JavaScript is disabled in your browser. Please enable JavaScript to view this website.
AB273095

Anti-IL36 gamma/IL-1F9 antibody [EPR23333-107] - BSA and Azide free

Be the first to review this product! Submit a review

|

(0 Publication)

Rabbit Recombinant Monoclonal IL36 gamma/IL-1F9 antibody. Carrier free. Suitable for WB and reacts with Human samples.

View Alternative Names

IL1E, IL1F9, IL1H1, IL1RP2, UNQ2456/PRO5737, IL36G, Interleukin-36 gamma, IL-1-related protein 2, Interleukin-1 epsilon, Interleukin-1 family member 9, Interleukin-1 homolog 1, IL-1RP2, IL-1 epsilon, IL-1F9, IL-1H1

1 Images
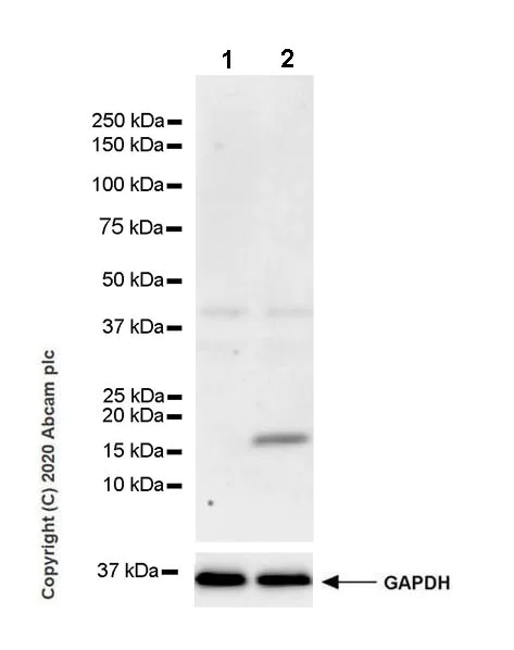
Western blot - Anti-IL36 gamma/IL-1F9 antibody [EPR23333-107] - BSA and Azide free (AB273095)
  • WB

Lab

Western blot - Anti-IL36 gamma/IL-1F9 antibody [EPR23333-107] - BSA and Azide free (AB273095)

Blocking and diluting buffer and concentration : 5% NFDM/TBST.

The expression of IL36 gamma/IL-1F9 is induced by IL-1beta and TNF-alpha treatment in HaCaT (PMID : 23095752).

This blot was developed using a higher sensitivity ECL substrate.

Exposure time : 81 seconds.

These data were developed using the same antibody clone in a different buffer formulation containing PBS, glycerol, BSA and sodium azide (ab272731).

All lanes:

Western blot - Anti-IL36 gamma/IL-1F9 antibody [EPR23333-107] (<a href='/en-us/products/primary-antibodies/il36-gamma-il-1f9-antibody-epr23333-107-ab272731'>ab272731</a>) at 1/1000 dilution

Lane 1:

HaCaT (human skin keratinocyte), whole cell lysate at 20 µg

Lane 2:

HaCaT treated with 20ng/ml IL-1beta and 50ng/ml TNF-alpha for 20 hours, whole cell lysate at 20 µg

Secondary

All lanes:

Western blot - Goat Anti-Rabbit IgG H&L (HRP) (<a href='/en-us/products/secondary-antibodies/goat-rabbit-igg-h-l-hrp-ab97051'>ab97051</a>) at 1/50000 dilution

Predicted band size: 19 kDa

Observed band size: 18 kDa

false

  • Unconjugated

    Anti-IL36 gamma/IL-1F9 antibody [EPR23333-107]

Key facts

Host species

Rabbit

Clonality

Monoclonal

Clone number

EPR23333-107

Isotype

IgG

Carrier free

Yes

Reacts with

Human

Applications

WB

applications

Immunogen

The exact immunogen used to generate this antibody is proprietary information.

