JavaScript is disabled in your browser. Please enable JavaScript to view this website.
AB271042

Anti-IL-6R antibody [EPR24322-143]

  • BOND RX™ Validated
  • 20ul selling size
  • RabMAb
  • Recombinant
  • What is this?

5

(1 Review)

|

(10 Publications)

Rabbit Recombinant Monoclonal IL-6R antibody. Suitable for ICC/IF, IP, WB, IHC-P and reacts with Human samples. Cited in 10 publications.

View Alternative Names

CD126, Interleukin-6 receptor subunit alpha, IL-6 receptor subunit alpha, IL-6R subunit alpha, IL-6R-alpha, IL-6RA, IL-6R 1, Membrane glycoprotein 80, gp80, IL6R

6 Images
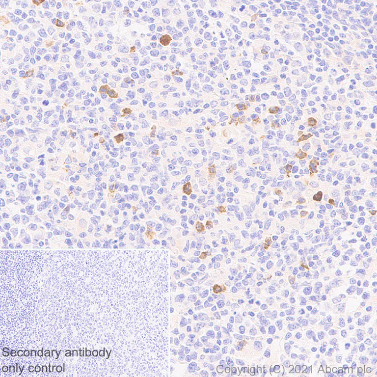
Immunohistochemistry (Formalin/PFA-fixed paraffin-embedded sections) - Anti-IL-6R antibody [EPR24322-143] (AB271042)
  • IHC-P

Supplier Data

Immunohistochemistry (Formalin/PFA-fixed paraffin-embedded sections) - Anti-IL-6R antibody [EPR24322-143] (AB271042)

Immunohistochemical analysis of paraffin-embedded Human tonsil tissue labelling IL-6R with ab271042 at 1/2000 dilution (0.255 ug/ml) followed by a ready to use LeicaDS9800 (Bond™ Polymer Refine Detection). Cyoplasmics staining on human tonsil. The section was incubated with ab271042 for 30 minutes at room temperature. The immunostaining was performed on a Leica Biosystems BOND® RX instrument Counterstained with Hematoxylin.

Secondary antibody only control : Secondary antibody is a ready to use LeicaDS9800 (Bond™ Polymer Refine Detection).

Heat mediated antigen retrieval with Tris-EDTA buffer (pH 9.0, epitope retrieval solution2) for 20 minutes.

Immunohistochemistry (Formalin/PFA-fixed paraffin-embedded sections) - Anti-IL-6R antibody [EPR24322-143] (AB271042)
  • IHC-P

Supplier Data

Immunohistochemistry (Formalin/PFA-fixed paraffin-embedded sections) - Anti-IL-6R antibody [EPR24322-143] (AB271042)

Immunohistochemical analysis of paraffin-embedded Human placenta tissue labelling IL-6R with ab271042 at 1/2000 dilution (0.255 ug/ml) followed by a ready to use LeicaDS9800 (Bond™ Polymer Refine Detection). Cyoplasmics staining on human placenta (PMID : 25658637). The section was incubated with ab271042 for 30 minutes at room temperature. The immunostaining was performed on a Leica Biosystems BOND® RX instrument Counterstained with Hematoxylin.

Secondary antibody only control : Secondary antibody is a ready to use LeicaDS9800 (Bond™ Polymer Refine Detection).

Heat mediated antigen retrieval with Tris-EDTA buffer (pH 9.0, epitope retrieval solution2) for 20 minutes.

Immunocytochemistry/ Immunofluorescence - Anti-IL-6R antibody [EPR24322-143] (AB271042)
  • ICC/IF

Supplier Data

Immunocytochemistry/ Immunofluorescence - Anti-IL-6R antibody [EPR24322-143] (AB271042)

Immunofluorescent analysis of 4% Paraformaldehyde-fixed, 0.1% TritonX-100 permeabilized U266B1 cells labelling IL-6R with ab271042 at 1/50 dilution, followed by ab150077 Goat Anti-Rabbit IgG H&L (Alexa Fluor® 488) antibody at 1/1000 dilution (Green). Confocal image showing cytoplasmic staining in U266B1 cells. Negative control : K-562 (PMID : 8300137) is observed. ab195889 Anti-alpha Tubulin mouse monoclonal antibody - Microtubule Marker (Alexa Fluor® 594) was used to counterstain tubulin at 1/200 dilution (Red). The Nuclear counterstain was DAPI (Blue).

Secondary antibody only control : Secondary antibody is ab150077 Goat Anti-Rabbit IgG H&L (Alexa Fluor® 488) at 1/1000 dilution.

