JavaScript is disabled in your browser. Please enable JavaScript to view this website.
AB5997

Anti-IL27RA/WSX-1 antibody

Be the first to review this product! Submit a review

|

(2 Publications)

Rabbit Polyclonal WSX-1 antibody. Suitable for WB, IHC-P, ICC/IF and reacts with Human samples. Cited in 2 publications. Immunogen corresponding to Synthetic Peptide within Human IL27RA aa 1-100.

View Alternative Names

CRL1, TCCR, WSX1, UNQ296/PRO336, IL27RA, Interleukin-27 receptor subunit alpha, IL-27 receptor subunit alpha, IL-27R subunit alpha, IL-27R-alpha, IL-27RA, Cytokine receptor WSX-1, Cytokine receptor-like 1, Type I T-cell cytokine receptor, ZcytoR1

3 Images
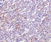
Immunohistochemistry (Formalin/PFA-fixed paraffin-embedded sections) - Anti-IL27RA/WSX-1 antibody (AB5997)
  • IHC-P

Unknown

Immunohistochemistry (Formalin/PFA-fixed paraffin-embedded sections) - Anti-IL27RA/WSX-1 antibody (AB5997)

ab5997 at 10μg/ml staining WSX-1 in human spleen tissue by IHC

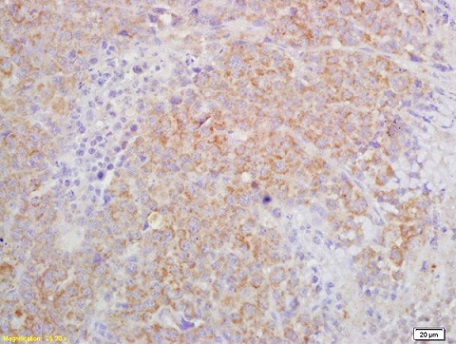
Immunocytochemistry/ Immunofluorescence - Anti-IL27RA/WSX-1 antibody (AB5997)
  • ICC/IF

Unknown

Immunocytochemistry/ Immunofluorescence - Anti-IL27RA/WSX-1 antibody (AB5997)

Immunofluorescence of WSX-1 in A549 cells using ab5997 at 20 ug/ml.

Western blot - Anti-IL27RA/WSX-1 antibody (AB5997)
  • WB

Unknown

Western blot - Anti-IL27RA/WSX-1 antibody (AB5997)

Western blot analysis of WSX-1 expression in human spleen tissue lysates with ab5997 at 1 μg /ml. Western blot analysis of WSX-1 expression in human spleen tissue lysates with ab5997 at 1 μg /ml.

All lanes:

Western blot - Anti-IL27RA/WSX-1 antibody (ab5997)

Predicted band size: 69 kDa

false

Key facts

Host species

Rabbit

Clonality

Polyclonal

Isotype

IgG

Carrier free

No

Reacts with

Human

Applications

WB, IHC-P, ICC/IF

applications

Immunogen

Synthetic Peptide within Human IL27RA aa 1-100. The exact immunogen used to generate this antibody is proprietary information.

Q6UWB1

Reactivity data

{ "title": "Reactivity Data", "filters": { "stats": ["", "Species", "Dilution Info", "Notes"], "tabs": { "all-applications": {"fullname" : "All Applications", "shortname": "All Applications"}, "WB" : {"fullname" : "Western blot", "shortname":"WB"}, "IHCP" : {"fullname" : "Immunohistochemistry (Formalin/PFA-fixed paraffin-embedded sections)", "shortname":"IHC-P"}, "ICCIF" : {"fullname" : "Immunocytochemistry/ Immunofluorescence", "shortname":"ICC/IF"} }, "product-promise": { "all": "all", "testedAndGuaranteed": "tested", "guaranteed": "expected", "predicted": "predicted", "notRecommended": "not-recommended" } }, "values": { "Human": { "WB-species-checked": "testedAndGuaranteed", "WB-species-dilution-info": "0.5-1 µg/mL", "WB-species-notes": "<p></p>", "IHCP-species-checked": "testedAndGuaranteed", "IHCP-species-dilution-info": "10 µg/mL", "IHCP-species-notes": "<p></p>", "ICCIF-species-checked": "testedAndGuaranteed", "ICCIF-species-dilution-info": "20 µg/mL", "ICCIF-species-notes": "<p></p>" } } }

Properties and storage information

Form
Liquid
Purification technique
Affinity purification Immunogen
Storage buffer
pH: 7.2 Preservative: 0.02% Sodium azide Constituents: PBS
Shipped at conditions
Blue Ice
Appropriate short-term storage duration
1-2 weeks
Appropriate short-term storage conditions
+4°C
Appropriate long-term storage conditions
-20°C
Storage information
Avoid freeze / thaw cycle

Supplementary information

This supplementary information is collated from multiple sources and compiled automatically.

