JavaScript is disabled in your browser. Please enable JavaScript to view this website.
AB128008

Anti-IL-6R antibody

4

(3 Reviews)

|

(30 Publications)

Rabbit Polyclonal IL-6R antibody. Suitable for IHC-P, WB and reacts with Human samples. Cited in 30 publications. Immunogen corresponding to Synthetic Peptide within Human IL6R aa 250-300.

View Alternative Names

CD126, Interleukin-6 receptor subunit alpha, IL-6 receptor subunit alpha, IL-6R subunit alpha, IL-6R-alpha, IL-6RA, IL-6R 1, Membrane glycoprotein 80, gp80, IL6R

2 Images
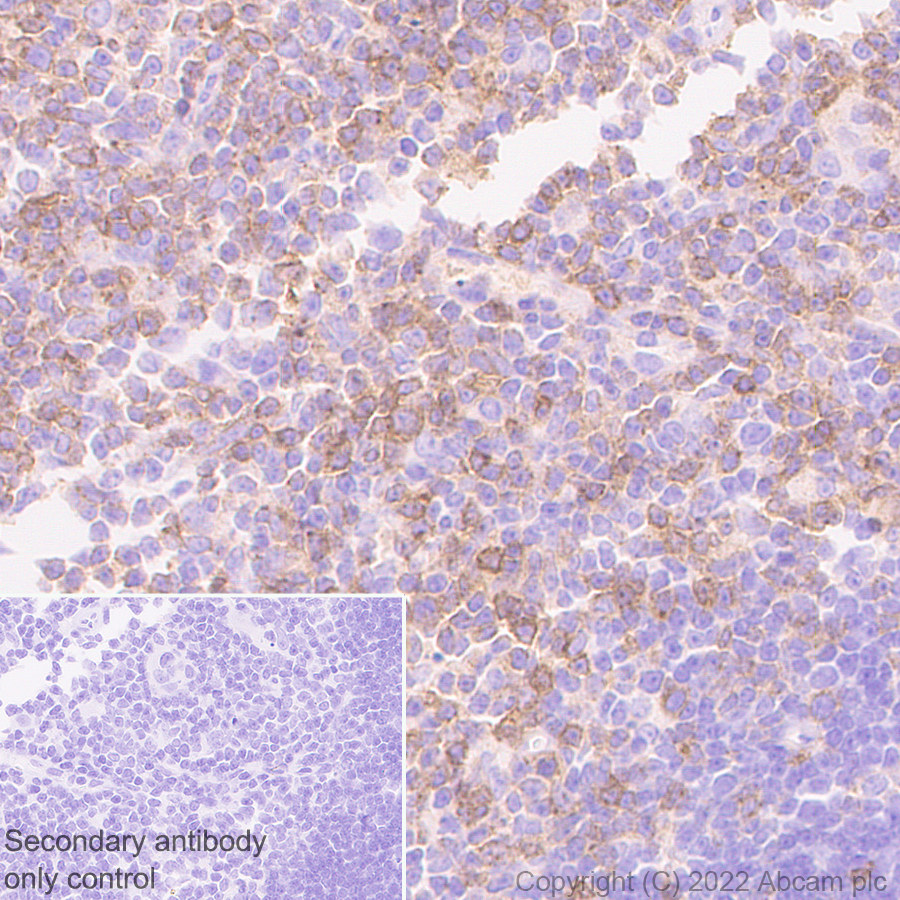
Immunohistochemistry (Formalin/PFA-fixed paraffin-embedded sections) - Anti-IL-6R antibody (AB128008)
  • IHC-P

Unknown

Immunohistochemistry (Formalin/PFA-fixed paraffin-embedded sections) - Anti-IL-6R antibody (AB128008)

Paraffin-embedded human spleen tissue stained for IL6R with ab128008 at 2.5 μg/ml in immunohistochemical analysis.

Western blot - Anti-IL-6R antibody (AB128008)
  • WB

Unknown

Western blot - Anti-IL-6R antibody (AB128008)

All lanes:

Western blot - Anti-IL-6R antibody (ab128008) at 1/200 dilution

Lane 1:

Jurkat (human T cell leukemia cell line from peripheral blood) cell lysate

Lane 2:

803 cell lysate

Predicted band size: 52 kDa

false

Key facts

Host species

Rabbit

Clonality

Polyclonal

Isotype

IgG

Carrier free

No

Reacts with

Human

Applications

WB, IHC-P

applications

Immunogen

Synthetic Peptide within Human IL6R aa 250-300. The exact immunogen used to generate this antibody is proprietary information.

