JavaScript is disabled in your browser. Please enable JavaScript to view this website.
AB289967

Anti-IL-8 antibody [EPR26511-74]

  • 20ul selling size
  • RabMAb
  • Recombinant
  • KO Validated
  • What is this?

Be the first to review this product! Submit a review

|

(11 Publications)

Rabbit Recombinant Monoclonal IL-8 antibody. Suitable for ICC/IF, IP, WB, Flow Cyt (Intra) and reacts with Human samples. Cited in 11 publications.

View Alternative Names

IL8, CXCL8, Interleukin-8, IL-8, C-X-C motif chemokine 8, Chemokine (C-X-C motif) ligand 8, Emoctakin, Granulocyte chemotactic protein 1, Monocyte-derived neutrophil chemotactic factor, Monocyte-derived neutrophil-activating peptide, Neutrophil-activating protein 1, Protein 3-10C, T-cell chemotactic factor, GCP-1, MDNCF, MONAP, NAP-1

6 Images
Flow Cytometry (Intracellular) - Anti-IL-8 antibody [EPR26511-74] (AB289967)
  • Flow Cyt (Intra)

Supplier Data

Flow Cytometry (Intracellular) - Anti-IL-8 antibody [EPR26511-74] (AB289967)

Intracellular flow cytometric analysis of 2% paraformaldehyde fixed, 0.1% saponin permeabilised human peripheral blood mononuclear cell (PBMC) treated with 1μg/ml Lipopolysaccharide (LPS) for 22 hours, then add 3uM Monensin for another 2h (Right). Untreated control (Left).

Primary antibody : ab289967, at 1/500 dilution.

Secondary antibody : Goat Anti-Rabbit IgG (Alexa Fluor® 488, ab150081) at 1/2000 dilution.

Scatter image shows specific IL-8 expression in LPS induced monocyte population.

Immunocytochemistry/ Immunofluorescence - Anti-IL-8 antibody [EPR26511-74] (AB289967)
  • ICC/IF

Supplier Data

Immunocytochemistry/ Immunofluorescence - Anti-IL-8 antibody [EPR26511-74] (AB289967)

Immunofluorescent analysis of 4% Paraformaldehyde-fixed, 0.1% TritonX-100 permeabilized U-937 cells labelling IL-8 with ab289967 at 1/100 (5.87 μg/ml) dilution, followed by ab150081 Goat Anti-Rabbit IgG H&L (Alexa Fluor® 488) preadsorbed antibody at 1/1000 (2 μg/mL) dilution (Green). Confocal image showing cytoplasmic staining is observed in U-937 cells treated with TPA (100 ng/mL) for 24 h, then LPS (5 μg/mL) for 7 h with Brefeldin A (300 ng/mL) for the last 3 h. ab195889 Anti-alpha Tubulin mouse monoclonal antibody - Microtubule Marker (Alexa Fluor® 594) was used to counterstain tubulin at 1/200 (2.5μg/ml) dilution (Red). The Nuclear counterstain was DAPI (Blue).

Secondary antibody only control : Secondary antibody is ab150081 Goat Anti-Rabbit IgG H&L (Alexa Fluor® 488) preadsorbed at 1/1000 (2 μg/mL) dilution.

Flow Cytometry (Intracellular) - Anti-IL-8 antibody [EPR26511-74] (AB289967)
  • Flow Cyt (Intra)

Supplier Data

Flow Cytometry (Intracellular) - Anti-IL-8 antibody [EPR26511-74] (AB289967)

Intracellular flow cytometric analysis of 4% paraformaldehyde fixed 90% methanol permeabilized U-937 (Human histiocytic lymphoma monocyte) treated with 100ng/ml TPA for 24 hours, then 5μg/ml LPS for 4 hours, and add 300ng/ml BFA for another 3h (Red) / Untreated control (Green) cells labelling IL-8 with ab289967 at 1/500 dilution (0.1μg) compared with a Rabbit monoclonal IgG (ab172730) (Black) isotype control and an unlabelled control (cells without incubation with primary antibody and secondary antibody) (Blue). A Goat Anti-Rabbit IgG (Alexa Fluor® 488, ab150081) at 1/2000 dilution was used as the secondary antibody.

