldin A (1 μg/mL) for 16 h. The nuclear counterstain was DAPI (Blue). This data was developed using ab290735, the same antibody clone in a different buffer formulation.

Western blot - Anti-IL-6 antibody [EPR23819-103] - BSA and Azide free (AB290750)
  • WB

Lab

Western blot - Anti-IL-6 antibody [EPR23819-103] - BSA and Azide free (AB290750)

This data was developed using ab290735, the same antibody clone in a different buffer formulation.

Blocking / Dilution buffer and concentration : 5% NFDM/TBST.

The expression profile/molecular weight observed is consistent with that described in the literature (PMID : 2523818, PMID : 25130514).
IL6 expressed in LPS-induced RAW264.7 cells (PMID : 31718640, PMID : 30823686).

All lanes:

Western blot - Anti-IL-6 antibody [EPR23819-103] (<a href='/en-us/products/primary-antibodies/il-6-antibody-epr23819-103-ab290735'>ab290735</a>) at 1/1000 dilution

Lane 1:

Untreated RAW264.7 (mouse Abelson murine leukemia virus-induced tumor macrophage) whole cell lysate. at 20 µg

Lane 2:

RAW264.7 treated with 0.1µg/ml lipopolysaccharide (LPS) for 4 hours, then with 1 µg/ml Brefeldin A (BFA) added for 3 hours whole cell lysate. at 20 µg

Secondary

All lanes:

Western blot - Goat Anti-Rabbit IgG H&L (HRP) (<a href='/en-us/products/secondary-antibodies/goat-rabbit-igg-h-l-hrp-ab97051'>ab97051</a>) at 1/20 dilution

Predicted band size: 23 kDa

Observed band size: 24 kDa

false

Exposure time: 3min

Western blot - Anti-IL-6 antibody [EPR23819-103] - BSA and Azide free (AB290750)
  • WB

Lab

Western blot - Anti-IL-6 antibody [EPR23819-103] - BSA and Azide free (AB290750)

Blocking buffer and concentration : 5% NFDM/TBST
Diluting buffer and concentration : 5% NFDM/TBST

Lanes 1-2 : Anti-IL-6 antibody [EPR23819-103] (ab290735) at 1/1000 dilution
Lanes 3-4 : Anti-IL-6 antibody [EPR21710] (ab229381) at 1/1000 dilution
Lanes 5-6 : Anti-IL-6 antibody [EPR23819-11] (ab259341) at 1/1000 dilution

The expression profile/molecular weight observed is consistent with that described in the literature (PMID : 2523818, PMID : 25130514).
IL-6 expressed in LPS-induced RAW264.7 cells (PMID : 31718640, PMID : 30823686).

Compared with ab290735, ab229381 and ab259341 have higher affinity. We recommend ab229381 or ab259341 as alternatives for western blot.

This data was developed using ab290735, the same antibody clone in a different buffer formulation.

All lanes:

Western blot - Anti-IL-6 antibody [EPR23819-103] (<a href='/en-us/products/primary-antibodies/il-6-antibody-epr23819-103-ab290735'>ab290735</a>) at 1/1000 dilution

Lanes 1, 3 and 5:

Untreated RAW264.7 (mouse Abelson murine leukemia virus-induced tumor macrophage) whole cell lysate at 20 µg

Lanes 2, 4 and 6:

RAW264.7 treated with 0.1µg/ml lipopolysaccharide (LPS) for 4 hours, then with 1 µg/ml Brefeldin A (BFA) added for 3 hours, whole cell lysate at 20 µg

Secondary

All lanes:

Western blot - Goat Anti-Rabbit IgG H&L (HRP) (<a href='/en-us/products/secondary-antibodies/goat-rabbit-igg-h-l-hrp-ab97051'>ab97051</a>) at 1/20000 dilution

Predicted band size: 23 kDa

Observed band size: 24 kDa

false

Exposure time: 3min

Key facts

Host species

Rabbit

Clonality

Monoclonal

Clone number

EPR23819-103

Isotype

IgG

Carrier free

Yes

Reacts with

Mouse

Applications

IHC-Fr, IHC-P, WB, ICC/IF

applications

Immunogen

The exact immunogen used to generate this antibody is proprietary information.

