JavaScript is disabled in your browser. Please enable JavaScript to view this website.
AB324449

Anti-IL-6 antibody [RM1304]

  • BOND RX™ Validated
  • RabMAb
  • Recombinant
  • 20ul selling size
  • What is this?

Be the first to review this product! Submit a review

|

(0 Publication)

Rabbit Recombinant Multiclonal IL-6 antibody. Suitable for WB, IHC-P and reacts with Human, Mouse samples.

View Alternative Names

IFNB2, IL6, Interleukin-6, IL-6, B-cell stimulatory factor 2, CTL differentiation factor, Hybridoma growth factor, Interferon beta-2, BSF-2, CDF, IFN-beta-2, Il-6, Il6, Interleukin-6, IL-6, B-cell hybridoma growth factor, Interleukin HP-1

6 Images
Immunohistochemistry (Formalin/PFA-fixed paraffin-embedded sections) - Anti-IL-6 antibody [RM1304] (AB324449)
  • IHC-P

Supplier Data

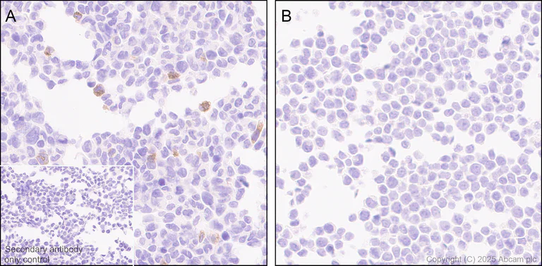
Immunohistochemistry (Formalin/PFA-fixed paraffin-embedded sections) - Anti-IL-6 antibody [RM1304] (AB324449)

Immunohistochemical analysis of paraffin-embedded Image A U-87 MG (human glioblastoma-astrocytoma epithelial cell) cell pellets treated with 1ug/ml Lipopolysaccharide (LPS) and 300ng/ml Brefeldin A for 16 hours Image B Untreated U-87 MG cell pellets tissue labeling IL-6 with ab324449 at 1/200 (2.585 ug/ml) dilution, followed by a ready to use LeicaDS9800 (Bond™ Polymer Refine Detection).

Cytoplasmic staining on TU-87 MG (human glioblastoma-astrocytoma epithelial cell) cell pellets treated with 1ug/ml Lipopolysaccharide (LPS) and 300ng/ml Brefeldin A for 16 hours (Image A); No staining on untreated TU-87 MG cell pellets (Image B).
The primary antibody was incubated for 30 mins at room temperature.
The immunostaining was performed on a Leica Biosystems BOND® RX instrument

Counterstained with Hematoxylin.

Secondary antibody only control : Secondary antibody is a ready to use LeicaDS9800 (Bond™ Polymer Refine Detection).

Heat mediated antigen retrieval was performed with Tris-EDTA buffer (pH 9.0, Epitope Retrieval Solution2) for 20 mins

Immunohistochemistry (Formalin/PFA-fixed paraffin-embedded sections) - Anti-IL-6 antibody [RM1304] (AB324449)
  • IHC-P

Supplier Data

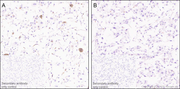
Immunohistochemistry (Formalin/PFA-fixed paraffin-embedded sections) - Anti-IL-6 antibody [RM1304] (AB324449)

Immunohistochemical analysis of paraffin-embedded Image A THP-1 (human monocytic leukemia monocyte) cell pellets treated with 80nM Phorbol-12-myristate-13-acetate (PMA) for 24 hours, then added 100ng/ml Lipopolysaccharides (LPS) for 7 hours, 1µg/ml Brefeldin A was added for additional 3 hours after LPS was added for 4 hours Image B Untreated THP-1 cell pellets tissue labeling IL-6 with ab324449 at 1/200 (2.585 ug/ml) dilution, followed by a ready to use LeicaDS9800 (Bond™ Polymer Refine Detection).

Cytoplasmic staining on THP-1 (human monocytic leukemia monocyte) cell pellets treated with 80nM Phorbol-12-myristate-13-acetate (PMA) for 24 hours, then added 100ng/ml Lipopolysaccharides (LPS) for 7 hours, 1µg/ml Brefeldin A was added for additional 3 hours after LPS was added for 4 hours (Image A); No staining on untreated THP-1 cell pellets (Image B).
The primary antibody was incubated for 30 mins at room temperature.
The immunostaining was performed on a Leica Biosystems BOND® RX instrument

Counterstained with Hematoxylin.

