JavaScript is disabled in your browser. Please enable JavaScript to view this website.
AB324598

Anti-IL13RA2 antibody [RM2087]

  • BOND RX™ Validated
  • RabMAb
  • Recombinant
  • 20ul selling size
  • KO Validated
  • What is this?

Be the first to review this product! Submit a review

|

(0 Publication)

Rabbit Recombinant Multiclonal IL-13 receptor alpha 2 antibody. Suitable for WB, IHC-P, ICC/IF, Flow Cyt and reacts with Human samples.

View Alternative Names

CD213a2, IL13R, IL13RA2, Interleukin-13 receptor subunit alpha-2, IL-13 receptor subunit alpha-2, IL-13R subunit alpha-2, IL-13R-alpha-2, IL-13RA2, Interleukin-13-binding protein

8 Images
Flow Cytometry - Anti-IL13RA2 antibody [RM2087] (AB324598)
  • Flow Cyt

Supplier Data

Flow Cytometry - Anti-IL13RA2 antibody [RM2087] (AB324598)

Flow cytometric analysis of IL13RA2 KO A375 (IL13RA2 knockout human malignant melanoma epithelial cell) (Magenta) / A375 (Green) cells labelling IL13RA2 with ab324598 at 1/50 dilution (1ug) / Green and magenta compared with a Rabbit monoclonal IgG (ab172730) (Black) and Grey isotype control and an unlabelled control (cells without incubation with primary antibody and secondary antibody).

Goat Anti-Rabbit IgG (Alexa Fluor® 488, ab150081) at 1/5000 dilution was used as the secondary antibody.

Gated on viable cells.

Immunohistochemistry (Formalin/PFA-fixed paraffin-embedded sections) - Anti-IL13RA2 antibody [RM2087] (AB324598)
  • IHC-P

Supplier Data

Immunohistochemistry (Formalin/PFA-fixed paraffin-embedded sections) - Anti-IL13RA2 antibody [RM2087] (AB324598)

Immunohistochemical analysis of paraffin-embedded Human testis tissue labeling IL13RA2 with ab324598 at 1/100 (5.05 ug/ml) dilution, followed by a ready to use LeicaDS9800 (Bond™ Polymer Refine Detection) was used.

Positive staining on human testis. The primary antibody was incubated for 30 mins at room temperature.
The immunostaining was performed on a Leica Biosystems BOND® RX instrument

Counterstained with Hematoxylin.

Secondary antibody only control : Secondary antibody is a ready to use LeicaDS9800 (Bond™ Polymer Refine Detection) was used.

Heat mediated antigen retrieval was performed with Tris-EDTA buffer (pH 9.0, Epitope Retrieval Solution2) for 20 mins

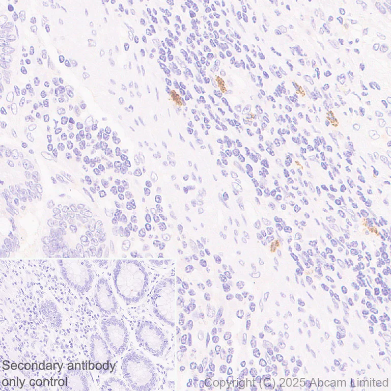
Immunohistochemistry (Formalin/PFA-fixed paraffin-embedded sections) - Anti-IL13RA2 antibody [RM2087] (AB324598)
  • IHC-P

Supplier Data

Immunohistochemistry (Formalin/PFA-fixed paraffin-embedded sections) - Anti-IL13RA2 antibody [RM2087] (AB324598)

Immunohistochemical analysis of paraffin-embedded Human colon carcinoma tissue labeling IL13RA2 with ab324598 at 1/100 (5.05 ug/ml) dilution, followed by a ready to use LeicaDS9800 (Bond™ Polymer Refine Detection) was used.

Positive staining on immune cells of human colon carcinoma. The primary antibody was incubated for 30 mins at room temperature.
The immunostaining was performed on a Leica Biosystems BOND® RX instrument

Counterstained with Hematoxylin.

