JavaScript is disabled in your browser. Please enable JavaScript to view this website.
AB281935

Anti-IL-6 antibody [EPR23819-11] - BSA and Azide free

Be the first to review this product! Submit a review

|

(3 Publications)

Rabbit Recombinant Monoclonal IL-6 antibody. Carrier free. Suitable for IP, WB and reacts with Mouse, Rat samples. Cited in 3 publications.

View Alternative Names

IFNB2, IL6, Interleukin-6, IL-6, B-cell stimulatory factor 2, CTL differentiation factor, Hybridoma growth factor, Interferon beta-2, BSF-2, CDF, IFN-beta-2

4 Images
Western blot - Anti-IL-6 antibody [EPR23819-11] - BSA and Azide free (AB281935)
  • WB

Lab

Western blot - Anti-IL-6 antibody [EPR23819-11] - BSA and Azide free (AB281935)

This data was developed using ab259341, the same antibody clone in a different buffer formulation.

Blocking and diluting buffer and concentration : 5% NFDM/TBST. This blot was developed using a higher sensitivity ECL substrate.

The molecular weight is consistent with what has been described in the literatures (PMID : 2523818, PMID : 25130514)

Exposure time : 3 minutes

All lanes:

Western blot - Anti-IL-6 antibody [EPR23819-11] (<a href='/en-us/products/primary-antibodies/il-6-antibody-epr23819-11-ab259341'>ab259341</a>) at 1/1000 dilution

Lane 1:

Untreated NR8383 (rat lung macrophage (alveolar)) whole cell lysate at 20 µg

Lane 2:

NR8383 (rat lung macrophage (alveolar)) treated with 0.1 µg/ml lipopolysaccharide (LPS) for 4 hours, then with 1 μg/ml Brefeldin A (BFA) added for 3 hours whole cell lysate at 20 µg

Secondary

All lanes:

Western blot - Goat Anti-Rabbit IgG H&L (HRP) (<a href='/en-us/products/secondary-antibodies/goat-rabbit-igg-h-l-hrp-ab97051'>ab97051</a>) at 1/20000 dilution

Predicted band size: 23 kDa

Observed band size: 20 kDa

false

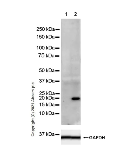
Western blot - Anti-IL-6 antibody [EPR23819-11] - BSA and Azide free (AB281935)
  • WB

Lab

Western blot - Anti-IL-6 antibody [EPR23819-11] - BSA and Azide free (AB281935)

Normal tissues express undetectable level of IL-6 protein. This data was developed using ab259341, the same antibody clone in a different buffer formulation.

All lanes:

Western blot - Anti-IL-6 antibody [EPR23819-11] (<a href='/en-us/products/primary-antibodies/il-6-antibody-epr23819-11-ab259341'>ab259341</a>) at 1/1000 dilution

Lane 1:

Mouse intestine tissue lysate at 20 µg

Lane 2:

Mouse intestine tissue treated with 1ug/ml LPS and 1ug/ml Brefeldin A (BFA) for 16 hours whole cell lysate at 20 µg

Lane 3:

Mouse spleen tissue lysate at 20 µg

Lane 4:

Mouse colon tissue lysate at 20 µg

Lane 5:

Mouse liver tissue lysate at 20 µg

Lane 6:

Mouse brain tissue lysate at 20 µg

Lane 7:

Mouse hypothalamus tissue lysate at 20 µg

Lane 8:

Mouse thymus tissue lysate at 20 µg

Lane 9:

Mouse bladder tissue lysate at 20 µg

Secondary

All lanes:

Western blot - Goat Anti-Rabbit IgG H&L (HRP) (<a href='/en-us/products/secondary-antibodies/goat-rabbit-igg-h-l-hrp-ab97051'>ab97051</a>) at 1/20000 dilution

false

Exposure time: 140s

Immunoprecipitation - Anti-IL-6 antibody [EPR23819-11] - BSA and Azide free (AB281935)
  • IP

Supplier Data

Immunoprecipitation - Anti-IL-6 antibody [EPR23819-11] - BSA and Azide free (AB281935)

This data was developed using ab259341, the same antibody clone in a different buffer formulation.

IL-6 was immunoprecipitated from 0.35 mg RAW264.7 (mouse Abelson murine leukemia virus-induced tumor macrophage) treated with 0.1 μg/ml lipopolysaccharide (LPS) for 4 hours, then with 1ug/ml Brefeldin A (BFA) added for 3 hours whole cell lysate 10 ug with ab259341 at 1/30 dilution (2ug in 0.35mg lysates). Western blot was performed on the immunoprecipitate using ab259341 at 1/1000 dilution. VeriBlot for IP secondary antibody(HRP)(ab131366) was used at 1/5000 dilution.

