JavaScript is disabled in your browser. Please enable JavaScript to view this website.
AB322732

Anti-IL-8 antibody [RM1267]

  • 20ul selling size
  • BOND RX™ Validated
  • Recombinant
  • RabMAb
  • KO Validated
  • What is this?

Be the first to review this product! Submit a review

|

(0 Publication)

Rabbit Recombinant Multiclonal IL-8 antibody. Suitable for I-ELISA, WB, IHC-P, ICC/IF, Flow Cyt (Intra), IP and reacts with Recombinant full length protein - Human, Human samples.

View Alternative Names

IL8, CXCL8, Interleukin-8, IL-8, C-X-C motif chemokine 8, Chemokine (C-X-C motif) ligand 8, Emoctakin, Granulocyte chemotactic protein 1, Monocyte-derived neutrophil chemotactic factor, Monocyte-derived neutrophil-activating peptide, Neutrophil-activating protein 1, Protein 3-10C, T-cell chemotactic factor, GCP-1, MDNCF, MONAP, NAP-1

8 Images
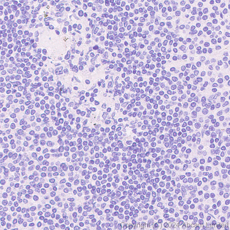
Immunohistochemistry (Formalin/PFA-fixed paraffin-embedded sections) - Anti-IL-8 antibody [RM1267] (AB322732)
  • IHC-P

Supplier Data

Immunohistochemistry (Formalin/PFA-fixed paraffin-embedded sections) - Anti-IL-8 antibody [RM1267] (AB322732)

Immunohistochemical analysis of paraffin-embedded Human spleen tissue labeling IL-8 with ab322732 at 1/1000 (0.491 ug/ml) dilution, followed by a ready to use Rabbit specific IHC polymer detection kit HRP/DAB (ab209101).

Negative control : no staining on spleen. The section was incubated with ab322732 for 30 mins at room temperature.
The immunostaining was performed on a Leica Biosystems BOND® RX instrument

Counterstained with Hematoxylin.

Secondary antibody only control : Secondary antibody is a ready to use Rabbit specific IHC polymer detection kit HRP/DAB (ab209101).

Heat mediated antigen retrieval was performed with Tris-EDTA buffer (pH 9.0, Epitope Retrieval Solution2) for 20 mins

Flow Cytometry (Intracellular) - Anti-IL-8 antibody [RM1267] (AB322732)
  • Flow Cyt (Intra)

Supplier Data

Flow Cytometry (Intracellular) - Anti-IL-8 antibody [RM1267] (AB322732)

Flow cytometric analysis of 4% paraformaldehyde fixed 90% methanol permeabilized IL8 KO PC-3 (IL-8 knock out human prostate adenocarcinoma epithelial cell) treated with 2ug/mL LPS for 5hours and 5ug/mL Brefeldin A for 5 hours (Magenta) or untreated with IL8 KO PC-3(Green)(Right) / PC-3 treated with 2ug/mL LPS for 5hours and 5ug/mL Brefeldin A for 5 hours(Magenta) or untreated with PC-3(Green)(Left) cells labelling IL-8 with ab322732 at 1/500 dilution (0.1ug) / Magenta and Green compared with a Rabbit monoclonal IgG (ab172730) (Black) and Grey isotype control and an unlabelled control (cells without incubation with primary antibody and secondary antibody).

Goat Anti-Rabbit IgG (Alexa Fluor® 488, ab150081) at 1/5000 dilution was used as the secondary antibody.

Immunocytochemistry/ Immunofluorescence - Anti-IL-8 antibody [RM1267] (AB322732)
  • ICC/IF

Supplier Data

Immunocytochemistry/ Immunofluorescence - Anti-IL-8 antibody [RM1267] (AB322732)

Immunofluorescent analysis of 4% Paraformaldehyde-fixed, 0.1% TritonX-100 permeabilized CXCL8 KO PC-3 (CXCL8 knockout human prostate adenocarcinoma epithelial cell), ab273743 cells labelling IL-8 with ab322732 at 1/2000 (0.246 ug/ml) dilution, followed by ab150081 Goat Anti-Rabbit IgG H&L (Alexa Fluor® 488) preadsorbed antibody at 1/1000 2ug/ml dilution (Green).