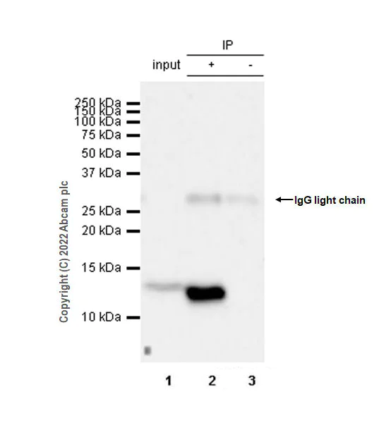
Immunoprecipitation - Anti-IL-8 antibody [EPR26511-74] (AB289967)
  • IP

Supplier Data

Immunoprecipitation - Anti-IL-8 antibody [EPR26511-74] (AB289967)

IL-8 was immunoprecipitated from U937 (human histiocytic lymphoma monocyte) treated with 100ng/ml TPA for 24h then treated with 5 μg/ml LPS for 4h, and add 300 ng/ml BFA for another 3h, whole cell lysate with ab289967 at 1/30 dilution (2 μg in 0.35mg lysates). Western blot was performed on the immunoprecipitate using ab289967 at 1/1000 dilution. VeriBlot for IP secondary antibody(HRP)(ab131366) was used at 1/5000 dilution.

Lane 1 : U937 (human histiocytic lymphoma monocyte) treated with 100 ng/ml TPA for 24h then treated with 5 μg/ml LPS for 4h, and add 300 ng/ml BFA for another 3h, whole cell lysate 10 μg

Lane 2 : ab289967 IP in U937 treated with 100 ng/ml TPA for 24h then treated with 5 μg/ml LPS for 4h, and add 300 ng/ml BFA for another 3h, whole cell lysate

Lane 3 : Rabbit monoclonal IgG (ab172730) instead of ab289967 in U937 treated with 100 ng/ml TPA for 24h then treated with 5 μg/ml LPS for 4h, and add 300 ng/ml BFA for another 3h, whole cell lysate

Blocking and dilution buffer and concentration : 5% NFDM/TBST.

Exposure time : 50 seconds

All lanes:

Immunoprecipitation - Anti-IL-8 antibody [EPR26511-74] (ab289967)

Predicted band size: 11 kDa

false

Western blot - Anti-IL-8 antibody [EPR26511-74] (AB289967)
  • WB

Supplier Data

Western blot - Anti-IL-8 antibody [EPR26511-74] (AB289967)

Blocking buffer and concentration was Intercept® (TBS) Blocking Buffer diluted with an equal volume of 0.1% TBS.

Diluting buffer was Intercept® (TBS) Blocking Buffer diluted with an equal volume of 0.1% TBST.

Lysates/proteins at 20 μg per lane.
Performed under reducing conditions.
False colour image of Western blot : Anti-IL-8 antibody [EPR26511-74] (ab289967) staining at 1/1000 dilution, shown in green; Mouse anti-GAPDH antibody [6C5] (ab8245) loading control staining at 1/20000 dilution, shown in red.
In Western blot, ab289967 was shown to bind specifically to IL-8. A band was observed at 11 kDa in wild-type PC-3 cell lysates with no signal observed at this size in CXCL8 knockout cell lysates. To generate this image, wild-type and CXCL8 knockout PC-3 cell lysates were analyzed. First, samples were run on an SDS-PAGE gel then transferred onto an immobilon-FL PVDF membrane. Membranes were blocked in Intercept® (TBS) Blocking Buffer diluted with an equal volume of 0.1% TBS before incubation with primary antibodies overnight at 4 °C. Blots were washed four times in TBS-T, incubated with secondary antibodies for 1 h at room temperature, washed again four times then imaged. Secondary antibodies used were Goat anti-Rabbit IgG H&L (IRDye® 800CW) preabsorbed (ab216773) and Goat anti-Mouse IgG H&L (IRDye® 680RD) preabsorbed (ab216776) at 1/10000 dilution.

All lanes:

Western blot - Anti-IL-8 antibody [EPR26511-74] (ab289967) at 1/1000 dilution

Lane 1:

Wild-type PC-3 (human prostate adenocarcinoma epithelial cell) whole cell lysate at 20 µg

Lane 2:

Wild-type PC-3 treated with 2μg/ml LPS for 5h, then treated with 5μg/ml Brefeldin A for 5h, whole cell lysate at 20 µg

Lane 3:

CXCL8 knockout PC-3 whole cell lysate at 20 µg

Lane 4:

CXCL8 knockout PC-3 treated with 2μg/ml LPS for 5h, then treated with 5μg/ml Brefeldin A for 5h, whole cell lysate at 20 µg

Secondary

Lanes 1 - 4:

Western blot - Goat anti-Mouse IgG H&L (IRDye® 680RD) preadsorbed (<a href='/en-us/products/secondary-antibodies/goat-mouse-igg-h-l-irdye-680rd-preadsorbed-ab216776'>ab216776</a>) at 1/10000 dilution

Lanes 1 - 4:

Western blot - Goat anti-Rabbit IgG H&L (IRDye® 800CW) preadsorbed (<a href='/en-us/products/secondary-antibodies/goat-rabbit-igg-h-l-irdye-800cw-preadsorbed-ab216773'>ab216773</a>) at 1/10000 dilution

Predicted band size: 11 kDa

Observed band size: 11 kDa

false

Western blot - Anti-IL-8 antibody [EPR26511-74] (AB289967)
  • WB

Unknown

Western blot - Anti-IL-8 antibody [EPR26511-74] (AB289967)

Blocking and diluting buffer and concentration was 5% NFDM/TBST.

