JavaScript is disabled in your browser. Please enable JavaScript to view this website.
AB224395

Anti-IL28RA antibody

Be the first to review this product! Submit a review

|

(4 Publications)

Rabbit Polyclonal IL28RA antibody. Suitable for IHC-P, WB, ICC/IF and reacts with Human samples. Cited in 4 publications. Immunogen corresponding to Recombinant Fragment Protein within Human IFNLR1 aa 100-250.

View Alternative Names

IL28RA, LICR2, IFNLR1, Interferon lambda receptor 1, IFN-lambda receptor 1, IFN-lambda-R1, Cytokine receptor class-II member 12, Cytokine receptor family 2 member 12, Interleukin-28 receptor subunit alpha, Likely interleukin or cytokine receptor 2, CRF2-12, IL-28 receptor subunit alpha, IL-28R-alpha, IL-28RA

6 Images
Immunocytochemistry/ Immunofluorescence - Anti-IL28RA antibody (AB224395)
  • ICC/IF

Supplier Data

Immunocytochemistry/ Immunofluorescence - Anti-IL28RA antibody (AB224395)

Immunofluorescent analysis of U-251 MG (human brain glioma cell line) cells labeling IL28 (green) in cytosol with ab224395 at 2 μg/ml.

Immunohistochemistry (Formalin/PFA-fixed paraffin-embedded sections) - Anti-IL28RA antibody (AB224395)
  • IHC-P

Unknown

Immunohistochemistry (Formalin/PFA-fixed paraffin-embedded sections) - Anti-IL28RA antibody (AB224395)

Immunohistochemical analysis of human small intestine tissue labeling IL28RA in the cytoplasm and membrane of glandular cells with ab224395 at 1/50 dilution.

Performed heat mediated antigen retrieval with citrate buffer pH 6 before commencing with IHC staining protocol.

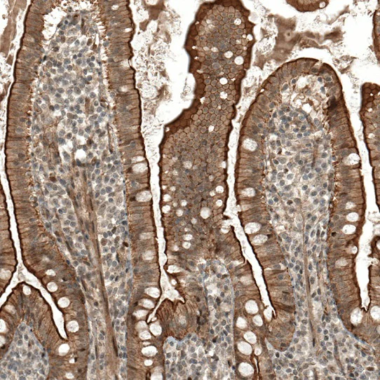
Immunohistochemistry (Formalin/PFA-fixed paraffin-embedded sections) - Anti-IL28RA antibody (AB224395)
  • IHC-P

Unknown

Immunohistochemistry (Formalin/PFA-fixed paraffin-embedded sections) - Anti-IL28RA antibody (AB224395)

Immunohistochemical analysis of human duodenum tissue labeling IL28RA in the cytoplasm and membrane of glandular cells with ab224395 at 1/50 dilution.

Performed heat mediated antigen retrieval with citrate buffer pH 6 before commencing with IHC staining protocol.

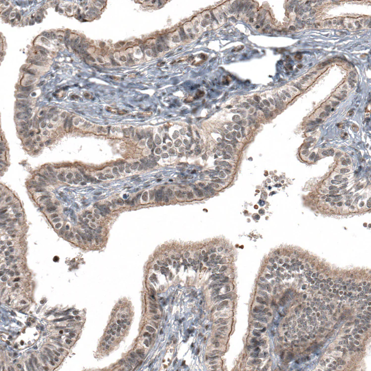
Immunohistochemistry (Formalin/PFA-fixed paraffin-embedded sections) - Anti-IL28RA antibody (AB224395)
  • IHC-P

Unknown

Immunohistochemistry (Formalin/PFA-fixed paraffin-embedded sections) - Anti-IL28RA antibody (AB224395)

Immunohistochemical analysis of human uterine cervix tissue labeling IL28RA in the cytoplasm and membrane of squamous epithelial cells with ab224395 at 1/50 dilution.

Performed heat mediated antigen retrieval with citrate buffer pH 6 before commencing with IHC staining protocol.

