JavaScript is disabled in your browser. Please enable JavaScript to view this website.
AB222101

Anti-IL-6R antibody [EPR22628-236]

Be the first to review this product! Submit a review

|

(6 Publications)

Rabbit Recombinant Monoclonal IL-6R antibody. Suitable for IP, Flow Cyt, WB and reacts with Human samples. Cited in 6 publications.

View Alternative Names

CD126, Interleukin-6 receptor subunit alpha, IL-6 receptor subunit alpha, IL-6R subunit alpha, IL-6R-alpha, IL-6RA, IL-6R 1, Membrane glycoprotein 80, gp80, IL6R

3 Images
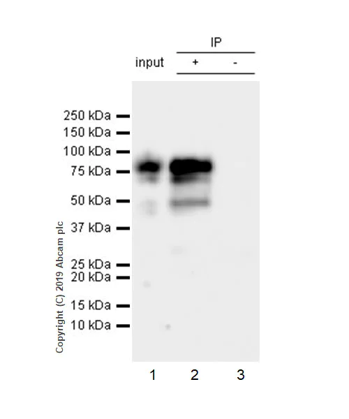
Immunoprecipitation - Anti-IL-6R antibody [EPR22628-236] (AB222101)
  • IP

Unknown

Immunoprecipitation - Anti-IL-6R antibody [EPR22628-236] (AB222101)

IL-6R was immunoprecipitated from 0.35 mg of U266B1 (human multiple myeloma B lymphocyte cell line) whole cell lysate with ab222101 at 1/30 dilution. Western blot was performed from the immunoprecipitate using ab222101 at 1/1000 dilution. VeriBlot for IP Detection Reagent (HRP) (ab131366), was used as the secondary antibody at 1/5000 dilution.

Lane 1 : U266B1 whole cell lysate 10 μg (Input).
Lane 2 : ab222101 IP in U266B1 whole cell lysate.
Lane 3 : Rabbit monoclonal IgG (ab172730) instead of ab222101 in U266B1 whole cell lysate.

Blocking and dilution buffer and concentration : 5% NFDM/TBST.
Exposure time : 15 seconds.

The molecular weight observed is consistent with what has been described in the literature (PMID : 28276471; PMID : 28060820).

Bands between 40-70KD are likely to be cleaved forms (PMID : 28060820).

All lanes:

Immunoprecipitation - Anti-IL-6R antibody [EPR22628-236] (ab222101)

Predicted band size: 52 kDa

Observed band size: 50 kDa,70 kDa,80 kDa

false

Flow Cytometry - Anti-IL-6R antibody [EPR22628-236] (AB222101)
  • Flow Cyt

Unknown

Flow Cytometry - Anti-IL-6R antibody [EPR22628-236] (AB222101)

Flow cytometric analysis of K562 (human chronic myelogenous leukemia cell line from bone marrow) (Left) and U937 (human histiocytic lymphoma cell line) (Right) cells labeling IL-6R with ab222101 at 1/50 (red) compared with Recombinant Rabbit IgG, monoclonal [EPR25A] - Isotype Control (ab172730) (black) and an unlabelled control (cells without incubation with primary antibody and secondary antibody) (blue). Goat Anti-Rabbit IgG Fc (Alexa Fluor® 488) preadsorbed (ab150097), at 1/5000 dilution was used as the secondary antibody.

Negative control : K562 (PMID : 8300137)

Gated on viable cells.

Western blot - Anti-IL-6R antibody [EPR22628-236] (AB222101)
  • WB

Supplier Data

Western blot - Anti-IL-6R antibody [EPR22628-236] (AB222101)

The molecular weight observed is consistent with what has been described in the literature (PMID : 28276471, 28060820).

Bands between 40-70KD are likely to be cleaved forms (PMID : 28060820).