Lane 1 : RAW264.7 (mouse Abelson murine leukemia virus-induced tumor macrophage) treated with 0.1 μg/ml lipopolysaccharide (LPS) for 4 hours, then with 1ug/ml Brefeldin A (BFA) added for 3 hours whole cell lysate 10 ug

Lane 2 : ab259341 IP in RAW264.7 treated with 0.1 μg/ml lipopolysaccharide (LPS) for 4 hours, then with 1ug/ml Brefeldin A (BFA) added for 3 hours whole cell lysate

Lane 3 : Rabbit monoclonal IgG (ab172730) instead of ab259341 in RAW264.7 treated with 0.1 μg/ml lipopolysaccharide (LPS) for 4 hours, then with 1ug/ml Brefeldin A (BFA) added for 3 hours whole cell lysate

Blocking and dilution buffer and concentration : 5% NFDM/TBST.

Exposure time : 3 minutes

All lanes:

Immunoprecipitation - Anti-IL-6 antibody [EPR23819-11] (<a href='/en-us/products/primary-antibodies/il-6-antibody-epr23819-11-ab259341'>ab259341</a>)

Predicted band size: 23 kDa

Observed band size: 24 kDa

false

Immunoprecipitation - Anti-IL-6 antibody [EPR23819-11] - BSA and Azide free (AB281935)
  • IP

Supplier Data

Immunoprecipitation - Anti-IL-6 antibody [EPR23819-11] - BSA and Azide free (AB281935)

This data was developed using ab259341, the same antibody clone in a different buffer formulation.

IL-6 was immunoprecipitated from 0.35 mg NR8383 (rat lung macrophage (alveolar)) treated with 0.1 μg/ml lipopolysaccharide (LPS) for 4 hours, then with 1 ug/ml Brefeldin A (BFA) added for 3 hours whole cell lysate 10 ug with ab259341 at 1/30 dilution (2ug in 0.35mg lysates). Western blot was performed on the immunoprecipitate using ab259341 at 1/1000 dilution. VeriBlot for IP secondary antibody(HRP)(ab131366) was used at 1/5000 dilution.

Lane 1 : NR8383 (rat lung macrophage (alveolar)) treated with 0.1 μg/ml lipopolysaccharide (LPS) for 4 hours, then with 1 ug/ml Brefeldin A (BFA) added for 3 hours whole cell lysate 10 ug

Lane 2 : ab259341 IP in NR8383 treated with 0.1 μg/ml lipopolysaccharide (LPS) for 4 hours, then with 1 ug/ml Brefeldin A (BFA) added for 3 hours whole cell lysate

Lane 3 : Rabbit monoclonal IgG (ab172730) instead of ab259341 in NR8383 treated with 0.1 μg/ml lipopolysaccharide (LPS) for 4 hours, then with 1 ug/ml Brefeldin A (BFA) added for 3 hours whole cell lysate

Blocking and dilution buffer and concentration : 5% NFDM/TBST.

Exposure time : 3 minutes

All lanes:

Immunoprecipitation - Anti-IL-6 antibody [EPR23819-11] (<a href='/en-us/products/primary-antibodies/il-6-antibody-epr23819-11-ab259341'>ab259341</a>)

Predicted band size: 23 kDa

Observed band size: 24 kDa

false

Key facts

Host species

Rabbit

Clonality

Monoclonal

Clone number

EPR23819-11

Isotype

IgG

Carrier free

Yes

Reacts with

Mouse, Rat

Applications

WB, IP

applications

Immunogen

The exact immunogen used to generate this antibody is proprietary information.

Specificity

FURTHER INFORMATION ON SPECIFICITY (Chinese Version) available under the product protocols section. This file includes key technical notes of experience when using this product.

