JavaScript is disabled in your browser. Please enable JavaScript to view this website.
AB280573

Anti-IL-6R antibody [EPR24322-143] - BSA and Azide free

5

(2 Reviews)

|

(0 Publication)

Rabbit Recombinant Monoclonal IL-6R antibody. Carrier free. Suitable for ICC/IF, IP, WB, IHC-P and reacts with Human samples.

View Alternative Names

CD126, Interleukin-6 receptor subunit alpha, IL-6 receptor subunit alpha, IL-6R subunit alpha, IL-6R-alpha, IL-6RA, IL-6R 1, Membrane glycoprotein 80, gp80, IL6R

6 Images
Western blot - Anti-IL-6R antibody [EPR24322-143] - BSA and Azide free (AB280573)
  • WB

Lab

Western blot - Anti-IL-6R antibody [EPR24322-143] - BSA and Azide free (AB280573)

This data was developed using ab271042, the same antibody clone in a different buffer formulation.

Blocking and diluting buffer and concentration : 5% NFDM/TBST

The observed MW is consistent with what has been described in the literature (PMID : 28276471, 21282511).

Negative control : K-562 (PMID : 8300137)

This blot was developed using a higher sensitivity ECL substrate.

Exposure time : 37 seconds

All lanes:

Western blot - Anti-IL-6R antibody [EPR24322-143] (<a href='/en-us/products/primary-antibodies/il-6r-antibody-epr24322-143-ab271042'>ab271042</a>) at 1/1000 dilution

Lane 1:

U266B1 (human multiple myeloma B lymphocyte) whole cell lysate at 20 µg

Lane 2:

K-562 (human chronic myelogenous leukemia lymphoblast) whole cell lysate at 20 µg

Secondary

All lanes:

Western blot - Goat Anti-Rabbit IgG H&L (HRP) (<a href='/en-us/products/secondary-antibodies/goat-rabbit-igg-h-l-hrp-ab97051'>ab97051</a>) at 1/20000 dilution

Predicted band size: 52 kDa

Observed band size: 70-80 kDa

false

Immunohistochemistry (Formalin/PFA-fixed paraffin-embedded sections) - Anti-IL-6R antibody [EPR24322-143] - BSA and Azide free (AB280573)
  • IHC-P

Supplier Data

Immunohistochemistry (Formalin/PFA-fixed paraffin-embedded sections) - Anti-IL-6R antibody [EPR24322-143] - BSA and Azide free (AB280573)

This data was developed using ab271042, the same antibody clone in a different buffer formulation.

Immunohistochemical analysis of paraffin-embedded Human tonsil tissue labelling IL-6R with ab271042 at 1/2000 dilution (0.255 ug/ml) followed by a ready to use LeicaDS9800 (Bond™ Polymer Refine Detection). Cyoplasmics staining on human tonsil. The section was incubated with ab271042 for 30 minutes at room temperature. The immunostaining was performed on a Leica Biosystems BOND® RX instrument Counterstained with Hematoxylin.

Secondary antibody only control : Secondary antibody is a ready to use LeicaDS9800 (Bond™ Polymer Refine Detection).

Heat mediated antigen retrieval with Tris-EDTA buffer (pH 9.0, epitope retrieval solution2) for 20 minutes.

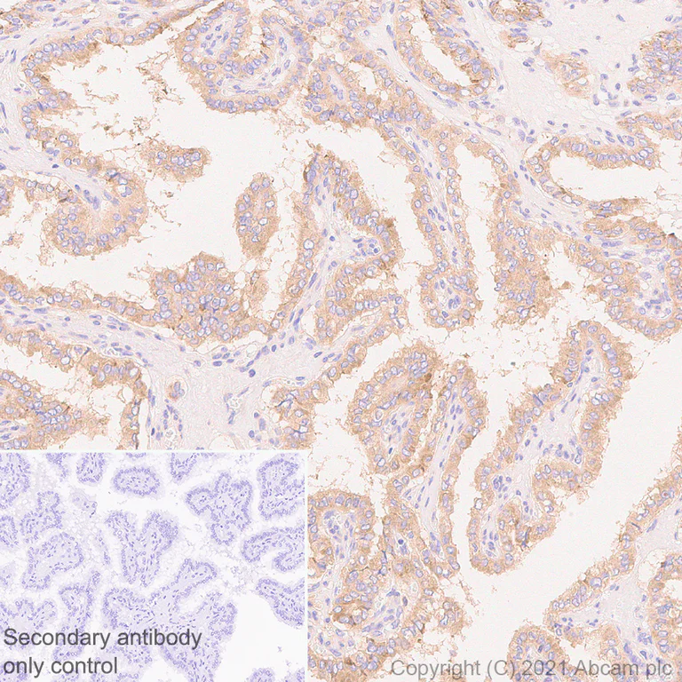
Immunohistochemistry (Formalin/PFA-fixed paraffin-embedded sections) - Anti-IL-6R antibody [EPR24322-143] - BSA and Azide free (AB280573)
  • IHC-P

