JavaScript is disabled in your browser. Please enable JavaScript to view this website.
AB259341

Anti-IL-6 antibody [EPR23819-11]

Be the first to review this product! Submit a review

|

(82 Publications)

Anti-IL-6 antibody [EPR23819-11] (ab259341) is a rabbit monoclonal antibody detecting IL-6 in Western Blot, IP. Suitable for Mouse, Rat.

- Biophysical QC for unrivalled batch-batch consistency
- Over 30 publications

View Alternative Names

IFNB2, IL6, Interleukin-6, IL-6, B-cell stimulatory factor 2, CTL differentiation factor, Hybridoma growth factor, Interferon beta-2, BSF-2, CDF, IFN-beta-2

5 Images
Immunoprecipitation - Anti-IL-6 antibody [EPR23819-11] (AB259341)
  • IP

Supplier Data

Immunoprecipitation - Anti-IL-6 antibody [EPR23819-11] (AB259341)

IL-6 was immunoprecipitated from 0.35 mg RAW264.7 (mouse Abelson murine leukemia virus-induced tumor macrophage) treated with 0.1 μg/ml lipopolysaccharide (LPS) for 4 hours, then with 1 ug/ml Brefeldin A (BFA) added for 3 hours whole cell lysate 10 ug with ab259341 at 1/30 dilution (2ug in 0.35mg lysates). Western blot was performed on the immunoprecipitate using ab259341 at 1/1000 dilution. VeriBlot for IP secondary antibody(HRP)(ab131366) was used at 1/5000 dilution.

Lane 1 : RAW264.7 (mouse Abelson murine leukemia virus-induced tumor macrophage) treated with 0.1 ug/ml lipopolysaccharide (LPS) for 4 hours, then with 1ug/ml Brefeldin A (BFA) added for 3 hours whole cell lysate 10 ug

Lane 2 : ab259341 IP in RAW264.7 treated with 0.1ug/ml lipopolysaccharide (LPS) for 4 hours, then with 1ug/ml Brefeldin A (BFA) added for 3 hours whole cell lysate

Lane 3 : Rabbit monoclonal IgG (ab172730) instead of ab259341 in RAW264.7 treated with 0.1ug/ml lipopolysaccharide (LPS) for 4 hours, then with 1ug/ml Brefeldin A (BFA) added for 3 hours whole cell lysate

Blocking and dilution buffer and concentration : 5% NFDM/TBST.

Exposure time : 3 minutes

All lanes:

Immunoprecipitation - Anti-IL-6 antibody [EPR23819-11] (ab259341)

Predicted band size: 23 kDa

Observed band size: 24 kDa

false

Immunoprecipitation - Anti-IL-6 antibody [EPR23819-11] (AB259341)
  • IP

Supplier Data

Immunoprecipitation - Anti-IL-6 antibody [EPR23819-11] (AB259341)

IL-6 was immunoprecipitated from 0.35 mg NR8383 (rat lung macrophage (alveolar)) treated with 0.1 ug/ml lipopolysaccharide (LPS) for 4 hours, then with 1 ug/ml Brefeldin A (BFA) added for 3 hours whole cell lysate 10 ug with ab259341 at 1/30 dilution (2ug in 0.35mg lysates). Western blot was performed on the immunoprecipitate using ab259341 at 1/1000 dilution. VeriBlot for IP secondary antibody(HRP)(ab131366) was used at 1/5000 dilution.

Lane 1 : NR8383 (rat lung macrophage (alveolar)) treated with 0.1 ug/ml lipopolysaccharide (LPS) for 4 hours, then with 1 ug/ml Brefeldin A (BFA) added for 3 hours whole cell lysate 10 ug

Lane 2 : ab259341 IP in NR8383 treated with 0.1ug/ml lipopolysaccharide (LPS) for 4 hours, then with 1 ug/ml Brefeldin A (BFA) added for 3 hours whole cell lysate

Lane 3 : Rabbit monoclonal IgG (ab172730) instead of ab259341 in NR8383 treated with 0.1ug/ml lipopolysaccharide (LPS) for 4 hours, then with 1 ug/ml Brefeldin A (BFA) added for 3 hours whole cell lysate

Blocking and dilution buffer and concentration : 5% NFDM/TBST.