The WSX-1 protein also known as IL-27Rα or TCCR is a subunit of the interleukin-27 receptor. It weighs approximately 74 kDa and is mainly expressed on various immune cells including T cells B cells and monocytes. WSX-1 engages in the immune signaling by interacting specifically with its ligand IL-27 to drive immunological responses. This receptor belongs to the type I cytokine receptor family and is structurally characterized by certain conserved motifs important for its signaling functions.
Biological function summary

WSX-1 plays a role in regulating immune cell activity and differentiation. It acts as a part of a receptor complex with gp130 to form the IL-27 receptor which transmits signals that modulate the activity of T helper cells. This signaling influences the production of pro-inflammatory and anti-inflammatory cytokines impacting immune system balance. The function of WSX-1 remains critical for controlling inflammatory responses and ensuring immune tolerance.

Pathways

WSX-1 contributes to the JAK/STAT signaling pathway and influences the differentiation of Th1 cells. The connection to JAK/STAT signaling involves various proteins such as STAT1 and STAT3 which transduce IL-27-induced signals leading to gene expression changes in immune cells. Through its action in these pathways WSX-1 regulates immune responses and can influence inflammation dynamics in various biological contexts.

WSX-1 has associations with autoimmune diseases and infectious conditions. Alterations in its signaling pathways can lead to dysregulated immune responses contributing to diseases like multiple sclerosis and inflammatory bowel disease. The protein’s interaction with IL-27 is central in these conditions as it influences the pro-inflammatory and regulatory functions of the immune system. Furthermore studies suggest a link between WSX-1 activity and the modulation of responses against infections linking it to potential therapeutic targets for managing related disorders.

Product protocols

For this product, it's our understanding that no specific protocols are required. You can visit:

Target data

Receptor for IL27. Requires IL6ST/GP130 to mediate signal transduction in response to IL27. This signaling system acts through STAT3 and STAT1. Acts as a receptor for the neuroprotective peptide humanin as part of a complex with IL6ST/GP130 and CNTFR (PubMed : 19386761). Involved in the regulation of Th1-type immune responses. Also appears to be involved in innate defense mechanisms.
See full target information IL27RA

Publications (2)

Recent publications for all applications. Explore the full list and refine your search

Blood 111:1903-12 PubMed18042804

2007

Interleukin-27 directly induces differentiation in hematopoietic stem cells.

Applications

Unspecified application

Species

Unspecified reactive species

Jun Seita,Masayuki Asakawa,Jun Ooehara,Shin-Ichiro Takayanagi,Yohei Morita,Nobukazu Watanabe,Koji Fujita,Motoshige Kudo,Junichiro Mizuguchi,Hideo Ema,Hiromitsu Nakauchi,Takayuki Yoshimoto

Journal of immunology (Baltimore, Md. : 1950) 177:5377-85 PubMed17015723

2006

Two-sided roles of IL-27: induction of Th1 differentiation on naive CD4+ T cells versus suppression of proinflammatory cytokine production including IL-23-induced IL-17 on activated CD4+ T cells partially through STAT3-dependent mechanism.

Applications

Unspecified application

Species

Unspecified reactive species

Takeru Yoshimura,Atsunobu Takeda,Shinjiro Hamano,Yoshiyuki Miyazaki,Ichiko Kinjyo,Tatsuro Ishibashi,Akihiko Yoshimura,Hiroki Yoshida
View all publications

Product promise

We are committed to supporting your work with high-quality reagents, and we're here for you every step of the way. In the unlikely event that one of our products does not perform as expected, you're protected by our Product Promise.
For full details, please see our Terms & Conditions

Please note: All products are 'FOR RESEARCH USE ONLY. NOT FOR USE IN DIAGNOSTIC OR THERAPEUTIC PROCEDURES'.

For licensing inquiries, please contact partnerships@abcam.com