JavaScript is disabled in your browser. Please enable JavaScript to view this website.
AB203211

Anti-IL22 RA2/IL-22BP antibody

Be the first to review this product! Submit a review

|

(7 Publications)

Rabbit Polyclonal IL22 RA2/IL-22BP antibody. Suitable for Flow Cyt, WB, IHC-P and reacts with Mouse, Rat samples. Cited in 7 publications. Immunogen corresponding to Synthetic Peptide within Human IL22RA2 aa 150-250 conjugated to Keyhole Limpet Haemocyanin.

View Alternative Names

UNQ5793/PRO19598/PRO19822, IL22RA2, Interleukin-22 receptor subunit alpha-2, IL-22 receptor subunit alpha-2, IL-22R-alpha-2, IL-22RA2, Cytokine receptor class-II member 10, Cytokine receptor family 2 member 10, Interleukin-22-binding protein, ZcytoR16, CRF2-10, CRF2-S1, IL-22BP, IL22BP

5 Images
Flow Cytometry - Anti-IL22 RA2/IL-22BP antibody (AB203211)
  • Flow Cyt

Supplier Data

Flow Cytometry - Anti-IL22 RA2/IL-22BP antibody (AB203211)

Flow Cytometry analysis of Mouse splenocytes labeling IL22 RA2 / IL-22BP with ab203211 at 1/100, followed by incubation with a PE conjugated secondary antibody (green). Blue represents control cells, secondary only control in shown in light blue and isotype control in orange.

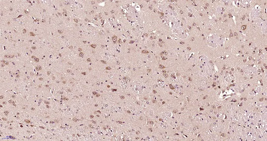
Immunohistochemistry (Formalin/PFA-fixed paraffin-embedded sections) - Anti-IL22 RA2/IL-22BP antibody (AB203211)
  • IHC-P

Supplier Data

Immunohistochemistry (Formalin/PFA-fixed paraffin-embedded sections) - Anti-IL22 RA2/IL-22BP antibody (AB203211)

Immunohistochemical analysis of formalin-fixed, paraffin-embedded Mouse brain tissue labeling IL22 RA2 / IL-22BP with ab203211 at 1/200 dilution, followed by conjugation to the secondary antibody and DAB staining.

Western blot - Anti-IL22 RA2/IL-22BP antibody (AB203211)
  • WB

Supplier Data

Western blot - Anti-IL22 RA2/IL-22BP antibody (AB203211)

All lanes:

Western blot - Anti-IL22 RA2/IL-22BP antibody (ab203211) at 1/300 dilution

All lanes:

Mouse spleen tissue lysates

Secondary

All lanes:

Conjugated secondary antibody at 1/10000 dilution

Predicted band size: 31 kDa

false

Flow Cytometry - Anti-IL22 RA2/IL-22BP antibody (AB203211)
  • Flow Cyt

Supplier Data

Flow Cytometry - Anti-IL22 RA2/IL-22BP antibody (AB203211)

Flow Cytometry analysis of mouse spleen cells labeling IL22 RA2 / IL-22BP with ab203211 at 1/200, followed by incubation with a goat anti-rabbit PE conjugated secondary antibody (green). Cells were fixed with 2% PFA (10min at room temperature) and then permeabilized with 90% ice-cold methanol for 30min on ice. The cells were then incubated in 2% BSA + 10% goat serum to block non-specific protein-protein interactions for 15 min at room temperature. Dark blue represents control cells, secondary only control in shown in light blue and isotype control in orange.

Western blot - Anti-IL22 RA2/IL-22BP antibody (AB203211)
  • WB

Supplier Data

Western blot - Anti-IL22 RA2/IL-22BP antibody (AB203211)

Primary incubation : overnight at 4°C followed by a conjugated secondary antibody for 60 minutes at 37°C.

All lanes:

Western blot - Anti-IL22 RA2/IL-22BP antibody (ab203211) at 1/300 dilution

All lanes:

Rat testis tissue lysates

Predicted band size: 31 kDa

false

Key facts

Host species

Rabbit

Clonality

Polyclonal

Isotype

IgG

Carrier free

No

Reacts with

Mouse, Rat

Applications

IHC-P, WB, Flow Cyt

applications

Immunogen

Synthetic Peptide within Human IL22RA2 aa 150-250 conjugated to Keyhole Limpet Haemocyanin. The exact immunogen used to generate this antibody is proprietary information.