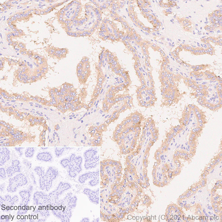
Immunohistochemistry (Formalin/PFA-fixed paraffin-embedded sections) - Anti-IL-6R antibody [EPR24322-143] (AB271042)
  • IHC-P

Supplier Data

Immunohistochemistry (Formalin/PFA-fixed paraffin-embedded sections) - Anti-IL-6R antibody [EPR24322-143] (AB271042)

Immunohistochemical analysis of paraffin-embedded Human thyroid carcinoma tissue labelling IL-6R with ab271042 at 1/2000 dilution (0.255 ug/ml) followed by a ready to use LeicaDS9800 (Bond™ Polymer Refine Detection). Cyoplasmics staining on human thyroid carcinoma. The section was incubated with ab271042 for 30 minutes at room temperature. The immunostaining was performed on a Leica Biosystems BOND® RX instrument Counterstained with Hematoxylin.

Secondary antibody only control : Secondary antibody is a ready to use LeicaDS9800 (Bond™ Polymer Refine Detection).

Heat mediated antigen retrieval with Tris-EDTA buffer (pH 9.0, epitope retrieval solution2) for 20 minutes.

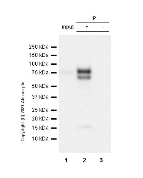
Immunoprecipitation - Anti-IL-6R antibody [EPR24322-143] (AB271042)
  • IP

Supplier Data

Immunoprecipitation - Anti-IL-6R antibody [EPR24322-143] (AB271042)

IL-6R was immunoprecipitated from 0.35 mg U266B1 (human multiple myeloma B lymphocyte) whole cell lysate 10 ug with ab271042 at 1/30 dilution (2ug in 0.35mg lysates). Western blot was performed on the immunoprecipitate using ab271042 at 1/1000 dilution. VeriBlot for IP Detection Reagent (HRP)(ab131366) was used at 1/5000 dilution.

Lane 1 : U266B1 (human multiple myeloma B lymphocyte) whole cell lysate 10 ug

Lane 2 : ab271042 IP in U266B1 whole cell lysate

Lane 3 : Rabbit monoclonal IgG (ab172730) instead of ab271042 in U266B1 whole cell lysate

Blocking and dilution buffer and concentration : 5% NFDM/TBST.

Exposure time : 5.5 seconds

All lanes:

Immunoprecipitation - Anti-IL-6R antibody [EPR24322-143] (ab271042)

Predicted band size: 52 kDa

Observed band size: 70-80 kDa

false

Western blot - Anti-IL-6R antibody [EPR24322-143] (AB271042)
  • WB

Lab

Western blot - Anti-IL-6R antibody [EPR24322-143] (AB271042)

Blocking and diluting buffer and concentration : 5% NFDM/TBST

The observed MW is consistent with what has been described in the literature (PMID : 28276471, 21282511).

Negative control : K-562 (PMID : 8300137)

This blot was developed using a higher sensitivity ECL substrate.

Exposure time : 37 seconds

All lanes:

Western blot - Anti-IL-6R antibody [EPR24322-143] (ab271042) at 1/1000 dilution

Lane 1:

U266B1 (human multiple myeloma B lymphocyte) whole cell lysate at 20 µg

Lane 2:

K-562 (human chronic myelogenous leukemia lymphoblast) whole cell lysate at 20 µg

Secondary

All lanes:

Western blot - Goat Anti-Rabbit IgG H&L (HRP) (<a href='/en-us/products/secondary-antibodies/goat-rabbit-igg-h-l-hrp-ab97051'>ab97051</a>) at 1/20000 dilution

Predicted band size: 52 kDa

Observed band size: 70-80 kDa

false

  • Carrier free

    Anti-IL-6R antibody [EPR24322-143] - BSA and Azide free

  • 519 Alexa Fluor® 488

    Alexa Fluor® 488 Anti-IL-6R antibody [EPR24322-143]

  • 665 Alexa Fluor® 647

    Alexa Fluor® 647 Anti-IL-6R antibody [EPR24322-143]

  • 565 Alexa Fluor® 555

    Alexa Fluor® 555 Anti-IL-6R antibody [EPR24322-143]

  • 660 APC

    APC Anti-IL-6R antibody [EPR24322-143]

  • 578 PE

    PE Anti-IL-6R antibody [EPR24322-143]

  • 617 Alexa Fluor® 594

    Alexa Fluor® 594 Anti-IL-6R antibody [EPR24322-143]

  • 775 Alexa Fluor® 750

    Alexa Fluor® 750 Anti-IL-6R antibody [EPR24322-143]

Key facts

Host species

Rabbit

Clonality

Monoclonal

Clone number

EPR24322-143

Isotype

IgG

Carrier free

No

Reacts with

Human

Applications

ICC/IF, IP, IHC-P, WB

applications

Immunogen

The exact immunogen used to generate this antibody is proprietary information.