Supplier Data

Immunohistochemistry (Formalin/PFA-fixed paraffin-embedded sections) - Anti-IL-6R antibody [EPR24322-143] - BSA and Azide free (AB280573)

This data was developed using ab271042, the same antibody clone in a different buffer formulation.

Immunohistochemical analysis of paraffin-embedded Human placenta tissue labelling IL-6R with ab271042 at 1/2000 dilution (0.255 ug/ml) followed by a ready to use LeicaDS9800 (Bond™ Polymer Refine Detection). Cyoplasmics staining on human placenta (PMID : 25658637). The section was incubated with ab271042 for 30 minutes at room temperature. The immunostaining was performed on a Leica Biosystems BOND® RX instrument Counterstained with Hematoxylin.

Secondary antibody only control : Secondary antibody is a ready to use LeicaDS9800 (Bond™ Polymer Refine Detection).

Heat mediated antigen retrieval with Tris-EDTA buffer (pH 9.0, epitope retrieval solution2) for 20 minutes.

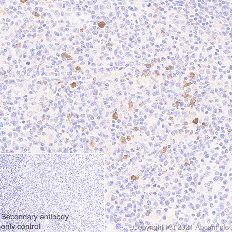
Immunohistochemistry (Formalin/PFA-fixed paraffin-embedded sections) - Anti-IL-6R antibody [EPR24322-143] - BSA and Azide free (AB280573)
  • IHC-P

Supplier Data

Immunohistochemistry (Formalin/PFA-fixed paraffin-embedded sections) - Anti-IL-6R antibody [EPR24322-143] - BSA and Azide free (AB280573)

This data was developed using ab271042, the same antibody clone in a different buffer formulation.

Immunohistochemical analysis of paraffin-embedded Human thyroid carcinoma tissue labelling IL-6R with ab271042 at 1/2000 dilution (0.255 ug/ml) followed by a ready to use LeicaDS9800 (Bond™ Polymer Refine Detection). Cyoplasmics staining on human thyroid carcinoma. The section was incubated with ab271042 for 30 minutes at room temperature. The immunostaining was performed on a Leica Biosystems BOND® RX instrument Counterstained with Hematoxylin.

Secondary antibody only control : Secondary antibody is a ready to use LeicaDS9800 (Bond™ Polymer Refine Detection).

Heat mediated antigen retrieval with Tris-EDTA buffer (pH 9.0, epitope retrieval solution2) for 20 minutes.

Immunocytochemistry/ Immunofluorescence - Anti-IL-6R antibody [EPR24322-143] - BSA and Azide free (AB280573)
  • ICC/IF

Supplier Data

Immunocytochemistry/ Immunofluorescence - Anti-IL-6R antibody [EPR24322-143] - BSA and Azide free (AB280573)

This data was developed using ab271042, the same antibody clone in a different buffer formulation.

Immunofluorescent analysis of 4% Paraformaldehyde-fixed, 0.1% TritonX-100 permeabilized U266B1 cells labelling IL-6R with ab271042 at 1/50 dilution, followed by ab150077 Goat Anti-Rabbit IgG H&L (Alexa Fluor® 488) antibody at 1/1000 dilution (Green). Confocal image showing cytoplasmic staining in U266B1 cells. Negative control : K-562 (PMID : 8300137) is observed. ab195889 Anti-alpha Tubulin mouse monoclonal antibody - Microtubule Marker (Alexa Fluor® 594) was used to counterstain tubulin at 1/200 dilution (Red). The Nuclear counterstain was DAPI (Blue).

Secondary antibody only control : Secondary antibody is ab150077 Goat Anti-Rabbit IgG H&L (Alexa Fluor® 488) at 1/1000 dilution.