Reactivity data

{ "title": "Reactivity Data", "filters": { "stats": ["", "Species", "Dilution Info", "Notes"], "tabs": { "all-applications": {"fullname" : "All Applications", "shortname": "All Applications"}, "IHCFr" : {"fullname" : "Immunohistochemistry (Frozen sections)", "shortname":"IHC-Fr"}, "ICCIF" : {"fullname" : "Immunocytochemistry/ Immunofluorescence", "shortname":"ICC/IF"}, "IP" : {"fullname" : "Immunoprecipitation", "shortname":"IP"}, "WB" : {"fullname" : "Western blot", "shortname":"WB"}, "IHCP" : {"fullname" : "Immunohistochemistry (Formalin/PFA-fixed paraffin-embedded sections)", "shortname":"IHC-P"}, "FlowCytIntra" : {"fullname" : "Flow Cytometry (Intracellular)", "shortname":"Flow Cyt (Intra)"} }, "product-promise": { "all": "all", "testedAndGuaranteed": "tested", "guaranteed": "expected", "predicted": "predicted", "notRecommended": "not-recommended" } }, "values": { "Human": { "IHCFr-species-checked": "notRecommended", "IHCFr-species-dilution-info": "", "IHCFr-species-notes": "", "ICCIF-species-checked": "notRecommended", "ICCIF-species-dilution-info": "1/50", "ICCIF-species-notes": "<p></p>", "IP-species-checked": "notRecommended", "IP-species-dilution-info": "", "IP-species-notes": "", "WB-species-checked": "notRecommended", "WB-species-dilution-info": "", "WB-species-notes": "", "IHCP-species-checked": "notRecommended", "IHCP-species-dilution-info": "1/100", "IHCP-species-notes": "<p></p> Perform heat-mediated antigen retrieval with Tris/EDTA buffer pH 9.0 before commencing with IHC staining protocol.", "FlowCytIntra-species-checked": "notRecommended", "FlowCytIntra-species-dilution-info": "", "FlowCytIntra-species-notes": "<p></p>" }, "Mouse": { "IHCFr-species-checked": "testedAndGuaranteed", "IHCFr-species-dilution-info": "", "IHCFr-species-notes": "<p></p>", "ICCIF-species-checked": "testedAndGuaranteed", "ICCIF-species-dilution-info": "1/50", "ICCIF-species-notes": "<p></p>", "IP-species-checked": "notRecommended", "IP-species-dilution-info": "", "IP-species-notes": "<p></p>", "WB-species-checked": "testedAndGuaranteed", "WB-species-dilution-info": "1/1000", "WB-species-notes": "<p>Compared with <a href='/en-us/products/primary-antibodies/il-6-antibody-epr23819-103-ab290735'>ab290735</a>, <a href='/en-us/products/primary-antibodies/il-6-antibody-epr21710-ab229381'>ab229381</a> and <a href='/en-us/products/primary-antibodies/il-6-antibody-epr23819-11-ab259341'>ab259341</a> have higher affinity. We recommend <a href='/en-us/products/primary-antibodies/il-6-antibody-epr21710-ab229381'>ab229381</a> or <a href='/en-us/products/primary-antibodies/il-6-antibody-epr23819-11-ab259341'>ab259341</a> as alternatives for western blot.</p>", "IHCP-species-checked": "testedAndGuaranteed", "IHCP-species-dilution-info": "1/100", "IHCP-species-notes": "<p></p>", "FlowCytIntra-species-checked": "notRecommended", "FlowCytIntra-species-dilution-info": "", "FlowCytIntra-species-notes": "<p></p>" }, "Rat": { "IHCFr-species-checked": "notRecommended", "IHCFr-species-dilution-info": "", "IHCFr-species-notes": "", "ICCIF-species-checked": "notRecommended", "ICCIF-species-dilution-info": "", "ICCIF-species-notes": "", "IP-species-checked": "notRecommended", "IP-species-dilution-info": "", "IP-species-notes": "", "WB-species-checked": "notRecommended", "WB-species-dilution-info": "", "WB-species-notes": "", "IHCP-species-checked": "notRecommended", "IHCP-species-dilution-info": "1/100", "IHCP-species-notes": "<p></p> Perform heat-mediated antigen retrieval with Tris/EDTA buffer pH 9.0 before commencing with IHC staining protocol.", "FlowCytIntra-species-checked": "notRecommended", "FlowCytIntra-species-dilution-info": "", "FlowCytIntra-species-notes": "" } } }

