JavaScript is disabled in your browser. Please enable JavaScript to view this website.
AB267789

Anti-IL22 RA2/IL-22BP antibody [EPRR23006-70] - BSA and Azide free

Be the first to review this product! Submit a review

|

(0 Publication)

Rabbit Recombinant Monoclonal IL22 RA2/IL-22BP antibody. Carrier free. Suitable for IHC-P and reacts with Human samples.

View Alternative Names

UNQ5793/PRO19598/PRO19822, IL22RA2, Interleukin-22 receptor subunit alpha-2, IL-22 receptor subunit alpha-2, IL-22R-alpha-2, IL-22RA2, Cytokine receptor class-II member 10, Cytokine receptor family 2 member 10, Interleukin-22-binding protein, ZcytoR16, CRF2-10, CRF2-S1, IL-22BP, IL22BP

4 Images
Immunohistochemistry (Formalin/PFA-fixed paraffin-embedded sections) - Anti-IL22 RA2/IL-22BP antibody [EPRR23006-70] - BSA and Azide free (AB267789)
  • IHC-P

Unknown

Immunohistochemistry (Formalin/PFA-fixed paraffin-embedded sections) - Anti-IL22 RA2/IL-22BP antibody [EPRR23006-70] - BSA and Azide free (AB267789)

Immunohistochemical analysis of paraffin-embedded Human tonsil tissue labeling IL22 RA2/IL-22BP with ab267467 at 1/500 dilution (1.09 ug/ml) followed by a ready to use Rabbit specific IHC polymer detection kit HRP/DAB (ab209101). Positive staining on human tonsil (PMID : 28512157) is observed. The section was incubated with ab267467 for 30 mins at RT. The immunostaining staining was performed on a Leica Biosystems BOND® RX instrument. Counterstained with Hematoxylin.

Secondary antibody only control : Secondary antibody is a ready to use Rabbit specific IHC polymer detection kit HRP/DAB (ab209101).

Heat mediated antigen retrieval with Tris-EDTA buffer (pH 9.0, epitope retrieval solution 2) for 20 mins.

This data was developed using the same antibody clone in a different buffer formulation containing PBS, BSA, glycerol, and sodium azide (ab267467).

Immunohistochemistry (Formalin/PFA-fixed paraffin-embedded sections) - Anti-IL22 RA2/IL-22BP antibody [EPRR23006-70] - BSA and Azide free (AB267789)
  • IHC-P

Unknown

Immunohistochemistry (Formalin/PFA-fixed paraffin-embedded sections) - Anti-IL22 RA2/IL-22BP antibody [EPRR23006-70] - BSA and Azide free (AB267789)

Immunohistochemical analysis of paraffin-embedded Human carcinoma tissue labeling IL22 RA2/IL-22BP with ab267467 at 1/500 dilution (1.09 ug/ml) followed by a ready to use Rabbit specific IHC polymer detection kit HRP/DAB (ab209101). Positive staining on stromal cells in human carcinoma (PMID : 26329427) is observed. The section was incubated with ab267467 for 30 mins at RT. The immunostaining staining was performed on a Leica Biosystems BOND® RX instrument. Counterstained with Hematoxylin.

Secondary antibody only control : Secondary antibody is a ready to use Rabbit specific IHC polymer detection kit HRP/DAB (ab209101).

Heat mediated antigen retrieval with Tris-EDTA buffer (pH 9.0, epitope retrieval solution 2) for 20 mins.

This data was developed using the same antibody clone in a different buffer formulation containing PBS, BSA, glycerol, and sodium azide (ab267467).

Immunohistochemistry (Formalin/PFA-fixed paraffin-embedded sections) - Anti-IL22 RA2/IL-22BP antibody [EPRR23006-70] - BSA and Azide free (AB267789)
  • IHC-P

Unknown

Immunohistochemistry (Formalin/PFA-fixed paraffin-embedded sections) - Anti-IL22 RA2/IL-22BP antibody [EPRR23006-70] - BSA and Azide free (AB267789)

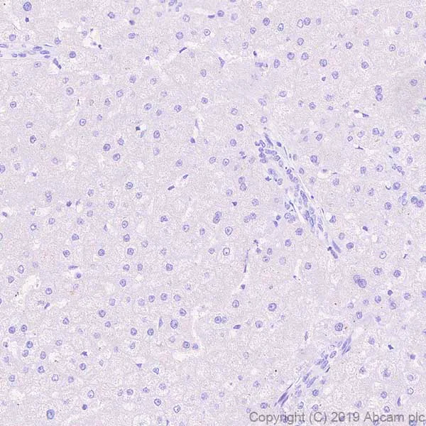
Immunohistochemical analysis of paraffin-embedded Human liver tissue labeling IL22 RA2/IL-22BP with ab267467 at 1/500 dilution (1.09 ug/ml) followed by a ready to use Rabbit specific IHC polymer detection kit HRP/DAB (ab209101). Negative control : no staining on human liver (PMID : 21674558, PMID : 23653115) is observed. The section was incubated with ab267467 for 30 mins at RT. The immunostaining staining was performed on a Leica Biosystems BOND® RX instrument. Counterstained with Hematoxylin.