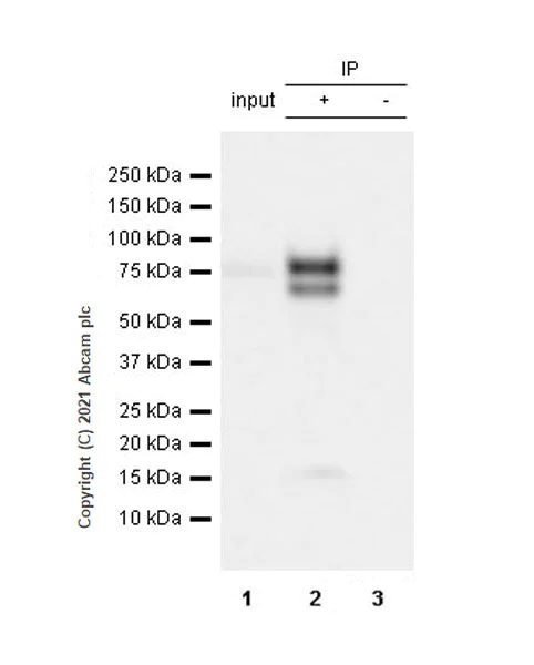
Immunoprecipitation - Anti-IL-6R antibody [EPR24322-143] - BSA and Azide free (AB280573)
  • IP

Supplier Data

Immunoprecipitation - Anti-IL-6R antibody [EPR24322-143] - BSA and Azide free (AB280573)

This data was developed using ab271042, the same antibody clone in a different buffer formulation.

IL-6R was immunoprecipitated from 0.35 mg U266B1 (human multiple myeloma B lymphocyte) whole cell lysate 10 ug with ab271042 at 1/30 dilution (2ug in 0.35mg lysates). Western blot was performed on the immunoprecipitate using ab271042 at 1/1000 dilution. VeriBlot for IP Detection Reagent (HRP)(ab131366) was used at 1/5000 dilution.

Lane 1 : U266B1 (human multiple myeloma B lymphocyte) whole cell lysate 10 ug

Lane 2 : ab271042 IP in U266B1 whole cell lysate

Lane 3 : Rabbit monoclonal IgG (ab172730) instead of ab271042 in U266B1 whole cell lysate

Blocking and dilution buffer and concentration : 5% NFDM/TBST.

Exposure time : 5.5 seconds

All lanes:

Immunoprecipitation - Anti-IL-6R antibody [EPR24322-143] (<a href='/en-us/products/primary-antibodies/il-6r-antibody-epr24322-143-ab271042'>ab271042</a>)

Predicted band size: 52 kDa

Observed band size: 70-80 kDa

false

  • Unconjugated

    Anti-IL-6R antibody [EPR24322-143]

  • 665 Alexa Fluor® 647

    Alexa Fluor® 647 Anti-IL-6R antibody [EPR24322-143]

  • 578 PE

    PE Anti-IL-6R antibody [EPR24322-143]

  • 660 APC

    APC Anti-IL-6R antibody [EPR24322-143]

  • 565 Alexa Fluor® 555

    Alexa Fluor® 555 Anti-IL-6R antibody [EPR24322-143]

  • 617 Alexa Fluor® 594

    Alexa Fluor® 594 Anti-IL-6R antibody [EPR24322-143]

  • 519 Alexa Fluor® 488

    Alexa Fluor® 488 Anti-IL-6R antibody [EPR24322-143]

  • 775 Alexa Fluor® 750

    Alexa Fluor® 750 Anti-IL-6R antibody [EPR24322-143]

Key facts

Host species

Rabbit

Clonality

Monoclonal

Clone number

EPR24322-143

Isotype

IgG

Carrier free

Yes

Reacts with

Human

Applications

WB, IHC-P, ICC/IF, IP

applications

Immunogen

The exact immunogen used to generate this antibody is proprietary information.