Negative control : K-562 (PMID : 8300137)

All lanes:

Western blot - Anti-IL-6R antibody [EPR22628-236] (ab222101) at 1/1000 dilution

Lane 1:

U266B1 (human multiple myeloma b lymphocyte) whole cell lysate at 40 µg

Lane 2:

K-562 (human chronic myelogenous leukemia lymphoblast) whole cell lysate at 40 µg

Secondary

All lanes:

Western blot - Goat Anti-Rabbit IgG H&L (HRP) (<a href='/en-us/products/secondary-antibodies/goat-rabbit-igg-h-l-hrp-ab97051'>ab97051</a>) at 1/20000 dilution

Predicted band size: 52 kDa

Observed band size: 40 kDa,50 kDa,70 kDa,80 kDa

false

Exposure time: 48s

  • Carrier free

    Anti-IL-6R antibody [EPR22628-236] - BSA and Azide free

Key facts

Host species

Rabbit

Clonality

Monoclonal

Clone number

EPR22628-236

Isotype

IgG

Carrier free

No

Reacts with

Human

Applications

Flow Cyt, WB, IP

applications

Immunogen

The exact immunogen used to generate this antibody is proprietary information.

Reactivity data

{ "title": "Reactivity Data", "filters": { "stats": ["", "Species", "Dilution Info", "Notes"], "tabs": { "all-applications": {"fullname" : "All Applications", "shortname": "All Applications"}, "IP" : {"fullname" : "Immunoprecipitation", "shortname":"IP"}, "FlowCyt" : {"fullname" : "Flow Cytometry", "shortname":"Flow Cyt"}, "WB" : {"fullname" : "Western blot", "shortname":"WB"}, "IHCP" : {"fullname" : "Immunohistochemistry (Formalin/PFA-fixed paraffin-embedded sections)", "shortname":"IHC-P"}, "ICCIF" : {"fullname" : "Immunocytochemistry/ Immunofluorescence", "shortname":"ICC/IF"} }, "product-promise": { "all": "all", "testedAndGuaranteed": "tested", "guaranteed": "expected", "predicted": "predicted", "notRecommended": "not-recommended" } }, "values": { "Human": { "IP-species-checked": "testedAndGuaranteed", "IP-species-dilution-info": "1/30", "IP-species-notes": "<p></p>", "FlowCyt-species-checked": "testedAndGuaranteed", "FlowCyt-species-dilution-info": "1/50", "FlowCyt-species-notes": "<p></p>", "WB-species-checked": "testedAndGuaranteed", "WB-species-dilution-info": "1/1000", "WB-species-notes": "<p></p>", "IHCP-species-checked": "notRecommended", "IHCP-species-dilution-info": "", "IHCP-species-notes": "<p></p>", "ICCIF-species-checked": "notRecommended", "ICCIF-species-dilution-info": "", "ICCIF-species-notes": "<p></p>" } } }

You may be interested in:

AB278117

Human IL-6 R alpha ELISA Kit

0

0 Reviews

View product

We recommend this product because it’s often used in the same experiment or related research.

We advise that you always check the datasheet to ensure it fits your experiments, or contact ourtechnical teamfor help.

Product details

Patented technology
Our RabMAb® technology is a patented hybridoma-based technology for making rabbit monoclonal antibodies. For details on our patents, please refer to RabMAb® patents.

What are the advantages of a recombinant monoclonal antibody?
This product is a recombinant monoclonal antibody, which offers several advantages including:

  • - High batch-to-batch consistency and reproducibility
  • - Improved sensitivity and specificity
  • - Long-term security of supply
  • - Animal-free batch production

For more information, read more on recombinant antibodies.

Properties and storage information

Form
Liquid
Purification technique
Affinity purification Protein A
Storage buffer
pH: 7.2 - 7.4 Preservative: 0.01% Sodium azide Constituents: PBS, 40% Glycerol (glycerin, glycerine), 0.05% BSA
Shipped at conditions
Blue Ice
Appropriate short-term storage duration
1-2 weeks
Appropriate short-term storage conditions
+4°C
Appropriate long-term storage conditions
-20°C
Aliquoting information
Upon delivery aliquot
Storage information
Avoid freeze / thaw cycle

Supplementary information

This supplementary information is collated from multiple sources and compiled automatically.