Secondary antibody only control : Secondary antibody is a ready to use LeicaDS9800 (Bond™ Polymer Refine Detection) was used.

Heat mediated antigen retrieval was performed with Tris-EDTA buffer (pH 9.0, Epitope Retrieval Solution2) for 20 mins

Immunocytochemistry/ Immunofluorescence - Anti-IL13RA2 antibody [RM2087] (AB324598)
  • ICC/IF

Supplier Data

Immunocytochemistry/ Immunofluorescence - Anti-IL13RA2 antibody [RM2087] (AB324598)

Immunofluorescent analysis of 4% Paraformaldehyde-fixed, 0.1% TritonX-100 permeabilized IL13RA2 KO A375(IL13RA2 knockout human malignant melanoma epithelial cell), ab273381 cells labelling IL13RA2 with ab324598 at 1/1000 (0.505 ug/ml) dilution, followed by ab150081 Goat Anti-Rabbit IgG H&L (Alexa Fluor® 488) preadsorbed antibody at 1/1000 (2ug/ml) dilution (Green).

Confocal image showing membranous and cytoplasmic staining in wiltype A375 cells (shown in green), showing no staining in IL13RA2 knockout A375 cells. The counterstain was observed in magenta. Nuclear DNA was labelled with DAPI (shown in blue). Image was taken with a confocal microscope (Leica-Microsystems, TCS SP8).

ab7291 Anti-alpha Tubulin mouse monoclonal antibody was used to counterstain tubulin at 1/1000 (1ug/ml) dilution (Magenta). The Nuclear counterstain was DAPI (Blue).

Secondary antibody only control : Secondary antibody is ab150081 Goat Anti-Rabbit IgG H&L (Alexa Fluor® 488) preadsorbed at 1/1000 (2ug/ml) dilution.

Flow Cytometry - Anti-IL13RA2 antibody [RM2087] (AB324598)
  • Flow Cyt

Supplier Data

Flow Cytometry - Anti-IL13RA2 antibody [RM2087] (AB324598)

Flow cytometric analysis of A-172 (human brain glioblastoma cell) (Right) / Daudi (human Burkitt's lymphoma lymphoblast) (Left) cells labelling IL13RA2 with ab324598 at 1/50 dilution (1ug) (Red) compared with a Rabbit monoclonal IgG (ab172730) (Black) isotype control and an unlabelled control (cells without incubation with primary antibody and secondary antibody).

Goat Anti-Rabbit IgG (Alexa Fluor® 488, ab150081) at 1/5000 dilution was used as the secondary antibody.

Gated on viable cells.
Negative control : Daudi.

Immunohistochemistry (Formalin/PFA-fixed paraffin-embedded sections) - Anti-IL13RA2 antibody [RM2087] (AB324598)
  • IHC-P

Supplier Data

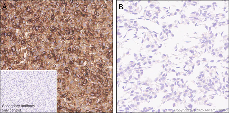
Immunohistochemistry (Formalin/PFA-fixed paraffin-embedded sections) - Anti-IL13RA2 antibody [RM2087] (AB324598)

Immunohistochemical analysis of paraffin-embedded (A) Wild-type A375 (human malignant melanoma epithelial cell) cell pellet (B) IL13RA2 knockout A375 cell pellet tissue labeling IL13RA2 with ab324598 at 1/100 (5.05 ug/ml) dilution, followed by a ready to use LeicaDS9800 (Bond™ Polymer Refine Detection) was used.

Positive staining on (A) Wild-type A375 cell pellet, no staining on (B) IL13RA2 knockout A375 cell pellet. The primary antibody was incubated for 30 mins at room temperature.
The immunostaining was performed on a Leica Biosystems BOND® RX instrument

Counterstained with Hematoxylin.

Secondary antibody only control : Secondary antibody is a ready to use LeicaDS9800 (Bond™ Polymer Refine Detection) was used.