Reactivity data

{ "title": "Reactivity Data", "filters": { "stats": ["", "Species", "Dilution Info", "Notes"], "tabs": { "all-applications": {"fullname" : "All Applications", "shortname": "All Applications"}, "ICCIF" : {"fullname" : "Immunocytochemistry/ Immunofluorescence", "shortname":"ICC/IF"}, "IP" : {"fullname" : "Immunoprecipitation", "shortname":"IP"}, "WB" : {"fullname" : "Western blot", "shortname":"WB"}, "IHCP" : {"fullname" : "Immunohistochemistry (Formalin/PFA-fixed paraffin-embedded sections)", "shortname":"IHC-P"}, "FlowCytIntra" : {"fullname" : "Flow Cytometry (Intracellular)", "shortname":"Flow Cyt (Intra)"} }, "product-promise": { "all": "all", "testedAndGuaranteed": "tested", "guaranteed": "expected", "predicted": "predicted", "notRecommended": "not-recommended" } }, "values": { "Human": { "ICCIF-species-checked": "testedAndGuaranteed", "ICCIF-species-dilution-info": "", "ICCIF-species-notes": "<p></p>", "IP-species-checked": "testedAndGuaranteed", "IP-species-dilution-info": "", "IP-species-notes": "<p></p>", "WB-species-checked": "testedAndGuaranteed", "WB-species-dilution-info": "", "WB-species-notes": "<p></p>", "IHCP-species-checked": "testedAndGuaranteed", "IHCP-species-dilution-info": "", "IHCP-species-notes": "<p></p>", "FlowCytIntra-species-checked": "notRecommended", "FlowCytIntra-species-dilution-info": "", "FlowCytIntra-species-notes": "<p></p>" }, "Mouse": { "ICCIF-species-checked": "notRecommended", "ICCIF-species-dilution-info": "", "ICCIF-species-notes": "", "IP-species-checked": "notRecommended", "IP-species-dilution-info": "", "IP-species-notes": "", "WB-species-checked": "notRecommended", "WB-species-dilution-info": "", "WB-species-notes": "<p></p>", "IHCP-species-checked": "notRecommended", "IHCP-species-dilution-info": "", "IHCP-species-notes": "<p></p>", "FlowCytIntra-species-checked": "notRecommended", "FlowCytIntra-species-dilution-info": "", "FlowCytIntra-species-notes": "" }, "Rat": { "ICCIF-species-checked": "notRecommended", "ICCIF-species-dilution-info": "", "ICCIF-species-notes": "", "IP-species-checked": "notRecommended", "IP-species-dilution-info": "", "IP-species-notes": "", "WB-species-checked": "notRecommended", "WB-species-dilution-info": "", "WB-species-notes": "<p></p>", "IHCP-species-checked": "notRecommended", "IHCP-species-dilution-info": "", "IHCP-species-notes": "<p></p>", "FlowCytIntra-species-checked": "notRecommended", "FlowCytIntra-species-dilution-info": "", "FlowCytIntra-species-notes": "" } } }

You may be interested in:

AB278117

Human IL-6 R alpha ELISA Kit

0

0 Reviews

View product

We recommend this product because it’s often used in the same experiment or related research.

We advise that you always check the datasheet to ensure it fits your experiments, or contact ourtechnical teamfor help.

Product details

ab280573 is the carrier-free version of ab271042.

Patented technology
Our RabMAb® technology is a patented hybridoma-based technology for making rabbit monoclonal antibodies. For details on our patents, please refer to RabMAb® patents.

What are the advantages of a recombinant monoclonal antibody?
This product is a recombinant monoclonal antibody, which offers several advantages including:

  • - High batch-to-batch consistency and reproducibility
  • - Improved sensitivity and specificity
  • - Long-term security of supply
  • - Animal-free batch production

For more information, read more on recombinant antibodies.

Conjugation ready
Our carrier-free antibodies are typically supplied in a PBS-only formulation, purified and free of BSA, sodium azide and glycerol. This conjugation-ready format is designed for use with fluorochromes, metal isotopes, oligonucleotides, and enzymes, which makes them ideal for antibody labelling, functional and cell-based assays, flow-based assays (e.g. mass cytometry) and Multiplex Imaging applications.

Use our conjugation kits for antibody conjugates that are ready-to-use in as little as 20 minutes with 1 minute hands-on-time and 100% antibody recovery: available for fluorescent dyes, HRP, biotin and gold.

Compatibility
This product is compatible with the Maxpar® Antibody Labeling Kit from Fluidigm, without the need for antibody preparation. Maxpar® is a trademark of Fluidigm Canada Inc.

Properties and storage information

Form
Liquid
Purification technique
Affinity purification Protein A
Storage buffer
Constituents: 100% PBS
Shipped at conditions
Blue Ice
Appropriate short-term storage conditions
+4°C
Appropriate long-term storage conditions
+4°C

Supplementary information

This supplementary information is collated from multiple sources and compiled automatically.