Reactivity data

{ "title": "Reactivity Data", "filters": { "stats": ["", "Species", "Dilution Info", "Notes"], "tabs": { "all-applications": {"fullname" : "All Applications", "shortname": "All Applications"}, "ICCIF" : {"fullname" : "Immunocytochemistry/ Immunofluorescence", "shortname":"ICC/IF"}, "IP" : {"fullname" : "Immunoprecipitation", "shortname":"IP"}, "WB" : {"fullname" : "Western blot", "shortname":"WB"}, "IHCP" : {"fullname" : "Immunohistochemistry (Formalin/PFA-fixed paraffin-embedded sections)", "shortname":"IHC-P"}, "FlowCytIntra" : {"fullname" : "Flow Cytometry (Intracellular)", "shortname":"Flow Cyt (Intra)"} }, "product-promise": { "all": "all", "testedAndGuaranteed": "tested", "guaranteed": "expected", "predicted": "predicted", "notRecommended": "not-recommended" } }, "values": { "Human": { "ICCIF-species-checked": "testedAndGuaranteed", "ICCIF-species-dilution-info": "1/50", "ICCIF-species-notes": "<p></p>", "IP-species-checked": "testedAndGuaranteed", "IP-species-dilution-info": "1/30", "IP-species-notes": "<p></p>", "WB-species-checked": "testedAndGuaranteed", "WB-species-dilution-info": "1/1000", "WB-species-notes": "<p></p>", "IHCP-species-checked": "testedAndGuaranteed", "IHCP-species-dilution-info": "1/2000", "IHCP-species-notes": "<p></p>", "FlowCytIntra-species-checked": "notRecommended", "FlowCytIntra-species-dilution-info": "", "FlowCytIntra-species-notes": "<p></p>" }, "Mouse": { "ICCIF-species-checked": "notRecommended", "ICCIF-species-dilution-info": "", "ICCIF-species-notes": "", "IP-species-checked": "notRecommended", "IP-species-dilution-info": "", "IP-species-notes": "", "WB-species-checked": "notRecommended", "WB-species-dilution-info": "1/1000", "WB-species-notes": "<p></p>", "IHCP-species-checked": "notRecommended", "IHCP-species-dilution-info": "1/2000", "IHCP-species-notes": "<p></p>", "FlowCytIntra-species-checked": "notRecommended", "FlowCytIntra-species-dilution-info": "", "FlowCytIntra-species-notes": "" }, "Rat": { "ICCIF-species-checked": "notRecommended", "ICCIF-species-dilution-info": "", "ICCIF-species-notes": "", "IP-species-checked": "notRecommended", "IP-species-dilution-info": "", "IP-species-notes": "", "WB-species-checked": "notRecommended", "WB-species-dilution-info": "1/1000", "WB-species-notes": "<p></p>", "IHCP-species-checked": "notRecommended", "IHCP-species-dilution-info": "1/2000", "IHCP-species-notes": "<p></p>", "FlowCytIntra-species-checked": "notRecommended", "FlowCytIntra-species-dilution-info": "", "FlowCytIntra-species-notes": "" } } }

Product details

Patented technology
Our RabMAb® technology is a patented hybridoma-based technology for making rabbit monoclonal antibodies. For details on our patents, please refer to RabMAb® patents.

What are the advantages of a recombinant monoclonal antibody?
This product is a recombinant monoclonal antibody, which offers several advantages including:

  • - High batch-to-batch consistency and reproducibility
  • - Improved sensitivity and specificity
  • - Long-term security of supply
  • - Animal-free batch production

For more information, read more on recombinant antibodies.

Properties and storage information

Form
Liquid
Purification technique
Affinity purification Protein A
Storage buffer
Preservative: 0.01% Sodium azide Constituents: PBS, 40% Glycerol (glycerin, glycerine), 0.05% BSA
Shipped at conditions
Blue Ice
Appropriate short-term storage duration
1-2 weeks
Appropriate short-term storage conditions
+4°C
Appropriate long-term storage conditions
-20°C
Aliquoting information
Upon delivery aliquot
Storage information
Avoid freeze / thaw cycle

Supplementary information

This supplementary information is collated from multiple sources and compiled automatically.

