JavaScript is disabled in your browser. Please enable JavaScript to view this website.
AB222103

Anti-IL3RA/CD123 antibody [EPR23188-72]

Be the first to review this product! Submit a review

|

(1 Publication)

Rabbit Recombinant Monoclonal IL3RA/CD123 antibody. Suitable for ELISA, WB, IHC-P and reacts with Recombinant fragment - Human, Human samples. Cited in 1 publication.

View Alternative Names

CD123, IL3R, IL3RA, Interleukin-3 receptor subunit alpha, IL-3 receptor subunit alpha, IL-3R subunit alpha, IL-3R-alpha, IL-3RA

4 Images
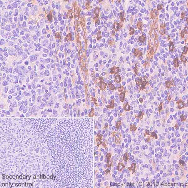
Immunohistochemistry (Formalin/PFA-fixed paraffin-embedded sections) - Anti-IL3RA/CD123 antibody [EPR23188-72] (AB222103)
  • IHC-P

Unknown

Immunohistochemistry (Formalin/PFA-fixed paraffin-embedded sections) - Anti-IL3RA/CD123 antibody [EPR23188-72] (AB222103)

Immunohistochemical analysis of paraffin-embedded Human tonsil tissue labeling IL3RA/CD123 with ab222103 at 1/500 dilution (0.99 ug/ml) followed by a ready to use Rabbit specific IHC polymer detection kit HRP/DAB (ab209101). Positive staining on human tonsil (PMID : 27340692). The section was incubated with ab222103 for 30 mins at RT. The immunostaining staining was performed on a Leica Biosystems BOND® RX instrument. Counterstained with Hematoxylin.

Secondary antibody only control : Secondary antibody is a ready to use Rabbit specific IHC polymer detection kit HRP/DAB (ab209101).

Heat mediated antigen retrieval with Tris-EDTA buffer (pH 9.0, epitope retrieval solution 2) for 20 mins.

ELISA - Anti-IL3RA/CD123 antibody [EPR23188-72] (AB222103)
  • ELISA

Lab

ELISA - Anti-IL3RA/CD123 antibody [EPR23188-72] (AB222103)

ELISA analysis of Human IL3RA/CD123 recombinant protein at 1000 ng/mL with ab222103. An Alkaline Phosphatase-conjugated AffiniPure Goat Anti-Rabbit IgG (H+L) at 1/2500 dilution was used as the secondary antibody.

Western blot - Anti-IL3RA/CD123 antibody [EPR23188-72] (AB222103)
  • WB

Unknown

Western blot - Anti-IL3RA/CD123 antibody [EPR23188-72] (AB222103)

Blocking and dilution buffer : 5% NFDM/TBST.

Exposure times.

Lane 1 : 26 seconds; Lane 2 : 3 minutes.

IL3RA/CD123 is glycosylated and the molecular weight observed is consistent with what has been described in the literature (PMID : 19109256).

All lanes:

Western blot - Anti-IL3RA/CD123 antibody [EPR23188-72] (ab222103) at 1/1000 dilution

Lane 1:

HDLM-2 (human Hodgkin lymphoma) whole cell lysate at 20 µg

Lane 2:

TF-1 (human erythroleukemia erythroblast) whole cell lysate at 20 µg

Secondary

All lanes:

Western blot - Goat Anti-Rabbit IgG H&L (HRP) (<a href='/en-us/products/secondary-antibodies/goat-rabbit-igg-h-l-hrp-ab97051'>ab97051</a>) at 1/100000 dilution

Predicted band size: 43 kDa

Observed band size: 60 kDa

false

Western blot - Anti-IL3RA/CD123 antibody [EPR23188-72] (AB222103)
  • WB

Unknown

Western blot - Anti-IL3RA/CD123 antibody [EPR23188-72] (AB222103)

Blocking and dilution buffer : 5% NFDM/TBST.

Exposure time : 3 minutes.

IL3RA/CD123 is glycosylated and the molecular weight observed is consistent with what has been described in the literature (PMID : 19109256).