IL-6R also known as the IL-6 receptor or IL-6R protein is a transmembrane protein with an approximate mass of 80-90 kDa. This receptor is found on the surface of various cells including hepatocytes leukocytes and immune cells like T-cells and macrophages. IL-6R binds to interleukin-6 (IL-6) a cytokine and plays an important role in immune response regulation. The receptor exists in both membrane-bound and soluble forms each contributing to diverse signaling events.
Biological function summary

IL-6 receptor function involves mediating the effects of IL-6 through its interaction with glycoprotein 130 (gp130) forming a signaling complex. This complex initiates intracellular pathways that lead to gene expression changes necessary for immune responses inflammation and hematopoiesis. When IL-6 binds IL-6R the complex formation with gp130 triggers downstream signaling that impacts cell growth differentiation and survival.

Pathways

IL-6R is central to the JAK/STAT signaling pathway one of the two main pathways activated by IL-6 signaling. It's also involved in the MAPK cascade contributing to cellular responses such as proliferation and differentiation. Through these pathways IL-6R interacts with other proteins like JAK kinases and STAT transcription factors coordinating cellular responses to external signals.

IL-6R is associated with inflammatory diseases such as rheumatoid arthritis and certain cancers. In rheumatoid arthritis overexpression of IL-6R leads to persistent inflammation and joint damage. In cancer IL-6/IL-6R signaling promotes tumorigenesis and cancer cell survival through interactions with proteins like STAT3. Understanding these connections aids in developing therapeutic interventions targeting IL-6R in various pathological conditions.

Product protocols

For this product, it's our understanding that no specific protocols are required. You can visit:

Target data

Part of the receptor for interleukin 6. Binds to IL6 with low affinity, but does not transduce a signal (PubMed : 28265003). Signal activation necessitate an association with IL6ST. Activation leads to the regulation of the immune response, acute-phase reactions and hematopoiesis (PubMed : 30995492, PubMed : 31235509). The interaction with membrane-bound IL6R and IL6ST stimulates 'classic signaling', the restricted expression of the IL6R limits classic IL6 signaling to only a few tissues such as the liver and some cells of the immune system. Whereas the binding of IL6 and soluble IL6R to IL6ST stimulates 'trans-signaling'. Alternatively, 'cluster signaling' occurs when membrane-bound IL6 : IL6R complexes on transmitter cells activate IL6ST receptors on neighboring receiver cells (Probable).. Isoform 1. Signaling via the membrane-bound IL6R is mostly regenerative and anti-inflammatory (Probable). Drives naive CD4(+) T cells to the Th17 lineage, through 'cluster signaling' by dendritic cells (By similarity).. Isoform 2. Soluble form of IL6 receptor (sIL6R) that acts as an agonist of IL6 activity (PubMed : 21990364). The IL6 : sIL6R complex (hyper-IL6) binds to IL6ST/gp130 on cell surfaces and induces signaling also on cells that do not express membrane-bound IL6R in a process called IL6 'trans-signaling'. sIL6R is causative for the pro-inflammatory properties of IL6 and an important player in the development of chronic inflammatory diseases (PubMed : 21990364). In complex with IL6, is required for induction of VEGF production (PubMed : 12794819). Plays a protective role during liver injury, being required for maintenance of tissue regeneration (By similarity). 'Trans-signaling' in central nervous system regulates energy and glucose homeostasis (By similarity).. Soluble interleukin-6 receptor subunit alpha. Soluble form of IL6 receptor (sIL6R) that acts as an agonist of IL6 activity (PubMed : 21990364). The IL6 : sIL6R complex (hyper-IL6) binds to IL6ST/gp130 on cell surfaces and induces signaling also on cells that do not express membrane-bound IL6R in a process called IL6 'trans-signaling'. sIL6R is causative for the pro-inflammatory properties of IL6 and an important player in the development of chronic inflammatory diseases (PubMed : 21990364). In complex with IL6, is required for induction of VEGF production (PubMed : 12794819). Plays a protective role during liver injury, being required for maintenance of tissue regeneration (By similarity). 'Trans-signaling' in central nervous system regulates energy and glucose homeostasis (By similarity).
See full target information IL6R

Product promise

We are committed to supporting your work with high-quality reagents, and we're here for you every step of the way. In the unlikely event that one of our products does not perform as expected, you're protected by our Product Promise.
For full details, please see our Terms & Conditions

Please note: All products are 'FOR RESEARCH USE ONLY. NOT FOR USE IN DIAGNOSTIC OR THERAPEUTIC PROCEDURES'.

For licensing inquiries, please contact partnerships@abcam.com