All lanes:

Western blot - Anti-IL-8 antibody [EPR26511-74] (ab289967) at 1/1000 dilution

Lane 1:

Untreated U-937 (human histiocytic lymphoma monocyte) whole cell lysate at 20 µg

Lane 2:

U-937 treated with TPA (100ng/mL) for 24 h, then treated with LPS (5 µg/mL) for 7 h with Brefeldin A (300 ng/mL) for the last 3 h, whole cell lysate at 20 µg

Lane 3:

Untreated U-87 MG (human glioblastoma-astrocytoma epithelial cell) whole cell lysate at 20 µg

Lane 4:

U-87 MG treated with 1μM Thapsigargin for 24h, whole cell lysate at 20 µg

Secondary

All lanes:

Western blot - Goat Anti-Rabbit IgG H&L (HRP) (<a href='/en-us/products/secondary-antibodies/goat-rabbit-igg-h-l-hrp-ab97051'>ab97051</a>) at 1/100000 dilution

Predicted band size: 11 kDa

Observed band size: 11 kDa

false

Exposure time: 70s

  • Carrier free

    Anti-IL-8 antibody [EPR26511-74] - BSA and Azide free

Key facts

Host species

Rabbit

Clonality

Monoclonal

Clone number

EPR26511-74

Isotype

IgG

Carrier free

No

Reacts with

Human

Applications

ICC/IF, IP, Flow Cyt (Intra), WB

applications

Immunogen

The exact immunogen used to generate this antibody is proprietary information.

Reactivity data

{ "title": "Reactivity Data", "filters": { "stats": ["", "Species", "Dilution Info", "Notes"], "tabs": { "all-applications": {"fullname" : "All Applications", "shortname": "All Applications"}, "ICCIF" : {"fullname" : "Immunocytochemistry/ Immunofluorescence", "shortname":"ICC/IF"}, "IP" : {"fullname" : "Immunoprecipitation", "shortname":"IP"}, "WB" : {"fullname" : "Western blot", "shortname":"WB"}, "IHCP" : {"fullname" : "Immunohistochemistry (Formalin/PFA-fixed paraffin-embedded sections)", "shortname":"IHC-P"}, "FlowCytIntra" : {"fullname" : "Flow Cytometry (Intracellular)", "shortname":"Flow Cyt (Intra)"} }, "product-promise": { "all": "all", "testedAndGuaranteed": "tested", "guaranteed": "expected", "predicted": "predicted", "notRecommended": "not-recommended" } }, "values": { "Human": { "ICCIF-species-checked": "testedAndGuaranteed", "ICCIF-species-dilution-info": "1/100", "ICCIF-species-notes": "<p></p>", "IP-species-checked": "testedAndGuaranteed", "IP-species-dilution-info": "1/30", "IP-species-notes": "<p></p>", "WB-species-checked": "testedAndGuaranteed", "WB-species-dilution-info": "1/1000", "WB-species-notes": "<p></p>", "IHCP-species-checked": "notRecommended", "IHCP-species-dilution-info": "", "IHCP-species-notes": "<p></p>", "FlowCytIntra-species-checked": "testedAndGuaranteed", "FlowCytIntra-species-dilution-info": "1/500", "FlowCytIntra-species-notes": "<p></p>" }, "Mouse": { "ICCIF-species-checked": "notRecommended", "ICCIF-species-dilution-info": "", "ICCIF-species-notes": "", "IP-species-checked": "notRecommended", "IP-species-dilution-info": "", "IP-species-notes": "", "WB-species-checked": "notRecommended", "WB-species-dilution-info": "", "WB-species-notes": "", "IHCP-species-checked": "notRecommended", "IHCP-species-dilution-info": "", "IHCP-species-notes": "<p></p>", "FlowCytIntra-species-checked": "notRecommended", "FlowCytIntra-species-dilution-info": "", "FlowCytIntra-species-notes": "" }, "Rat": { "ICCIF-species-checked": "notRecommended", "ICCIF-species-dilution-info": "", "ICCIF-species-notes": "", "IP-species-checked": "notRecommended", "IP-species-dilution-info": "", "IP-species-notes": "", "WB-species-checked": "notRecommended", "WB-species-dilution-info": "", "WB-species-notes": "", "IHCP-species-checked": "notRecommended", "IHCP-species-dilution-info": "", "IHCP-species-notes": "<p></p>", "FlowCytIntra-species-checked": "notRecommended", "FlowCytIntra-species-dilution-info": "", "FlowCytIntra-species-notes": "" } } }

Product details

Patented technology
Our RabMAb® technology is a patented hybridoma-based technology for making rabbit monoclonal antibodies. For details on our patents, please refer to RabMAb® patents.

