JavaScript is disabled in your browser. Please enable JavaScript to view this website.
AB239526

Anti-IL36 gamma/IL-1F9 antibody [D2]

Be the first to review this product! Submit a review

|

(1 Publication)

Mouse Monoclonal IL36 gamma/IL-1F9 antibody. Suitable for WB, IHC-P and reacts with Mouse, Rat samples. Cited in 1 publication. Immunogen corresponding to Recombinant Fragment Protein within Mouse Il36g aa 1-150.

View Alternative Names

Il1f9, Il36g, Interleukin-36 gamma, Interleukin-1 family member 9, IL-1F9

7 Images
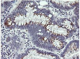
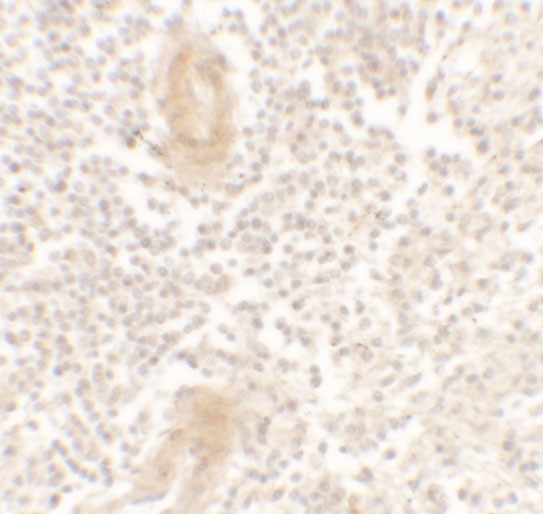
Immunohistochemistry (Formalin/PFA-fixed paraffin-embedded sections) - Anti-IL36 gamma/IL-1F9 antibody [D2] (AB239526)
  • IHC-P

Supplier Data

Immunohistochemistry (Formalin/PFA-fixed paraffin-embedded sections) - Anti-IL36 gamma/IL-1F9 antibody [D2] (AB239526)

Paraffin-embedded mouse intestine tissue stained for IL36 gamma/IL-1F9 using ab239526 at 30 μg/ml in immunohistochemical analysis. DAB staining.

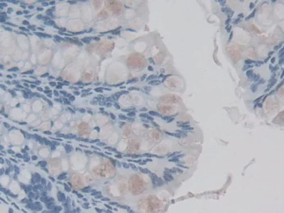
Immunohistochemistry (Formalin/PFA-fixed paraffin-embedded sections) - Anti-IL36 gamma/IL-1F9 antibody [D2] (AB239526)
  • IHC-P

Supplier Data

Immunohistochemistry (Formalin/PFA-fixed paraffin-embedded sections) - Anti-IL36 gamma/IL-1F9 antibody [D2] (AB239526)

Paraffin-embedded mouse colon tissue stained for IL36 gamma/IL-1F9 using ab239526 at 20 μg/ml in immunohistochemical analysis. DAB staining.

Immunohistochemistry (Formalin/PFA-fixed paraffin-embedded sections) - Anti-IL36 gamma/IL-1F9 antibody [D2] (AB239526)
  • IHC-P

Supplier Data

Immunohistochemistry (Formalin/PFA-fixed paraffin-embedded sections) - Anti-IL36 gamma/IL-1F9 antibody [D2] (AB239526)

Paraffin-embedded mouse lung tissue stained for IL36 gamma/IL-1F9 using ab239526 at 30 μg/ml in immunohistochemical analysis. DAB staining.

Immunohistochemistry (Formalin/PFA-fixed paraffin-embedded sections) - Anti-IL36 gamma/IL-1F9 antibody [D2] (AB239526)
  • IHC-P

Supplier Data

Immunohistochemistry (Formalin/PFA-fixed paraffin-embedded sections) - Anti-IL36 gamma/IL-1F9 antibody [D2] (AB239526)

Paraffin-embedded mouse kidney tissue stained for IL36 gamma/IL-1F9 using ab239526 at 30 μg/ml in immunohistochemical analysis. DAB staining.

Immunohistochemistry (Formalin/PFA-fixed paraffin-embedded sections) - Anti-IL36 gamma/IL-1F9 antibody [D2] (AB239526)
  • IHC-P

Supplier Data

Immunohistochemistry (Formalin/PFA-fixed paraffin-embedded sections) - Anti-IL36 gamma/IL-1F9 antibody [D2] (AB239526)

Paraffin-embedded mouse liver tissue stained for IL36 gamma/IL-1F9 using ab239526 at 30 μg/ml in immunohistochemical analysis. DAB staining.

Western blot - Anti-IL36 gamma/IL-1F9 antibody [D2] (AB239526)
  • WB

Supplier Data

Western blot - Anti-IL36 gamma/IL-1F9 antibody [D2] (AB239526)

All lanes:

Western blot - Anti-IL36 gamma/IL-1F9 antibody [D2] (ab239526) at 5 µg/mL

All lanes:

Recombinant mouse IL36 gamma/IL-1F9 protein

Predicted band size: 19 kDa

false

Western blot - Anti-IL36 gamma/IL-1F9 antibody [D2] (AB239526)
  • WB

Supplier Data

Western blot - Anti-IL36 gamma/IL-1F9 antibody [D2] (AB239526)

All lanes:

Western blot - Anti-IL36 gamma/IL-1F9 antibody [D2] (ab239526) at 3 µg/mL

All lanes:

Rat serum

Predicted band size: 19 kDa

false

Key facts

Host species

Mouse

Clonality

Monoclonal

Clone number

D2

Isotype

IgG2a

Light chain type

kappa

Carrier free

No

Reacts with

Rat, Mouse

Applications

IHC-P, WB

applications

Immunogen

Recombinant Fragment Protein within Mouse Il36g aa 1-150. The exact immunogen used to generate this antibody is proprietary information.