Confocal image showing increased cytoplasmic staining in wildype PC-3 cells treated with Lipopolysaccharide (2 ug/ml) and Brefeldin A (5 ug/ml) for 5 hours (shown in green). The counterstain was observed in magenta. Nuclear DNA was labelled with DAPI (shown in blue). Image was taken with a confocal microscope (Leica-Microsystems, TCS SP8).

ab195889 Anti-alpha Tubulin mouse monoclonal antibody - Microtubule Marker (Alexa Fluor® 594) was used to counterstain tubulin at 1/200 2.5ug/ml dilution (Magenta). The Nuclear counterstain was DAPI (Blue).

Secondary antibody only control : Secondary antibody is ab150081 Goat Anti-Rabbit IgG H&L (Alexa Fluor® 488) preadsorbed at 1/1000 2ug/ml dilution.

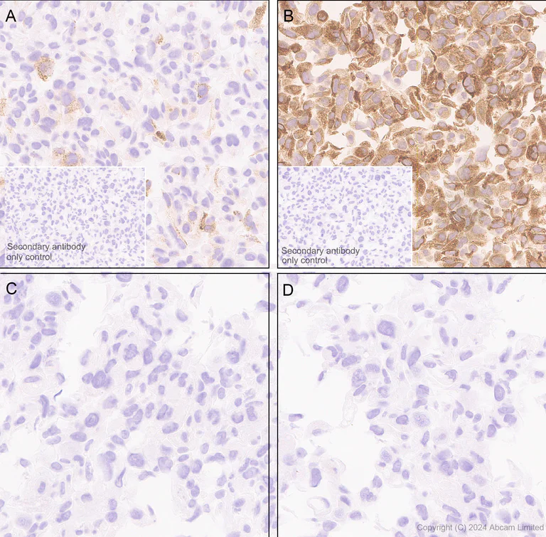
Immunohistochemistry (Formalin/PFA-fixed paraffin-embedded sections) - Anti-IL-8 antibody [RM1267] (AB322732)
  • IHC-P

Supplier Data

Immunohistochemistry (Formalin/PFA-fixed paraffin-embedded sections) - Anti-IL-8 antibody [RM1267] (AB322732)

Immunohistochemical analysis of paraffin-embedded (A) Untreated Wild-type PC-3 (human prostate adenocarcinoma epithelial cell) cell pellet. (B) Wild-type PC-3 treated with 2ug/ml LPS for 1 hour, 5ug/ml Brefeldin A was then added for additional 5 hours, cell pellet (C) Untreated CXCL8 knockout PC-3 cell pellet (D) CXCL8 knockout PC-3 treated with 2ug/ml LPS for 1 hour, 5ug/ml Brefeldin A was then added for additional 5 hours, cell pellet tissue labeling IL-8 with ab322732 at 1/8000 (0.061 ug/ml) dilution, followed by a ready to use LeicaDS9800 (Bond™ Polymer Refine Detection).

Weak staining on (A) untreated Wild-type PC-3 cell pellet, positive staining on (B) wild-type PC-3 treated with 2ug/ml LPS for 1 hour, 5ug/ml Brefeldin A was then added for additional 5 hours, cell pellet, no staining on (C) untreated CXCL8 knockout PC-3 cell pellet and (D) CXCL8 knockout PC-3 treated with 2ug/ml LPS for 1 hour, 5ug/ml Brefeldin A was then added for additional 5 hours, cell pellet. The section was incubated with ab322732 for 30 mins at room temperature.
The immunostaining was performed on a Leica Biosystems BOND® RX instrument

Counterstained with Hematoxylin.

Secondary antibody only control : Secondary antibody is a ready to use LeicaDS9800 (Bond™ Polymer Refine Detection).