Reactivity data

{ "title": "Reactivity Data", "filters": { "stats": ["", "Species", "Dilution Info", "Notes"], "tabs": { "all-applications": {"fullname" : "All Applications", "shortname": "All Applications"}, "ICCIF" : {"fullname" : "Immunocytochemistry/ Immunofluorescence", "shortname":"ICC/IF"}, "IP" : {"fullname" : "Immunoprecipitation", "shortname":"IP"}, "WB" : {"fullname" : "Western blot", "shortname":"WB"}, "IHCFr" : {"fullname" : "Immunohistochemistry (Frozen sections)", "shortname":"IHC-Fr"}, "FlowCytIntra" : {"fullname" : "Flow Cytometry (Intracellular)", "shortname":"Flow Cyt (Intra)"}, "IHCP" : {"fullname" : "Immunohistochemistry (Formalin/PFA-fixed paraffin-embedded sections)", "shortname":"IHC-P"} }, "product-promise": { "all": "all", "testedAndGuaranteed": "tested", "guaranteed": "expected", "predicted": "predicted", "notRecommended": "not-recommended" } }, "values": { "Mouse": { "ICCIF-species-checked": "notRecommended", "ICCIF-species-dilution-info": "", "ICCIF-species-notes": "<p></p>", "IP-species-checked": "testedAndGuaranteed", "IP-species-dilution-info": "", "IP-species-notes": "<p></p>", "WB-species-checked": "testedAndGuaranteed", "WB-species-dilution-info": "", "WB-species-notes": "<p></p>", "IHCFr-species-checked": "notRecommended", "IHCFr-species-dilution-info": "", "IHCFr-species-notes": "<p></p>", "FlowCytIntra-species-checked": "notRecommended", "FlowCytIntra-species-dilution-info": "", "FlowCytIntra-species-notes": "<p></p>", "IHCP-species-checked": "notRecommended", "IHCP-species-dilution-info": "", "IHCP-species-notes": "<p></p>" }, "Rat": { "ICCIF-species-checked": "notRecommended", "ICCIF-species-dilution-info": "", "ICCIF-species-notes": "", "IP-species-checked": "testedAndGuaranteed", "IP-species-dilution-info": "", "IP-species-notes": "<p></p>", "WB-species-checked": "testedAndGuaranteed", "WB-species-dilution-info": "", "WB-species-notes": "<p></p>", "IHCFr-species-checked": "notRecommended", "IHCFr-species-dilution-info": "", "IHCFr-species-notes": "<p></p>", "FlowCytIntra-species-checked": "notRecommended", "FlowCytIntra-species-dilution-info": "", "FlowCytIntra-species-notes": "<p></p>", "IHCP-species-checked": "notRecommended", "IHCP-species-dilution-info": "", "IHCP-species-notes": "<p></p>" } } }

Product details

ab281935 is the carrier-free version of ab259341.

Patented technology
Our RabMAb® technology is a patented hybridoma-based technology for making rabbit monoclonal antibodies. For details on our patents, please refer to RabMAb® patents.

What are the advantages of a recombinant monoclonal antibody?
This product is a recombinant monoclonal antibody, which offers several advantages including:

  • - High batch-to-batch consistency and reproducibility
  • - Improved sensitivity and specificity
  • - Long-term security of supply
  • - Animal-free batch production

For more information, read more on recombinant antibodies.

Conjugation ready
Our carrier-free antibodies are typically supplied in a PBS-only formulation, purified and free of BSA, sodium azide and glycerol. This conjugation-ready format is designed for use with fluorochromes, metal isotopes, oligonucleotides, and enzymes, which makes them ideal for antibody labelling, functional and cell-based assays, flow-based assays (e.g. mass cytometry) and Multiplex Imaging applications.

Use our conjugation kits for antibody conjugates that are ready-to-use in as little as 20 minutes with 1 minute hands-on-time and 100% antibody recovery: available for fluorescent dyes, HRP, biotin and gold.

Compatibility
This product is compatible with the Maxpar® Antibody Labeling Kit from Fluidigm, without the need for antibody preparation. Maxpar® is a trademark of Fluidigm Canada Inc.

Properties and storage information

Form
Liquid
Purification technique
Affinity purification Protein A
Storage buffer
pH: 7.2 - 7.4 Constituents: PBS
Shipped at conditions
Blue Ice
Appropriate short-term storage conditions
+4°C
Appropriate long-term storage conditions
+4°C

Supplementary information

This supplementary information is collated from multiple sources and compiled automatically.

Interleukin-6 (IL-6) a cytokine also known as IFN-beta2 plays a significant role in immune response and inflammation. The IL-6 protein has a molecular weight of approximately 20-26 kDa. Expression of IL-6 occurs in various cell types including T cells macrophages and fibroblasts. Researchers often measure IL-6 levels in biological samples using IL-6 ELISA kits an essential tool for studying this protein’s function and presence in experimental and clinical settings.
Biological function summary

IL-6 influences immune regulation and acts as part of the acute phase response. It stimulates the production of acute-phase proteins and supports the differentiation of B cells into antibody-producing cells. IL-6 is not known to be part of a larger complex acting primarily as a single entity in signal transduction. Moreover IL-6 impacts the metabolism of iron and bone homeostasis showing its multifunctional nature.

Pathways

IL-6 forms an integral part of several signaling routes particularly the JAK-STAT pathway. In this context IL-6 interacts with signal transducer proteins like STAT3 to transmit signals from the cell surface to the nucleus affecting gene expression. Another important pathway is the MAPK pathway through which IL-6 influences cell proliferation and survival. These interactions reflect IL-6's diverse effects in cellular processes.

IL-6's association with rheumatoid arthritis and multiple myeloma emphasizes its role in chronic inflammation and cancer. In rheumatoid arthritis IL-6 contributes to inflammation and joint damage often together with TNF-alpha highlighting a potential target for anti-inflammatory therapies. In multiple myeloma IL-6 supports the survival and proliferation of cancerous plasma cells highlighting its importance in cancer progression and possible treatment targets.

