JavaScript is disabled in your browser. Please enable JavaScript to view this website.
AB300581

Anti-IL-6R antibody [EPR26370-132]

  • BOND RX™ Validated
  • 20ul selling size
  • RabMAb
  • Recombinant
  • What is this?

Be the first to review this product! Submit a review

|

(4 Publications)

Rabbit Recombinant Monoclonal IL-6R antibody. Suitable for IHC-P, WB and reacts with Mouse samples. Cited in 4 publications.

View Alternative Names

CD126, Il6r, Il6ra, Interleukin-6 receptor subunit alpha, IL-6 receptor subunit alpha, IL-6R subunit alpha, IL-6R-alpha, IL-6RA, IL-6R 1

4 Images
Immunohistochemistry (Formalin/PFA-fixed paraffin-embedded sections) - Anti-IL-6R antibody [EPR26370-132] (AB300581)
  • IHC-P

Supplier Data

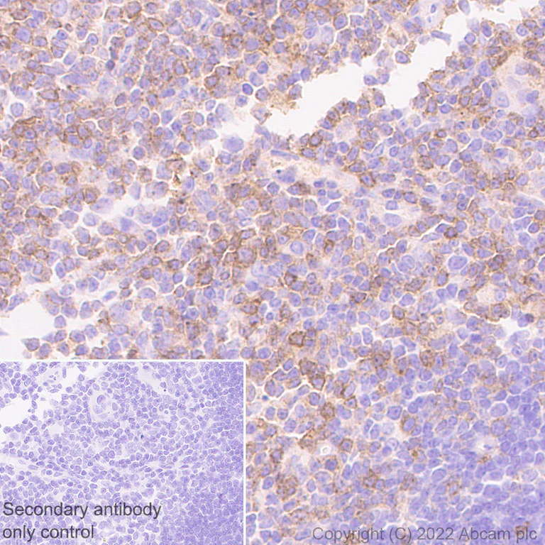
Immunohistochemistry (Formalin/PFA-fixed paraffin-embedded sections) - Anti-IL-6R antibody [EPR26370-132] (AB300581)

Immunohistochemical analysis of paraffin-embedded mouse thymus tissue labeling Interleukin-6 receptor subunit alpha with ab300581 at 1/500 dilution (5.04 µg/mL) followed by a ready to use rabbit specific IHC polymer detection kit HRP/DAB (ab209101). Positive staining on mouse thymus is observed. The section was incubated with ab300581 for 30 mins at room temperature. The immunostaining was performed on a Leica Biosystems BOND® RX instrument. Counterstained with Hematoxylin. Secondary antibody only control : PBS was used instead of primary antibody, followed by a ready to use secondary antibody Rabbit specific IHC polymer detection kit HRP/DAB (ab209101). Heat mediated antigen retrieval with Tris-EDTA buffer (pH 9.0, epitope retrieval solution 2) for 20 mins was used.

Immunohistochemistry (Formalin/PFA-fixed paraffin-embedded sections) - Anti-IL-6R antibody [EPR26370-132] (AB300581)
  • IHC-P

Supplier Data

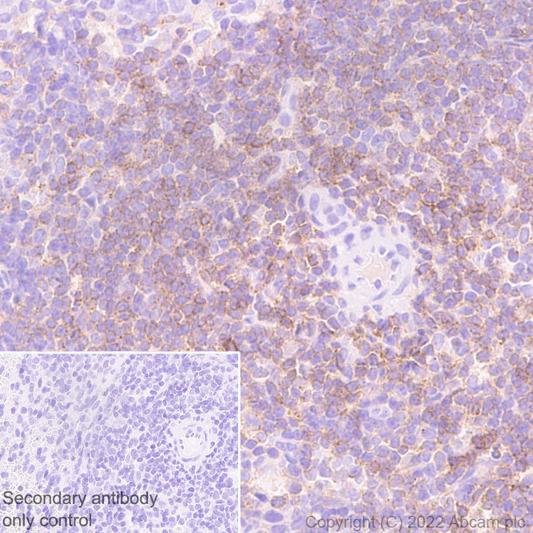
Immunohistochemistry (Formalin/PFA-fixed paraffin-embedded sections) - Anti-IL-6R antibody [EPR26370-132] (AB300581)

Immunohistochemical analysis of paraffin-embedded mouse spleen tissue labeling Interleukin-6 receptor subunit alpha with ab300581 at 1/500 dilution (5.04 µg/mL) followed by a ready to use rabbit specific IHC polymer detection kit HRP/DAB (ab209101). Positive staining on mouse spleen is observed (PMID : 23378927). The section was incubated with ab300581 for 30 mins at room temperature. The immunostaining was performed on a Leica Biosystems BOND® RX instrument. Counterstained with Hematoxylin. Secondary antibody only control : PBS was used instead od primary antibody, followed by a ready to use secondary antibody Rabbit specific IHC polymer detection kit HRP/DAB (ab209101). Heat mediated antigen retrieval with Tris-EDTA buffer (pH 9.0, epitope retrieval solution 2) for 20 mins was used.