Heat mediated antigen retrieval was performed with Tris-EDTA buffer (pH 9.0, Epitope Retrieval Solution2) for 20 mins

Immunohistochemistry (Formalin/PFA-fixed paraffin-embedded sections) - Anti-IL13RA2 antibody [RM2087] (AB324598)
  • IHC-P

Supplier Data

Immunohistochemistry (Formalin/PFA-fixed paraffin-embedded sections) - Anti-IL13RA2 antibody [RM2087] (AB324598)

Immunohistochemical analysis of paraffin-embedded Human skeletal muscle tissue labeling IL13RA2 with ab324598 at 1/100 (5.05 ug/ml) dilution, followed by a ready to use LeicaDS9800 (Bond™ Polymer Refine Detection) was used.

Negative control : no staining on human skeletal muscle. The primary antibody was incubated for 30 mins at room temperature.
The immunostaining was performed on a Leica Biosystems BOND® RX instrument

Counterstained with Hematoxylin.

Secondary antibody only control : Secondary antibody is a ready to use LeicaDS9800 (Bond™ Polymer Refine Detection) was used.

Heat mediated antigen retrieval was performed with Tris-EDTA buffer (pH 9.0, Epitope Retrieval Solution2) for 20 mins

Western blot - Anti-IL13RA2 antibody [RM2087] (AB324598)
  • WB

Supplier Data

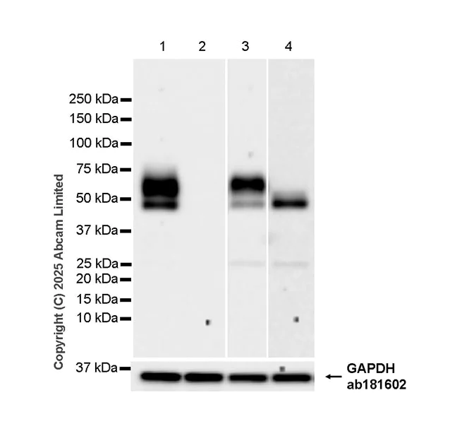
Western blot - Anti-IL13RA2 antibody [RM2087] (AB324598)

Blocking and diluting buffer and concentration : 5% NFDM/TBST.

Performed under reducing conditions.

In Western blot, ab324598 was shown to bind specifically to IL-13 receptor alpha 2. Band of interest was observed at 50-60 kDa in wild-type A375 cell lysate (lane 1) with no signal observed at this size in IL13RA2 knockout A375 cell lysate (lane 2) (lane 2, knockout cell line ab273381 / knockout cell lysate ab275532).

The molecular weight observed is consistent with what has been described in the literature (PMID : 30718742).

In Western blot, Anti-GAPDH antibody [EPR16891] - Loading Control (ab181602) staining at 1/200000 dilution.

Exposure time : Lanes 1-2 : 26 seconds, lane 3 : 48 seconds, lane 4 : 180 seconds

All lanes:

Western blot - Anti-IL13RA2 antibody [RM2087] (ab324598) at 1/1000 dilution

Lane 1:

A375 (human malignant melanoma epithelial cell) whole cell lysate at 20 µg

Lane 2:

Western blot - Human IL13RA2 knockout A375 cell lysate (<a href='/en-us/products/cell-lysates/human-il13ra2-knockout-a375-cell-lysate-ab275532'>ab275532</a>) at 20 µg

Lane 3:

A-172 (human brain glioblastoma cell) whole cell lysate at 20 µg

Lane 4:

Human testis tissue lysate at 20 µg

Secondary

All lanes:

Goat Anti-Rabbit IgG (HRP) with minimal cross-reactivity with human IgG at 1/2000 dilution

Observed band size: 50-60 kDa,36 kDa

false

Key facts

Host species

Rabbit

Clonality

Multiclonal

Clone number

RM2087

Isotype

IgG

Carrier free

No

Reacts with

Human

Applications

ICC/IF, IHC-P, Flow Cyt, WB

applications

Immunogen

The exact immunogen used to generate this antibody is proprietary information.