Heat mediated antigen retrieval was performed with Tris-EDTA buffer (pH 9.0, Epitope Retrieval Solution2) for 20 mins

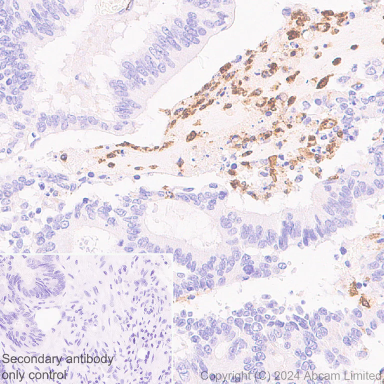
Immunohistochemistry (Formalin/PFA-fixed paraffin-embedded sections) - Anti-IL-8 antibody [RM1267] (AB322732)
  • IHC-P

Supplier Data

Immunohistochemistry (Formalin/PFA-fixed paraffin-embedded sections) - Anti-IL-8 antibody [RM1267] (AB322732)

Immunohistochemical analysis of paraffin-embedded Human colon carcinoma tissue labeling IL-8 with ab322732 at 1/1000 (0.491 ug/ml) dilution, followed by a ready to use Rabbit specific IHC polymer detection kit HRP/DAB (ab209101).

Positive staining on some immune cells in human colon carcinoma. The section was incubated with ab322732 for 30 mins at room temperature.
The immunostaining was performed on a Leica Biosystems BOND® RX instrument

Counterstained with Hematoxylin.

Secondary antibody only control : Secondary antibody is a ready to use Rabbit specific IHC polymer detection kit HRP/DAB (ab209101).

Heat mediated antigen retrieval was performed with Tris-EDTA buffer (pH 9.0, Epitope Retrieval Solution2) for 20 mins

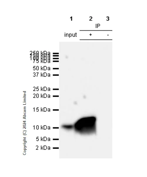
Immunoprecipitation - Anti-IL-8 antibody [RM1267] (AB322732)
  • IP

Supplier Data

Immunoprecipitation - Anti-IL-8 antibody [RM1267] (AB322732)

IL-8 was immunoprecipitated from 0.35 mg PC-3 (human prostate adenocarcinoma epithelial cell) treated with 2ug/ml LPS for 1 hour, 5ug/ml Brefeldin A was then added for additional 5 hours, whole cell lysate 20 ug with ab322732 at 1/30 dilution (2ug in 0.35mg lysates). Western blot was performed on the immunoprecipitate using ab322732 at 1/1000 dilution. VeriBlot for IP secondary antibody(HRP)(ab131366) was used at 1/5000 dilution.

Lane 1 : PC-3 (human prostate adenocarcinoma epithelial cell) treated with 2ug/ml LPS for 1 hour, 5ug/ml Brefeldin A was then added for additional 5 hours, whole cell lysate
Lane 2 : ab322732 IP in PC-3 (human prostate adenocarcinoma epithelial cell) treated with 2ug/ml LPS for 1 hour, 5ug/ml Brefeldin A was then added for additional 5 hours, whole cell lysate 20 ug
Lane 3 : Rabbit monoclonal IgG (ab172730) instead of ab322732 in PC-3 treated with 2ug/ml LPS for 1 hour, 5ug/ml Brefeldin A was then added for additional 5 hours, whole cell lysate 20 ug

Blocking and dilution buffer and concentration : 5% NFDM/TBST

All lanes:

Immunoprecipitation - Anti-IL-8 antibody [RM1267] (ab322732) at 1/30 dilution

All lanes:

PC-3 (human prostate adenocarcinoma epithelial cell) treated with 2ug/ml LPS for 1 hour, 5ug/ml Brefeldin A was then added for additional 5 hours, whole cell lysate

Secondary

All lanes:

Immunoprecipitation - VeriBlot for IP Detection Reagent (HRP) (<a href='/en-us/products/reagents/veriblot-for-ip-detection-reagent-hrp-ab131366'>ab131366</a>) at 1/5000 dilution

false

Exposure time: 10s

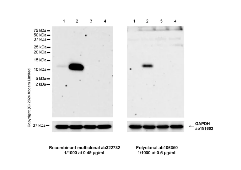
Western blot - Anti-IL-8 antibody [RM1267] (AB322732)
  • WB

Supplier Data

Western blot - Anti-IL-8 antibody [RM1267] (AB322732)

Blocking and diluting buffer and concentration : 5% NFDM/TBST.