Western blot - Anti-IL-6R antibody [EPR26370-132] (AB300581)
  • WB

Supplier Data

Western blot - Anti-IL-6R antibody [EPR26370-132] (AB300581)

Blocking and diluting buffer and concentration : 5% NFDM/TBST Low expression : WEHI-231(PMID : 2112585) The identity of the lower MW band at approximately 40 kDa (in lane 1) is unknown.

All lanes:

Western blot - Anti-IL-6R antibody [EPR26370-132] (ab300581) at 1/1000 dilution

Lane 1:

RAW264.7 (mouse Abelson murine leukemia virus-induced tumor macrophage), whole cell lysate

Lane 2:

WEHI-231 (mouse B cell lymphoma B lymphocyte), whole cell lysate

Secondary

All lanes:

Western blot - Goat Anti-Rabbit IgG H&L (HRP) (<a href='/en-us/products/secondary-antibodies/goat-rabbit-igg-h-l-hrp-ab97051'>ab97051</a>) at 1/20000 dilution

Observed band size: 70-80 kDa

false

Exposure time: 180s

Western blot - Anti-IL-6R antibody [EPR26370-132] (AB300581)
  • WB

Supplier Data

Western blot - Anti-IL-6R antibody [EPR26370-132] (AB300581)

Blocking and diluting buffer and concentration : 5% NFDM/TBST.  Target is a glycoprotein of approximately 75 kDa and detected as a 55kDa band after treated with Protein Deglycosylation MIX II.  Exposure time : 180 seconds.

All lanes:

Western blot - Anti-IL-6R antibody [EPR26370-132] (ab300581) at 1/1000 dilution

Lane 1:

Untreated mouse spleen tissue lysate,

Lane 2:

Mouse spleen tissue lysate treated with Protein Deglycosylation Mix II,

Secondary

All lanes:

Western blot - Goat Anti-Rabbit IgG H&L (HRP) (<a href='/en-us/products/secondary-antibodies/goat-rabbit-igg-h-l-hrp-ab97051'>ab97051</a>) at 1/20000 dilution

Observed band size: 55 kDa,70 kDa

false

Exposure time: 180s

  • Carrier free

    Anti-IL-6R antibody [EPR26370-132] (BSA and Azide free)

Key facts

Host species

Rabbit

Clonality

Monoclonal

Clone number

EPR26370-132

Isotype

IgG

Carrier free

No

Reacts with

Mouse

Applications

WB, IHC-P

applications

Immunogen

The exact immunogen used to generate this antibody is proprietary information.

