JavaScript is disabled in your browser. Please enable JavaScript to view this website.
AB272401

Anti-IL36 alpha/IL-1F6 antibody [EPR23152-241] - BSA and Azide free

Be the first to review this product! Submit a review

|

(0 Publication)

Rabbit Recombinant Monoclonal IL36 alpha/IL-1F6 antibody. Carrier free. Suitable for WB, IHC-P, ICC/IF, Flow Cyt (Intra) and reacts with Mouse, Human, Rat samples.

View Alternative Names

FIL1E, IL1E, IL1F6, IL36A, Interleukin-36 alpha, FIL1 epsilon, Interleukin-1 epsilon, Interleukin-1 family member 6, IL-1 epsilon, IL-1F6

6 Images
Immunohistochemistry (Formalin/PFA-fixed paraffin-embedded sections) - Anti-IL36 alpha/IL-1F6 antibody [EPR23152-241] - BSA and Azide free (AB272401)
  • IHC-P

Unknown

Immunohistochemistry (Formalin/PFA-fixed paraffin-embedded sections) - Anti-IL36 alpha/IL-1F6 antibody [EPR23152-241] - BSA and Azide free (AB272401)

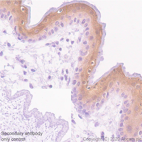
Immunohistochemical analysis of paraffin-embedded Human skin tissue labeling IL36 alpha/IL-1F6 with ab269274 at 1/500 dilution followed by a ready to use Rabbit specific IHC polymer detection kit HRP/DAB (ab209101). Positive staining on human skin. The section was incubated with ab269274 for 30 mins at room temperature.The immunostaining was performed on a Leica Biosystems BOND® RX instrument Counterstained with Hematoxylin.

Secondary antibody only control : Secondary antibody is a ready to use Rabbit specific IHC polymer detection kit HRP/DAB (ab209101).

Heat mediated antigen retrieval with Tris-EDTA buffer (pH 9.0, epitope retrieval solution2) for 20 mins

This data was developed using the same antibody clone in a different buffer formulation containing PBS, BSA, glycerol, and sodium azide (ab269274).

Immunohistochemistry (Formalin/PFA-fixed paraffin-embedded sections) - Anti-IL36 alpha/IL-1F6 antibody [EPR23152-241] - BSA and Azide free (AB272401)
  • IHC-P

Unknown

Immunohistochemistry (Formalin/PFA-fixed paraffin-embedded sections) - Anti-IL36 alpha/IL-1F6 antibody [EPR23152-241] - BSA and Azide free (AB272401)

Immunohistochemical analysis of paraffin-embedded Human esophagus tissue labeling IL36 alpha/IL-1F6 with ab269274 at 500 dilution followed by a ready to use Rabbit specific IHC polymer detection kit HRP/DAB (ab209101). Positive staining on human esophagus. The section was incubated with ab269274 for 30 mins at room temperature. The immunostaining was performed on a Leica Biosystems BOND® RX instrument Counterstained with Hematoxylin.

Secondary antibody only control : Secondary antibody is a ready to use Rabbit specific IHC polymer detection kit HRP/DAB (ab209101).

Heat mediated antigen retrieval with Tris-EDTA buffer (pH 9.0, epitope retrieval solution2) for 20 mins

This data was developed using the same antibody clone in a different buffer formulation containing PBS, BSA, glycerol, and sodium azide (ab269274).

Immunohistochemistry (Formalin/PFA-fixed paraffin-embedded sections) - Anti-IL36 alpha/IL-1F6 antibody [EPR23152-241] - BSA and Azide free (AB272401)
  • IHC-P

Unknown

Immunohistochemistry (Formalin/PFA-fixed paraffin-embedded sections) - Anti-IL36 alpha/IL-1F6 antibody [EPR23152-241] - BSA and Azide free (AB272401)

Immunohistochemical analysis of paraffin-embedded Mouse esophagus tissue labeling IL36 alpha/IL-1F6 with ab269274 at 1/500 dilution followed by a ready to use Rabbit specific IHC polymer detection kit HRP/DAB (ab209101). Positive staining on mouse esophagus (PMID : 20101239). The section was incubated with ab269274 for 30 mins at room temperature.The immunostaining was performed on a Leica Biosystems BOND® RX instrument Counterstained with Hematoxylin.

Secondary antibody only control : Secondary antibody is a ready to use Rabbit specific IHC polymer detection kit HRP/DAB (ab209101).

