JavaScript is disabled in your browser. Please enable JavaScript to view this website.
AB242515

Anti-IL-8 antibody [EPR19358-37] - BSA and Azide free (Capture)

  • BOND RX™ Validated
  • RabMAb
  • Recombinant
  • KO Validated
  • What is this?

Be the first to review this product! Submit a review

|

(0 Publication)

Rabbit Recombinant Monoclonal IL-8 antibody. Carrier free. Suitable for sELISA, IHC-P, ICC/IF, Flow Cyt (Intra) and reacts with Monkey, Human samples.

View Alternative Names

IL8, CXCL8, Interleukin-8, IL-8, C-X-C motif chemokine 8, Chemokine (C-X-C motif) ligand 8, Emoctakin, Granulocyte chemotactic protein 1, Monocyte-derived neutrophil chemotactic factor, Monocyte-derived neutrophil-activating peptide, Neutrophil-activating protein 1, Protein 3-10C, T-cell chemotactic factor, GCP-1, MDNCF, MONAP, NAP-1

5 Images
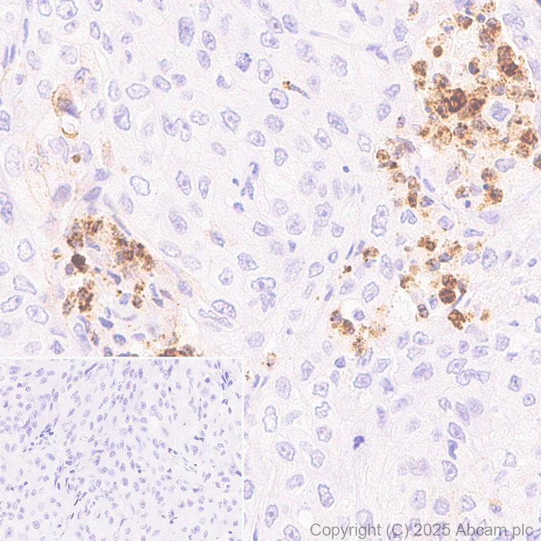
Immunohistochemistry (Formalin/PFA-fixed paraffin-embedded sections) - Anti-IL-8 antibody [EPR19358-37] - BSA and Azide free (Capture) (AB242515)
  • IHC-P

Lab

Immunohistochemistry (Formalin/PFA-fixed paraffin-embedded sections) - Anti-IL-8 antibody [EPR19358-37] - BSA and Azide free (Capture) (AB242515)

Immunohistochemical analysis of paraffin-embedded Human cervical carcinoma tissue labeling IL-8 with ab242515 at 1/2000 (0.501 µg/ml) dilution, followed by a ready to use Rabbit specific IHC polymer detection kit HRP/DAB (ab209101).

Positive staining on human cervical carcinoma. The section was incubated with ab242515 for 30 mins at room temperature.
The immunostaining was performed on a Leica Biosystems BOND® RX instrument

Counterstained with Hematoxylin.

Secondary antibody only control : Ready to use Rabbit specific IHC polymer detection kit HRP/DAB (ab209101).

Heat mediated antigen retrieval was performed with Tris-EDTA buffer (pH 9.0, Epitope Retrieval Solution2) for 20 mins.

Flow Cytometry (Intracellular) - Anti-IL-8 antibody [EPR19358-37] - BSA and Azide free (Capture) (AB242515)
  • Flow Cyt (Intra)

Lab

Flow Cytometry (Intracellular) - Anti-IL-8 antibody [EPR19358-37] - BSA and Azide free (Capture) (AB242515)

Flow cytometric analysis of 4% paraformaldehyde fixed 90% methanol permeabilized IL8 KO PC-3 (IL-8 knock out human prostate adenocarcinoma epithelial cell) treated with 2µg/ml LPS for 5hours and 5µg/ml Brefeldin A for 5 hours (Megenta) or untreated with IL8 KO PC-3(Green)(Right) / PC-3 treated with 2µg/ml LPS for 5hours and 5µg/ml Brefeldin A for 5 hours(Megenta) or untreated with PC-3(Green)(Left) cells labelling IL-8 with ab242515 at 1/500 dilution (0.1µg) followed by a Goat Anti-Rabbit IgG (Alexa Fluor® 488, ab150081) at a 1/5000 dilution (Red) compared with a Rabbit monoclonal IgG (ab172730) (Black) isotype control and an unlabelled control (cells without incubation with primary antibody and secondary antibody) (Blue).