Reactivity data

{ "title": "Reactivity Data", "filters": { "stats": ["", "Species", "Dilution Info", "Notes"], "tabs": { "all-applications": {"fullname" : "All Applications", "shortname": "All Applications"}, "IP" : {"fullname" : "Immunoprecipitation", "shortname":"IP"}, "FlowCyt" : {"fullname" : "Flow Cytometry", "shortname":"Flow Cyt"}, "ICCIF" : {"fullname" : "Immunocytochemistry/ Immunofluorescence", "shortname":"ICC/IF"}, "IHCP" : {"fullname" : "Immunohistochemistry (Formalin/PFA-fixed paraffin-embedded sections)", "shortname":"IHC-P"}, "WB" : {"fullname" : "Western blot", "shortname":"WB"}, "IHCFr" : {"fullname" : "Immunohistochemistry (Frozen sections)", "shortname":"IHC-Fr"} }, "product-promise": { "all": "all", "testedAndGuaranteed": "tested", "guaranteed": "expected", "predicted": "predicted", "notRecommended": "not-recommended" } }, "values": { "Human": { "IP-species-checked": "notRecommended", "IP-species-dilution-info": "", "IP-species-notes": "", "FlowCyt-species-checked": "notRecommended", "FlowCyt-species-dilution-info": "", "FlowCyt-species-notes": "", "ICCIF-species-checked": "notRecommended", "ICCIF-species-dilution-info": "", "ICCIF-species-notes": "", "IHCP-species-checked": "notRecommended", "IHCP-species-dilution-info": "1/500", "IHCP-species-notes": "<p></p>", "WB-species-checked": "notRecommended", "WB-species-dilution-info": "1/1000", "WB-species-notes": "<p></p>", "IHCFr-species-checked": "notRecommended", "IHCFr-species-dilution-info": "", "IHCFr-species-notes": "" }, "Mouse": { "IP-species-checked": "notRecommended", "IP-species-dilution-info": "", "IP-species-notes": "<p></p>", "FlowCyt-species-checked": "notRecommended", "FlowCyt-species-dilution-info": "", "FlowCyt-species-notes": "<p></p>", "ICCIF-species-checked": "notRecommended", "ICCIF-species-dilution-info": "", "ICCIF-species-notes": "<p></p>", "IHCP-species-checked": "testedAndGuaranteed", "IHCP-species-dilution-info": "1/500", "IHCP-species-notes": "<p></p>", "WB-species-checked": "testedAndGuaranteed", "WB-species-dilution-info": "1/1000", "WB-species-notes": "<p></p>", "IHCFr-species-checked": "notRecommended", "IHCFr-species-dilution-info": "", "IHCFr-species-notes": "<p></p>" }, "Rat": { "IP-species-checked": "notRecommended", "IP-species-dilution-info": "", "IP-species-notes": "<p></p>", "FlowCyt-species-checked": "notRecommended", "FlowCyt-species-dilution-info": "", "FlowCyt-species-notes": "", "ICCIF-species-checked": "notRecommended", "ICCIF-species-dilution-info": "", "ICCIF-species-notes": "", "IHCP-species-checked": "notRecommended", "IHCP-species-dilution-info": "1/500", "IHCP-species-notes": "<p></p>", "WB-species-checked": "notRecommended", "WB-species-dilution-info": "1/1000", "WB-species-notes": "<p></p>", "IHCFr-species-checked": "notRecommended", "IHCFr-species-dilution-info": "", "IHCFr-species-notes": "" } } }

Product details

Patented technology
Our RabMAb® technology is a patented hybridoma-based technology for making rabbit monoclonal antibodies. For details on our patents, please refer to RabMAb® patents.

What are the advantages of a recombinant monoclonal antibody?
This product is a recombinant monoclonal antibody, which offers several advantages including:

  • - High batch-to-batch consistency and reproducibility
  • - Improved sensitivity and specificity
  • - Long-term security of supply
  • - Animal-free batch production

For more information, read more on recombinant antibodies.

Properties and storage information

Form
Liquid
Purification technique
Affinity purification Protein A
Storage buffer
pH: 7.2 - 7.4 Preservative: 0.01% Sodium azide Constituents: PBS, 40% Glycerol (glycerin, glycerine), 0.05% BSA
Shipped at conditions
Blue Ice
Appropriate short-term storage duration
1-2 weeks
Appropriate short-term storage conditions
+4°C
Appropriate long-term storage conditions
-20°C
Aliquoting information
Upon delivery aliquot
Storage information
Avoid freeze / thaw cycle

Supplementary information

This supplementary information is collated from multiple sources and compiled automatically.

IL-6R also known as the IL-6 receptor or IL-6R protein is a transmembrane protein with an approximate mass of 80-90 kDa. This receptor is found on the surface of various cells including hepatocytes leukocytes and immune cells like T-cells and macrophages. IL-6R binds to interleukin-6 (IL-6) a cytokine and plays an important role in immune response regulation. The receptor exists in both membrane-bound and soluble forms each contributing to diverse signaling events.
Biological function summary

IL-6 receptor function involves mediating the effects of IL-6 through its interaction with glycoprotein 130 (gp130) forming a signaling complex. This complex initiates intracellular pathways that lead to gene expression changes necessary for immune responses inflammation and hematopoiesis. When IL-6 binds IL-6R the complex formation with gp130 triggers downstream signaling that impacts cell growth differentiation and survival.

Pathways

IL-6R is central to the JAK/STAT signaling pathway one of the two main pathways activated by IL-6 signaling. It's also involved in the MAPK cascade contributing to cellular responses such as proliferation and differentiation. Through these pathways IL-6R interacts with other proteins like JAK kinases and STAT transcription factors coordinating cellular responses to external signals.

IL-6R is associated with inflammatory diseases such as rheumatoid arthritis and certain cancers. In rheumatoid arthritis overexpression of IL-6R leads to persistent inflammation and joint damage. In cancer IL-6/IL-6R signaling promotes tumorigenesis and cancer cell survival through interactions with proteins like STAT3. Understanding these connections aids in developing therapeutic interventions targeting IL-6R in various pathological conditions.