Secondary antibody only control : Secondary antibody is a ready to use LeicaDS9800 (Bond™ Polymer Refine Detection).

Heat mediated antigen retrieval was performed with Tris-EDTA buffer (pH 9.0, Epitope Retrieval Solution2) for 20 mins

Immunohistochemistry (Formalin/PFA-fixed paraffin-embedded sections) - Anti-IL-6 antibody [RM1304] (AB324449)
  • IHC-P

Supplier Data

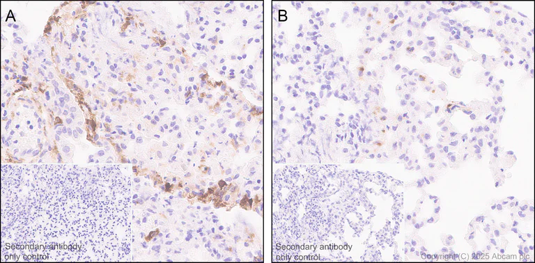
Immunohistochemistry (Formalin/PFA-fixed paraffin-embedded sections) - Anti-IL-6 antibody [RM1304] (AB324449)

Immunohistochemical analysis of paraffin-embedded Image A Mouse lung treated with 1 ug/ml Lipopolysaccharide (LPS) and 300ng/ml Brefeldin A for 16 hours Image B Untreated mouse lung tissue labeling IL-6 with ab324449 at 1/200 (2.585 ug/ml) dilution, followed by a ready to use LeicaDS9800 (Bond™ Polymer Refine Detection).

Cytoplasmic staining on Mouse lung treated with 1 ug/ml Lipopolysaccharide (LPS) and 300ng/ml Brefeldin A for 16 hours (Image A); No staining on Untreated mouse lung (Image B).
The primary antibody was incubated for 30 mins at room temperature.
The immunostaining was performed on a Leica Biosystems BOND® RX instrument

Counterstained with Hematoxylin.

Secondary antibody only control : Secondary antibody is a ready to use LeicaDS9800 (Bond™ Polymer Refine Detection).

Heat mediated antigen retrieval was performed with Tris-EDTA buffer (pH 9.0, Epitope Retrieval Solution2) for 20 mins

Immunohistochemistry (Formalin/PFA-fixed paraffin-embedded sections) - Anti-IL-6 antibody [RM1304] (AB324449)
  • IHC-P

Supplier Data

Immunohistochemistry (Formalin/PFA-fixed paraffin-embedded sections) - Anti-IL-6 antibody [RM1304] (AB324449)

Immunohistochemical analysis of paraffin-embedded Image A RAW 264.7 (mouse Abelson murine leukemia virus-induced tumor macrophage) cell pellets treated with 100ng/ml Lipopolysaccharide (LPS) for 7 hours, then 1µg/ml Brefeldin A was added for additional 3 hours after LPS was added for 4 hours Image B Untreated RAW 264.7 cell pellets tissue labeling IL-6 with ab324449 at 1/200 (2.585 ug/ml) dilution, followed by a ready to use LeicaDS9800 (Bond™ Polymer Refine Detection).

Cytoplasmic staining on RAW 264.7 (mouse Abelson murine leukemia virus-induced tumor macrophage) cell pellets treated with 100ng/ml Lipopolysaccharide (LPS) for 7 hours, then 1µg/ml Brefeldin A was added for additional 3 hours after LPS was added for 4 hours (Image A); No staining on Untreated RAW 264.7 cell pellets (Image B).
The primary antibody was incubated for 30 mins at room temperature.
The immunostaining was performed on a Leica Biosystems BOND® RX instrument

Counterstained with Hematoxylin.

Secondary antibody only control : Secondary antibody is a ready to use LeicaDS9800 (Bond™ Polymer Refine Detection).

Heat mediated antigen retrieval was performed with Tris-EDTA buffer (pH 9.0, Epitope Retrieval Solution2) for 20 mins

Western blot - Anti-IL-6 antibody [RM1304] (AB324449)
  • WB

Supplier Data

Western blot - Anti-IL-6 antibody [RM1304] (AB324449)

Blocking and diluting buffer and concentration : 5% NFDM/TBST.