Q969J5

Reactivity data

{ "title": "Reactivity Data", "filters": { "stats": ["", "Species", "Dilution Info", "Notes"], "tabs": { "all-applications": {"fullname" : "All Applications", "shortname": "All Applications"}, "FlowCyt" : {"fullname" : "Flow Cytometry", "shortname":"Flow Cyt"}, "WB" : {"fullname" : "Western blot", "shortname":"WB"}, "IHCP" : {"fullname" : "Immunohistochemistry (Formalin/PFA-fixed paraffin-embedded sections)", "shortname":"IHC-P"} }, "product-promise": { "all": "all", "testedAndGuaranteed": "tested", "guaranteed": "expected", "predicted": "predicted", "notRecommended": "not-recommended" } }, "values": { "Human": { "FlowCyt-species-checked": "predicted", "FlowCyt-species-dilution-info": "", "FlowCyt-species-notes": "", "WB-species-checked": "predicted", "WB-species-dilution-info": "", "WB-species-notes": "", "IHCP-species-checked": "predicted", "IHCP-species-dilution-info": "", "IHCP-species-notes": "" }, "Mouse": { "FlowCyt-species-checked": "testedAndGuaranteed", "FlowCyt-species-dilution-info": "1/20 - 1/100", "FlowCyt-species-notes": "<p><a href='/en-us/products/primary-antibodies/rabbit-igg-polyclonal-isotype-control-chip-grade-ab171870'>ab171870</a> - Rabbit polyclonal IgG, is suitable for use as an isotype control with this antibody.</p>", "WB-species-checked": "testedAndGuaranteed", "WB-species-dilution-info": "1/100 - 1/1000", "WB-species-notes": "<p></p>", "IHCP-species-checked": "testedAndGuaranteed", "IHCP-species-dilution-info": "1/50 - 1/500", "IHCP-species-notes": "<p>(or 1/50 - 1/200 using a fluorescent secondary antibody).</p>" }, "Rat": { "FlowCyt-species-checked": "guaranteed", "FlowCyt-species-dilution-info": "", "FlowCyt-species-notes": "", "WB-species-checked": "testedAndGuaranteed", "WB-species-dilution-info": "1/100 - 1/1000", "WB-species-notes": "<p></p>", "IHCP-species-checked": "guaranteed", "IHCP-species-dilution-info": "", "IHCP-species-notes": "" } } }

Properties and storage information

Form
Liquid
Purification technique
Affinity purification Protein A
Storage buffer
pH: 7.4 Preservative: 0.02% Proclin 300 Constituents: 50% Glycerol (glycerin, glycerine), 48.98% TBS, 1X, 1% BSA
Shipped at conditions
Blue Ice
Appropriate short-term storage duration
1-2 weeks
Appropriate short-term storage conditions
+4°C
Appropriate long-term storage conditions
-20°C
Aliquoting information
Upon delivery aliquot
Storage information
Avoid freeze / thaw cycle

Supplementary information

This supplementary information is collated from multiple sources and compiled automatically.

IL22 RA2 also known as IL-22BP (IL-22 binding protein) acts as a soluble decoy receptor for IL-22 and it plays a role in modulating IL-22 activity. IL-22 promotes the survival and innate immunity of epithelial cells. IL22 RA2 binds IL-22 with high affinity preventing it from interacting with its membrane receptor IL22R1. This protein is approximately 27 kDa in size and is expressed mainly in the placenta spleen and skin. IL22 RA2 does not get anchored to the cell membrane which allows it to regulate IL-22 activity distantly from the site of its production.
Biological function summary

IL22 RA2 is involved in dampening the pro-inflammatory effects of IL-22. IL-22 is part of the interleukin-10 (IL-10) cytokine family and IL22 RA2 adjusts the balance of IL-22 activity within tissue microenvironments. By neutralizing IL-22 IL22 RA2 reduces cytokine signaling that would lead to excessive inflammation. Though it does not form part of a larger receptor complex on the cell surface its role is significant in controlling the spread of IL-22 mediated signals in tissues prone to inflammation.

Pathways

IL22 RA2 influences the IL-22/STAT3 signaling pathway which is central in managing inflammatory responses and maintaining epithelial barrier functions. IL22 RA2 inhibits IL-22 induced STAT3 phosphorylation effectively blocking downstream pathway activation. Another related protein in this signaling route is IL22R1 which when not bound by IL22 RA2 forms a receptor complex with IL10R2 to mediate the effects of IL-22 in target tissues.

