JavaScript is disabled in your browser. Please enable JavaScript to view this website.
AB269271

Anti-IL36 alpha/IL-1F6 antibody [EPR23089-87]

Be the first to review this product! Submit a review

|

(1 Publication)

Rabbit Recombinant Monoclonal IL36 alpha/IL-1F6 antibody. Suitable for IP, WB, IHC-P and reacts with Human samples. Cited in 1 publication.

View Alternative Names

FIL1E, IL1E, IL1F6, IL36A, Interleukin-36 alpha, FIL1 epsilon, Interleukin-1 epsilon, Interleukin-1 family member 6, IL-1 epsilon, IL-1F6

6 Images
Immunohistochemistry (Formalin/PFA-fixed paraffin-embedded sections) - Anti-IL36 alpha/IL-1F6 antibody [EPR23089-87] (AB269271)
  • IHC-P

Unknown

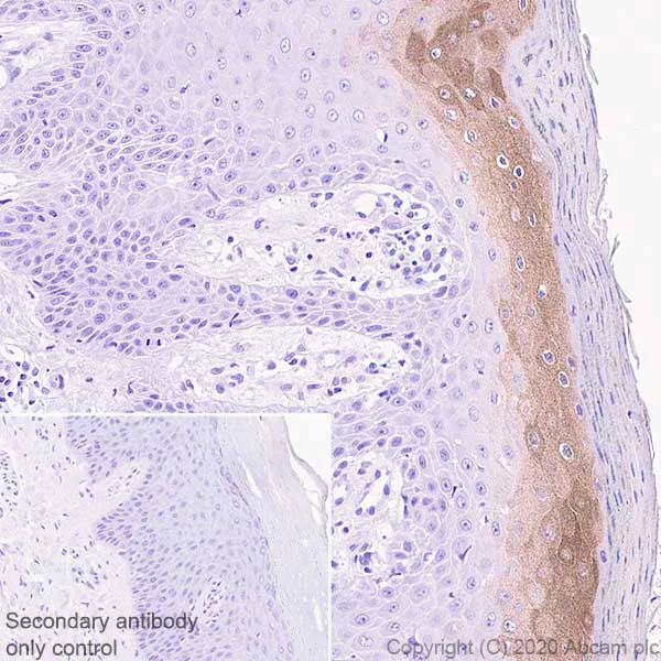
Immunohistochemistry (Formalin/PFA-fixed paraffin-embedded sections) - Anti-IL36 alpha/IL-1F6 antibody [EPR23089-87] (AB269271)

Immunohistochemical analysis of paraffin-embedded human psoriatic skin tissue labeling IL36 alpha/IL-1F6 with ab269271 at 1/2000 followed by a ready to use Rabbit specific IHC polymer detection kit HRP/DAB (ab209101). Positive staining on human psoriatic skin is observed (PMID : 28043870). The section was incubated with ab269271 for 30 mins at room temperature. The immunostaining was performed on a Leica Biosystems BOND® RX instrument. Counterstained with hematoxylin.

Secondary antibody only control : Secondary antibody is a ready to use Rabbit specific IHC polymer detection kit HRP/DAB (ab209101).

Heat mediated antigen retrieval with Tris-EDTA buffer (pH 9.0, epitope retrieval solution2) for 20 mins.

Immunohistochemistry (Formalin/PFA-fixed paraffin-embedded sections) - Anti-IL36 alpha/IL-1F6 antibody [EPR23089-87] (AB269271)
  • IHC-P

