JavaScript is disabled in your browser. Please enable JavaScript to view this website.
AB244859

Anti-IL1 Receptor I/IL-1R-1 antibody [EPR20150-241] - BSA and Azide free (Detector)

Be the first to review this product! Submit a review

|

(0 Publication)

Rabbit Recombinant Monoclonal IL1 Receptor I/IL-1R-1 antibody. Carrier free. Suitable for IHC-P, WB, sELISA and reacts with Human samples.

View Alternative Names

CD121a, IL1R, IL1RA, IL1RT1, IL1R1, Interleukin-1 receptor type 1, IL-1R-1, IL-1RT-1, IL-1RT1, CD121 antigen-like family member A, Interleukin-1 receptor alpha, Interleukin-1 receptor type I, p80, IL-1R-alpha

5 Images
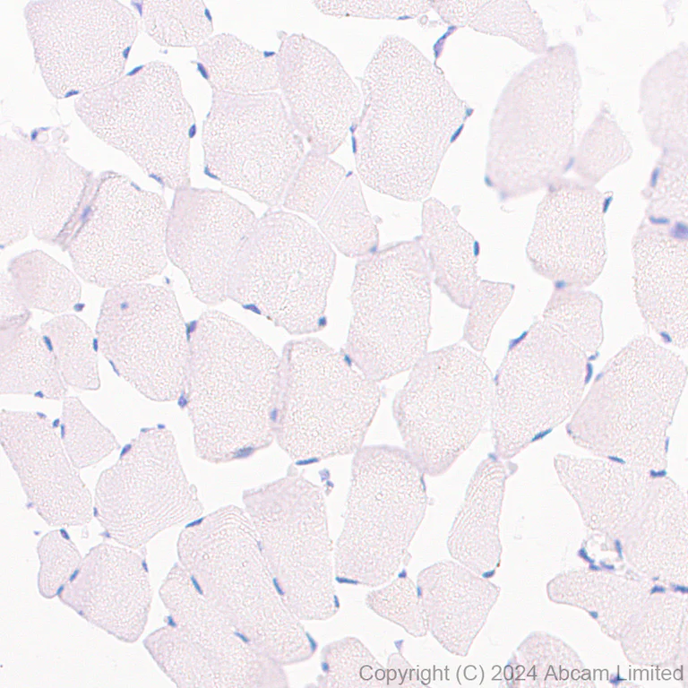
Immunohistochemistry (Formalin/PFA-fixed paraffin-embedded sections) - Anti-IL1 Receptor I/IL-1R-1 antibody [EPR20150-241] - BSA and Azide free (Detector) (AB244859)
  • IHC-P

Lab

Immunohistochemistry (Formalin/PFA-fixed paraffin-embedded sections) - Anti-IL1 Receptor I/IL-1R-1 antibody [EPR20150-241] - BSA and Azide free (Detector) (AB244859)

Immunohistochemical analysis of paraffin-embedded Human skeletal muscle tissue labeling IL1 Receptor I/IL-1R-1 with ab244859 at 1/2000 (0.5 µg/ml) dilution, followed by a ready to use LeicaDS9800 (Bond™ Polymer Refine Detection).

Low expression : no staining on human skeletal muscle. The section was incubated with ab244859 for 30 mins at room temperature.
The immunostaining was performed on a Leica Biosystems BOND® RX instrument
Counterstained with hematoxylin.

Secondary antibody only control : Secondary antibody is a ready to use a ready to use LeicaDS9800 (Bond™ Polymer Refine Detection).

Heat mediated antigen retrieval was performed with Tris-EDTA buffer (pH 9.0, Epitope Retrieval Solution2) for 20 mins