Product details

Patented technology
Our RabMAb® technology is a patented hybridoma-based technology for making rabbit monoclonal antibodies. For details on our patents, please refer to RabMAb® patents.

What are the advantages of a recombinant monoclonal antibody?
This product is a recombinant monoclonal antibody, which offers several advantages including:

  • - High batch-to-batch consistency and reproducibility
  • - Improved sensitivity and specificity
  • - Long-term security of supply
  • - Animal-free batch production

For more information, read more on recombinant antibodies.

Conjugation ready
Our carrier-free antibodies are typically supplied in a PBS-only formulation, purified and free of BSA, sodium azide and glycerol. This conjugation-ready format is designed for use with fluorochromes, metal isotopes, oligonucleotides, and enzymes, which makes them ideal for antibody labelling, functional and cell-based assays, flow-based assays (e.g. mass cytometry) and Multiplex Imaging applications.

Use our conjugation kits for antibody conjugates that are ready-to-use in as little as 20 minutes with 1 minute hands-on-time and 100% antibody recovery: available for fluorescent dyes, HRP, biotin and gold.

Compatibility
This product is compatible with the Maxpar® Antibody Labeling Kit from Fluidigm, without the need for antibody preparation. Maxpar® is a trademark of Fluidigm Canada Inc.

Properties and storage information

Form
Liquid
Purification technique
Affinity purification Protein A
Storage buffer
pH: 7.2 - 7.4 Constituents: PBS
Shipped at conditions
Blue Ice
Appropriate short-term storage conditions
+4°C
Appropriate long-term storage conditions
+4°C

Supplementary information

This supplementary information is collated from multiple sources and compiled automatically.

Interleukin-6 (IL-6) a cytokine also known as IFN-beta2 plays a significant role in immune response and inflammation. The IL-6 protein has a molecular weight of approximately 20-26 kDa. Expression of IL-6 occurs in various cell types including T cells macrophages and fibroblasts. Researchers often measure IL-6 levels in biological samples using IL-6 ELISA kits an essential tool for studying this protein’s function and presence in experimental and clinical settings.
Biological function summary

IL-6 influences immune regulation and acts as part of the acute phase response. It stimulates the production of acute-phase proteins and supports the differentiation of B cells into antibody-producing cells. IL-6 is not known to be part of a larger complex acting primarily as a single entity in signal transduction. Moreover IL-6 impacts the metabolism of iron and bone homeostasis showing its multifunctional nature.

Pathways

IL-6 forms an integral part of several signaling routes particularly the JAK-STAT pathway. In this context IL-6 interacts with signal transducer proteins like STAT3 to transmit signals from the cell surface to the nucleus affecting gene expression. Another important pathway is the MAPK pathway through which IL-6 influences cell proliferation and survival. These interactions reflect IL-6's diverse effects in cellular processes.

IL-6's association with rheumatoid arthritis and multiple myeloma emphasizes its role in chronic inflammation and cancer. In rheumatoid arthritis IL-6 contributes to inflammation and joint damage often together with TNF-alpha highlighting a potential target for anti-inflammatory therapies. In multiple myeloma IL-6 supports the survival and proliferation of cancerous plasma cells highlighting its importance in cancer progression and possible treatment targets.