Unknown

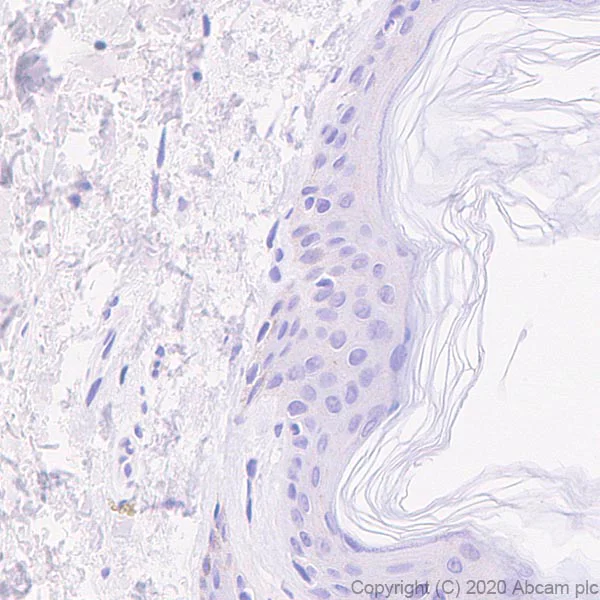
Immunohistochemistry (Formalin/PFA-fixed paraffin-embedded sections) - Anti-IL36 alpha/IL-1F6 antibody [EPR23089-87] (AB269271)

Immunohistochemical analysis of paraffin-embedded human skin tissue labeling IL36 alpha/IL-1F6 with ab269271 at 1/2000 followed by a ready to use Rabbit specific IHC polymer detection kit HRP/DAB (ab209101).

Negative control : No staining on human healthy skin (PMID : 28043870).

The section was incubated with ab269271 for 30 mins at room temperature. The immunostaining was performed on a Leica Biosystems BOND® RX instrument. Counterstained with hematoxylin.

Secondary antibody only control : Secondary antibody is a ready to use Rabbit specific IHC polymer detection kit HRP/DAB (ab209101).

Heat mediated antigen retrieval with Tris-EDTA buffer (pH 9.0, epitope retrieval solution2) for 20 mins.

Immunohistochemistry (Formalin/PFA-fixed paraffin-embedded sections) - Anti-IL36 alpha/IL-1F6 antibody [EPR23089-87] (AB269271)
  • IHC-P

Unknown

Immunohistochemistry (Formalin/PFA-fixed paraffin-embedded sections) - Anti-IL36 alpha/IL-1F6 antibody [EPR23089-87] (AB269271)

Immunohistochemical analysis of paraffin-embedded human tonsil tissue labeling IL36 alpha/IL-1F6 with ab269271 at 1/2000 followed by a ready to use Rabbit specific IHC polymer detection kit HRP/DAB (ab209101). Positive staining on tonsil epithelium is observed. The section was incubated with ab269271 for 30 mins at room temperature. The immunostaining was performed on a Leica Biosystems BOND® RX instrument. Counterstained with hematoxylin.

Secondary antibody only control : Secondary antibody is a ready to use Rabbit specific IHC polymer detection kit HRP/DAB (ab209101).

Heat mediated antigen retrieval with Tris-EDTA buffer (pH 9.0, epitope retrieval solution2) for 20 mins.

Immunohistochemistry (Formalin/PFA-fixed paraffin-embedded sections) - Anti-IL36 alpha/IL-1F6 antibody [EPR23089-87] (AB269271)
  • IHC-P

Unknown

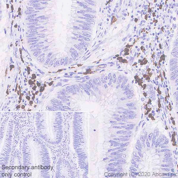
Immunohistochemistry (Formalin/PFA-fixed paraffin-embedded sections) - Anti-IL36 alpha/IL-1F6 antibody [EPR23089-87] (AB269271)

Immunohistochemical analysis of paraffin-embedded human colon carcinoma tissue labeling IL36 alpha/IL-1F6 with ab269271 at 1/2000 followed by a ready to use Rabbit specific IHC polymer detection kit HRP/DAB (ab209101). Positive staining on human colon carcinoma tissue is observed (PMID : 30452921). The section was incubated with ab269271 for 30 mins at room temperature. The immunostaining was performed on a Leica Biosystems BOND® RX instrument. Counterstained with Hematoxylin.

Secondary antibody only control : Secondary antibody is a ready to use Rabbit specific IHC polymer detection kit HRP/DAB (ab209101).

Heat mediated antigen retrieval with Tris-EDTA buffer (pH 9.0, epitope retrieval solution2) for 20 mins.