Secondary antibody only control : Secondary antibody is a ready to use Rabbit specific IHC polymer detection kit HRP/DAB (ab209101).

Heat mediated antigen retrieval with Tris-EDTA buffer (pH 9.0, epitope retrieval solution 2) for 20 mins.

This data was developed using the same antibody clone in a different buffer formulation containing PBS, BSA, glycerol, and sodium azide (ab267467).

Immunohistochemistry (Formalin/PFA-fixed paraffin-embedded sections) - Anti-IL22 RA2/IL-22BP antibody [EPRR23006-70] - BSA and Azide free (AB267789)
  • IHC-P

Unknown

Immunohistochemistry (Formalin/PFA-fixed paraffin-embedded sections) - Anti-IL22 RA2/IL-22BP antibody [EPRR23006-70] - BSA and Azide free (AB267789)

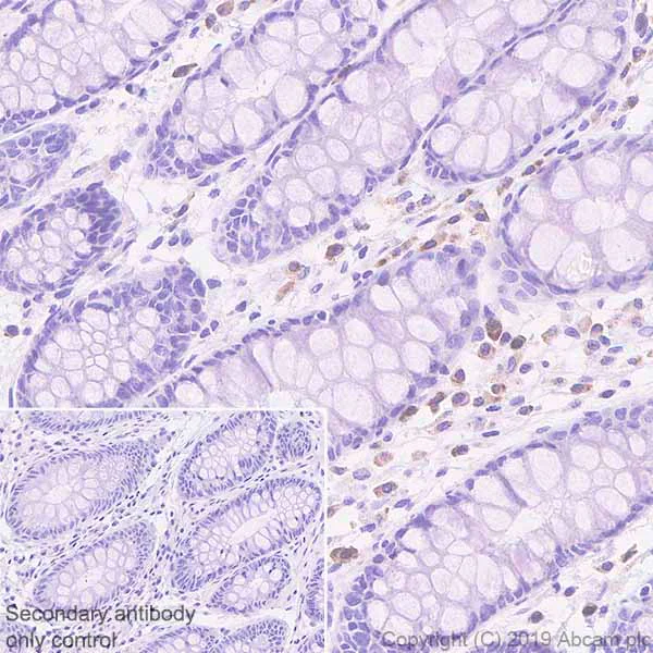
Immunohistochemical analysis of paraffin-embedded Human colon tissue labeling IL22 RA2/IL-22BP with ab267467 at 1/500 dilution (1.09 ug/ml) followed by a ready to use Rabbit specific IHC polymer detection kit HRP/DAB (ab209101). Positive staining on stromal cells in human colon (PMID : 26329427) is observed. The section was incubated with ab267467 for 30 mins at RT. The immunostaining staining was performed on a Leica Biosystems BOND® RX instrument. Counterstained with Hematoxylin.

Secondary antibody only control : Secondary antibody is a ready to use Rabbit specific IHC polymer detection kit HRP/DAB (ab209101).

Heat mediated antigen retrieval with Tris-EDTA buffer (pH 9.0, epitope retrieval solution 2) for 20 mins.

This data was developed using the same antibody clone in a different buffer formulation containing PBS, BSA, glycerol, and sodium azide (ab267467).

  • Unconjugated

    Anti-IL22 RA2/IL-22BP antibody [EPRR23006-70]

Key facts

Host species

Rabbit

Clonality

Monoclonal

Clone number

EPRR23006-70

Isotype

IgG

Carrier free

Yes

Reacts with

Human

Applications

IHC-P

applications

Immunogen

The exact immunogen used to generate this antibody is proprietary information.

Reactivity data

{ "title": "Reactivity Data", "filters": { "stats": ["", "Species", "Dilution Info", "Notes"], "tabs": { "all-applications": {"fullname" : "All Applications", "shortname": "All Applications"}, "IP" : {"fullname" : "Immunoprecipitation", "shortname":"IP"}, "FlowCyt" : {"fullname" : "Flow Cytometry", "shortname":"Flow Cyt"}, "WB" : {"fullname" : "Western blot", "shortname":"WB"}, "ICCIF" : {"fullname" : "Immunocytochemistry/ Immunofluorescence", "shortname":"ICC/IF"}, "IHCP" : {"fullname" : "Immunohistochemistry (Formalin/PFA-fixed paraffin-embedded sections)", "shortname":"IHC-P"} }, "product-promise": { "all": "all", "testedAndGuaranteed": "tested", "guaranteed": "expected", "predicted": "predicted", "notRecommended": "not-recommended" } }, "values": { "Human": { "IP-species-checked": "notRecommended", "IP-species-dilution-info": "", "IP-species-notes": "<p></p>", "FlowCyt-species-checked": "notRecommended", "FlowCyt-species-dilution-info": "", "FlowCyt-species-notes": "<p></p>", "WB-species-checked": "notRecommended", "WB-species-dilution-info": "", "WB-species-notes": "<p></p>", "ICCIF-species-checked": "notRecommended", "ICCIF-species-dilution-info": "", "ICCIF-species-notes": "<p></p>", "IHCP-species-checked": "testedAndGuaranteed", "IHCP-species-dilution-info": "", "IHCP-species-notes": "<p></p>" } } }

Product details

ab267789 is the carrier-free version of ab267467.