Product protocols

For this product, it's our understanding that no specific protocols are required. You can visit:

Target data

Cytokine with a wide variety of biological functions in immunity, tissue regeneration, and metabolism (Probable). Binds to IL6R, then the complex associates to the signaling subunit IL6ST/gp130 to trigger the intracellular IL6-signaling pathway (PubMed : 8910279). The interaction with the membrane-bound IL6R and IL6ST stimulates 'classic signaling', whereas the binding of IL6 and soluble IL6R to IL6ST stimulates 'trans-signaling'. Alternatively, 'cluster signaling' occurs when membrane-bound IL6 : IL6R complexes on transmitter cells activate IL6ST receptors on neighboring receiver cells (PubMed : 27893700).. IL6 is a potent inducer of the acute phase response. Rapid production of IL6 contributes to host defense during infection and tissue injury, but excessive IL6 synthesis is involved in disease pathology. In the innate immune response, is synthesized by myeloid cells, such as macrophages and dendritic cells, upon recognition of pathogens through toll-like receptors (TLRs) at the site of infection or tissue injury. In the adaptive immune response, is required for the differentiation of B-cells into immunoglolin-secreting cells (Probable). Plays a major role in the differentiation of CD4(+) T cell subsets. Essential factor for the development of T follicular helper (Tfh) cells that are required for the induction of germinal-center formation. Together with IL21, controls the early generation of Tfh cells and are critical for an effective antibody response to acute viral infection (PubMed : 23045607). Required to drive naive CD4(+) T cells to the Th17 lineage, through 'cluster signaling' by dendritic cells (PubMed : 16990136, PubMed : 27893700). Also required for proliferation of myeloma cells and the survival of plasmablast cells (Probable).. Acts as an essential factor in bone homeostasis and on vessels directly or indirectly by induction of VEGF, resulting in increased angiogenesis activity and vascular permeability. Induces, through 'trans-signaling' and synergistically with IL1B and TNF, the production of VEGF (PubMed : 17075861). Involved in metabolic controls, is discharged into the bloodstream after muscle contraction increasing lipolysis and improving insulin resistance (PubMed : 11786910). 'Trans-signaling' in central nervous system regulates energy and glucose homeostasis (PubMed : 28402851). Mediates, through GLP-1, crosstalk between insulin-sensitive tissues, intestinal L cells and pancreatic islets to adapt to changes in insulin demand (PubMed : 11113088). Also acts as a myokine (By similarity). Plays a protective role during liver injury, being required for maintenance of tissue regeneration (PubMed : 11113088, PubMed : 8910279). Also has a pivotal role in iron metabolism by regulating HAMP/hepcidin expression upon inflammation or bacterial infection (PubMed : 15124018). Through activation of IL6ST-YAP-NOTCH pathway, induces inflammation-induced epithelial regeneration (By similarity).
See full target information Il6

Publications (1)

Recent publications for all applications. Explore the full list and refine your search

Naunyn-Schmiedeberg's archives of pharmacology 396:1461-1470 PubMed36749400

2023

Dapagliflozin protects against dilated cardiomyopathy progression by targeting NLRP3 inflammasome activation.

Applications

Unspecified application

Species

Unspecified reactive species

Jiaxin Hu,Jiamin Xu,Xi Tan,Dong Li,Dejiang Yao,Biao Xu,Yuhua Lei
View all publications

Product promise

We are committed to supporting your work with high-quality reagents, and we're here for you every step of the way. In the unlikely event that one of our products does not perform as expected, you're protected by our Product Promise.
For full details, please see our Terms & Conditions

Please note: All products are 'FOR RESEARCH USE ONLY. NOT FOR USE IN DIAGNOSTIC OR THERAPEUTIC PROCEDURES'.

For licensing inquiries, please contact partnerships@abcam.com