Heat mediated antigen retrieval with Tris-EDTA buffer (pH 9.0, epitope retrieval solution2) for 20 mins

This data was developed using the same antibody clone in a different buffer formulation containing PBS, BSA, glycerol, and sodium azide (ab269274).

Flow Cytometry (Intracellular) - Anti-IL36 alpha/IL-1F6 antibody [EPR23152-241] - BSA and Azide free (AB272401)
  • Flow Cyt (Intra)

Unknown

Flow Cytometry (Intracellular) - Anti-IL36 alpha/IL-1F6 antibody [EPR23152-241] - BSA and Azide free (AB272401)

Intracellular flow cytometric analysis of 4% paraformaldehyde fixed 90% methanol permeabilized RAW 264.7 (Mouse Abelson murine leukemia virus-induced tumor macrophage) treated with 1ug/ml lipopolysaccharide (LPS) for 24h (Red)/ Untreated control (Green) cells labelling IL36 alpha/IL-1F6 with ab269274 at 1/600 dilution (0.1ug) compared with a Rabbit monoclonal IgG (ab172730) (Black) isotype control and an unlabelled control (cells without incubation with primary antibody and secondary antibody) (Blue). A Goat anti rabbit IgG (Alexa Fluor® 488, ab150077) at 1/2000 dilution was used as the secondary antibody.

This data was developed using the same antibody clone in a different buffer formulation containing PBS, BSA, glycerol, and sodium azide (ab269274).

Immunocytochemistry/ Immunofluorescence - Anti-IL36 alpha/IL-1F6 antibody [EPR23152-241] - BSA and Azide free (AB272401)
  • ICC/IF

Unknown

Immunocytochemistry/ Immunofluorescence - Anti-IL36 alpha/IL-1F6 antibody [EPR23152-241] - BSA and Azide free (AB272401)

Immunofluorescent analysis of 4% Paraformaldehyde-fixed, 0.1% TritonX-100 permeabilized RAW264.7+LPS(1ug/ml, 24h)(-/+) cells labelling IL36 alpha/IL-1F6 with ab269274 at 1/50 dilution, followed by ab150077 Goat Anti-Rabbit IgG H&L (Alexa Fluor® 488) secondary antibody at 1/1000 dilution (Green). Confocal image showing weak cytoplasmic and strong nuclear staining in RAW 264.7 cells treated with lipopolysaccharide (LPS, 1 ug/ml) for 24 hours. ab195889 Anti-alpha Tubulin antibody (Alexa Fluor® 594) was used to counterstain tubulin at 1/200 dilution (Red). The Nuclear counterstain was DAPI (Blue).

Secondary antibody only control : Secondary antibody is ab150077 Goat Anti-Rabbit IgG H&L (Alexa Fluor® 488) at 1/1000 dilution.

This data was developed using the same antibody clone in a different buffer formulation containing PBS, BSA, glycerol, and sodium azide (ab269274).

Immunohistochemistry (Formalin/PFA-fixed paraffin-embedded sections) - Anti-IL36 alpha/IL-1F6 antibody [EPR23152-241] - BSA and Azide free (AB272401)
  • IHC-P

Unknown

Immunohistochemistry (Formalin/PFA-fixed paraffin-embedded sections) - Anti-IL36 alpha/IL-1F6 antibody [EPR23152-241] - BSA and Azide free (AB272401)

Immunohistochemical analysis of paraffin-embedded Rat esophagus tissue labeling IL36 alpha/IL-1F6 with ab269274 at 500 dilution followed by a ready to use Rabbit specific IHC polymer detection kit HRP/DAB (ab209101). Positive staining on rat esophagus. The section was incubated with ab269274 for 30 mins at room temperature.The immunostaining was performed on a Leica Biosystems BOND® RX instrument Counterstained with Hematoxylin.

Secondary antibody only control : Secondary antibody is a ready to use Rabbit specific IHC polymer detection kit HRP/DAB (ab209101).

Heat mediated antigen retrieval with Tris-EDTA buffer (pH 9.0, epitope retrieval solution2) for 20 mins

This data was developed using the same antibody clone in a different buffer formulation containing PBS, BSA, glycerol, and sodium azide (ab269274).