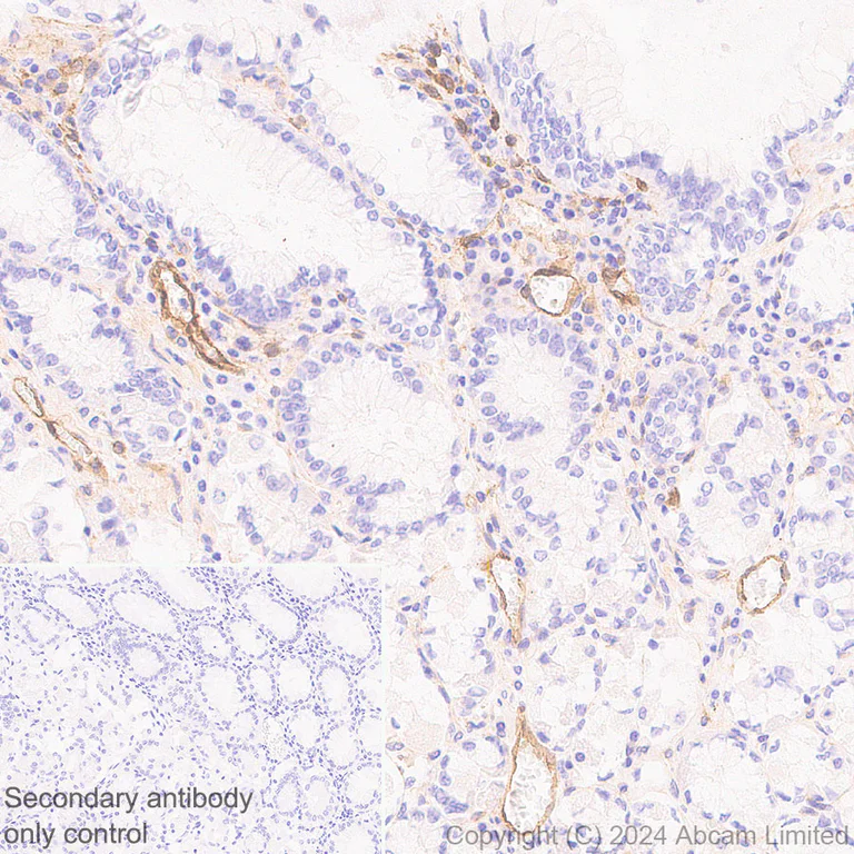
Immunohistochemistry (Formalin/PFA-fixed paraffin-embedded sections) - Anti-IL1 Receptor I/IL-1R-1 antibody [EPR20150-241] - BSA and Azide free (Detector) (AB244859)
  • IHC-P

Lab

Immunohistochemistry (Formalin/PFA-fixed paraffin-embedded sections) - Anti-IL1 Receptor I/IL-1R-1 antibody [EPR20150-241] - BSA and Azide free (Detector) (AB244859)

Immunohistochemical analysis of paraffin-embedded Human stomach tissue labeling IL1 Receptor I/IL-1R-1 with ab244859 at 1/2000 (0.5 µg/ml) dilution, followed by a ready to use LeicaDS9800 (Bond™ Polymer Refine Detection).

Positive staining on human stomach. The section was incubated with ab244859 for 30 mins at room temperature.
The immunostaining was performed on a Leica Biosystems BOND® RX instrument
Counterstained with hematoxylin.

Secondary antibody only control : Secondary antibody is a ready to use a ready to use LeicaDS9800 (Bond™ Polymer Refine Detection).

Heat mediated antigen retrieval was performed with Tris-EDTA buffer (pH 9.0, Epitope Retrieval Solution2) for 20 mins

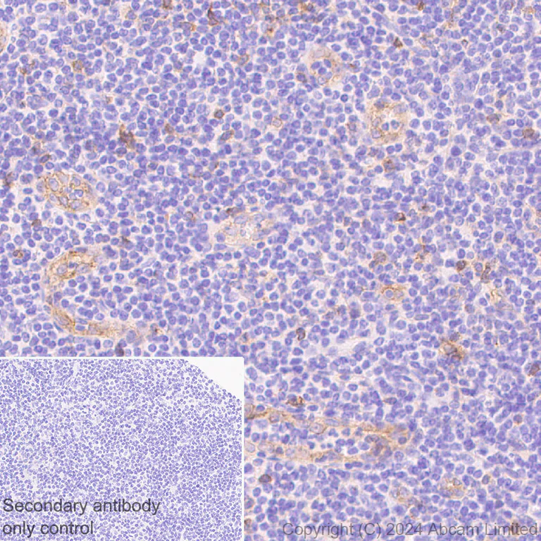
Immunohistochemistry (Formalin/PFA-fixed paraffin-embedded sections) - Anti-IL1 Receptor I/IL-1R-1 antibody [EPR20150-241] - BSA and Azide free (Detector) (AB244859)
  • IHC-P

Lab

Immunohistochemistry (Formalin/PFA-fixed paraffin-embedded sections) - Anti-IL1 Receptor I/IL-1R-1 antibody [EPR20150-241] - BSA and Azide free (Detector) (AB244859)

Immunohistochemical analysis of paraffin-embedded Human tonsil tissue labeling IL1 Receptor I/IL-1R-1 with ab244859 at 1/2000 (0.5 µg/ml) dilution, followed by a ready to use LeicaDS9800 (Bond™ Polymer Refine Detection).

Positive staining on human tonsil. The section was incubated with ab244859 for 30 mins at room temperature.
The immunostaining was performed on a Leica Biosystems BOND® RX instrument
Counterstained with hematoxylin.