What are the advantages of a recombinant monoclonal antibody?
This product is a recombinant monoclonal antibody, which offers several advantages including:

  • - High batch-to-batch consistency and reproducibility
  • - Improved sensitivity and specificity
  • - Long-term security of supply
  • - Animal-free batch production

For more information, read more on recombinant antibodies.

Properties and storage information

Form
Liquid
Purification technique
Affinity purification Protein A
Storage buffer
pH: 7.2 - 7.4 Preservative: 0.01% Sodium azide Constituents: PBS, 40% Glycerol (glycerin, glycerine), 0.05% BSA
Shipped at conditions
Blue Ice
Appropriate short-term storage duration
1-2 weeks
Appropriate short-term storage conditions
+4°C
Appropriate long-term storage conditions
-20°C
Aliquoting information
Upon delivery aliquot
Storage information
Avoid freeze / thaw cycle

Supplementary information

This supplementary information is collated from multiple sources and compiled automatically.

IL-8 also known as CXCL8 is a cytokine with a molecular weight of approximately 8 kDa. It belongs to the CXC chemokine family and plays a role in the recruitment of neutrophils to sites of inflammation. Cells like monocytes macrophages and endothelial cells express IL-8 after activation by pro-inflammatory signals. The protein exhibits high expression in cells associated with the immune response and inflammation serving as a signaling molecule between these cell types.
Biological function summary

IL-8 functions as a chemoattractant for neutrophils and lymphocytes facilitating their movement towards the site of infection or injury. It does not form part of a larger protein complex but operates individually to enhance immune cell migration. IL-8 possesses unique binding motifs allowing it to interact with specific receptors namely CXCR1 and CXCR2 on target cells. This binding triggers cellular responses leading to effective immune surveillance and response to inflammatory stimuli.

Pathways

IL-8 operates within important inflammatory and immune response pathways. It forms a part of the NF-κB signaling cascade which activates in response to stress signals promoting the expression of other inflammatory mediators. Additionally it engages in the mitogen-activated protein kinase (MAPK) pathway influencing cellular responses such as proliferation and differentiation. The interaction of IL-8 with these pathways highlights its role in modulating immune responses and highlights its interaction with other proteins such as TNF-α and IL-1β.

IL-8 shows a strong association with conditions like rheumatoid arthritis and chronic obstructive pulmonary disease (COPD). It acts as a biomarker for these diseases often correlating with disease severity and inflammation levels. In rheumatoid arthritis IL-8 contributes to joint inflammation and degradation while in COPD it enhances airway inflammation and tissue damage. The cytokine's involvement in these diseases connects it with other inflammatory mediators such as MMPs and leukotrienes which collectively exacerbate disease pathology.

Product protocols

For this product, it's our understanding that no specific protocols are required. You can visit:

Target data

Chemotactic factor that mediates inflammatory response by attracting neutrophils, basophils, and T-cells to clear pathogens and protect the host from infection (PubMed : 18692776, PubMed : 7636208). Also plays an important role in neutrophil activation (PubMed : 2145175, PubMed : 9623510). Released in response to an inflammatory stimulus, exerts its effect by binding to the G-protein-coupled receptors CXCR1 and CXCR2, primarily found in neutrophils, monocytes and endothelial cells (PubMed : 1840701, PubMed : 1891716). G-protein heterotrimer (alpha, beta, gamma subunits) constitutively binds to CXCR1/CXCR2 receptor and activation by IL8 leads to beta and gamma subunits release from Galpha (GNAI2 in neutrophils) and activation of several downstream signaling pathways including PI3K and MAPK pathways (PubMed : 11971003, PubMed : 8662698).
See full target information CXCL8

Publications (11)

Recent publications for all applications. Explore the full list and refine your search

Journal of translational medicine 23:1056 PubMed41053808

2025

A novel anti-PD-L1/IL-8 bispecific antibody BP2402 enhances antitumor immunity and modulates inflammatory signaling in triple-negative breast cancer mice model.