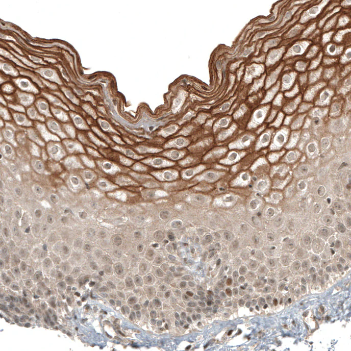
Immunohistochemistry (Formalin/PFA-fixed paraffin-embedded sections) - Anti-IL28RA antibody (AB224395)
  • IHC-P

Unknown

Immunohistochemistry (Formalin/PFA-fixed paraffin-embedded sections) - Anti-IL28RA antibody (AB224395)

Immunohistochemical analysis of human Fallopian tube tissue labeling IL28RA in the cytoplasm and membrane of glandular cells with ab224395 at 1/50 dilution.

Performed heat mediated antigen retrieval with citrate buffer pH 6 before commencing with IHC staining protocol.

Western blot - Anti-IL28RA antibody (AB224395)
  • WB

Unknown

Western blot - Anti-IL28RA antibody (AB224395)

All lanes:

Western blot - Anti-IL28RA antibody (ab224395) at 0.4 µg/mL

Lane 1:

Caco-2 (human colorectal adenocarcinoma cell line) whole cell lysate

Lane 2:

MCF7 (human breast adenocarcinoma cell line) whole cell lysate

Predicted band size: 58 kDa

false

Key facts

Host species

Rabbit

Clonality

Polyclonal

Isotype

IgG

Carrier free

No

Reacts with

Human

Applications

IHC-P, ICC/IF, WB

applications

Immunogen

Recombinant Fragment Protein within Human IFNLR1 aa 100-250. The exact immunogen used to generate this antibody is proprietary information.

Q8IU57

Reactivity data

{ "title": "Reactivity Data", "filters": { "stats": ["", "Species", "Dilution Info", "Notes"], "tabs": { "all-applications": {"fullname" : "All Applications", "shortname": "All Applications"}, "IHCP" : {"fullname" : "Immunohistochemistry (Formalin/PFA-fixed paraffin-embedded sections)", "shortname":"IHC-P"}, "WB" : {"fullname" : "Western blot", "shortname":"WB"}, "ICCIF" : {"fullname" : "Immunocytochemistry/ Immunofluorescence", "shortname":"ICC/IF"} }, "product-promise": { "all": "all", "testedAndGuaranteed": "tested", "guaranteed": "expected", "predicted": "predicted", "notRecommended": "not-recommended" } }, "values": { "Human": { "IHCP-species-checked": "testedAndGuaranteed", "IHCP-species-dilution-info": "1/200 - 1/500", "IHCP-species-notes": "<p></p> Perform heat-mediated antigen retrieval with citrate buffer pH 6 before commencing with IHC staining protocol.", "WB-species-checked": "testedAndGuaranteed", "WB-species-dilution-info": "0.04-0.4 µg/mL", "WB-species-notes": "<p></p>", "ICCIF-species-checked": "testedAndGuaranteed", "ICCIF-species-dilution-info": "0.25-2 µg/mL", "ICCIF-species-notes": "<p>Fixation/Permeabilization: PFA/Triton X-100.</p>" } } }

Properties and storage information

Form
Liquid
Purification technique
Affinity purification Immunogen
Storage buffer
pH: 7.2 Preservative: 0.02% Sodium azide Constituents: PBS, 40% Glycerol (glycerin, glycerine)
Shipped at conditions
Blue Ice
Appropriate short-term storage duration
1-2 weeks
Appropriate short-term storage conditions
+4°C
Appropriate long-term storage conditions
-20°C
Aliquoting information
Upon delivery aliquot
Storage information
Avoid freeze / thaw cycle

Supplementary information

This supplementary information is collated from multiple sources and compiled automatically.

IL28RA also known as Interleukin-28 receptor alpha or IFNLR1 is a cytokine receptor subunit with a molecular mass of roughly 57 kDa. This protein is part of the class II cytokine receptor family and is expressed predominantly in epithelial cells but also found in liver tissues and certain immune cells. IL28RA forms a receptor complex with IL10RB facilitating signaling through binding with type III interferons such as IFN-λ1 IFN-λ2 and IFN-λ3.
Biological function summary

IL28RA plays an important role in mediating antiviral responses and regulating immune processes. As part of a heterodimeric receptor complex IL28RA along with IL10RB responds to type III interferons. These interactions trigger Jak-STAT signaling pathways which contribute to the transcriptional activation of interferon-stimulated genes (ISGs). The induction of these ISGs provides an important immune defense by inhibiting viral replication and modulating the immune response.