Q8R460

Reactivity data

{ "title": "Reactivity Data", "filters": { "stats": ["", "Species", "Dilution Info", "Notes"], "tabs": { "all-applications": {"fullname" : "All Applications", "shortname": "All Applications"}, "WB" : {"fullname" : "Western blot", "shortname":"WB"}, "IHCP" : {"fullname" : "Immunohistochemistry (Formalin/PFA-fixed paraffin-embedded sections)", "shortname":"IHC-P"} }, "product-promise": { "all": "all", "testedAndGuaranteed": "tested", "guaranteed": "expected", "predicted": "predicted", "notRecommended": "not-recommended" } }, "values": { "Mouse": { "WB-species-checked": "testedAndGuaranteed", "WB-species-dilution-info": "0.5-5 µg/mL", "WB-species-notes": "<p></p>", "IHCP-species-checked": "testedAndGuaranteed", "IHCP-species-dilution-info": "5-30 µg/mL", "IHCP-species-notes": "<p></p>" }, "Rat": { "WB-species-checked": "testedAndGuaranteed", "WB-species-dilution-info": "0.5-5 µg/mL", "WB-species-notes": "<p></p>", "IHCP-species-checked": "guaranteed", "IHCP-species-dilution-info": "", "IHCP-species-notes": "" } } }

Properties and storage information

Form
Liquid
Purification technique
Affinity purification Protein A/G
Purification notes
Purified from TCS.
Storage buffer
pH: 7.4 Preservative: 0.011% Proclin 300 Constituents: PBS, 55.77% Glycerol (glycerin, glycerine)
Shipped at conditions
Blue Ice
Appropriate short-term storage duration
1-2 weeks
Appropriate short-term storage conditions
+4°C
Appropriate long-term storage conditions
-20°C
Aliquoting information
Upon delivery aliquot
Storage information
Avoid freeze / thaw cycle

Supplementary information

This supplementary information is collated from multiple sources and compiled automatically.

IL36 gamma also known as IL-1F9 or IL-36 is a member of the interleukin-1 cytokine family. The protein weighs approximately 22 kDa. It is expressed highly in epithelial tissues such as keratinocytes in the skin bronchial tissues and intestinal lining. It acts mainly on nearby cells to influence immune responses through cytokine signaling.
Biological function summary

IL36 gamma plays a role in the immune and inflammatory responses. It operates as a cytokine that signals through the IL-1 receptor family leading to the activation of NF-kB and MAPK pathways. This member of the IL-1 family does not form a complex by itself but interacts with IL-36R to exert its functions. The protein influences processes such as cell proliferation differentiation and the regulation of immune responses to external pathogens or injuries.

Pathways

IL36 gamma is involved in inflammatory and immune signaling pathways. Within the immune response pathway it stimulates the production of other cytokines and pro-inflammatory molecules. IL36 gamma is associated with the IL-1 signaling pathway alongside other cytokines such as IL-1 and IL-18 which all contribute to immune modulation and inflammatory responses.

IL36 gamma has connections to psoriasis and inflammatory bowel disease. In psoriasis increased levels of IL36 gamma correlate with heightened skin inflammation and proliferation of keratinocytes. In inflammatory bowel disease IL36 gamma contributes to the inflammatory state of the gut. The activities of IL36 gamma often link with other cytokines such as TNF-alpha which collectively drive the inflammatory processes observed in these conditions.

Product protocols

For this product, it's our understanding that no specific protocols are required. You can visit:

Target data

Functions as an agonist of NF-kappa B activation through the orphan IL-1-receptor-related protein 2/IL1RL2. Part of the IL-36 signaling system that is thought to be present in epithelial barriers and to take part in local inflammatory response; similar to the IL-1 system with which it shares the coreceptor IL1RAP (By similarity). Seems to be involved in skin inflammatory response by acting on keratinocytes, dendritic cells and indirectly on T-cells to drive tissue infiltration, cell maturation and cell proliferation. May play a role in pro-inflammatory responses during particular neutrophilic airway inflammation. May be involved in the innate immune response to fungal pathogens. Induces the production of pro-inflammatory cytokines in bone marrow-derived dendritic cells (BMDCs), including IL-12, Il-1 beta, IL-6, TNF-alpha and IL-23. Involved in dendritic cell maturation by stimulating the surface expression of CD80, CD86 and MHC class II. Induces the production of IFN-gamma, IL-4 and IL-17 by cultured CD4(+) T-cells and splenocytes.
See full target information Il36g

Publications (1)

Recent publications for all applications. Explore the full list and refine your search

Scientific reports 15:33150 PubMed41006496

2025

Neonatal sevoflurane exposure enhances stress-related neurological susceptibility via NKCC1 modulation.

Applications

Unspecified application

Species

Unspecified reactive species

Bi-Ying Yuan,Li-Hui Shan,Jiang Zou,Xiao-Hai Xie,Jia-Qi Gan,Ben-Zhen Chen
View all publications

Product promise

We are committed to supporting your work with high-quality reagents, and we're here for you every step of the way. In the unlikely event that one of our products does not perform as expected, you're protected by our Product Promise.
For full details, please see our Terms & Conditions

Please note: All products are 'FOR RESEARCH USE ONLY. NOT FOR USE IN DIAGNOSTIC OR THERAPEUTIC PROCEDURES'.

For licensing inquiries, please contact partnerships@abcam.com