Immunocytochemistry/ Immunofluorescence - Anti-IL-8 antibody [EPR19358-37] - BSA and Azide free (Capture) (AB242515)
  • ICC/IF

Lab

Immunocytochemistry/ Immunofluorescence - Anti-IL-8 antibody [EPR19358-37] - BSA and Azide free (Capture) (AB242515)

Immunofluorescent analysis of 4% Paraformaldehyde-fixed, 0.1% TritonX-100 permeabilized wildtype PC-3 and CXCL8 KO PC-3 (CXCL8 knockout human prostate adenocarcinoma epithelial cell), ab273743 cells labelling IL-8 with ab242515 at 1/500 (2.082 µg/ml) dilution followed by a ab150081 Goat Anti-Rabbit IgG H&L (Alexa Fluor® 488) preadsorbed at a 1/1000 (2 µg) dilution (Green).

Confocal image showing no staining in CXCL8 knockout PC-3 cells, showing weak cytoplasmic staining in wildype PC-3 cells (shown in green), and the wildtype PC-3 staining is increased after treated with Lipopolysaccharide (2 ug/ml) and Brefeldin A (5 µg/ml) for 5 hours. The counterstain was observed in magenta. Nuclear DNA was labelled with DAPI (shown in blue). Image was taken with a confocal microscope (Leica-Microsystems, TCS SP8).

ab195889 Anti-alpha Tubulin mouse monoclonal antibody - Microtubule Marker (Alexa Fluor® 594) was used to counterstain tubulin at 1/200 (2.5µg/ml) dilution (Magenta). The Nuclear counterstain was DAPI (Blue).

Secondary antibody only control : ab150081 Goat Anti-Rabbit IgG H&L (Alexa Fluor® 488) preadsorbed at a 1/1000 (2 µg) dilution.

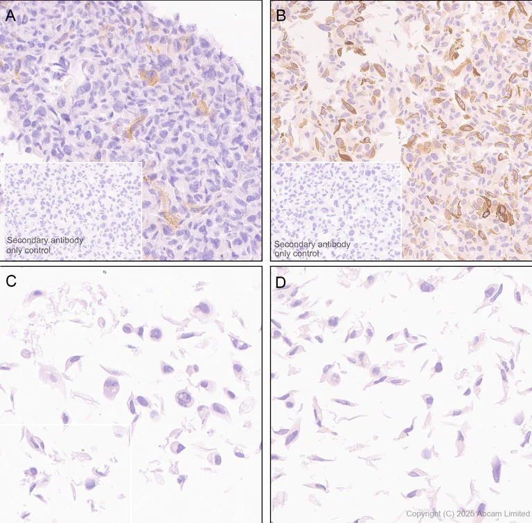
Immunohistochemistry (Formalin/PFA-fixed paraffin-embedded sections) - Anti-IL-8 antibody [EPR19358-37] - BSA and Azide free (Capture) (AB242515)
  • IHC-P

Lab

Immunohistochemistry (Formalin/PFA-fixed paraffin-embedded sections) - Anti-IL-8 antibody [EPR19358-37] - BSA and Azide free (Capture) (AB242515)

Immunohistochemical analysis of paraffin-embedded (A) : Untreated Wild-type PC-3 (human prostate adenocarcinoma epithelial cell) cell pellet; (B) : Wild-type PC-3 treated with 2µg/ml LPS for 1 hour, 5µg/ml Brefeldin A was then added for additional 5 hours, cell pellet; (C) : Untreated CXCL8 knockout PC-3 cell pellet and (D) : CXCL8 knockout PC-3 treated with 2µg/ml LPS for 1 hour, 5µg/ml Brefeldin A was then added for additional 5 hours, cell pellet labeling IL-8 with ab242515 at 1/2000 (0.501 µg/ml) dilution, followed by a ready to use Rabbit specific IHC polymer detection kit HRP/DAB (ab209101).

Weak staining on (A) untreated Wild-type PC-3 cell pellet, positive staining on (B) wild-type PC-3 treated with 2µg/ml LPS for 1 hour, 5µg/ml Brefeldin A was then added for additional 5 hours, cell pellet, no staining on (C) untreated CXCL8 knockout PC-3 cell pellet and (D) CXCL8 knockout PC-3 treated with 2µg/ml LPS for 1 hour, 5µg/ml Brefeldin A was then added for additional 5 hours, cell pellet.
The section was incubated with ab242515 for 30 mins at room temperature.
The immunostaining was performed on a Leica Biosystems BOND® RX instrument

Counterstained with Hematoxylin.