Reactivity data

{ "title": "Reactivity Data", "filters": { "stats": ["", "Species", "Dilution Info", "Notes"], "tabs": { "all-applications": {"fullname" : "All Applications", "shortname": "All Applications"}, "IP" : {"fullname" : "Immunoprecipitation", "shortname":"IP"}, "FlowCyt" : {"fullname" : "Flow Cytometry", "shortname":"Flow Cyt"}, "WB" : {"fullname" : "Western blot", "shortname":"WB"}, "IHCP" : {"fullname" : "Immunohistochemistry (Formalin/PFA-fixed paraffin-embedded sections)", "shortname":"IHC-P"}, "ICCIF" : {"fullname" : "Immunocytochemistry/ Immunofluorescence", "shortname":"ICC/IF"} }, "product-promise": { "all": "all", "testedAndGuaranteed": "tested", "guaranteed": "expected", "predicted": "predicted", "notRecommended": "not-recommended" } }, "values": { "Human": { "IP-species-checked": "notRecommended", "IP-species-dilution-info": "", "IP-species-notes": "<p></p>", "FlowCyt-species-checked": "notRecommended", "FlowCyt-species-dilution-info": "", "FlowCyt-species-notes": "<p></p>", "WB-species-checked": "testedAndGuaranteed", "WB-species-dilution-info": "", "WB-species-notes": "<p></p>", "IHCP-species-checked": "notRecommended", "IHCP-species-dilution-info": "", "IHCP-species-notes": "<p></p>", "ICCIF-species-checked": "notRecommended", "ICCIF-species-dilution-info": "", "ICCIF-species-notes": "<p></p>" }, "Mouse": { "IP-species-checked": "notRecommended", "IP-species-dilution-info": "", "IP-species-notes": "", "FlowCyt-species-checked": "notRecommended", "FlowCyt-species-dilution-info": "", "FlowCyt-species-notes": "", "WB-species-checked": "notRecommended", "WB-species-dilution-info": "", "WB-species-notes": "<p></p>", "IHCP-species-checked": "notRecommended", "IHCP-species-dilution-info": "", "IHCP-species-notes": "<p></p>", "ICCIF-species-checked": "notRecommended", "ICCIF-species-dilution-info": "", "ICCIF-species-notes": "" }, "Rat": { "IP-species-checked": "notRecommended", "IP-species-dilution-info": "", "IP-species-notes": "", "FlowCyt-species-checked": "notRecommended", "FlowCyt-species-dilution-info": "", "FlowCyt-species-notes": "", "WB-species-checked": "notRecommended", "WB-species-dilution-info": "", "WB-species-notes": "<p></p>", "IHCP-species-checked": "notRecommended", "IHCP-species-dilution-info": "", "IHCP-species-notes": "<p></p>", "ICCIF-species-checked": "notRecommended", "ICCIF-species-dilution-info": "", "ICCIF-species-notes": "" } } }

Product details

ab273095 is the carrier-free version of ab272731.

Patented technology
Our RabMAb® technology is a patented hybridoma-based technology for making rabbit monoclonal antibodies. For details on our patents, please refer to RabMAb® patents.

What are the advantages of a recombinant monoclonal antibody?
This product is a recombinant monoclonal antibody, which offers several advantages including:

  • - High batch-to-batch consistency and reproducibility
  • - Improved sensitivity and specificity
  • - Long-term security of supply
  • - Animal-free batch production

For more information, read more on recombinant antibodies.

Conjugation ready
Our carrier-free antibodies are typically supplied in a PBS-only formulation, purified and free of BSA, sodium azide and glycerol. This conjugation-ready format is designed for use with fluorochromes, metal isotopes, oligonucleotides, and enzymes, which makes them ideal for antibody labelling, functional and cell-based assays, flow-based assays (e.g. mass cytometry) and Multiplex Imaging applications.

Use our conjugation kits for antibody conjugates that are ready-to-use in as little as 20 minutes with 1 minute hands-on-time and 100% antibody recovery: available for fluorescent dyes, HRP, biotin and gold.