Secondary antibody only control : Secondary antibody is a ready to use a ready to use LeicaDS9800 (Bond™ Polymer Refine Detection).

Heat mediated antigen retrieval was performed with Tris-EDTA buffer (pH 9.0, Epitope Retrieval Solution2) for 20 mins

Western blot - Anti-IL1 Receptor I/IL-1R-1 antibody [EPR20150-241] - BSA and Azide free (Detector) (AB244859)
  • WB

Lab

Western blot - Anti-IL1 Receptor I/IL-1R-1 antibody [EPR20150-241] - BSA and Azide free (Detector) (AB244859)

Blocking and diluting buffer and concentration : 5% NFDM/TBST.
ab181602 was used as a GAPDH loading control at a 1/200000 dilution.
Negative control : 293T (PMID : 18996842).

All lanes:

Western blot - Anti-IL1 Receptor I/IL-1R-1 antibody [EPR20150-241] - BSA and Azide free (Detector) (ab244859) at 1/1000 dilution

Lane 1:

HDLM-2 (human Hodgkin lymphoma cell) whole cell lysate at 20 µg

Lane 2:

293T (human embryonic kidney epithelial cell) whole cell lysate at 20 µg

Secondary

All lanes:

Western blot - Goat Anti-Rabbit IgG H&L (HRP) (<a href='/en-us/products/secondary-antibodies/goat-rabbit-igg-h-l-hrp-ab97051'>ab97051</a>) at 1/100000 dilution

Observed band size: 80 kDa

false

Exposure time: 180s

Sandwich ELISA - Anti-IL1 Receptor I/IL-1R-1 antibody [EPR20150-241] - BSA and Azide free (Detector) (AB244859)
  • sELISA

Supplier Data

Sandwich ELISA - Anti-IL1 Receptor I/IL-1R-1 antibody [EPR20150-241] - BSA and Azide free (Detector) (AB244859)

Representative standard curve from corresponding SimpleStep ELISA® Kit (ab260072).

Key facts

Host species

Rabbit

Clonality

Monoclonal

Clone number

EPR20150-241

Isotype

IgG

Carrier free

Yes

Reacts with

Human

Applications

sELISA, WB, IHC-P

applications

Immunogen

The exact immunogen used to generate this antibody is proprietary information.

Reactivity data

{ "title": "Reactivity Data", "filters": { "stats": ["", "Species", "Dilution Info", "Notes"], "tabs": { "all-applications": {"fullname" : "All Applications", "shortname": "All Applications"}, "ICCIF" : {"fullname" : "Immunocytochemistry/ Immunofluorescence", "shortname":"ICC/IF"}, "IHCP" : {"fullname" : "Immunohistochemistry (Formalin/PFA-fixed paraffin-embedded sections)", "shortname":"IHC-P"}, "WB" : {"fullname" : "Western blot", "shortname":"WB"}, "sELISA" : {"fullname" : "Sandwich ELISA", "shortname":"sELISA"} }, "product-promise": { "all": "all", "testedAndGuaranteed": "tested", "guaranteed": "expected", "predicted": "predicted", "notRecommended": "not-recommended" } }, "values": { "Human": { "ICCIF-species-checked": "notRecommended", "ICCIF-species-dilution-info": "", "ICCIF-species-notes": "<p></p>", "IHCP-species-checked": "testedAndGuaranteed", "IHCP-species-dilution-info": "1/2000", "IHCP-species-notes": "<p></p>", "WB-species-checked": "testedAndGuaranteed", "WB-species-dilution-info": "1/1000", "WB-species-notes": "<p></p>", "sELISA-species-checked": "guaranteed", "sELISA-species-dilution-info": "", "sELISA-species-notes": "<p></p>" } } }

Product details

ab244859 is a BSA and Azide Free antibody supplied in an unconjugated format and it is suitable for sandwich ELISAs to quantify Human IL1R1. The recommended pair for sandwich ELISA is:
Capture: ab244608, Human IL1R1 Capture Antibody (unconjugated)
Detector: ab244859, Human IL1R1 Detector Antibody (unconjugated)
The reference range value is 187.5 - 12000 pg/ml.

Patented technology
Our RabMAb® technology is a patented hybridoma-based technology for making rabbit monoclonal antibodies. For details on our patents, please refer to RabMAb® patents.

What are the advantages of a recombinant monoclonal antibody?
This product is a recombinant monoclonal antibody, which offers several advantages including:

  • - High batch-to-batch consistency and reproducibility
  • - Improved sensitivity and specificity
  • - Long-term security of supply
  • - Animal-free batch production

For more information, read more on recombinant antibodies.