P08887

Reactivity data

{ "title": "Reactivity Data", "filters": { "stats": ["", "Species", "Dilution Info", "Notes"], "tabs": { "all-applications": {"fullname" : "All Applications", "shortname": "All Applications"}, "IHCP" : {"fullname" : "Immunohistochemistry (Formalin/PFA-fixed paraffin-embedded sections)", "shortname":"IHC-P"}, "WB" : {"fullname" : "Western blot", "shortname":"WB"} }, "product-promise": { "all": "all", "testedAndGuaranteed": "tested", "guaranteed": "expected", "predicted": "predicted", "notRecommended": "not-recommended" } }, "values": { "Human": { "IHCP-species-checked": "testedAndGuaranteed", "IHCP-species-dilution-info": "2.5 µg/mL", "IHCP-species-notes": "<p></p> Perform heat-mediated antigen retrieval with citrate buffer pH 6 before commencing with IHC staining protocol.", "WB-species-checked": "testedAndGuaranteed", "WB-species-dilution-info": "1/200 - 1/500", "WB-species-notes": "<p></p>" } } }

Properties and storage information

Form
Liquid
Purification technique
Affinity purification
Storage buffer
Preservative: 0.02% Sodium azide Constituents: PBS, 50% Glycerol (glycerin, glycerine), 0.88% Sodium chloride
Shipped at conditions
Blue Ice
Appropriate short-term storage duration
1-2 weeks
Appropriate short-term storage conditions
+4°C
Appropriate long-term storage conditions
-20°C
Aliquoting information
Upon delivery aliquot

Supplementary information

This supplementary information is collated from multiple sources and compiled automatically.

IL-6R also known as the IL-6 receptor or IL-6R protein is a transmembrane protein with an approximate mass of 80-90 kDa. This receptor is found on the surface of various cells including hepatocytes leukocytes and immune cells like T-cells and macrophages. IL-6R binds to interleukin-6 (IL-6) a cytokine and plays an important role in immune response regulation. The receptor exists in both membrane-bound and soluble forms each contributing to diverse signaling events.
Biological function summary

IL-6 receptor function involves mediating the effects of IL-6 through its interaction with glycoprotein 130 (gp130) forming a signaling complex. This complex initiates intracellular pathways that lead to gene expression changes necessary for immune responses inflammation and hematopoiesis. When IL-6 binds IL-6R the complex formation with gp130 triggers downstream signaling that impacts cell growth differentiation and survival.

Pathways

IL-6R is central to the JAK/STAT signaling pathway one of the two main pathways activated by IL-6 signaling. It's also involved in the MAPK cascade contributing to cellular responses such as proliferation and differentiation. Through these pathways IL-6R interacts with other proteins like JAK kinases and STAT transcription factors coordinating cellular responses to external signals.

IL-6R is associated with inflammatory diseases such as rheumatoid arthritis and certain cancers. In rheumatoid arthritis overexpression of IL-6R leads to persistent inflammation and joint damage. In cancer IL-6/IL-6R signaling promotes tumorigenesis and cancer cell survival through interactions with proteins like STAT3. Understanding these connections aids in developing therapeutic interventions targeting IL-6R in various pathological conditions.

Product protocols

For this product, it's our understanding that no specific protocols are required. You can visit:

Target data

Part of the receptor for interleukin 6. Binds to IL6 with low affinity, but does not transduce a signal (PubMed : 28265003). Signal activation necessitate an association with IL6ST. Activation leads to the regulation of the immune response, acute-phase reactions and hematopoiesis (PubMed : 30995492, PubMed : 31235509). The interaction with membrane-bound IL6R and IL6ST stimulates 'classic signaling', the restricted expression of the IL6R limits classic IL6 signaling to only a few tissues such as the liver and some cells of the immune system. Whereas the binding of IL6 and soluble IL6R to IL6ST stimulates 'trans-signaling'. Alternatively, 'cluster signaling' occurs when membrane-bound IL6 : IL6R complexes on transmitter cells activate IL6ST receptors on neighboring receiver cells (Probable).. Isoform 1. Signaling via the membrane-bound IL6R is mostly regenerative and anti-inflammatory (Probable). Drives naive CD4(+) T cells to the Th17 lineage, through 'cluster signaling' by dendritic cells (By similarity).. Isoform 2. Soluble form of IL6 receptor (sIL6R) that acts as an agonist of IL6 activity (PubMed : 21990364). The IL6 : sIL6R complex (hyper-IL6) binds to IL6ST/gp130 on cell surfaces and induces signaling also on cells that do not express membrane-bound IL6R in a process called IL6 'trans-signaling'. sIL6R is causative for the pro-inflammatory properties of IL6 and an important player in the development of chronic inflammatory diseases (PubMed : 21990364). In complex with IL6, is required for induction of VEGF production (PubMed : 12794819). Plays a protective role during liver injury, being required for maintenance of tissue regeneration (By similarity). 'Trans-signaling' in central nervous system regulates energy and glucose homeostasis (By similarity).. Soluble interleukin-6 receptor subunit alpha. Soluble form of IL6 receptor (sIL6R) that acts as an agonist of IL6 activity (PubMed : 21990364). The IL6 : sIL6R complex (hyper-IL6) binds to IL6ST/gp130 on cell surfaces and induces signaling also on cells that do not express membrane-bound IL6R in a process called IL6 'trans-signaling'. sIL6R is causative for the pro-inflammatory properties of IL6 and an important player in the development of chronic inflammatory diseases (PubMed : 21990364). In complex with IL6, is required for induction of VEGF production (PubMed : 12794819). Plays a protective role during liver injury, being required for maintenance of tissue regeneration (By similarity). 'Trans-signaling' in central nervous system regulates energy and glucose homeostasis (By similarity).
See full target information IL6R

Publications (30)

Recent publications for all applications. Explore the full list and refine your search

NeuroImmune pharmacology and therapeutics 3:7-15 PubMed38532784

2024

The S1 subunits of SARS-CoV-2 variants differentially trigger the IL-6 signaling pathway in human brain endothelial cells and downstream impact on microglia activation.