Secondary antibody only control : Ready to use Rabbit specific IHC polymer detection kit HRP/DAB (ab209101).

Heat mediated antigen retrieval was performed with Tris-EDTA buffer (pH 9.0, Epitope Retrieval Solution2) for 20 mins.

Sandwich ELISA - Anti-IL-8 antibody [EPR19358-37] - BSA and Azide free (Capture) (AB242515)
  • sELISA

Supplier Data

Sandwich ELISA - Anti-IL-8 antibody [EPR19358-37] - BSA and Azide free (Capture) (AB242515)

Representative standard curve from corresponding SimpleStep ELISA® Kit (ab214030).

Key facts

Host species

Rabbit

Clonality

Monoclonal

Clone number

EPR19358-37

Isotype

IgG

Carrier free

Yes

Reacts with

Monkey, Human

Applications

Flow Cyt (Intra), ICC/IF, IHC-P, sELISA

applications

Immunogen

The exact immunogen used to generate this antibody is proprietary information.

Reactivity data

{ "title": "Reactivity Data", "filters": { "stats": ["", "Species", "Dilution Info", "Notes"], "tabs": { "all-applications": {"fullname" : "All Applications", "shortname": "All Applications"}, "sELISA" : {"fullname" : "Sandwich ELISA", "shortname":"sELISA"}, "IHCP" : {"fullname" : "Immunohistochemistry (Formalin/PFA-fixed paraffin-embedded sections)", "shortname":"IHC-P"}, "ICCIF" : {"fullname" : "Immunocytochemistry/ Immunofluorescence", "shortname":"ICC/IF"}, "FlowCytIntra" : {"fullname" : "Flow Cytometry (Intracellular)", "shortname":"Flow Cyt (Intra)"} }, "product-promise": { "all": "all", "testedAndGuaranteed": "tested", "guaranteed": "expected", "predicted": "predicted", "notRecommended": "not-recommended" } }, "values": { "Human": { "sELISA-species-checked": "guaranteed", "sELISA-species-dilution-info": "", "sELISA-species-notes": "<p></p>", "IHCP-species-checked": "testedAndGuaranteed", "IHCP-species-dilution-info": "", "IHCP-species-notes": "<p></p>", "ICCIF-species-checked": "testedAndGuaranteed", "ICCIF-species-dilution-info": "", "ICCIF-species-notes": "<p></p>", "FlowCytIntra-species-checked": "testedAndGuaranteed", "FlowCytIntra-species-dilution-info": "", "FlowCytIntra-species-notes": "<p></p>" }, "Monkey": { "sELISA-species-checked": "guaranteed", "sELISA-species-dilution-info": "", "sELISA-species-notes": "<p></p>", "IHCP-species-checked": "predicted", "IHCP-species-dilution-info": "", "IHCP-species-notes": "", "ICCIF-species-checked": "predicted", "ICCIF-species-dilution-info": "", "ICCIF-species-notes": "", "FlowCytIntra-species-checked": "predicted", "FlowCytIntra-species-dilution-info": "", "FlowCytIntra-species-notes": "" } } }

Product details

ab242515 is a BSA and Azide Free antibody supplied in an unconjugated format and it is suitable for sandwich ELISAs to quantify Human/Monkey IL-8. The recommended pair for sandwich ELISA is:
Capture: ab242515, Human/Monkey IL-8 Capture Antibody (unconjugated)
Detector: ab242983, Human/Monkey IL-8 Detector Antibody (unconjugated)
The reference range value is 1.9 - 125 pg/ml for human and 4.7 - 300 pg/ml for monkey.

Patented technology
Our RabMAb® technology is a patented hybridoma-based technology for making rabbit monoclonal antibodies. For details on our patents, please refer to RabMAb® patents.

What are the advantages of a recombinant monoclonal antibody?
This product is a recombinant monoclonal antibody, which offers several advantages including:

  • - High batch-to-batch consistency and reproducibility
  • - Improved sensitivity and specificity
  • - Long-term security of supply
  • - Animal-free batch production

For more information, read more on recombinant antibodies.