Exposure time : 3 minutes

All lanes:

Immunoprecipitation - Anti-IL-6 antibody [EPR23819-11] (ab259341)

Predicted band size: 23 kDa

Observed band size: 24 kDa

false

Western blot - Anti-IL-6 antibody [EPR23819-11] (AB259341)
  • WB

Lab

Western blot - Anti-IL-6 antibody [EPR23819-11] (AB259341)

Normal tissues express undetectable level of TNF alpha, IL-1 beta and IL-6 proteins. IL-1 beta and TNF alpha could be good controls validating the increased IL-6 level after drug treatment.

Lanes 1 - 9:

<a href='/en-us/products/primary-antibodies/tnf-alpha-antibody-epr21753-109-ab205587'>ab205587</a> 1:1000 dilution (0.6 ug/ml) and <a href='/en-us/products/primary-antibodies/il-1-beta-antibody-epr23851-127-ab254360'>ab254360</a> 1:1000 dilution (0.5 ug/ml) at 1/1000 dilution

Lanes 1 - 9:

Western blot - Goat Anti-Rabbit IgG H&L (HRP) (<a href='/en-us/products/secondary-antibodies/goat-rabbit-igg-h-l-hrp-ab97051'>ab97051</a>)

Lane 1:

Rat cerebral cortex tissue lysate at 20 µg

Lane 2:

Rat cerebellum tissue lysate at 20 µg

Lane 3:

Rat hippocampus tissue lysate at 20 µg

Lane 4:

Rat spinal cord tissue lysate at 20 µg

Lane 5:

Rat small intestine tissue lysate at 20 µg

Lane 6:

Rat kidney tissue lysate at 20 µg

Lane 7:

Rat skin tissue lysate at 20 µg

Lane 8:

RAW 264.7 (Mouse Abelson murine leukemia virus-induced tumor macrophage) whole cell lysate at 20 µg

Lane 9:

RAW 264.7 (Mouse Abelson murine leukemia virus-induced tumor macrophage) treated with 100ng/ml lipopolysaccharide (LPS) for 4h then add 1000ng/ml BFA for another 3h whole cell lysate at 20 µg

Secondary

All lanes:

Western blot - Goat Anti-Rabbit IgG H&L (HRP) (<a href='/en-us/products/secondary-antibodies/goat-rabbit-igg-h-l-hrp-ab97051'>ab97051</a>) at 1/20000 dilution

Observed band size: 20 kDa

false

Exposure time: 180s

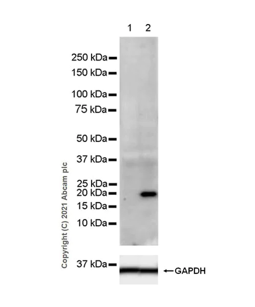
Western blot - Anti-IL-6 antibody [EPR23819-11] (AB259341)
  • WB

Lab

Western blot - Anti-IL-6 antibody [EPR23819-11] (AB259341)

Blocking and diluting buffer and concentration : 5% NFDM/TBST. This blot was developed using a higher sensitivity ECL substrate.

The molecular weight is consistent with what has been described in the literatures (PMID : 2523818, PMID : 25130514)

Exposure time : 3 minutes

All lanes:

Western blot - Anti-IL-6 antibody [EPR23819-11] (ab259341) at 1/1000 dilution

Lane 1:

Untreated NR8383 (rat lung macrophage (alveolar)) whole cell lysate at 20 µg

Lane 2:

NR8383 (rat lung macrophage (alveolar)) treated with 0.1 µg/ml lipopolysaccharide (LPS) for 4 hours, then with 1 μg/ml Brefeldin A (BFA) added for 3 hours whole cell lysate at 20 µg

Secondary

All lanes:

Western blot - Goat Anti-Rabbit IgG H&L (HRP) (<a href='/en-us/products/secondary-antibodies/goat-rabbit-igg-h-l-hrp-ab97051'>ab97051</a>) at 1/20000 dilution

Predicted band size: 23 kDa

Observed band size: 20 kDa

false

Western blot - Anti-IL-6 antibody [EPR23819-11] (AB259341)
  • WB

Lab

Western blot - Anti-IL-6 antibody [EPR23819-11] (AB259341)

Normal tissues express undetectable level of IL-6 protein.