Immunoprecipitation - Anti-IL36 alpha/IL-1F6 antibody [EPR23089-87] (AB269271)
  • IP

Unknown

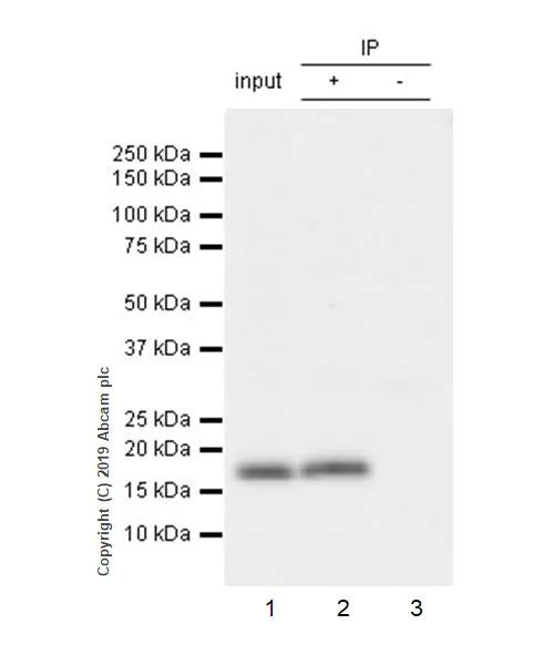
Immunoprecipitation - Anti-IL36 alpha/IL-1F6 antibody [EPR23089-87] (AB269271)

IL36 alpha/IL-1F6 was immunoprecipitated from 0.35 mg human tonsil tissue lysate with ab269271 at 1/30. Western blot was performed on the immunoprecipitate using ab269271 at 1/1000 dilution. VeriBlot for IP Detection Reagent (HRP)(ab131366) was used at 1/5000 dilution.

Lane 1 : Human tonsil tissue lysate.

Lane 2 : ab269271 IP in human tonsil tissue lysate.

Lane 3 : Rabbit monoclonal IgG (ab172730) instead of ab269271 in human tonsil tissue lysate.

Blocking and dilution buffer and concentration/ 5% NFDM/TBST.

Exposure time : 24 secs.

All lanes:

Immunoprecipitation - Anti-IL36 alpha/IL-1F6 antibody [EPR23089-87] (ab269271)

Predicted band size: 18 kDa

Observed band size: 17 kDa

false

Western blot - Anti-IL36 alpha/IL-1F6 antibody [EPR23089-87] (AB269271)
  • WB

Unknown

Western blot - Anti-IL36 alpha/IL-1F6 antibody [EPR23089-87] (AB269271)

Blocking and diluting buffer and concentration : 5% NFDM/TBST.

Exposure time : 3 mins.

All lanes:

Western blot - Anti-IL36 alpha/IL-1F6 antibody [EPR23089-87] (ab269271) at 1/1000 dilution

All lanes:

Human tonsil tissue lysate at 20 µg

Secondary

All lanes:

Western blot - VeriBlot for IP Detection Reagent (HRP) (<a href='/en-us/products/reagents/veriblot-for-ip-detection-reagent-hrp-ab131366'>ab131366</a>) at 1/1000 dilution

Predicted band size: 18 kDa

Observed band size: 17 kDa

false

  • Carrier free

    Anti-IL36 alpha/IL-1F6 antibody [EPR23089-87] - BSA and Azide free

Key facts

Host species

Rabbit

Clonality

Monoclonal

Clone number

EPR23089-87

Isotype

IgG

Carrier free

No

Reacts with

Human

Applications

IHC-P, WB, IP

applications

Immunogen

The exact immunogen used to generate this antibody is proprietary information.