Conjugation ready
Our carrier-free antibodies are typically supplied in a PBS-only formulation, purified and free of BSA, sodium azide and glycerol. This conjugation-ready format is designed for use with fluorochromes, metal isotopes, oligonucleotides, and enzymes, which makes them ideal for antibody labelling, functional and cell-based assays, flow-based assays (e.g. mass cytometry) and Multiplex Imaging applications.

Use our conjugation kits for antibody conjugates that are ready-to-use in as little as 20 minutes with 1 minute hands-on-time and 100% antibody recovery: available for fluorescent dyes, HRP, biotin and gold.

Sandwich ELISA
The recommended antibody orientation is based on internal optimization for ELISA-based assays. Antibody orientation is assay dependent and needs to be optimized for each assay type. Please note that the range provided for this antibody is only an estimation based on the performance of the product using the recommended antibody pair. Performance of the antibody pair will depend on the specific characteristics of your assay. We guarantee the product works in sandwich ELISA, but we do not guarantee the sensitivity or dynamic range of the antibody in your assay.

Properties and storage information

Form
Liquid
Purification technique
Affinity purification Protein A
Storage buffer
Constituents: PBS
Shipped at conditions
Blue Ice
Appropriate short-term storage conditions
+4°C
Appropriate long-term storage conditions
+4°C

Supplementary information

This supplementary information is collated from multiple sources and compiled automatically.

IL-8 also known as CXCL8 is a cytokine with a molecular weight of approximately 8 kDa. It belongs to the CXC chemokine family and plays a role in the recruitment of neutrophils to sites of inflammation. Cells like monocytes macrophages and endothelial cells express IL-8 after activation by pro-inflammatory signals. The protein exhibits high expression in cells associated with the immune response and inflammation serving as a signaling molecule between these cell types.
Biological function summary

IL-8 functions as a chemoattractant for neutrophils and lymphocytes facilitating their movement towards the site of infection or injury. It does not form part of a larger protein complex but operates individually to enhance immune cell migration. IL-8 possesses unique binding motifs allowing it to interact with specific receptors namely CXCR1 and CXCR2 on target cells. This binding triggers cellular responses leading to effective immune surveillance and response to inflammatory stimuli.

Pathways

IL-8 operates within important inflammatory and immune response pathways. It forms a part of the NF-κB signaling cascade which activates in response to stress signals promoting the expression of other inflammatory mediators. Additionally it engages in the mitogen-activated protein kinase (MAPK) pathway influencing cellular responses such as proliferation and differentiation. The interaction of IL-8 with these pathways highlights its role in modulating immune responses and highlights its interaction with other proteins such as TNF-α and IL-1β.

IL-8 shows a strong association with conditions like rheumatoid arthritis and chronic obstructive pulmonary disease (COPD). It acts as a biomarker for these diseases often correlating with disease severity and inflammation levels. In rheumatoid arthritis IL-8 contributes to joint inflammation and degradation while in COPD it enhances airway inflammation and tissue damage. The cytokine's involvement in these diseases connects it with other inflammatory mediators such as MMPs and leukotrienes which collectively exacerbate disease pathology.

Product protocols

For this product, it's our understanding that no specific protocols are required. You can visit:

Target data

Chemotactic factor that mediates inflammatory response by attracting neutrophils, basophils, and T-cells to clear pathogens and protect the host from infection (PubMed : 18692776, PubMed : 7636208). Also plays an important role in neutrophil activation (PubMed : 2145175, PubMed : 9623510). Released in response to an inflammatory stimulus, exerts its effect by binding to the G-protein-coupled receptors CXCR1 and CXCR2, primarily found in neutrophils, monocytes and endothelial cells (PubMed : 1840701, PubMed : 1891716). G-protein heterotrimer (alpha, beta, gamma subunits) constitutively binds to CXCR1/CXCR2 receptor and activation by IL8 leads to beta and gamma subunits release from Galpha (GNAI2 in neutrophils) and activation of several downstream signaling pathways including PI3K and MAPK pathways (PubMed : 11971003, PubMed : 8662698).
See full target information CXCL8

Product promise

We are committed to supporting your work with high-quality reagents, and we're here for you every step of the way. In the unlikely event that one of our products does not perform as expected, you're protected by our Product Promise.
For full details, please see our Terms & Conditions

Please note: All products are 'FOR RESEARCH USE ONLY. NOT FOR USE IN DIAGNOSTIC OR THERAPEUTIC PROCEDURES'.

For licensing inquiries, please contact partnerships@abcam.com