IL-6R also known as the IL-6 receptor or IL-6R protein is a transmembrane protein with an approximate mass of 80-90 kDa. This receptor is found on the surface of various cells including hepatocytes leukocytes and immune cells like T-cells and macrophages. IL-6R binds to interleukin-6 (IL-6) a cytokine and plays an important role in immune response regulation. The receptor exists in both membrane-bound and soluble forms each contributing to diverse signaling events.
Biological function summary

IL-6 receptor function involves mediating the effects of IL-6 through its interaction with glycoprotein 130 (gp130) forming a signaling complex. This complex initiates intracellular pathways that lead to gene expression changes necessary for immune responses inflammation and hematopoiesis. When IL-6 binds IL-6R the complex formation with gp130 triggers downstream signaling that impacts cell growth differentiation and survival.

Pathways

IL-6R is central to the JAK/STAT signaling pathway one of the two main pathways activated by IL-6 signaling. It's also involved in the MAPK cascade contributing to cellular responses such as proliferation and differentiation. Through these pathways IL-6R interacts with other proteins like JAK kinases and STAT transcription factors coordinating cellular responses to external signals.

IL-6R is associated with inflammatory diseases such as rheumatoid arthritis and certain cancers. In rheumatoid arthritis overexpression of IL-6R leads to persistent inflammation and joint damage. In cancer IL-6/IL-6R signaling promotes tumorigenesis and cancer cell survival through interactions with proteins like STAT3. Understanding these connections aids in developing therapeutic interventions targeting IL-6R in various pathological conditions.

Product protocols

For this product, it's our understanding that no specific protocols are required. You can visit:

Target data

Part of the receptor for interleukin 6. Binds to IL6 with low affinity, but does not transduce a signal (PubMed : 28265003). Signal activation necessitate an association with IL6ST. Activation leads to the regulation of the immune response, acute-phase reactions and hematopoiesis (PubMed : 30995492, PubMed : 31235509). The interaction with membrane-bound IL6R and IL6ST stimulates 'classic signaling', the restricted expression of the IL6R limits classic IL6 signaling to only a few tissues such as the liver and some cells of the immune system. Whereas the binding of IL6 and soluble IL6R to IL6ST stimulates 'trans-signaling'. Alternatively, 'cluster signaling' occurs when membrane-bound IL6 : IL6R complexes on transmitter cells activate IL6ST receptors on neighboring receiver cells (Probable).. Isoform 1. Signaling via the membrane-bound IL6R is mostly regenerative and anti-inflammatory (Probable). Drives naive CD4(+) T cells to the Th17 lineage, through 'cluster signaling' by dendritic cells (By similarity).. Isoform 2. Soluble form of IL6 receptor (sIL6R) that acts as an agonist of IL6 activity (PubMed : 21990364). The IL6 : sIL6R complex (hyper-IL6) binds to IL6ST/gp130 on cell surfaces and induces signaling also on cells that do not express membrane-bound IL6R in a process called IL6 'trans-signaling'. sIL6R is causative for the pro-inflammatory properties of IL6 and an important player in the development of chronic inflammatory diseases (PubMed : 21990364). In complex with IL6, is required for induction of VEGF production (PubMed : 12794819). Plays a protective role during liver injury, being required for maintenance of tissue regeneration (By similarity). 'Trans-signaling' in central nervous system regulates energy and glucose homeostasis (By similarity).. Soluble interleukin-6 receptor subunit alpha. Soluble form of IL6 receptor (sIL6R) that acts as an agonist of IL6 activity (PubMed : 21990364). The IL6 : sIL6R complex (hyper-IL6) binds to IL6ST/gp130 on cell surfaces and induces signaling also on cells that do not express membrane-bound IL6R in a process called IL6 'trans-signaling'. sIL6R is causative for the pro-inflammatory properties of IL6 and an important player in the development of chronic inflammatory diseases (PubMed : 21990364). In complex with IL6, is required for induction of VEGF production (PubMed : 12794819). Plays a protective role during liver injury, being required for maintenance of tissue regeneration (By similarity). 'Trans-signaling' in central nervous system regulates energy and glucose homeostasis (By similarity).
See full target information IL6R

Publications (6)

Recent publications for all applications. Explore the full list and refine your search

Biomolecules 13: PubMed37238588

2023

IL-6-Mediated Upregulated miRNAs in Extracellular Vesicles Derived from Lund Human Mesencephalic (LUHMES) Cells: Effects on Astrocytes and Microglia.