Pathways

IL28RA's function connects to the Jak-STAT signaling pathway and the innate immune response. In the Jak-STAT pathway IL28RA collaborates with IL10RB to activate STAT proteins and facilitate immune signaling. This pathway's activity is integral for maintaining antiviral defense mechanisms and modulating immune responses against pathogens. Through this pathway IL28RA links to other proteins such as STAT1 and STAT2 which play important roles in signal transduction.

Studies implicate IL28RA in conditions like chronic hepatitis C and autoimmune diseases. The role of IL28RA in immune modulation suggests its involvement in the pathogenesis of these conditions. In chronic hepatitis C IL28RA interacts with type III interferons influencing viral clearance and treatment responses. Furthermore in autoimmune disorders aberrant IL28RA signaling may contribute to dysregulated immune responses. Its interaction with IL10RB and subsequent signaling events could impact disease progression and therapeutic outcomes.

Product protocols

For this product, it's our understanding that no specific protocols are required. You can visit:

Target data

The IFNLR1/IL10RB dimer is a receptor for the cytokine ligands IFNL2 and IFNL3 and mediates their antiviral activity. The ligand/receptor complex stimulate the activation of the JAK/STAT signaling pathway leading to the expression of IFN-stimulated genes (ISG), which contribute to the antiviral state. Determines the cell type specificity of the lambda interferon action. Shows a more restricted pattern of expression in the epithelial tissues thereby limiting responses to lambda interferons primarily to epithelial cells of the respiratory, gastrointestinal, and reproductive tracts. Seems not to be essential for early virus-activated host defense in vaginal infection, but plays an important role in Toll-like receptor (TLR)-induced antiviral defense. Plays a significant role in the antiviral immune defense in the intestinal epithelium.
See full target information IFNLR1

Publications (4)

Recent publications for all applications. Explore the full list and refine your search

Inflammation 45:1348-1361 PubMed35044570

2022

The Priming Potential of Interferon Lambda-1 for Antiviral Defense in the Oral Mucosa.

Applications

Unspecified application

Species

Unspecified reactive species

Yosuke Shikama,Mie Kurosawa,Masae Furukawa,Yasusei Kudo,Naozumi Ishimaru,Kenji Matsushita

Frontiers in pharmacology 12:652302 PubMed33828484

2021

Interferon-Lambda 1 Inhibits Colonization in Human Primary Keratinocytes.

Applications

Unspecified application

Species

Unspecified reactive species

Xia Wu,Yan Zhao,Ying Gu,Kun Li,Xiaojie Wang,Jianzhong Zhang

Communications biology 2:348 PubMed31552301

2019

Neutrophils homing into the retina trigger pathology in early age-related macular degeneration.

Applications

Unspecified application

Species

Unspecified reactive species

Sayan Ghosh,Archana Padmanabhan,Tanuja Vaidya,Alan M Watson,Imran A Bhutto,Stacey Hose,Peng Shang,Nadezda Stepicheva,Meysam Yazdankhah,Joseph Weiss,Manjula Das,Santosh Gopikrishna, Aishwarya,Naresh Yadav,Thorsten Berger,Tak W Mak,Shuli Xia,Jiang Qian,Gerard A Lutty,Ashwath Jayagopal,J Samuel Zigler,Swaminathan Sethu,James T Handa,Simon C Watkins,Arkasubhra Ghosh,Debasish Sinha

Arthritis research & therapy 20:193 PubMed30157968

2018

Interferon-λ3/4 genetic variants and interferon-λ3 serum levels are biomarkers of lupus nephritis and disease activity in Taiwanese.

Applications

Unspecified application

Species

Unspecified reactive species

Ji-Yih Chen,Chin-Man Wang,Tai-Di Chen,Yeong-Jian Jan Wu,Jing-Chi Lin,Ling Ying Lu,Jianming Wu
View all publications

Product promise

We are committed to supporting your work with high-quality reagents, and we're here for you every step of the way. In the unlikely event that one of our products does not perform as expected, you're protected by our Product Promise.
For full details, please see our Terms & Conditions

Please note: All products are 'FOR RESEARCH USE ONLY. NOT FOR USE IN DIAGNOSTIC OR THERAPEUTIC PROCEDURES'.

For licensing inquiries, please contact partnerships@abcam.com