In Western blot, ab322732 and ab106350 were shown to bind specifically to IL-8. Target of interest was observed at 11 kDa in untreated wild-type PC-3 cell lysates (lane 1) and upregulated in treated wild-type PC-3 cell lysates (lane 2). No signal was observed at this size in untreated IL-8 knockout cell line (lane 3) or treated IL-8 knockout cell line (lane 4).

Recombinant multiclonal ab322732 showed higher sensitivity than polyclonal ab106350.

In Western blot, Anti-GAPDH antibody [EPR16891] - Loading Control (ab181602) staining at 1/200000 dilution.

All lanes:

Western blot - Anti-IL-8 antibody [RM1267] (ab322732) at 1/1000 dilution

Lane 1:

Untreated Wild-type PC-3 (human prostate adenocarcinoma epithelial cell) whole cell lysate at 20 µg

Lane 2:

Wild-type PC-3 treated with2 ug/ml LPS for 1 hour, 5ug/ml Brefeldin A was then added for additional 5 hours, whole cell lysate at 20 µg

Lane 3:

Untreated CXCL8 knockout PC-3 whole cell lysate at 20 µg

Lane 4:

CXCL8 knockout PC-3 treated with 2 ug/ml LPS for 1 hour, 5ug/ml Brefeldin A was then added for additional 5 hours, whole cell lysate at 20 µg

Secondary

All lanes:

Western blot - Goat Anti-Rabbit IgG H&L (HRP) (<a href='/en-us/products/secondary-antibodies/goat-rabbit-igg-h-l-hrp-ab97051'>ab97051</a>) at 1/100000 dilution

Observed band size: 11 kDa,36 kDa

false

Exposure time: 180s

Indirect ELISA - Anti-IL-8 antibody [RM1267] (AB322732)
  • I-ELISA

Supplier Data

Indirect ELISA - Anti-IL-8 antibody [RM1267] (AB322732)

Indirect ELISA analysis of ab322732 at 1000-0 ng/ml. The Secondary antibody used was Alkaline Phosphatase-conjugated AffiniPure Goat Anti-Rabbit IgG (H+L) at 1 : 2500 dilution dilution.

Antigen : Human Interleukin-8.

Antigen concentration : 1000 ng/ml

Key facts

Host species

Rabbit

Clonality

Multiclonal

Clone number

RM1267

Isotype

IgG

Carrier free

No

Reacts with

Human

Applications

IHC-P, ICC/IF, WB, IP, I-ELISA, Flow Cyt (Intra)

applications

Immunogen

The exact immunogen used to generate this antibody is proprietary information.

Specificity

Unsuitable for normal human tissue due to low endogenous expression.