All lanes:

Western blot - Anti-IL-6 antibody [EPR23819-11] (ab259341) at 1/1000 dilution

Lane 1:

Mouse intestine tissue lysate at 20 µg

Lane 2:

Mouse intestine tissue treated with 1ug/ml LPS and 1ug/ml Brefeldin A (BFA) for 16 hours whole cell lysate at 20 µg

Lane 3:

Mouse spleen tissue lysate at 20 µg

Lane 4:

Mouse colon tissue lysate at 20 µg

Lane 5:

Mouse liver tissue lysate at 20 µg

Lane 6:

Mouse brain tissue lysate at 20 µg

Lane 7:

Mouse hypothalamus tissue lysate at 20 µg

Lane 8:

Mouse thymus tissue lysate at 20 µg

Lane 9:

Mouse bladder tissue lysate at 20 µg

Secondary

All lanes:

Western blot - Goat Anti-Rabbit IgG H&L (HRP) (<a href='/en-us/products/secondary-antibodies/goat-rabbit-igg-h-l-hrp-ab97051'>ab97051</a>) at 1/20000 dilution

false

Exposure time: 140s

  • Carrier free

    Anti-IL-6 antibody [EPR23819-11] - BSA and Azide free

Key facts

Host species

Rabbit

Clonality

Monoclonal

Clone number

EPR23819-11

Isotype

IgG

Carrier free

No

Reacts with

Mouse, Rat

Applications

WB, IP

applications

Immunogen

The exact immunogen used to generate this antibody is proprietary information.

Specificity

FURTHER INFORMATION ON SPECIFICITY (Chinese Version) available under the product protocols section. This file includes key technical notes of experience when using this product.

Reactivity data

{ "title": "Reactivity Data", "filters": { "stats": ["", "Species", "Dilution Info", "Notes"], "tabs": { "all-applications": {"fullname" : "All Applications", "shortname": "All Applications"}, "ICCIF" : {"fullname" : "Immunocytochemistry/ Immunofluorescence", "shortname":"ICC/IF"}, "IP" : {"fullname" : "Immunoprecipitation", "shortname":"IP"}, "WB" : {"fullname" : "Western blot", "shortname":"WB"}, "IHCFr" : {"fullname" : "Immunohistochemistry (Frozen sections)", "shortname":"IHC-Fr"}, "FlowCytIntra" : {"fullname" : "Flow Cytometry (Intracellular)", "shortname":"Flow Cyt (Intra)"}, "IHCP" : {"fullname" : "Immunohistochemistry (Formalin/PFA-fixed paraffin-embedded sections)", "shortname":"IHC-P"} }, "product-promise": { "all": "all", "testedAndGuaranteed": "tested", "guaranteed": "expected", "predicted": "predicted", "notRecommended": "not-recommended" } }, "values": { "Mouse": { "ICCIF-species-checked": "notRecommended", "ICCIF-species-dilution-info": "", "ICCIF-species-notes": "<p></p>", "IP-species-checked": "testedAndGuaranteed", "IP-species-dilution-info": "1/30", "IP-species-notes": "<p></p>", "WB-species-checked": "testedAndGuaranteed", "WB-species-dilution-info": "1/1000", "WB-species-notes": "<p></p>", "IHCFr-species-checked": "notRecommended", "IHCFr-species-dilution-info": "", "IHCFr-species-notes": "<p></p>", "FlowCytIntra-species-checked": "notRecommended", "FlowCytIntra-species-dilution-info": "", "FlowCytIntra-species-notes": "<p></p>", "IHCP-species-checked": "notRecommended", "IHCP-species-dilution-info": "", "IHCP-species-notes": "<p></p>" }, "Rat": { "ICCIF-species-checked": "notRecommended", "ICCIF-species-dilution-info": "", "ICCIF-species-notes": "<p></p>", "IP-species-checked": "testedAndGuaranteed", "IP-species-dilution-info": "1/30", "IP-species-notes": "<p></p>", "WB-species-checked": "testedAndGuaranteed", "WB-species-dilution-info": "1/1000", "WB-species-notes": "<p></p>", "IHCFr-species-checked": "notRecommended", "IHCFr-species-dilution-info": "", "IHCFr-species-notes": "<p></p>", "FlowCytIntra-species-checked": "notRecommended", "FlowCytIntra-species-dilution-info": "", "FlowCytIntra-species-notes": "<p></p>", "IHCP-species-checked": "notRecommended", "IHCP-species-dilution-info": "", "IHCP-species-notes": "<p></p>" } } }