All lanes:

Western blot - Anti-IL3RA/CD123 antibody [EPR23188-72] (ab222103) at 1/1000 dilution

Lane 1:

Human tonsil tissue lysate at 20 µg

Lane 2:

Human tonsil tissue lysate treated with PNGase F at 20 µg

Secondary

All lanes:

Western blot - VeriBlot for IP Detection Reagent (HRP) (<a href='/en-us/products/reagents/veriblot-for-ip-detection-reagent-hrp-ab131366'>ab131366</a>) at 1/1000 dilution

Predicted band size: 43 kDa

Observed band size: 43 kDa,60 kDa

false

  • Carrier free

    Anti-IL3RA/CD123 antibody [EPR23188-72] - BSA and Azide free

Key facts

Host species

Rabbit

Clonality

Monoclonal

Clone number

EPR23188-72

Isotype

IgG

Carrier free

No

Reacts with

Human

Applications

WB, IHC-P, ELISA

applications

Immunogen

The exact immunogen used to generate this antibody is proprietary information.

Reactivity data

{ "title": "Reactivity Data", "filters": { "stats": ["", "Species", "Dilution Info", "Notes"], "tabs": { "all-applications": {"fullname" : "All Applications", "shortname": "All Applications"}, "ELISA" : {"fullname" : "ELISA", "shortname":"ELISA"}, "WB" : {"fullname" : "Western blot", "shortname":"WB"}, "IHCP" : {"fullname" : "Immunohistochemistry (Formalin/PFA-fixed paraffin-embedded sections)", "shortname":"IHC-P"}, "IHCFr" : {"fullname" : "Immunohistochemistry (Frozen sections)", "shortname":"IHC-Fr"}, "ICCIF" : {"fullname" : "Immunocytochemistry/ Immunofluorescence", "shortname":"ICC/IF"}, "IP" : {"fullname" : "Immunoprecipitation", "shortname":"IP"}, "FlowCyt" : {"fullname" : "Flow Cytometry", "shortname":"Flow Cyt"} }, "product-promise": { "all": "all", "testedAndGuaranteed": "tested", "guaranteed": "expected", "predicted": "predicted", "notRecommended": "not-recommended" } }, "values": { "Human": { "ELISA-species-checked": "guaranteed", "ELISA-species-dilution-info": "", "ELISA-species-notes": "", "WB-species-checked": "testedAndGuaranteed", "WB-species-dilution-info": "1/1000", "WB-species-notes": "<p></p>", "IHCP-species-checked": "testedAndGuaranteed", "IHCP-species-dilution-info": "1/500", "IHCP-species-notes": "<p></p>", "IHCFr-species-checked": "notRecommended", "IHCFr-species-dilution-info": "", "IHCFr-species-notes": "<p></p>", "ICCIF-species-checked": "notRecommended", "ICCIF-species-dilution-info": "", "ICCIF-species-notes": "<p></p>", "IP-species-checked": "notRecommended", "IP-species-dilution-info": "", "IP-species-notes": "<p></p>", "FlowCyt-species-checked": "notRecommended", "FlowCyt-species-dilution-info": "", "FlowCyt-species-notes": "<p></p>" }, "Recombinant fragment - Human": { "ELISA-species-checked": "testedAndGuaranteed", "ELISA-species-dilution-info": "", "ELISA-species-notes": "<p></p>", "WB-species-checked": "notRecommended", "WB-species-dilution-info": "", "WB-species-notes": "", "IHCP-species-checked": "notRecommended", "IHCP-species-dilution-info": "", "IHCP-species-notes": "", "IHCFr-species-checked": "notRecommended", "IHCFr-species-dilution-info": "", "IHCFr-species-notes": "", "ICCIF-species-checked": "notRecommended", "ICCIF-species-dilution-info": "", "ICCIF-species-notes": "", "IP-species-checked": "notRecommended", "IP-species-dilution-info": "", "IP-species-notes": "", "FlowCyt-species-checked": "notRecommended", "FlowCyt-species-dilution-info": "", "FlowCyt-species-notes": "" } } }

Product details

Patented technology
Our RabMAb® technology is a patented hybridoma-based technology for making rabbit monoclonal antibodies. For details on our patents, please refer to RabMAb® patents.