Reactivity data

{ "title": "Reactivity Data", "filters": { "stats": ["", "Species", "Dilution Info", "Notes"], "tabs": { "all-applications": {"fullname" : "All Applications", "shortname": "All Applications"}, "WB" : {"fullname" : "Western blot", "shortname":"WB"}, "IHCP" : {"fullname" : "Immunohistochemistry (Formalin/PFA-fixed paraffin-embedded sections)", "shortname":"IHC-P"}, "ICCIF" : {"fullname" : "Immunocytochemistry/ Immunofluorescence", "shortname":"ICC/IF"}, "FlowCyt" : {"fullname" : "Flow Cytometry", "shortname":"Flow Cyt"}, "IP" : {"fullname" : "Immunoprecipitation", "shortname":"IP"} }, "product-promise": { "all": "all", "testedAndGuaranteed": "tested", "guaranteed": "expected", "predicted": "predicted", "notRecommended": "not-recommended" } }, "values": { "Human": { "WB-species-checked": "testedAndGuaranteed", "WB-species-dilution-info": "1/1000", "WB-species-notes": "<p></p>", "IHCP-species-checked": "testedAndGuaranteed", "IHCP-species-dilution-info": "1/100", "IHCP-species-notes": "<p></p> Perform heat-mediated antigen retrieval with Tris/EDTA buffer pH 9.0 before commencing with IHC staining protocol.", "ICCIF-species-checked": "testedAndGuaranteed", "ICCIF-species-dilution-info": "1/1000", "ICCIF-species-notes": "<p></p>", "FlowCyt-species-checked": "testedAndGuaranteed", "FlowCyt-species-dilution-info": "1/50", "FlowCyt-species-notes": "<p></p>", "IP-species-checked": "notRecommended", "IP-species-dilution-info": "", "IP-species-notes": "<p></p>" } } }

Product details

Patented technology
Our RabMAb® technology is a patented hybridoma-based technology for making rabbit monoclonal antibodies. For details on our patents, please refer to RabMAb® patents.

What are recombinant multiclonals?
Recombinant multiclonals are a mixture of recombinant antibodies co-expressed from a library of heavy and light chains. They offer several advantages including:

  • - The sensitivity of polyclonal antibodies by recognising multiple epitopes
  • - High batch-to-batch consistency and reproducibility
  • - Improved sensitivity and specificity
  • - Long-term security of supply
  • - Animal-free batch production

View our range of recombinant multiclonal antibodies.

Properties and storage information

Form
Liquid
Purification technique
Affinity purification Protein A
Storage buffer
pH: 7.2 - 7.4 Preservative: 0.01% Sodium azide Constituents: PBS, 40% Glycerol (glycerin, glycerine), 0.05% BSA
Shipped at conditions
Blue Ice
Appropriate short-term storage duration
1-2 weeks
Appropriate short-term storage conditions
+4°C
Appropriate long-term storage conditions
-20°C
Aliquoting information
Upon delivery aliquot
Storage information
Avoid freeze / thaw cycle

Product protocols

For this product, it's our understanding that no specific protocols are required. You can visit:

Target data

Cell surface receptor that plays a role in the regulation of IL-13-mediated responses (PubMed : 11861389, PubMed : 17030238). Functions as a decoy receptor that inhibits IL-13- and IL-4-mediated signal transduction via the JAK-STAT pathway and thereby modulates immune responses and inflammation (PubMed : 11861389, PubMed : 17030238). Serves as a functional signaling receptor for IL-13 in an alternative pathway involving AP-1 ultimately leading to the production of TGFB1 (PubMed : 16327802).
See full target information IL13RA2

Product promise

We are committed to supporting your work with high-quality reagents, and we're here for you every step of the way. In the unlikely event that one of our products does not perform as expected, you're protected by our Product Promise.
For full details, please see our Terms & Conditions

Please note: All products are 'FOR RESEARCH USE ONLY. NOT FOR USE IN DIAGNOSTIC OR THERAPEUTIC PROCEDURES'.

For licensing inquiries, please contact partnerships@abcam.com