Conjugation ready
Our carrier-free antibodies are typically supplied in a PBS-only formulation, purified and free of BSA, sodium azide and glycerol. This conjugation-ready format is designed for use with fluorochromes, metal isotopes, oligonucleotides, and enzymes, which makes them ideal for antibody labelling, functional and cell-based assays, flow-based assays (e.g. mass cytometry) and Multiplex Imaging applications.

Use our conjugation kits for antibody conjugates that are ready-to-use in as little as 20 minutes with 1 minute hands-on-time and 100% antibody recovery: available for fluorescent dyes, HRP, biotin and gold.

Sandwich ELISA
The recommended antibody orientation is based on internal optimization for ELISA-based assays. Antibody orientation is assay dependent and needs to be optimized for each assay type. Please note that the range provided for this antibody is only an estimation based on the performance of the product using the recommended antibody pair. Performance of the antibody pair will depend on the specific characteristics of your assay. We guarantee the product works in sandwich ELISA, but we do not guarantee the sensitivity or dynamic range of the antibody in your assay.

Properties and storage information

Form
Liquid
Purification technique
Affinity purification Protein A
Storage buffer
Constituents: PBS
Shipped at conditions
Blue Ice
Appropriate short-term storage conditions
+4°C
Appropriate long-term storage conditions
+4°C

Supplementary information

This supplementary information is collated from multiple sources and compiled automatically.

The IL-1 Receptor I also known as IL-1R1 is a transmembrane protein with alternative names such as IL-1 receptor and IL-1 type I receptor. It acts as an important receptor for the pro-inflammatory cytokine Interleukin-1 (IL-1) family primarily IL-1α and IL-1β. IL-1R1 has a mass of approximately 80 kilodaltons and is expressed in a variety of cell types including endothelial cells epithelial cells and fibroblasts. It is also present on immune cells like monocytes and macrophages making it widespread in a vast range of tissues.
Biological function summary

IL-1R1 is a critical player in the initiation of immune responses serving as a component of the IL-1 signaling complex. When IL-1 binds to IL-1R1 it recruits the IL-1 receptor accessory protein (IL-1RAcP) to form a signaling complex that triggers downstream pathways. This interaction initiates a signaling cascade that activates nuclear factor-kappa B (NF-κB) and mitogen-activated protein kinases (MAPKs) promoting the expression of inflammatory genes and mediating immune and inflammatory responses.

Pathways

IL-1R1 is central to the inflammatory response and immune signaling pathways. The IL-1 receptor complex facilitates the activation of NF-κB which plays a role in the body's response to stress cytokines and pathogens. The receptor acts in close relation with other proteins like IL-1RAcP and IRAKs (Interleukin-1 receptor-associated kinases) in these pathways creating a robust immune signaling network that drives the inflammatory response.

IL-1R1 is closely associated with inflammatory conditions such as rheumatoid arthritis and inflammatory bowel disease. Increased IL-1R1 expression and signaling contribute to chronic inflammation in these diseases. The interaction of IL-1β with IL-1R1 and subsequently with proteins like NF-κB leads to the persistence of inflammatory signals. Moreover targeting IL-1R1 and related proteins offers potential therapeutic strategies in mitigating the symptoms and progression of inflammatory disorders.

Product protocols

For this product, it's our understanding that no specific protocols are required. You can visit:

Target data

Receptor for IL1A, IL1B and IL1RN (PubMed : 2950091, PubMed : 37315560). After binding to interleukin-1 associates with the coreceptor IL1RAP to form the high affinity interleukin-1 receptor complex which mediates interleukin-1-dependent activation of NF-kappa-B, MAPK and other pathways. Signaling involves the recruitment of adapter molecules such as TOLLIP, MYD88, and IRAK1 or IRAK2 via the respective TIR domains of the receptor/coreceptor subunits. Binds ligands with comparable affinity and binding of antagonist IL1RN prevents association with IL1RAP to form a signaling complex. Involved in IL1B-mediated costimulation of IFNG production from T-helper 1 (Th1) cells (PubMed : 10653850).
See full target information IL1R1

Product promise

We are committed to supporting your work with high-quality reagents, and we're here for you every step of the way. In the unlikely event that one of our products does not perform as expected, you're protected by our Product Promise.
For full details, please see our Terms & Conditions

Please note: All products are 'FOR RESEARCH USE ONLY. NOT FOR USE IN DIAGNOSTIC OR THERAPEUTIC PROCEDURES'.

For licensing inquiries, please contact partnerships@abcam.com