What are the advantages of a recombinant monoclonal antibody?
This product is a recombinant monoclonal antibody, which offers several advantages including:

  • - High batch-to-batch consistency and reproducibility
  • - Improved sensitivity and specificity
  • - Long-term security of supply
  • - Animal-free batch production

For more information, read more on recombinant antibodies.

Properties and storage information

Form
Liquid
Purification technique
Affinity purification Protein A
Storage buffer
pH: 7.2 - 7.4 Preservative: 0.01% Sodium azide Constituents: PBS, 40% Glycerol (glycerin, glycerine), 0.05% BSA
Shipped at conditions
Blue Ice
Appropriate short-term storage duration
1-2 weeks
Appropriate short-term storage conditions
+4°C
Appropriate long-term storage conditions
-20°C
Aliquoting information
Upon delivery aliquot
Storage information
Avoid freeze / thaw cycle

Supplementary information

This supplementary information is collated from multiple sources and compiled automatically.

IL3RA also known as CD123 or interleukin-3 receptor alpha chain is a transmembrane protein with a molecular weight of approximately 70-80 kDa. This protein frequently expresses on the surface of hematopoietic cells particularly those of myeloid lineage including mast cells and basophils. Researchers use CD123 as a marker for identifying certain cell types in flow cytometry. Antibodies such as anti-CD123 are available for various applications including identifying these cells in research and clinical settings.
Biological function summary

IL3RA forms part of a heterodimeric receptor complex binding with the beta-common (βc) chain to create the high-affinity IL-3 receptor. This complex plays a role in mediating the effects of interleukin-3 a cytokine that promotes the growth and differentiation of pluripotent hematopoietic stem cells. Through this mechanism the receptor influences immune response modulation particularly in allergic reactions and inflammation.

Pathways

IL3RA interacts with the JAK/STAT pathway which is essential for signal transduction and transcription activation in response to IL-3 binding. This pathway involves proteins like Janus kinase 2 (JAK2) and Signal Transducer and Activator of Transcription 5 (STAT5) which transmit signals from IL3RA engagement to the cell nucleus promoting gene expression associated with cell proliferation and survival.

IL3RA expression relates closely to certain hematological conditions such as acute myeloid leukemia (AML) and systemic mastocytosis. In AML increased expression of CD123 marks leukemic cells making it a target for therapeutic intervention. The interaction of IL3RA with FLT3 another tyrosine kinase is of particular interest in these disorders as both proteins contribute to the proliferation of malignant cells through related signaling pathways.

Product protocols

For this product, it's our understanding that no specific protocols are required. You can visit:

Target data

Cell surface receptor for IL3 expressed on hematopoietic progenitor cells, monocytes and B-lymphocytes that controls the production and differentiation of hematopoietic progenitor cells into lineage-restricted cells (PubMed : 10527461). Ligand stimulation rapidly induces hetrodimerization with IL3RB, phosphorylation and enzyme activity of effector proteins such as JAK2 and PI3K that play a role in signaling cell proliferation and differentiation. Activation of JAK2 leads to STAT5-mediated transcriptional program (By similarity).
See full target information IL3RA

Publications (1)

Recent publications for all applications. Explore the full list and refine your search

Cancers 17: PubMed41008831

2025

Proteomic Identification of IL4I1 as a Therapeutic Target in P53-Mutant Endometrial Cancer.

Applications

Unspecified application

Species

Unspecified reactive species

Hu Li,Ruonan Zhang,Tiantian Sui,Kai Wang,Yiran Li,Xuezhen Luo,Qizhi He
View all publications

Product promise

We are committed to supporting your work with high-quality reagents, and we're here for you every step of the way. In the unlikely event that one of our products does not perform as expected, you're protected by our Product Promise.
For full details, please see our Terms & Conditions

Please note: All products are 'FOR RESEARCH USE ONLY. NOT FOR USE IN DIAGNOSTIC OR THERAPEUTIC PROCEDURES'.

For licensing inquiries, please contact partnerships@abcam.com