Reactivity data

{ "title": "Reactivity Data", "filters": { "stats": ["", "Species", "Dilution Info", "Notes"], "tabs": { "all-applications": {"fullname" : "All Applications", "shortname": "All Applications"}, "IELISA" : {"fullname" : "Indirect ELISA", "shortname":"I-ELISA"}, "WB" : {"fullname" : "Western blot", "shortname":"WB"}, "IHCP" : {"fullname" : "Immunohistochemistry (Formalin/PFA-fixed paraffin-embedded sections)", "shortname":"IHC-P"}, "ICCIF" : {"fullname" : "Immunocytochemistry/ Immunofluorescence", "shortname":"ICC/IF"}, "FlowCytIntra" : {"fullname" : "Flow Cytometry (Intracellular)", "shortname":"Flow Cyt (Intra)"}, "IP" : {"fullname" : "Immunoprecipitation", "shortname":"IP"} }, "product-promise": { "all": "all", "testedAndGuaranteed": "tested", "guaranteed": "expected", "predicted": "predicted", "notRecommended": "not-recommended" } }, "values": { "Human": { "IELISA-species-checked": "guaranteed", "IELISA-species-dilution-info": "", "IELISA-species-notes": "", "WB-species-checked": "testedAndGuaranteed", "WB-species-dilution-info": "1/1000", "WB-species-notes": "<p></p>", "IHCP-species-checked": "testedAndGuaranteed", "IHCP-species-dilution-info": "1/1000 - 1/8000", "IHCP-species-notes": "<p></p> Perform heat-mediated antigen retrieval with Tris/EDTA buffer pH 9.0 before commencing with IHC staining protocol.", "ICCIF-species-checked": "testedAndGuaranteed", "ICCIF-species-dilution-info": "1/2000", "ICCIF-species-notes": "<p></p>", "FlowCytIntra-species-checked": "testedAndGuaranteed", "FlowCytIntra-species-dilution-info": "1/500", "FlowCytIntra-species-notes": "<p></p>", "IP-species-checked": "testedAndGuaranteed", "IP-species-dilution-info": "1/30", "IP-species-notes": "<p></p>" }, "Recombinant full length protein - Human": { "IELISA-species-checked": "testedAndGuaranteed", "IELISA-species-dilution-info": "62.5 ng/mL", "IELISA-species-notes": "<p></p>", "WB-species-checked": "notRecommended", "WB-species-dilution-info": "", "WB-species-notes": "", "IHCP-species-checked": "notRecommended", "IHCP-species-dilution-info": "", "IHCP-species-notes": "", "ICCIF-species-checked": "notRecommended", "ICCIF-species-dilution-info": "", "ICCIF-species-notes": "", "FlowCytIntra-species-checked": "notRecommended", "FlowCytIntra-species-dilution-info": "", "FlowCytIntra-species-notes": "", "IP-species-checked": "notRecommended", "IP-species-dilution-info": "", "IP-species-notes": "" } } }

Product details

What are recombinant multiclonals?
Recombinant multiclonals are a mixture of recombinant antibodies co-expressed from a library of heavy and light chains. They offer several advantages including:

  • - The sensitivity of polyclonal antibodies by recognising multiple epitopes
  • - High batch-to-batch consistency and reproducibility
  • - Improved sensitivity and specificity
  • - Long-term security of supply
  • - Animal-free batch production

View our range of recombinant multiclonal antibodies.

Patented technology
Our RabMAb® technology is a patented hybridoma-based technology for making rabbit monoclonal antibodies. For details on our patents, please refer to RabMAb® patents.

Properties and storage information

Form
Liquid
Purification technique
Affinity purification Protein A
Storage buffer
pH: 7.2 - 7.4 Preservative: 0.01% Sodium azide Constituents: PBS, 40% Glycerol (glycerin, glycerine), 0.05% BSA
Shipped at conditions
Blue Ice
Appropriate short-term storage duration
1-2 weeks
Appropriate short-term storage conditions
+4°C
Appropriate long-term storage conditions
-20°C
Aliquoting information
Upon delivery aliquot
Storage information
Avoid freeze / thaw cycle

Product protocols

For this product, it's our understanding that no specific protocols are required. You can visit:

Target data

Chemotactic factor that mediates inflammatory response by attracting neutrophils, basophils, and T-cells to clear pathogens and protect the host from infection (PubMed : 18692776, PubMed : 7636208). Also plays an important role in neutrophil activation (PubMed : 2145175, PubMed : 9623510). Released in response to an inflammatory stimulus, exerts its effect by binding to the G-protein-coupled receptors CXCR1 and CXCR2, primarily found in neutrophils, monocytes and endothelial cells (PubMed : 1840701, PubMed : 1891716). G-protein heterotrimer (alpha, beta, gamma subunits) constitutively binds to CXCR1/CXCR2 receptor and activation by IL8 leads to beta and gamma subunits release from Galpha (GNAI2 in neutrophils) and activation of several downstream signaling pathways including PI3K and MAPK pathways (PubMed : 11971003, PubMed : 8662698).
See full target information CXCL8

Product promise

We are committed to supporting your work with high-quality reagents, and we're here for you every step of the way. In the unlikely event that one of our products does not perform as expected, you're protected by our Product Promise.
For full details, please see our Terms & Conditions

Please note: All products are 'FOR RESEARCH USE ONLY. NOT FOR USE IN DIAGNOSTIC OR THERAPEUTIC PROCEDURES'.

For licensing inquiries, please contact partnerships@abcam.com