Compatibility
This product is compatible with the Maxpar® Antibody Labeling Kit from Fluidigm, without the need for antibody preparation. Maxpar® is a trademark of Fluidigm Canada Inc.

Properties and storage information

Form
Liquid
Purification technique
Affinity purification Protein A
Storage buffer
pH: 7.2 - 7.4 Constituents: PBS
Shipped at conditions
Blue Ice
Appropriate short-term storage conditions
+4°C
Appropriate long-term storage conditions
+4°C
Storage information
Do Not Freeze

Supplementary information

This supplementary information is collated from multiple sources and compiled automatically.

IL36 gamma also known as IL-1F9 or IL-36 is a member of the interleukin-1 cytokine family. The protein weighs approximately 22 kDa. It is expressed highly in epithelial tissues such as keratinocytes in the skin bronchial tissues and intestinal lining. It acts mainly on nearby cells to influence immune responses through cytokine signaling.
Biological function summary

IL36 gamma plays a role in the immune and inflammatory responses. It operates as a cytokine that signals through the IL-1 receptor family leading to the activation of NF-kB and MAPK pathways. This member of the IL-1 family does not form a complex by itself but interacts with IL-36R to exert its functions. The protein influences processes such as cell proliferation differentiation and the regulation of immune responses to external pathogens or injuries.

Pathways

IL36 gamma is involved in inflammatory and immune signaling pathways. Within the immune response pathway it stimulates the production of other cytokines and pro-inflammatory molecules. IL36 gamma is associated with the IL-1 signaling pathway alongside other cytokines such as IL-1 and IL-18 which all contribute to immune modulation and inflammatory responses.

IL36 gamma has connections to psoriasis and inflammatory bowel disease. In psoriasis increased levels of IL36 gamma correlate with heightened skin inflammation and proliferation of keratinocytes. In inflammatory bowel disease IL36 gamma contributes to the inflammatory state of the gut. The activities of IL36 gamma often link with other cytokines such as TNF-alpha which collectively drive the inflammatory processes observed in these conditions.

Product protocols

For this product, it's our understanding that no specific protocols are required. You can visit:

Target data

Cytokine that binds to and signals through the IL1RL2/IL-36R receptor which in turn activates NF-kappa-B and MAPK signaling pathways in target cells. Part of the IL-36 signaling system that is thought to be present in epithelial barriers and to take part in local inflammatory response; similar to the IL-1 system with which it shares the coreceptor IL1RAP. Seems to be involved in skin inflammatory response by acting on keratinocytes, dendritic cells and indirectly on T-cells to drive tissue infiltration, cell maturation and cell proliferation. In cultured keratinocytes induces the expression of macrophage, T-cell, and neutrophil chemokines, such as CCL3, CCL4, CCL5, CCL2, CCL17, CCL22, CL20, CCL5, CCL2, CCL17, CCL22, CXCL8, CCL20 and CXCL1; also stimulates its own expression and that of the prototypic cutaneous pro-inflammatory parameters TNF-alpha, S100A7/psoriasin and inducible NOS. May play a role in pro-inflammatory responses during particular neutrophilic airway inflammation : activates mitogen-activated protein kinases and NF-kappa B in primary lung fibroblasts, and stimulates the expression of IL-8 and CXCL3 and Th17 chemokine CCL20 in lung fibroblasts. May be involved in the innate immune response to fungal pathogens, such as Aspergillus fumigatus.
See full target information IL36G

Product promise

We are committed to supporting your work with high-quality reagents, and we're here for you every step of the way. In the unlikely event that one of our products does not perform as expected, you're protected by our Product Promise.
For full details, please see our Terms & Conditions

Please note: All products are 'FOR RESEARCH USE ONLY. NOT FOR USE IN DIAGNOSTIC OR THERAPEUTIC PROCEDURES'.

For licensing inquiries, please contact partnerships@abcam.com