Patented technology
Our RabMAb® technology is a patented hybridoma-based technology for making rabbit monoclonal antibodies. For details on our patents, please refer to RabMAb® patents.

What are the advantages of a recombinant monoclonal antibody?
This product is a recombinant monoclonal antibody, which offers several advantages including:

  • - High batch-to-batch consistency and reproducibility
  • - Improved sensitivity and specificity
  • - Long-term security of supply
  • - Animal-free batch production

For more information, read more on recombinant antibodies.

Conjugation ready
Our carrier-free antibodies are typically supplied in a PBS-only formulation, purified and free of BSA, sodium azide and glycerol. This conjugation-ready format is designed for use with fluorochromes, metal isotopes, oligonucleotides, and enzymes, which makes them ideal for antibody labelling, functional and cell-based assays, flow-based assays (e.g. mass cytometry) and Multiplex Imaging applications.

Use our conjugation kits for antibody conjugates that are ready-to-use in as little as 20 minutes with 1 minute hands-on-time and 100% antibody recovery: available for fluorescent dyes, HRP, biotin and gold.

Compatibility
This product is compatible with the Maxpar® Antibody Labeling Kit from Fluidigm, without the need for antibody preparation. Maxpar® is a trademark of Fluidigm Canada Inc.

Properties and storage information

Form
Liquid
Purification technique
Affinity purification Protein A
Storage buffer
pH: 7.2 - 7.4 Constituents: PBS
Shipped at conditions
Blue Ice
Appropriate short-term storage conditions
+4°C
Appropriate long-term storage conditions
+4°C
Storage information
Do Not Freeze

Supplementary information

This supplementary information is collated from multiple sources and compiled automatically.

IL22 RA2 also known as IL-22BP (IL-22 binding protein) acts as a soluble decoy receptor for IL-22 and it plays a role in modulating IL-22 activity. IL-22 promotes the survival and innate immunity of epithelial cells. IL22 RA2 binds IL-22 with high affinity preventing it from interacting with its membrane receptor IL22R1. This protein is approximately 27 kDa in size and is expressed mainly in the placenta spleen and skin. IL22 RA2 does not get anchored to the cell membrane which allows it to regulate IL-22 activity distantly from the site of its production.
Biological function summary

IL22 RA2 is involved in dampening the pro-inflammatory effects of IL-22. IL-22 is part of the interleukin-10 (IL-10) cytokine family and IL22 RA2 adjusts the balance of IL-22 activity within tissue microenvironments. By neutralizing IL-22 IL22 RA2 reduces cytokine signaling that would lead to excessive inflammation. Though it does not form part of a larger receptor complex on the cell surface its role is significant in controlling the spread of IL-22 mediated signals in tissues prone to inflammation.

Pathways

IL22 RA2 influences the IL-22/STAT3 signaling pathway which is central in managing inflammatory responses and maintaining epithelial barrier functions. IL22 RA2 inhibits IL-22 induced STAT3 phosphorylation effectively blocking downstream pathway activation. Another related protein in this signaling route is IL22R1 which when not bound by IL22 RA2 forms a receptor complex with IL10R2 to mediate the effects of IL-22 in target tissues.

IL22 RA2 has been linked to inflammatory bowel disease (IBD) and psoriasis. These conditions show deregulation of IL-22 activity where IL22 RA2 plays a role in modulating the inflammatory environment. By binding IL-22 IL22 RA2 affects the IL-22/IL22R1 axis reducing exacerbation of chronic inflammation seen in these diseases. Understanding its interaction with IL-22 can aid in the development of targeted therapies for managing inflammation in conditions such as IBD and psoriasis.

Product protocols

For this product, it's our understanding that no specific protocols are required. You can visit:

Target data

Isoform 2 is a receptor for IL22. Binds to IL22, prevents interaction with the functional IL-22R complex and blocks the activity of IL22 (in vitro). May play an important role as an IL22 antagonist in the regulation of inflammatory responses.. Isoform 1 may play a role in establishing and maintaining successful pregnancy.
See full target information IL22RA2

Product promise

We are committed to supporting your work with high-quality reagents, and we're here for you every step of the way. In the unlikely event that one of our products does not perform as expected, you're protected by our Product Promise.
For full details, please see our Terms & Conditions

Please note: All products are 'FOR RESEARCH USE ONLY. NOT FOR USE IN DIAGNOSTIC OR THERAPEUTIC PROCEDURES'.

For licensing inquiries, please contact partnerships@abcam.com