  • Unconjugated

    Anti-IL36 alpha/IL-1F6 antibody [EPR23152-241]

Key facts

Host species

Rabbit

Clonality

Monoclonal

Clone number

EPR23152-241

Isotype

IgG

Carrier free

Yes

Reacts with

Mouse, Rat, Human

Applications

IHC-P, WB, Flow Cyt (Intra), ICC/IF

applications

Immunogen

The exact immunogen used to generate this antibody is proprietary information.

Reactivity data

{ "title": "Reactivity Data", "filters": { "stats": ["", "Species", "Dilution Info", "Notes"], "tabs": { "all-applications": {"fullname" : "All Applications", "shortname": "All Applications"}, "IP" : {"fullname" : "Immunoprecipitation", "shortname":"IP"}, "WB" : {"fullname" : "Western blot", "shortname":"WB"}, "IHCP" : {"fullname" : "Immunohistochemistry (Formalin/PFA-fixed paraffin-embedded sections)", "shortname":"IHC-P"}, "ICCIF" : {"fullname" : "Immunocytochemistry/ Immunofluorescence", "shortname":"ICC/IF"}, "IHCFr" : {"fullname" : "Immunohistochemistry (Frozen sections)", "shortname":"IHC-Fr"}, "FlowCytIntra" : {"fullname" : "Flow Cytometry (Intracellular)", "shortname":"Flow Cyt (Intra)"} }, "product-promise": { "all": "all", "testedAndGuaranteed": "tested", "guaranteed": "expected", "predicted": "predicted", "notRecommended": "not-recommended" } }, "values": { "Human": { "IP-species-checked": "notRecommended", "IP-species-dilution-info": "", "IP-species-notes": "<p></p>", "WB-species-checked": "notRecommended", "WB-species-dilution-info": "", "WB-species-notes": "<p></p>", "IHCP-species-checked": "testedAndGuaranteed", "IHCP-species-dilution-info": "", "IHCP-species-notes": "<p></p>", "ICCIF-species-checked": "guaranteed", "ICCIF-species-dilution-info": "", "ICCIF-species-notes": "", "IHCFr-species-checked": "notRecommended", "IHCFr-species-dilution-info": "", "IHCFr-species-notes": "", "FlowCytIntra-species-checked": "guaranteed", "FlowCytIntra-species-dilution-info": "", "FlowCytIntra-species-notes": "" }, "Mouse": { "IP-species-checked": "notRecommended", "IP-species-dilution-info": "", "IP-species-notes": "<p></p>", "WB-species-checked": "testedAndGuaranteed", "WB-species-dilution-info": "", "WB-species-notes": "<p></p>", "IHCP-species-checked": "testedAndGuaranteed", "IHCP-species-dilution-info": "", "IHCP-species-notes": "<p></p>", "ICCIF-species-checked": "testedAndGuaranteed", "ICCIF-species-dilution-info": "", "ICCIF-species-notes": "<p></p>", "IHCFr-species-checked": "notRecommended", "IHCFr-species-dilution-info": "", "IHCFr-species-notes": "<p></p>", "FlowCytIntra-species-checked": "testedAndGuaranteed", "FlowCytIntra-species-dilution-info": "", "FlowCytIntra-species-notes": "<p></p>" }, "Rat": { "IP-species-checked": "notRecommended", "IP-species-dilution-info": "", "IP-species-notes": "", "WB-species-checked": "notRecommended", "WB-species-dilution-info": "", "WB-species-notes": "<p></p>", "IHCP-species-checked": "testedAndGuaranteed", "IHCP-species-dilution-info": "", "IHCP-species-notes": "<p></p>", "ICCIF-species-checked": "guaranteed", "ICCIF-species-dilution-info": "", "ICCIF-species-notes": "", "IHCFr-species-checked": "notRecommended", "IHCFr-species-dilution-info": "", "IHCFr-species-notes": "<p></p>", "FlowCytIntra-species-checked": "guaranteed", "FlowCytIntra-species-dilution-info": "", "FlowCytIntra-species-notes": "" } } }

Product details

ab272401 is the carrier-free version of ab269274.

Patented technology
Our RabMAb® technology is a patented hybridoma-based technology for making rabbit monoclonal antibodies. For details on our patents, please refer to RabMAb® patents.

What are the advantages of a recombinant monoclonal antibody?
This product is a recombinant monoclonal antibody, which offers several advantages including:

  • - High batch-to-batch consistency and reproducibility
  • - Improved sensitivity and specificity
  • - Long-term security of supply
  • - Animal-free batch production

For more information, read more on recombinant antibodies.