The expression molecular weight observed is consistent with what has been described in the literature (PMID : 12091245 and PMID : 14970177).

The expression of IL-6 is upregulated/downregulated in response to LPS and BFA treatment (PMID : 25838003).

In Western blot, Anti-GAPDH antibody [EPR16891] - Loading Control (ab181602) staining at 1/200000 dilution.

All lanes:

Western blot - Anti-IL-6 antibody [RM1304] (ab324449) at 1/1000 dilution

Lane 1:

Untreated HUVEC (human umbilical vein endothelial cell), whole cell lysate at 20 µg

Lane 2:

HUVEC treated with 0.5 ug/ml LPS for 4 hours, 300ng/ml BFA then added for additional 20 hours, whole cell lysate at 20 µg

Lane 3:

Untreated U-87 MG (human glioblastoma-astrocytoma epithelial cell), whole cell lysate at 20 µg

Lane 4:

U-87 MG treated with 1 ug/ml LPS and 300ng/ml BFA for 16 hours, whole cell lysate at 20 µg

Secondary

All lanes:

Goat Anti-Rabbit IgG (HRP) with minimal cross-reactivity with human IgG at 1/2000 dilution

Observed band size: 17-26 kDa,36 kDa

false

Exposure time: 180s

Western blot - Anti-IL-6 antibody [RM1304] (AB324449)
  • WB

Supplier Data

Western blot - Anti-IL-6 antibody [RM1304] (AB324449)

Blocking and diluting buffer and concentration : 5% NFDM/TBST.

In Western blot, Anti-GAPDH antibody [EPR16891] - Loading Control (ab181602) staining at 1/200000 dilution.

All lanes:

Western blot - Anti-IL-6 antibody [RM1304] (ab324449) at 1/1000 dilution

Lane 1:

Untreated mouse lung tissue lysate at 40 µg

Lane 2:

mouse lung treated with 0.5 ug/ml LPS for 4 hours, 300ng/ml BFA then added for additional 20 hours, tissue lysate at 40 µg

Secondary

All lanes:

Goat Anti-Rabbit IgG (HRP) with minimal cross-reactivity with human IgG at 1/2000 dilution

Observed band size: 23 kDa,36 kDa

false

Exposure time: 180s

Key facts

Host species

Rabbit

Clonality

Multiclonal

Clone number

RM1304

Isotype

IgG

Carrier free

No

Reacts with

Human, Mouse

Applications

IHC-P, WB

applications

Immunogen

The exact immunogen used to generate this antibody is proprietary information.

Specificity

Unsuitable for mouse ICC, FC and IP.

Reactivity data

{ "title": "Reactivity Data", "filters": { "stats": ["", "Species", "Dilution Info", "Notes"], "tabs": { "all-applications": {"fullname" : "All Applications", "shortname": "All Applications"}, "WB" : {"fullname" : "Western blot", "shortname":"WB"}, "IHCP" : {"fullname" : "Immunohistochemistry (Formalin/PFA-fixed paraffin-embedded sections)", "shortname":"IHC-P"} }, "product-promise": { "all": "all", "testedAndGuaranteed": "tested", "guaranteed": "expected", "predicted": "predicted", "notRecommended": "not-recommended" } }, "values": { "Human": { "WB-species-checked": "testedAndGuaranteed", "WB-species-dilution-info": "1/1000", "WB-species-notes": "<p></p>", "IHCP-species-checked": "testedAndGuaranteed", "IHCP-species-dilution-info": "1/200", "IHCP-species-notes": "<p></p> Perform heat-mediated antigen retrieval with Tris/EDTA buffer pH 9.0 before commencing with IHC staining protocol." }, "Mouse": { "WB-species-checked": "testedAndGuaranteed", "WB-species-dilution-info": "1/1000", "WB-species-notes": "<p></p>", "IHCP-species-checked": "testedAndGuaranteed", "IHCP-species-dilution-info": "1/200", "IHCP-species-notes": "<p></p> Perform heat-mediated antigen retrieval with Tris/EDTA buffer pH 9.0 before commencing with IHC staining protocol." } } }

Product details

Patented technology
Our RabMAb® technology is a patented hybridoma-based technology for making rabbit monoclonal antibodies. For details on our patents, please refer to RabMAb® patents.