IL22 RA2 has been linked to inflammatory bowel disease (IBD) and psoriasis. These conditions show deregulation of IL-22 activity where IL22 RA2 plays a role in modulating the inflammatory environment. By binding IL-22 IL22 RA2 affects the IL-22/IL22R1 axis reducing exacerbation of chronic inflammation seen in these diseases. Understanding its interaction with IL-22 can aid in the development of targeted therapies for managing inflammation in conditions such as IBD and psoriasis.

Product protocols

For this product, it's our understanding that no specific protocols are required. You can visit:

Target data

Isoform 2 is a receptor for IL22. Binds to IL22, prevents interaction with the functional IL-22R complex and blocks the activity of IL22 (in vitro). May play an important role as an IL22 antagonist in the regulation of inflammatory responses.. Isoform 1 may play a role in establishing and maintaining successful pregnancy.
See full target information IL22RA2

Publications (7)

Recent publications for all applications. Explore the full list and refine your search

Gut microbes 17:2471015 PubMed40008452

2025

Gut microbial dysbiosis exacerbates long-term cognitive impairments by promoting intestinal dysfunction and neuroinflammation following neonatal hypoxia-ischemia.

Applications

Unspecified application

Species

Unspecified reactive species

Andi Chen,Chengqian Teng,Jianjie Wei,Xuyang Wu,Honghong Zhang,Pinzhong Chen,Dingliang Cai,Haitao Qian,Hui Zhu,Xiaochun Zheng,Xiaohui Chen

International journal of nanomedicine 18:7267-7285 PubMed38090362

2023

Drug Repositioning of Metformin Encapsulated in PLGA Combined with Photothermal Therapy Ameliorates Rheumatoid Arthritis.

Applications

Unspecified application

Species

Unspecified reactive species

Dae Kyu Kim,Jun Young Park,Youn Joo Kang,Dongwoo Khang

Microbiome 11:248 PubMed37936242

2023

Surgery-induced gut microbial dysbiosis promotes cognitive impairment via regulation of intestinal function and the metabolite palmitic amide.

Applications

Unspecified application

Species

Unspecified reactive species

Cailong Pan,Huiwen Zhang,Lingyuan Zhang,Lu Chen,Lu Xu,Ning Xu,Xue Liu,Qinghai Meng,Xiaoliang Wang,Zhi-Yuan Zhang

Pflugers Archiv : European journal of physiology 473:921-936 PubMed33913004

2021

Water intake releases serotonin from enterochromaffin cells in rat jejunal villi.

Applications

Unspecified application

Species

Unspecified reactive species

Ryo Kajihara,Kei Amari,Nariaki Arai,Sachiho Nagashio,Moyuru Hayashi,Tomomi Watanabe-Asaka,Maki Kaidoh,Yumiko Yokoyama,Daisuke Maejima,Yoshiko Kawai,Toshio Ohhashi

Journal of cellular and molecular medicine 24:4819-4829 PubMed32168425

2020

Ozone therapy promotes the differentiation of basal keratinocytes via increasing Tp63-mediated transcription of KRT10 to improve psoriasis.

Applications

Unspecified application

Species

Unspecified reactive species

Lihua Gao,Jianhua Dou,Bo Zhang,Jinrong Zeng,Qingmei Cheng,Li Lei,Lina Tan,Qinghai Zeng,Shu Ding,Aiyuan Guo,Haipeng Cheng,Caifeng Yang,Ziqiang Luo,Jianyun Lu

American journal of translational research 11:998-1008 PubMed30899399

2019

IL-22/IL-22R1 axis is involved in myocardial injury of a mouse cecal ligation and puncture model.

Applications

Unspecified application

Species

Unspecified reactive species

Yanhua Zheng,Kai Feng,Heming Yang,Ran Duan,Yingying Wu,Jinnan Yin,Maoxing Yue,Jianzhong Zhang

Genetics and molecular research : GMR 14:10543-52 PubMed26400286

2015

Elucidating the function and tolerance mechanism of gamma delta (γ δ) T cells in a Helicobacter pylori infection model.

Applications

Unspecified application

Species

Unspecified reactive species

T E Chen,X M Xu,P Liu,S Y Liang,W X Lv
View all publications

Product promise

We are committed to supporting your work with high-quality reagents, and we're here for you every step of the way. In the unlikely event that one of our products does not perform as expected, you're protected by our Product Promise.
For full details, please see our Terms & Conditions

Please note: All products are 'FOR RESEARCH USE ONLY. NOT FOR USE IN DIAGNOSTIC OR THERAPEUTIC PROCEDURES'.

For licensing inquiries, please contact partnerships@abcam.com