Conjugation ready
Our carrier-free antibodies are typically supplied in a PBS-only formulation, purified and free of BSA, sodium azide and glycerol. This conjugation-ready format is designed for use with fluorochromes, metal isotopes, oligonucleotides, and enzymes, which makes them ideal for antibody labelling, functional and cell-based assays, flow-based assays (e.g. mass cytometry) and Multiplex Imaging applications.

Use our conjugation kits for antibody conjugates that are ready-to-use in as little as 20 minutes with 1 minute hands-on-time and 100% antibody recovery: available for fluorescent dyes, HRP, biotin and gold.

Compatibility
This product is compatible with the Maxpar® Antibody Labeling Kit from Fluidigm, without the need for antibody preparation. Maxpar® is a trademark of Fluidigm Canada Inc.

Properties and storage information

Form
Liquid
Purification technique
Affinity purification Protein A
Storage buffer
pH: 7.2 - 7.4 Constituents: PBS
Shipped at conditions
Blue Ice
Appropriate short-term storage conditions
+4°C
Appropriate long-term storage conditions
+4°C
Storage information
Do Not Freeze

Supplementary information

This supplementary information is collated from multiple sources and compiled automatically.

IL-36 alpha also known as IL-1F6 is a member of the IL-1 cytokine family and has a molecular mass of approximately 18 kDa. It is mostly expressed in epithelial tissues like the skin and lungs where it plays a role in the immune response. This protein acts as a pro-inflammatory mediator by binding to the IL-36 receptor stimulating the production of various cytokines and promoting inflammation.
Biological function summary

IL-36 alpha is involved in the activation of immune cells including macrophages and keratinocytes which further boosts the inflammatory response. It is not part of a larger complex but interacts with specific receptors on cell surfaces to exert its functions. This cytokine is known to enhance the expression of other inflammatory mediators which can amplify immune responses in the local tissue environment.

Pathways

IL-36 alpha takes part in the IL-1 signaling pathway and the NF-kB signaling pathway which are important for the regulation of immune and inflammatory responses. Through these pathways IL-36 alpha interacts with other proteins including IL-36 receptor antagonists and IL-37 to manage inflammation and regulate immune cell behavior. These pathways help in coordinating defense mechanisms under inflammatory conditions.

IL-36 alpha has been linked to psoriasis and inflammatory bowel disease conditions that arise due to dysregulated immune responses. IL-36 alpha interacts with other proteins like IL-17 and TNF-alpha which are also involved in the pathophysiology of these diseases. Understanding its role in these processes may offer insights into potential therapeutic targets for treating such inflammatory disorders.

Product protocols

For this product, it's our understanding that no specific protocols are required. You can visit:

Target data

Cytokine that binds to and signals through the IL1RL2/IL-36R receptor which in turn activates NF-kappa-B and MAPK signaling pathways in target cells linked to a pro-inflammatory response. Part of the IL-36 signaling system that is thought to be present in epithelial barriers and to take part in local inflammatory response; similar to the IL-1 system with which it shares the coreceptor IL1RAP. Seems to be involved in skin inflammatory response by acting on keratinocytes, dendritic cells and indirectly on T-cells to drive tissue infiltration, cell maturation and cell proliferation. In cultured keratinocytes induces the expression of macrophage, T-cell, and neutrophil chemokines, such as CCL3, CCL4, CCL5, CCL2, CCL17, CCL22, CL20, CCL5, CCL2, CCL17, CCL22, CXCL8, CCL20 and CXCL1, and the production of pro-inflammatory cytokines such as TNF-alpha, IL-8 and IL-6. In cultured monocytes up-regulates expression of IL-1A, IL-1B and IL-6. In myeloid dendritic cells involved in cell maturation by up-regulating surface expression of CD83, CD86 and HLA-DR. In monocyte-derived dendritic cells facilitates dendritic cell maturation and drives T-cell proliferation. May play a role in pro-inflammatory effects in the lung.
See full target information IL36A

Product promise

We are committed to supporting your work with high-quality reagents, and we're here for you every step of the way. In the unlikely event that one of our products does not perform as expected, you're protected by our Product Promise.
For full details, please see our Terms & Conditions

Please note: All products are 'FOR RESEARCH USE ONLY. NOT FOR USE IN DIAGNOSTIC OR THERAPEUTIC PROCEDURES'.

For licensing inquiries, please contact partnerships@abcam.com