Reactivity data

{ "title": "Reactivity Data", "filters": { "stats": ["", "Species", "Dilution Info", "Notes"], "tabs": { "all-applications": {"fullname" : "All Applications", "shortname": "All Applications"}, "IP" : {"fullname" : "Immunoprecipitation", "shortname":"IP"}, "WB" : {"fullname" : "Western blot", "shortname":"WB"}, "IHCP" : {"fullname" : "Immunohistochemistry (Formalin/PFA-fixed paraffin-embedded sections)", "shortname":"IHC-P"}, "ICC" : {"fullname" : "Immunocytochemistry", "shortname":"ICC"}, "FlowCyt" : {"fullname" : "Flow Cytometry", "shortname":"Flow Cyt"}, "IHCFr" : {"fullname" : "Immunohistochemistry (Frozen sections)", "shortname":"IHC-Fr"} }, "product-promise": { "all": "all", "testedAndGuaranteed": "tested", "guaranteed": "expected", "predicted": "predicted", "notRecommended": "not-recommended" } }, "values": { "Human": { "IP-species-checked": "testedAndGuaranteed", "IP-species-dilution-info": "1/30", "IP-species-notes": "<p></p>", "WB-species-checked": "testedAndGuaranteed", "WB-species-dilution-info": "1/1000", "WB-species-notes": "<p></p>", "IHCP-species-checked": "testedAndGuaranteed", "IHCP-species-dilution-info": "1/2000", "IHCP-species-notes": "<p></p>", "ICC-species-checked": "notRecommended", "ICC-species-dilution-info": "", "ICC-species-notes": "<p></p>", "FlowCyt-species-checked": "notRecommended", "FlowCyt-species-dilution-info": "", "FlowCyt-species-notes": "<p></p>", "IHCFr-species-checked": "notRecommended", "IHCFr-species-dilution-info": "", "IHCFr-species-notes": "" }, "Mouse": { "IP-species-checked": "notRecommended", "IP-species-dilution-info": "1/30", "IP-species-notes": "<p></p>", "WB-species-checked": "notRecommended", "WB-species-dilution-info": "1/1000", "WB-species-notes": "<p></p>", "IHCP-species-checked": "notRecommended", "IHCP-species-dilution-info": "1/2000", "IHCP-species-notes": "<p></p>", "ICC-species-checked": "notRecommended", "ICC-species-dilution-info": "", "ICC-species-notes": "", "FlowCyt-species-checked": "notRecommended", "FlowCyt-species-dilution-info": "", "FlowCyt-species-notes": "", "IHCFr-species-checked": "notRecommended", "IHCFr-species-dilution-info": "", "IHCFr-species-notes": "<p></p>" }, "Rat": { "IP-species-checked": "notRecommended", "IP-species-dilution-info": "", "IP-species-notes": "", "WB-species-checked": "notRecommended", "WB-species-dilution-info": "1/1000", "WB-species-notes": "<p></p>", "IHCP-species-checked": "notRecommended", "IHCP-species-dilution-info": "1/2000", "IHCP-species-notes": "<p></p>", "ICC-species-checked": "notRecommended", "ICC-species-dilution-info": "", "ICC-species-notes": "", "FlowCyt-species-checked": "notRecommended", "FlowCyt-species-dilution-info": "", "FlowCyt-species-notes": "", "IHCFr-species-checked": "notRecommended", "IHCFr-species-dilution-info": "", "IHCFr-species-notes": "<p></p>" } } }

Product details

Patented technology
Our RabMAb® technology is a patented hybridoma-based technology for making rabbit monoclonal antibodies. For details on our patents, please refer to RabMAb® patents.

What are the advantages of a recombinant monoclonal antibody?
This product is a recombinant monoclonal antibody, which offers several advantages including:

  • - High batch-to-batch consistency and reproducibility
  • - Improved sensitivity and specificity
  • - Long-term security of supply
  • - Animal-free batch production

For more information, read more on recombinant antibodies.

Properties and storage information

Form
Liquid
Purification technique
Affinity purification Protein A
Storage buffer
pH: 7.2 - 7.4 Preservative: 0.01% Sodium azide Constituents: PBS, 40% Glycerol (glycerin, glycerine), 0.05% BSA
Shipped at conditions
Blue Ice
Appropriate short-term storage duration
1-2 weeks
Appropriate short-term storage conditions
+4°C
Appropriate long-term storage conditions
-20°C
Aliquoting information
Upon delivery aliquot
Storage information
Avoid freeze / thaw cycle

Supplementary information

This supplementary information is collated from multiple sources and compiled automatically.