Product protocols

For this product, it's our understanding that no specific protocols are required. You can visit:

Target data

Part of the receptor for interleukin 6. Binds to IL6 with low affinity, but does not transduce a signal. Signal activation necessitate an association with IL6ST. Activation leads to the regulation of the immune response, acute-phase reactions and hematopoiesis. The interaction with membrane-bound IL6R and IL6ST stimulates 'classic signaling', the restricted expression of the IL6R limits classic IL6 signaling to only a few tissues such as the liver and some cells of the immune system. Whereas the binding of IL6 and soluble IL6R to IL6ST stimulates 'trans-signaling'. Alternatively, 'cluster signaling' occurs when membrane-bound IL6 : IL6R complexes on transmitter cells activate IL6ST receptors on neighboring receiver cells.. Interleukin-6 receptor subunit alpha. Signaling via the membrane-bound IL6R is mostly regenerative and anti-inflammatory (Probable). Drives naive CD4(+) T cells to the Th17 lineage, through 'cluster signaling' by dendritic cells (PubMed : 27893700).. Soluble interleukin-6 receptor subunit alpha. Soluble form of IL6 receptor (sIL6R) that acts as an agonist of IL6 activity (PubMed : 11113088). The IL6 : sIL6R complex (hyper-IL6) binds to IL6ST/gp130 on cell surfaces and induces signaling also on cells that do not express membrane-bound IL6R in a process called IL6 'trans-signaling'. sIL6R is causative for the pro-inflammatory properties of IL6 and an important player in the development of chronic inflammatory diseases (By similarity). In complex with IL6, is required for induction of VEGF production (By similarity). Plays a protective role during liver injury, being required for maintenance of tissue regeneration (PubMed : 11113088). 'Trans-signaling' in central nervous system regulates energy and glucose homeostasis (PubMed : 28402851).
See full target information Il6ra

Publications (4)

Recent publications for all applications. Explore the full list and refine your search

Advanced science (Weinheim, Baden-Wurttemberg, Germany) 12:e2412556 PubMed39888279

2025

Microglia-Derived Interleukin-6 Triggers Astrocyte Apoptosis in the Hippocampus and Mediates Depression-Like Behavior.

Applications

Unspecified application

Species

Unspecified reactive species

Shi-Yu Shen,Ling-Feng Liang,Tian-Le Shi,Zu-Qi Shen,Shu-Yuan Yin,Jia-Rui Zhang,Wei Li,Wen-Li Mi,Yan-Qing Wang,Yu-Qiu Zhang,Jin Yu

Research (Washington, D.C.) 7:0538 PubMed39639885

2024

Circulating Interleukin-6 Mediates PM-Induced Ovarian Injury by Suppressing the PPARγ Pathway.

Applications

Unspecified application

Species

Unspecified reactive species

Yingying Chen,Jinjin Zhang,Tianyu Zhang,Yaling Wu,Yueyue Xi,Tong Wu,Mo Li,Yan Li,Su Zhou,Mingfu Wu,Shixuan Wang

Burns & trauma 11:tkad023 PubMed38026444

2023

The m6A reader YTHDF2 alleviates the inflammatory response by inhibiting IL-6R/JAK2/STAT1 pathway-mediated high-mobility group box-1 release.

Applications

Unspecified application

Species

Unspecified reactive species

Zhuo Zeng,Yingying Lan,Lijuan Zhang,Yu Chen,Yali Gong,Fangqing Zuo,Junda Li,Gaoxing Luo,Yizhi Peng,Zhiqiang Yuan

Journal of biomedical science 29:101 PubMed36419076

2022

Circadian gene Rev-erbα influenced by sleep conduces to pregnancy by promoting endometrial decidualization via IL-6-PR-C/EBPβ axis.

Applications

Unspecified application

Species

Unspecified reactive species

Liyuan Cui,Feng Xu,Chunfang Xu,Yan Ding,Songcun Wang,Meirong Du
View all publications

Product promise

We are committed to supporting your work with high-quality reagents, and we're here for you every step of the way. In the unlikely event that one of our products does not perform as expected, you're protected by our Product Promise.
For full details, please see our Terms & Conditions

Please note: All products are 'FOR RESEARCH USE ONLY. NOT FOR USE IN DIAGNOSTIC OR THERAPEUTIC PROCEDURES'.

For licensing inquiries, please contact partnerships@abcam.com