Product protocols

For this product, it's our understanding that no specific protocols are required. You can visit:

Target data

Cytokine with a wide variety of biological functions in immunity, tissue regeneration, and metabolism. Binds to IL6R, then the complex associates to the signaling subunit IL6ST/gp130 to trigger the intracellular IL6-signaling pathway (Probable). The interaction with the membrane-bound IL6R and IL6ST stimulates 'classic signaling', whereas the binding of IL6 and soluble IL6R to IL6ST stimulates 'trans-signaling'. Alternatively, 'cluster signaling' occurs when membrane-bound IL6 : IL6R complexes on transmitter cells activate IL6ST receptors on neighboring receiver cells (Probable).. IL6 is a potent inducer of the acute phase response. Rapid production of IL6 contributes to host defense during infection and tissue injury, but excessive IL6 synthesis is involved in disease pathology. In the innate immune response, is synthesized by myeloid cells, such as macrophages and dendritic cells, upon recognition of pathogens through toll-like receptors (TLRs) at the site of infection or tissue injury (Probable). In the adaptive immune response, is required for the differentiation of B cells into immunoglobulin-secreting cells. Plays a major role in the differentiation of CD4(+) T cell subsets. Essential factor for the development of T follicular helper (Tfh) cells that are required for the induction of germinal-center formation. Required to drive naive CD4(+) T cells to the Th17 lineage. Also required for proliferation of myeloma cells and the survival of plasmablast cells (By similarity).. Acts as an essential factor in bone homeostasis and on vessels directly or indirectly by induction of VEGF, resulting in increased angiogenesis activity and vascular permeability (PubMed : 12794819, PubMed : 17075861). Induces, through 'trans-signaling' and synergistically with IL1B and TNF, the production of VEGF (PubMed : 12794819). Involved in metabolic controls, is discharged into the bloodstream after muscle contraction increasing lipolysis and improving insulin resistance (PubMed : 20823453). 'Trans-signaling' in central nervous system also regulates energy and glucose homeostasis (By similarity). Mediates, through GLP-1, crosstalk between insulin-sensitive tissues, intestinal L cells and pancreatic islets to adapt to changes in insulin demand (By similarity). Also acts as a myokine (Probable). Plays a protective role during liver injury, being required for maintenance of tissue regeneration (By similarity). Also has a pivotal role in iron metabolism by regulating HAMP/hepcidin expression upon inflammation or bacterial infection (PubMed : 15124018). Through activation of IL6ST-YAP-NOTCH pathway, induces inflammation-induced epithelial regeneration (By similarity).
See full target information IL6

Publications (3)

Recent publications for all applications. Explore the full list and refine your search

Frontiers in endocrinology 16:1514264 PubMed39996058

2025

Genome-wide transcriptome analysis and drug target discovery reveal key genes and pathways in thyroid cancer metastasis.

Applications

Unspecified application

Species

Unspecified reactive species

Minjing Zou,Amal Qattan,Monther Al-Alwan,Hazem Ghebeh,Naif Binjumah,Latifa Al-Haj,Khalid S A Khabar,Abdulmohsen Altaweel,Falah Almohanna,Abdullah M Assiri,Abdelilah Aboussekhra,Ali S Alzahrani,Yufei Shi

International journal of chronic obstructive pulmonary disease 19:1819-1834 PubMed39140079

2024

Network Pharmacology Followed by Experimental Validation to Explore the Mechanism of Stigmasterol in Sangbaipi Decoction Regulating PI3K/Akt Signaling to Alleviate Acute Exacerbation of Chronic Obstructive Pulmonary Disease.

Applications

Unspecified application

Species

Unspecified reactive species

Haidong He,Shuihua Sun,Weihua Xu,Mingwan Zhang

Biomolecules 13: PubMed37238701

2023

Lipoxin A4 (LXA4) Reduces Alkali-Induced Corneal Inflammation and Neovascularization and Upregulates a Repair Transcriptome.

Applications

Unspecified application

Species

Unspecified reactive species

Jiucheng He,Thang L Pham,Azucena H Kakazu,Abhilash Ponnath,Khanh V Do,Haydee E P Bazan
View all publications
websiteProtocolBooklet
zh

Product promise

We are committed to supporting your work with high-quality reagents, and we're here for you every step of the way. In the unlikely event that one of our products does not perform as expected, you're protected by our Product Promise.
For full details, please see our Terms & Conditions

Please note: All products are 'FOR RESEARCH USE ONLY. NOT FOR USE IN DIAGNOSTIC OR THERAPEUTIC PROCEDURES'.

For licensing inquiries, please contact partnerships@abcam.com