What are recombinant multiclonals?
Recombinant multiclonals are a mixture of recombinant antibodies co-expressed from a library of heavy and light chains. They offer several advantages including:

  • - The sensitivity of polyclonal antibodies by recognising multiple epitopes
  • - High batch-to-batch consistency and reproducibility
  • - Improved sensitivity and specificity
  • - Long-term security of supply
  • - Animal-free batch production

View our range of recombinant multiclonal antibodies.

Properties and storage information

Form
Liquid
Purification technique
Affinity purification Protein A
Storage buffer
pH: 7.2 - 7.4 Preservative: 0.01% Sodium azide Constituents: PBS, 40% Glycerol (glycerin, glycerine), 0.05% BSA
Shipped at conditions
Blue Ice
Appropriate short-term storage duration
1-2 weeks
Appropriate short-term storage conditions
+4°C
Appropriate long-term storage conditions
-20°C
Aliquoting information
Upon delivery aliquot
Storage information
Avoid freeze / thaw cycle

Product protocols

For this product, it's our understanding that no specific protocols are required. You can visit:

Target data

Cytokine with a wide variety of biological functions in immunity, tissue regeneration, and metabolism. Binds to IL6R, then the complex associates to the signaling subunit IL6ST/gp130 to trigger the intracellular IL6-signaling pathway (Probable). The interaction with the membrane-bound IL6R and IL6ST stimulates 'classic signaling', whereas the binding of IL6 and soluble IL6R to IL6ST stimulates 'trans-signaling'. Alternatively, 'cluster signaling' occurs when membrane-bound IL6 : IL6R complexes on transmitter cells activate IL6ST receptors on neighboring receiver cells (Probable).. IL6 is a potent inducer of the acute phase response. Rapid production of IL6 contributes to host defense during infection and tissue injury, but excessive IL6 synthesis is involved in disease pathology. In the innate immune response, is synthesized by myeloid cells, such as macrophages and dendritic cells, upon recognition of pathogens through toll-like receptors (TLRs) at the site of infection or tissue injury (Probable). In the adaptive immune response, is required for the differentiation of B cells into immunoglobulin-secreting cells. Plays a major role in the differentiation of CD4(+) T cell subsets. Essential factor for the development of T follicular helper (Tfh) cells that are required for the induction of germinal-center formation. Required to drive naive CD4(+) T cells to the Th17 lineage. Also required for proliferation of myeloma cells and the survival of plasmablast cells (By similarity).. Acts as an essential factor in bone homeostasis and on vessels directly or indirectly by induction of VEGF, resulting in increased angiogenesis activity and vascular permeability (PubMed : 12794819, PubMed : 17075861). Induces, through 'trans-signaling' and synergistically with IL1B and TNF, the production of VEGF (PubMed : 12794819). Involved in metabolic controls, is discharged into the bloodstream after muscle contraction increasing lipolysis and improving insulin resistance (PubMed : 20823453). 'Trans-signaling' in central nervous system also regulates energy and glucose homeostasis (By similarity). Mediates, through GLP-1, crosstalk between insulin-sensitive tissues, intestinal L cells and pancreatic islets to adapt to changes in insulin demand (By similarity). Also acts as a myokine (Probable). Plays a protective role during liver injury, being required for maintenance of tissue regeneration (By similarity). Also has a pivotal role in iron metabolism by regulating HAMP/hepcidin expression upon inflammation or bacterial infection (PubMed : 15124018). Through activation of IL6ST-YAP-NOTCH pathway, induces inflammation-induced epithelial regeneration (By similarity).
See full target information IL6

Additional targets

Il6

Product promise

We are committed to supporting your work with high-quality reagents, and we're here for you every step of the way. In the unlikely event that one of our products does not perform as expected, you're protected by our Product Promise.
For full details, please see our Terms & Conditions

Please note: All products are 'FOR RESEARCH USE ONLY. NOT FOR USE IN DIAGNOSTIC OR THERAPEUTIC PROCEDURES'.

For licensing inquiries, please contact partnerships@abcam.com