Product details

What is this antibody validated in?
Anti-IL-6 antibody [EPR23819-11] (ab259341) is a rabbit recombinant monoclonal antibody and is validated for use in Western Blot (WB), Immunoprecipitation (IP) in Mouse, Rat samples.

What is the molecular weight of IL-6?
Anti-IL-6 [EPR23819-11] (ab259341) specifically detects a band for IL-6 (UniProt: P08505) at a molecular weight of 23kDa.

Trusted by the scientific community
Anti-IL-6 [EPR23819-11] (ab259341) was first used in a scientific publication in 2021 and has been cited over 30 times in peer-reviewed journals.

Trial sizes available!
Test your antibody or perform pre-screening before committing to a larger quantity. Sold in 10µl. Discover our selection of trial-size antibodies.

Other related products
We have a range of other formats of antibody clone [EPR23819-11] also available for your convenience: ab259341, Carrier free - ab281935

Patented technology
Our RabMAb® technology is a patented hybridoma-based technology for making rabbit monoclonal antibodies. For details on our patents, please refer to RabMAb® patents.

What are the advantages of a recombinant monoclonal antibody?
This product is a recombinant monoclonal antibody, which offers several advantages including:

  • - High batch-to-batch consistency and reproducibility
  • - Improved sensitivity and specificity
  • - Long-term security of supply
  • - Animal-free batch production

For more information, read more on recombinant antibodies.

Properties and storage information

Form
Liquid
Purification technique
Affinity purification Protein A
Storage buffer
pH: 7.2 - 7.4 Preservative: 0.01% Sodium azide Constituents: PBS, 40% Glycerol (glycerin, glycerine), 0.05% BSA
Shipped at conditions
Blue Ice
Appropriate short-term storage duration
1-2 weeks
Appropriate short-term storage conditions
+4°C
Appropriate long-term storage conditions
-20°C
Aliquoting information
Upon delivery aliquot
Storage information
Avoid freeze / thaw cycle

Supplementary information

This supplementary information is collated from multiple sources and compiled automatically.

Interleukin-6 (IL-6) a cytokine also known as IFN-beta2 plays a significant role in immune response and inflammation. The IL-6 protein has a molecular weight of approximately 20-26 kDa. Expression of IL-6 occurs in various cell types including T cells macrophages and fibroblasts. Researchers often measure IL-6 levels in biological samples using IL-6 ELISA kits an essential tool for studying this protein's function and presence in experimental and clinical settings.
Biological function summary

IL-6 influences immune regulation and acts as part of the acute phase response. It stimulates the production of acute-phase proteins and supports the differentiation of B cells into antibody-producing cells. IL-6 is not known to be part of a larger complex acting primarily as a single entity in signal transduction. Moreover IL-6 impacts the metabolism of iron and bone homeostasis showing its multifunctional nature.

Pathways

IL-6 forms an integral part of several signaling routes particularly the JAK-STAT pathway. In this context IL-6 interacts with signal transducer proteins like STAT3 to transmit signals from the cell surface to the nucleus affecting gene expression. Another important pathway is the MAPK pathway through which IL-6 influences cell proliferation and survival. These interactions reflect IL-6's diverse effects in cellular processes.