IL-6R also known as the IL-6 receptor or IL-6R protein is a transmembrane protein with an approximate mass of 80-90 kDa. This receptor is found on the surface of various cells including hepatocytes leukocytes and immune cells like T-cells and macrophages. IL-6R binds to interleukin-6 (IL-6) a cytokine and plays an important role in immune response regulation. The receptor exists in both membrane-bound and soluble forms each contributing to diverse signaling events.
Biological function summary

IL-6 receptor function involves mediating the effects of IL-6 through its interaction with glycoprotein 130 (gp130) forming a signaling complex. This complex initiates intracellular pathways that lead to gene expression changes necessary for immune responses inflammation and hematopoiesis. When IL-6 binds IL-6R the complex formation with gp130 triggers downstream signaling that impacts cell growth differentiation and survival.

Pathways

IL-6R is central to the JAK/STAT signaling pathway one of the two main pathways activated by IL-6 signaling. It's also involved in the MAPK cascade contributing to cellular responses such as proliferation and differentiation. Through these pathways IL-6R interacts with other proteins like JAK kinases and STAT transcription factors coordinating cellular responses to external signals.

IL-6R is associated with inflammatory diseases such as rheumatoid arthritis and certain cancers. In rheumatoid arthritis overexpression of IL-6R leads to persistent inflammation and joint damage. In cancer IL-6/IL-6R signaling promotes tumorigenesis and cancer cell survival through interactions with proteins like STAT3. Understanding these connections aids in developing therapeutic interventions targeting IL-6R in various pathological conditions.

Product protocols

For this product, it's our understanding that no specific protocols are required. You can visit:

Target data

Part of the receptor for interleukin 6. Binds to IL6 with low affinity, but does not transduce a signal (PubMed : 28265003). Signal activation necessitate an association with IL6ST. Activation leads to the regulation of the immune response, acute-phase reactions and hematopoiesis (PubMed : 30995492, PubMed : 31235509). The interaction with membrane-bound IL6R and IL6ST stimulates 'classic signaling', the restricted expression of the IL6R limits classic IL6 signaling to only a few tissues such as the liver and some cells of the immune system. Whereas the binding of IL6 and soluble IL6R to IL6ST stimulates 'trans-signaling'. Alternatively, 'cluster signaling' occurs when membrane-bound IL6 : IL6R complexes on transmitter cells activate IL6ST receptors on neighboring receiver cells (Probable).. Isoform 1. Signaling via the membrane-bound IL6R is mostly regenerative and anti-inflammatory (Probable). Drives naive CD4(+) T cells to the Th17 lineage, through 'cluster signaling' by dendritic cells (By similarity).. Isoform 2. Soluble form of IL6 receptor (sIL6R) that acts as an agonist of IL6 activity (PubMed : 21990364). The IL6 : sIL6R complex (hyper-IL6) binds to IL6ST/gp130 on cell surfaces and induces signaling also on cells that do not express membrane-bound IL6R in a process called IL6 'trans-signaling'. sIL6R is causative for the pro-inflammatory properties of IL6 and an important player in the development of chronic inflammatory diseases (PubMed : 21990364). In complex with IL6, is required for induction of VEGF production (PubMed : 12794819). Plays a protective role during liver injury, being required for maintenance of tissue regeneration (By similarity). 'Trans-signaling' in central nervous system regulates energy and glucose homeostasis (By similarity).. Soluble interleukin-6 receptor subunit alpha. Soluble form of IL6 receptor (sIL6R) that acts as an agonist of IL6 activity (PubMed : 21990364). The IL6 : sIL6R complex (hyper-IL6) binds to IL6ST/gp130 on cell surfaces and induces signaling also on cells that do not express membrane-bound IL6R in a process called IL6 'trans-signaling'. sIL6R is causative for the pro-inflammatory properties of IL6 and an important player in the development of chronic inflammatory diseases (PubMed : 21990364). In complex with IL6, is required for induction of VEGF production (PubMed : 12794819). Plays a protective role during liver injury, being required for maintenance of tissue regeneration (By similarity). 'Trans-signaling' in central nervous system regulates energy and glucose homeostasis (By similarity).
See full target information IL6R

Publications (10)

Recent publications for all applications. Explore the full list and refine your search

Antioxidants (Basel, Switzerland) 14: PubMed40867839

2025

Biomarker-Driven Optimization of Saponin Therapy in MASLD: From Mouse Models to Human Liver Organoids.