IL-36 alpha also known as IL-1F6 is a member of the IL-1 cytokine family and has a molecular mass of approximately 18 kDa. It is mostly expressed in epithelial tissues like the skin and lungs where it plays a role in the immune response. This protein acts as a pro-inflammatory mediator by binding to the IL-36 receptor stimulating the production of various cytokines and promoting inflammation.
Biological function summary

IL-36 alpha is involved in the activation of immune cells including macrophages and keratinocytes which further boosts the inflammatory response. It is not part of a larger complex but interacts with specific receptors on cell surfaces to exert its functions. This cytokine is known to enhance the expression of other inflammatory mediators which can amplify immune responses in the local tissue environment.

Pathways

IL-36 alpha takes part in the IL-1 signaling pathway and the NF-kB signaling pathway which are important for the regulation of immune and inflammatory responses. Through these pathways IL-36 alpha interacts with other proteins including IL-36 receptor antagonists and IL-37 to manage inflammation and regulate immune cell behavior. These pathways help in coordinating defense mechanisms under inflammatory conditions.

IL-36 alpha has been linked to psoriasis and inflammatory bowel disease conditions that arise due to dysregulated immune responses. IL-36 alpha interacts with other proteins like IL-17 and TNF-alpha which are also involved in the pathophysiology of these diseases. Understanding its role in these processes may offer insights into potential therapeutic targets for treating such inflammatory disorders.

Product protocols

For this product, it's our understanding that no specific protocols are required. You can visit:

Target data

Cytokine that binds to and signals through the IL1RL2/IL-36R receptor which in turn activates NF-kappa-B and MAPK signaling pathways in target cells linked to a pro-inflammatory response. Part of the IL-36 signaling system that is thought to be present in epithelial barriers and to take part in local inflammatory response; similar to the IL-1 system with which it shares the coreceptor IL1RAP. Seems to be involved in skin inflammatory response by acting on keratinocytes, dendritic cells and indirectly on T-cells to drive tissue infiltration, cell maturation and cell proliferation. In cultured keratinocytes induces the expression of macrophage, T-cell, and neutrophil chemokines, such as CCL3, CCL4, CCL5, CCL2, CCL17, CCL22, CL20, CCL5, CCL2, CCL17, CCL22, CXCL8, CCL20 and CXCL1, and the production of pro-inflammatory cytokines such as TNF-alpha, IL-8 and IL-6. In cultured monocytes up-regulates expression of IL-1A, IL-1B and IL-6. In myeloid dendritic cells involved in cell maturation by up-regulating surface expression of CD83, CD86 and HLA-DR. In monocyte-derived dendritic cells facilitates dendritic cell maturation and drives T-cell proliferation. May play a role in pro-inflammatory effects in the lung.
See full target information IL36A

Publications (1)

Recent publications for all applications. Explore the full list and refine your search

Journal of innate immunity 15:876-892 PubMed37989127

2023

Advanced Glycation End Products-Induced Activation of Keratinocytes: A Mechanism Underlying Cutaneous Immune Response in Psoriasis.

Applications

Unspecified application

Species

Unspecified reactive species

Pan Kang,Jianru Chen,Shiyu Wang,Shaolong Zhang,Shuli Li,Sen Guo,Pu Song,Ling Liu,Gang Wang,Tianwen Gao,Weigang Zhang,Chunying Li
View all publications

Product promise

We are committed to supporting your work with high-quality reagents, and we're here for you every step of the way. In the unlikely event that one of our products does not perform as expected, you're protected by our Product Promise.
For full details, please see our Terms & Conditions

Please note: All products are 'FOR RESEARCH USE ONLY. NOT FOR USE IN DIAGNOSTIC OR THERAPEUTIC PROCEDURES'.

For licensing inquiries, please contact partnerships@abcam.com