IL-6's association with rheumatoid arthritis and multiple myeloma emphasizes its role in chronic inflammation and cancer. In rheumatoid arthritis IL-6 contributes to inflammation and joint damage often together with TNF-alpha highlighting a potential target for anti-inflammatory therapies. In multiple myeloma IL-6 supports the survival and proliferation of cancerous plasma cells highlighting its importance in cancer progression and possible treatment targets.

Product protocols

For this product, it's our understanding that no specific protocols are required. You can visit:

Target data

Cytokine with a wide variety of biological functions in immunity, tissue regeneration, and metabolism. Binds to IL6R, then the complex associates to the signaling subunit IL6ST/gp130 to trigger the intracellular IL6-signaling pathway (Probable). The interaction with the membrane-bound IL6R and IL6ST stimulates 'classic signaling', whereas the binding of IL6 and soluble IL6R to IL6ST stimulates 'trans-signaling'. Alternatively, 'cluster signaling' occurs when membrane-bound IL6 : IL6R complexes on transmitter cells activate IL6ST receptors on neighboring receiver cells (Probable).. IL6 is a potent inducer of the acute phase response. Rapid production of IL6 contributes to host defense during infection and tissue injury, but excessive IL6 synthesis is involved in disease pathology. In the innate immune response, is synthesized by myeloid cells, such as macrophages and dendritic cells, upon recognition of pathogens through toll-like receptors (TLRs) at the site of infection or tissue injury (Probable). In the adaptive immune response, is required for the differentiation of B cells into immunoglobulin-secreting cells. Plays a major role in the differentiation of CD4(+) T cell subsets. Essential factor for the development of T follicular helper (Tfh) cells that are required for the induction of germinal-center formation. Required to drive naive CD4(+) T cells to the Th17 lineage. Also required for proliferation of myeloma cells and the survival of plasmablast cells (By similarity).. Acts as an essential factor in bone homeostasis and on vessels directly or indirectly by induction of VEGF, resulting in increased angiogenesis activity and vascular permeability (PubMed : 12794819, PubMed : 17075861). Induces, through 'trans-signaling' and synergistically with IL1B and TNF, the production of VEGF (PubMed : 12794819). Involved in metabolic controls, is discharged into the bloodstream after muscle contraction increasing lipolysis and improving insulin resistance (PubMed : 20823453). 'Trans-signaling' in central nervous system also regulates energy and glucose homeostasis (By similarity). Mediates, through GLP-1, crosstalk between insulin-sensitive tissues, intestinal L cells and pancreatic islets to adapt to changes in insulin demand (By similarity). Also acts as a myokine (Probable). Plays a protective role during liver injury, being required for maintenance of tissue regeneration (By similarity). Also has a pivotal role in iron metabolism by regulating HAMP/hepcidin expression upon inflammation or bacterial infection (PubMed : 15124018). Through activation of IL6ST-YAP-NOTCH pathway, induces inflammation-induced epithelial regeneration (By similarity).
See full target information IL6

Publications (82)

Recent publications for all applications. Explore the full list and refine your search

Pulmonary circulation 15:e70171 PubMed41070230

2025

MiR-24 Attenuates Oxidative Stress and Mitochondrial Apoptosis in Ventilator-Induced Lung Injury by Targeting Bcl-2-related Ovarian Killer.

Applications

Unspecified application

Species

Unspecified reactive species

Wenbo Xu,Wenjiao Ren,Lingling Zhang,Bing Wang,Linqi Gao,Dong Yuan

Frontiers in immunology 16:1543288 PubMed40416978

2025

Brown adipocyte exosome - derived C22:6 inhibits the IL-1β signaling pathway to alleviate rheumatoid arthritis.

Applications

Unspecified application

Species

Unspecified reactive species

Rui Jiang,Yuanyuan Huang,Rongcai Ye,Yujian Zhang,Meng Dong,Hanlin Zhang,Ziyu Cheng,Zhi Zhang,Jiaqi Zhang,Qiaoli Zhang,Gang Sun,Wanzhu Jin

Scientific reports 15:16731 PubMed40369118

2025

TRIM21 knockdown alleviates hemorrhage induced hepatic ischemia reperfusion injury by suppressing ferroptosis-induced NETs.