Applications

Unspecified application

Species

Unspecified reactive species

Hye Young Kim,Ju Hee Oh,Hyun Sung Kim,Dae Won Jun

BJC reports 3:49 PubMed40624140

2025

IL-6R expression is an independent prognostic factor in high-grade serous ovarian cancer.

Applications

Unspecified application

Species

Unspecified reactive species

Alexis M Maagdenberg,Annegé Vledder,Sterre T Paijens,Annechien Plat,Floris Foijer,Hans W Nijman,Marco de Bruyn

Respiratory research 26:180 PubMed40349069

2025

Intrapleural dual blockade of IL-6 and PD-L1 reprograms CAF dynamics and the tumor microenvironment in lung cancer-associated malignant pleural effusion.

Applications

Unspecified application

Species

Unspecified reactive species

Qinpei Cheng,Xueying Zuo,Zimu Wang,Wanjun Lu,Yuxin Jiang,Jiaxin Liu,Xinying Li,Qiuli Xu,Suhua Zhu,Xin Liu,Yong Song,Ping Zhan,Tangfeng Lv

Frontiers in pharmacology 15:1483896 PubMed39845783

2025

Ginsenoside Rh2 regulates triple-negative breast cancer proliferation and apoptosis via the IL-6/JAK2/STAT3 pathway.

Applications

Unspecified application

Species

Unspecified reactive species

Rumeng Ding,Quancheng Kan,Ting Wang,Ran Xiao,Yanan Song,Duolu Li

International journal of immunopathology and pharmacology 38:3946320241297342 PubMed39475763

2024

The senomorphic impact of astaxanthin on irradiated rat spleen: STING, TLR4 and mTOR contributed pathway.

Applications

Unspecified application

Species

Unspecified reactive species

Maha M Aziz,Marwa M El-Sheikh,Marwa A Mohamed,Sahar S Abdelrahman,Mai H Mekkawy

Heliyon 10:e37715 PubMed39315204

2024

The AC010247.2/miR-125b-5p axis triggers the malignant progression of acute myelocytic leukemia by IL-6R.

Applications

Unspecified application

Species

Unspecified reactive species

Fang Xie,Jialu Xu,Lina Yan,Xia Xiao,Liang Liu

Emerging microbes & infections 13:2366359 PubMed38855910

2024

Deciphering lung granulomas in HIV & TB co-infection: unveiling macrophages aggregation with IL6R/STAT3 activation.

Applications

Unspecified application

Species

Unspecified reactive species

Qian Li,Cheng Wang,Jizhou Gou,Simo Kitanovski,XiangYi Tang,Yixuan Cai,Chenxia Zhang,Xiling Zhang,Zhenfeng Zhang,Yuanwang Qiu,Fang Zhao,Mengji Lu,Yun He,Jun Wang,Hongzhou Lu

Neoplasia (New York, N.Y.) 48:100960 PubMed38184887

2024

Lactate promoted cisplatin resistance in NSCLC by modulating the m6A modification-mediated FOXO3/MAGI1-IT1/miR-664b-3p/IL-6R axis.

Applications

Unspecified application

Species

Unspecified reactive species

Wei Bo,Ning Yu,Xiaokai Wang,Chun Wang,Chunying Liu

Aging 15:8113-8136 PubMed37595258

2023

Comprehensive characterization of pyroptosis phenotypes with distinct tumor immune profiles in gastric cancer to aid immunotherapy.

Applications

Unspecified application

Species

Unspecified reactive species

Kaida Huang,Yubiao Lin,Guoqin Qiu,Shengyu Wang,Lihua Feng,Zhigao Zheng,Yingqin Gao,Xin Fan,Wenhui Zheng,Jianmin Zhuang,Fanghong Luo,Shuitu Feng

Proceedings of the National Academy of Sciences of the United States of America 119: PubMed35027451

2022

PDGF-D-PDGFRβ signaling enhances IL-15-mediated human natural killer cell survival.

Applications

Unspecified application

Species

Unspecified reactive species

Shoubao Ma,Tingting Tang,Xiaojin Wu,Anthony G Mansour,Ting Lu,Jianying Zhang,Li-Shu Wang,Michael A Caligiuri,Jianhua Yu
View all publications

Product promise

We are committed to supporting your work with high-quality reagents, and we're here for you every step of the way. In the unlikely event that one of our products does not perform as expected, you're protected by our Product Promise.
For full details, please see our Terms & Conditions

Please note: All products are 'FOR RESEARCH USE ONLY. NOT FOR USE IN DIAGNOSTIC OR THERAPEUTIC PROCEDURES'.

For licensing inquiries, please contact partnerships@abcam.com