Applications

Unspecified application

Species

Unspecified reactive species

Kento Nishi,Hiroto Izumi,Taisuke Tomonaga,Chikage Nagano,Yasuo Morimoto,Seichi Horie

Annals of translational medicine 11:101 PubMed36819547

2023

protects against ischemic stroke by targeting .

Applications

Unspecified application

Species

Unspecified reactive species

Lan Zhan,Zhuang Mu,Hao Jiang,Shicun Zhang,Yu Pang,Hongwei Jin,Jing Chen,Cuiying Jia,Hongyan Guo

Journal of biomedical science 29:101 PubMed36419076

2022

Circadian gene Rev-erbα influenced by sleep conduces to pregnancy by promoting endometrial decidualization via IL-6-PR-C/EBPβ axis.

Applications

Unspecified application

Species

Unspecified reactive species

Liyuan Cui,Feng Xu,Chunfang Xu,Yan Ding,Songcun Wang,Meirong Du

Frontiers in oncology 11:740557 PubMed34765550

2021

Icaritin-Induced FAM99A Affects GLUT1-Mediated Glycolysis Regulating the JAK2/STAT3 Pathway in Hepatocellular Carcinoma.

Applications

Unspecified application

Species

Unspecified reactive species

Xia Zheng,Yudong Gou,Ziyu Jiang,Aizhen Yang,Zhihui Yang,Shukui Qin

Cancers 13: PubMed33946867

2021

Integration of Metabolomics and Gene Expression Profiling Elucidates IL4I1 as Modulator of Ibrutinib Resistance in ABC-Diffuse Large B Cell Lymphoma.

Applications

Unspecified application

Species

Unspecified reactive species

Fouad Choueiry,Satishkumar Singh,Anuvrat Sircar,Georgios Laliotis,Xiaowei Sun,Evangelia Chavdoula,Shiqi Zhang,JoBeth Helmig-Mason,Amber Hart,Narendranath Epperla,Philip Tsichlis,Robert Baiocchi,Lapo Alinari,Jiangjiang Zhu,Lalit Sehgal

Nature communications 12:66 PubMed33397952

2021

Hepatocyte-specific IL11 cis-signaling drives lipotoxicity and underlies the transition from NAFLD to NASH.

Applications

Unspecified application

Species

Unspecified reactive species

Jinrui Dong,Sivakumar Viswanathan,Eleonora Adami,Brijesh K Singh,Sonia P Chothani,Benjamin Ng,Wei Wen Lim,Jin Zhou,Madhulika Tripathi,Nicole S J Ko,Shamini G Shekeran,Jessie Tan,Sze Yun Lim,Mao Wang,Pei Min Lio,Paul M Yen,Sebastian Schafer,Stuart A Cook,Anissa A Widjaja
View all publications

Product promise

We are committed to supporting your work with high-quality reagents, and we're here for you every step of the way. In the unlikely event that one of our products does not perform as expected, you're protected by our Product Promise.
For full details, please see our Terms & Conditions

Associated Products

Select an associated product type
Alternative Product
Primary Antibodies

AB83053

Anti-IL-6R antibody [AP-MAB0848]

primary-antibodies

il-6r-antibody-ap-mab0848-ab83053

4

(3 reviews)

Alternative Product
Primary Antibodies

AB27321

FITC Anti-IL-6R antibody [B-R6]

primary-antibodies

fitc-il-6r-antibody-b-r6-ab27321

0

(0 reviews)

Alternative Product
Primary Antibodies

AB47215

Anti-IL-6R antibody [B-R6]-BSA and Azide free

primary-antibodies

il-6r-antibody-b-r6-bsa-and-azide-free-ab47215

1

(1 reviews)

Please note: All products are 'FOR RESEARCH USE ONLY. NOT FOR USE IN DIAGNOSTIC OR THERAPEUTIC PROCEDURES'.

For licensing inquiries, please contact partnerships@abcam.com