Applications

Unspecified application

Species

Unspecified reactive species

Shikai Wang,Zhipeng Li,Yunxiang Chang,Di He,Kai Dong,Xinsheng Cheng

Frontiers in pharmacology 16:1539032 PubMed40264664

2025

Computational drug repurposing in Parkinson's disease: Omaveloxolone and cyproheptadine as promising therapeutic candidates.

Applications

Unspecified application

Species

Unspecified reactive species

Xin Guo,Jie Wang,Hongyang Fan,Wanying Tao,Zijing Ren,Xingyue Li,Suyu Liu,Peiyang Zhou,Yingzhu Chen

Science advances 11:eadr7208 PubMed40203118

2025

Silicate-based therapy for inflammatory dilated cardiomyopathy by inhibiting the vicious cycle of immune inflammation via FOXO signaling.

Applications

Unspecified application

Species

Unspecified reactive species

Ping Sun,Zhaowenbin Zhang,Fei Gao,Chen Yang,Ge Mang,Shuai Fu,Jiawei Tian,Jiang Chang

Aging cell 24:e70031 PubMed40025898

2025

Diabetes Advances Cardiomyocyte Senescence Through Interfering Rnd3 Expression and Function.

Applications

Unspecified application

Species

Unspecified reactive species

Linxu Wu,Xinglin Zhu,Shanshan Pan,Yan Chen,Cai Luo,Yangyang Zhao,Jingci Xing,Kaijia Shi,Shuya Zhang,Jiaqi Li,Jinxuan Chai,Xuebin Ling,Jianmin Qiu,Yan Wang,Zhihua Shen,Wei Jie,Junli Guo

Biomedical reports 22:50 PubMed39882333

2025

Age‑related changes in endoplasmic reticulum stress response‑associated protein expression in rat tibial nerves.

Applications

Unspecified application

Species

Unspecified reactive species

Masahiro Sakita,Wataru Isobe,Koji Nonaka,Shinichiro Murakami,Ryo Miyachi,Kento Sakane,Saki Sugimoto,Airi Yamaguchi,Koki Yamamoto

Frontiers in pharmacology 15:1483896 PubMed39845783

2025

Ginsenoside Rh2 regulates triple-negative breast cancer proliferation and apoptosis via the IL-6/JAK2/STAT3 pathway.

Applications

Unspecified application

Species

Unspecified reactive species

Rumeng Ding,Quancheng Kan,Ting Wang,Ran Xiao,Yanan Song,Duolu Li

International ophthalmology 44:437 PubMed39578251

2024

Carbonic anhydrase inhibitor alleviates retinal barrier toxicity in paclitaxel-induced retinopathy and macular edema by inhibiting CAXIV.

Applications

Unspecified application

Species

Unspecified reactive species

Ya-Ting Ye,Ya-Li Niu,Zi-Yi Zhou,Yu Sun,Tian-Fang Chang,Yu-Tong Jing,Qian Bai,Zhao-Jie Chu

Frontiers in pharmacology 15:1443472 PubMed39555089

2024

Protective effect of baicalin on oxidative stress injury in retinal ganglion cells through the JAK/STAT signaling pathway and .

Applications

Unspecified application

Species

Unspecified reactive species

Huan Yu,Dan Zhou,Wei Wang,Qingxia Wang,Min Li,Xiaoyun Ma
View all publications
websiteProtocolBooklet
zh

Product promise

We are committed to supporting your work with high-quality reagents, and we're here for you every step of the way. In the unlikely event that one of our products does not perform as expected, you're protected by our Product Promise.
For full details, please see our Terms & Conditions

Please note: All products are 'FOR RESEARCH USE ONLY. NOT FOR USE IN DIAGNOSTIC OR THERAPEUTIC PROCEDURES'.

For licensing inquiries, please contact partnerships@abcam.com