Applications

Unspecified application

Species

Unspecified reactive species

Liying Song,Sumin Tang,Xuelei Pi,Yuanyuan Yan,Chenxi Hu,Liang Liu,Hongna Chen,Yating Zhang,Shishi Liu,Dan Yu,Chengkai Yin,Tianyan Liu,Xu Li,Deshan Li,Zhenzhong Wang,Wei Zhu,Kaiyuan Hui,Zhihang Liu,Xiaodong Jiang

International dental journal 75:1649-1661 PubMed40138999

2025

New Insights Into the Correlation Between Necroptotic Activation and Neutrophil Infiltration in Pulpitis.

Applications

Unspecified application

Species

Unspecified reactive species

Xiaolan Guo,Xinyan Ma,Peng Liu,Xiaoxin Chen,Sitong Liu,Longrui Dang,Buling Wu,Zhao Chen

Clinical & experimental metastasis 42:12 PubMed39856383

2025

Repurposing neuroleptics: clozapine as a novel, adjuvant therapy for melanoma brain metastases.

Applications

Unspecified application

Species

Unspecified reactive species

Tobias Wikerholmen,Erlend Moen Taule,Emma Rigg,Birgitte Feginn Berle,Magnus Sættem,Katharina Sarnow,Halala Sdik Saed,Terje Sundstrøm,Frits Thorsen

Biomedicines 12: PubMed39335502

2024

Inflammaging: Expansion of Molecular Phenotype and Role in Age-Associated Female Infertility.

Applications

Unspecified application

Species

Unspecified reactive species

Dmitry Ivanov,Anna Drobintseva,Valeriia Rodichkina,Ekaterina Mironova,Tatyana Zubareva,Yuliya Krylova,Svetlana Morozkina,Maria Greta Pia Marasco,Gianluigi Mazzoccoli,Ruslan Nasyrov,Igor Kvetnoy

Frontiers in oncology 14:1412660 PubMed39193386

2024

Anlotinib inhibits cervical cancer cell proliferation and invasion by suppressing cytokine secretion in activated cancer-associated fibroblasts.

Applications

Unspecified application

Species

Unspecified reactive species

Yaozu Xiong,Xiaoting Xu,Xilei Zhou,Yusuo Tong,Changhua Yu

iScience 27:109861 PubMed38799570

2024

Circ_0007432 promotes non-small cell lung cancer progression and macrophage M2 polarization through SRSF1/KLF12 axis.

Applications

Unspecified application

Species

Unspecified reactive species

Shanshan Mao,Dongyu Wu,Xiaozhen Cheng,Jinsheng Wu

Cellular and molecular biology (Noisy-le-Grand, France) 69:186-192 PubMed38279450

2024

Bone marrow mesenchymal stem cells-derived exosomal miR-185-5p plays a protective role in high-glucose stimulated human retinal microvascular endothelial cells in vitro by regulating CXCL8.

Applications

Unspecified application

Species

Unspecified reactive species

Lin Zhou,Weixia Wang

iScience 26:107894 PubMed37766998

2023

An immunosuppressive subtype of senescent tumor cells predicted worse immunotherapy response in lung adenocarcinoma.

Applications

Unspecified application

Species

Unspecified reactive species

Guangyu Fan,Tongji Xie,Qiaoyun Tan,Ning Lou,Shasha Wang,Xiaohong Han,Yuankai Shi

Critical reviews in eukaryotic gene expression 33:1-12 PubMed37183942

2023

MicroRNA-485-3p Promotes the Inflammatory Response and Extracellular Matrix Deposition by Activating Wnt/β-Catenin Signaling in Human Airway Smooth Muscle Cells.

Applications

Unspecified application

Species

Unspecified reactive species

Cuiyun Liu,Sen Shi,Ying Gao,Qian Leng,Rui Gong,Lan Zhang,Jinhai Ma

Experimental and therapeutic medicine 25:75 PubMed36684653

2023

Wnt4 prevents apoptosis and inflammation of dental pulp cells induced by LPS by inhibiting the IKK/NF‑κB pathway.

Applications

Unspecified application

Species

Unspecified reactive species

Chengli Ni,Gang Wu,Tingting Miao,Jianguang Xu
View all publications

Product promise

We are committed to supporting your work with high-quality reagents, and we're here for you every step of the way. In the unlikely event that one of our products does not perform as expected, you're protected by our Product Promise.
For full details, please see our Terms & Conditions

Please note: All products are 'FOR RESEARCH USE ONLY. NOT FOR USE IN DIAGNOSTIC OR THERAPEUTIC PROCEDURES'.

For licensing inquiries, please contact partnerships@abcam.com