Applications

Unspecified application

Species

Unspecified reactive species

Michael Stangis,Daniel Adesse,Bhavya Sharma,Eduardo Castro,Kush Kumar,Neil Kumar,Masha Minevich,Michal Toborek

NPJ breast cancer 8:30 PubMed35260569

2022

Tocilizumab overcomes chemotherapy resistance in mesenchymal stem-like breast cancer by negating autocrine IL-1A induction of IL-6.

Applications

Unspecified application

Species

Unspecified reactive species

Andrew W Chung,Anthony J Kozielski,Wei Qian,Jianying Zhou,Ann C Anselme,Alfred A Chan,Ping-Ying Pan,Delphine J Lee,Jenny C Chang

Cell transplantation 30:9636897211054481 PubMed34757857

2021

High Induction of IL-6 Secretion From hUCMSCs Optimize the Potential of hUCMSCs and TCZ as Therapy for COVID-19-Related ARDS.

Applications

Unspecified application

Species

Unspecified reactive species

Huei-Yu Lo,Shun-Ping Cheng,Jing-Long Huang,Kuo-Ting Chang,Yu-Lung Chang,Chien-Hsun Huang,Chia-Jen Chang,Chien-Hua Chiu,Yui Whei Chen-Yang,Chin-Kan Chan

Cancers 13: PubMed33806019

2021

Targeting the IL-6/STAT3 Signalling Cascade to Reverse Tamoxifen Resistance in Estrogen Receptor Positive Breast Cancer.

Applications

Unspecified application

Species

Unspecified reactive species

Ho Tsoi,Ellen P S Man,Ka Man Chau,Ui-Soon Khoo

Aging 13:9566-9581 PubMed33714953

2021

miR-20b and miR-125a promote tumorigenesis in radioresistant esophageal carcinoma cells.

Applications

Unspecified application

Species

Unspecified reactive species

Didi Chen,Huafang Su,Yunhao Li,Xinyi Wu,Yifei Li,Chaoyi Wei,Deli Shi,Ya Gao,Qingyu Zhou,Qiongqiong Wang,Xiance Jin,Congying Xie

Osteoarthritis and cartilage 29:773-782 PubMed33617971

2021

Increased IL-6 receptor expression and signaling in ageing cartilage can be explained by loss of TGF-β-mediated IL-6 receptor suppression.

Applications

Unspecified application

Species

Unspecified reactive species

R Wiegertjes,N G M Thielen,A P M van Caam,M van Laar,H M van Beuningen,M I Koenders,P L E M van Lent,P M van der Kraan,F A J van de Loo,E N Blaney Davidson

American journal of physiology. Cell physiology : PubMed33471622

2021

Overlapping and distinct biological effects of IL-6 classic and trans-signaling in vascular endothelial cells.

Applications

Unspecified application

Species

Unspecified reactive species

Ashani Montgomery,Franklin Tam,Chris Gursche,Catherine Cheneval,Katrina Besler,Winnie Enns,Sukhbir Manku,Kevin Rey,Paul J Hanson,Stefan Rose-John,Bruce M McManus,Jonathan C Choy

Experimental and therapeutic medicine 21:163 PubMed33456530

2021

Inflammatory signals induce MUC16 expression in ovarian cancer cells via NF-κB activation.

Applications

Unspecified application

Species

Unspecified reactive species

Jie Liu,Li Li,Ning Luo,Qi Liu,Li Liu,Dandan Chen,Zhongping Cheng,Xiaowei Xi

Mediators of inflammation 2021:5318369 PubMed33505213

2021

lncRNA SNHG14 Plays a Role in Sepsis-Induced Acute Kidney Injury by Regulating miR-93.

Applications

Unspecified application

Species

Unspecified reactive species

Chuanchuan Shi,Yuqian Zhao,Qi Li,Jianguo Li

Oncology letters 20:339 PubMed33123250

2020

miR-451a suppression of IL-6R can inhibit proliferation and increase apoptosis through the JAK2/STAT3 pathway in multiple myeloma.

Applications

Unspecified application

Species

Unspecified reactive species

Ling Zhong,Zhuyu Xu,Xin Jin,Yuan He,Jianbo Zhang,Tao Jiang,Jiao Chen
View all publications

Product promise

We are committed to supporting your work with high-quality reagents, and we're here for you every step of the way. In the unlikely event that one of our products does not perform as expected, you're protected by our Product Promise.
For full details, please see our Terms & Conditions

Please note: All products are 'FOR RESEARCH USE ONLY. NOT FOR USE IN DIAGNOSTIC OR THERAPEUTIC PROCEDURES'.

For licensing inquiries, please contact partnerships@abcam.com